POU5F1 Recombinant Monoclonal Antibody

Code CSB-RA018403MA1HU
Size US$210
Order now
Image
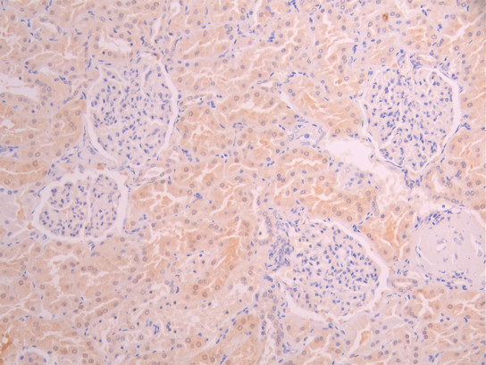
  • IHC image of CSB-RA018403MA1HU diluted at 1:50 and staining in paraffin-embedded human kidney tissue performed on a Leica BondTM system. After dewaxing and hydration, antigen retrieval was mediated by high pressure in a citrate buffer (pH 6.0). Section was blocked with 10% normal goat serum 30min at RT. Then primary antibody (1% BSA) was incubated at 4°C overnight. The primary is detected by a Anti-Human lgG, Fcy Fragment Specific labeled by HRP and visualized using 0.05% DAB.
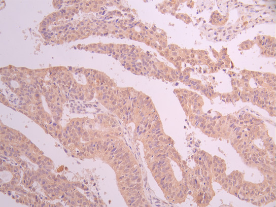
  • IHC image of CSB-RA018403MA1HU diluted at 1:50 and staining in paraffin-embedded human ovarian cancer performed on a Leica BondTM system. After dewaxing and hydration, antigen retrieval was mediated by high pressure in a citrate buffer (pH 6.0). Section was blocked with 10% normal goat serum 30min at RT. Then primary antibody (1% BSA) was incubated at 4°C overnight. The primary is detected by a Anti-Human lgG, Fcy Fragment Specific labeled by HRP and visualized using 0.05% DAB.
  • Overlay Peak curve showing 786-O cells stained with CSB-RA018403MA1HU (red line) at 1:100. The cells were fixed in 4% formaldehyde and permeated by 0.2% TritonX-100 for 10min. Then 10% normal goat serum to block non-specific protein-protein interactions followed by the antibody (1ug/1*106cells) for 45min at 4℃. The secondary antibody used was Fluorescein (FITC) AffiniPure Goat Anti-Human IgG, Fcγ fragment specific at 1:200 dilution for 35 min at 4℃.Control antibody (green line) was human IgG1 (1ug/1*106cells) used under the same conditions. Acquisition of >10,000 events was performed.
Have Questions? Leave a Message or Start an on-line Chat

Product Details

Uniprot No.
Target Names
Alternative Names
Octamer binding transcription factor 4 antibody; MGC22487 antibody; Oct 3 antibody; Oct 4 antibody; Oct-3 antibody; Oct-4 antibody; OCT3 antibody; Oct4 antibody; Octamer binding protein 3 antibody; Octamer binding protein 4 antibody; Octamer binding transcription factor 3 antibody; Octamer-binding protein 3 antibody; Octamer-binding protein 4 antibody; Octamer-binding transcription factor 3 antibody; OTF 3 antibody; OTF 4 antibody; OTF-3 antibody; OTF3 antibody; OTF4 antibody; PO5F1_HUMAN antibody; POU class 5 homeobox 1 antibody; POU domain class 5 transcription factor 1 antibody; POU domain transcription factor OCT4 antibody; POU domain, class 5, transcription factor 1 antibody; POU-type homeodomain-containing DNA-binding protein antibody; POU5F1 antibody
Species Reactivity
Human
Immunogen
Recombinant Human POU5F1 protein
Immunogen Species
Homo sapiens (Human)
Conjugate
Non-conjugated
Clonality
Monoclonal
Isotype
hIgG1
Clone No.
8H3
Purification Method
Affinity-chromatography
Concentration
It differs from different batches. Please contact us to confirm it.
Buffer
Preservative: 0.03% Proclin 300
Constituents: 50% Glycerol, 0.01M PBS, PH 7.4
Form
Liquid
Tested Applications
ELISA, IHC, FC
Recommended Dilution
Application Recommended Dilution
IHC 1:50-1:200
FC 1:50-1:200
Troubleshooting and FAQs
Storage
Upon receipt, store at -20°C or -80°C. Avoid repeated freeze.
Lead Time
Basically, we can dispatch the products out in 1-3 working days after receiving your orders. Delivery time maybe differs from different purchasing way or location, please kindly consult your local distributors for specific delivery time.
Usage
For Research Use Only. Not for use in diagnostic or therapeutic procedures.

Customer Reviews and Q&A

 Customer Reviews

There are currently no reviews for this product.

Submit a Review here

Target Background

Function
Transcription factor that binds to the octamer motif (5'-ATTTGCAT-3'). Forms a trimeric complex with SOX2 or SOX15 on DNA and controls the expression of a number of genes involved in embryonic development such as YES1, FGF4, UTF1 and ZFP206. Critical for early embryogenesis and for embryonic stem cell pluripotency.
Gene References into Functions
  1. Study established a relationship between OCT4 and SMAD3 heterodimers formation and Snail, Slug, and CXCL13 transcription promotion mediating breast cancer progression. PMID: 29526821
  2. Metastatic double primary endometrioid endometrial and ovarian carcinoma sections expressed a higher level of OCT4 compared to the corresponding DPEEOC tissues. PMID: 29569698
  3. Cripto-1 expression is increased by OCT4 overexpression, but decreased by shRNA-mediated OCT4 knockdown. OCT4 overexpression significantly activates Cripto-1 transcriptional activity. A 5'-upstream minimal promoter sequence in the gene-encoding Cripto-1 is significantly activated by OCT4 overexpression. PMID: 29223130
  4. Multivariate Cox's proportional hazards regression analyses revealed that OCT4 mRNA high expression was an independent predictive factor for shorter EFS and OS in AML patients. Conclusion OCT4 correlates with presence of CK, FLT3-ITD mutation and poorer risk stratification, and it could be served as a convincing biomarker for predicting unfavourable prognosis in AML patients. PMID: 29950146
  5. GCNF acts as a transcriptional repressor in the regulation of OCT4 gene expression through cooperative interaction with three NR binding elements in pluripotent NCCIT cells. PMID: 29057499
  6. Study shows that irrespective of tumor type or clinicopathological status, breast cancer cells expressed high levels of Oct3/4 at mRNA and protein levels. PMID: 29620155
  7. Tumor tissue OCT4 expression was positively correlated with histologic grade, pathological tumor size and prognosis in surgical patients with triple-negative breast cancer. PMID: 29536377
  8. Radiation resistance tumors have upregulated Onzin and POU5F1 expression. PMID: 29596836
  9. verification of the presence of stem cell-like cells in the epithelial component through the immunopositivity to Oct-4 and CD44 in benign odontogenic lesions of variable biological behaviors PMID: 29971493
  10. Oct4 plays a vital role in the malignant progression of HCC cells through the survivin/STAT3 signaling pathway. PMID: 29901157
  11. Secretome analysis revealed that Oct4 upregulated interleukin 24 (IL24) expression through STAT3 and NFkappaB signaling, and siRNA against IL24 increased IRinduced senescence, whereas recombinant human IL24 suppressed it. The results of the present study indicated that Oct4 confers IR resistance on breast cancer cells by suppressing IRinduced premature senescence through STAT3- and NFkappaB-mediated IL24 production. PMID: 29749438
  12. BEX4 positively regulated the expression of OCT4, silencing of which reduced the proliferation of A549 and H1975cells with over-expressed BEX4. PMID: 29660335
  13. Oct4 transcriptionally activates NEAT1 via promoter and MALAT1 via enhancer binding to promote cell proliferation and motility, and led to lung tumorigenesis and poor prognosis. PMID: 28615056
  14. POU5F1 expression is suggested to be a prognostic factor in patients with colorectal cancer. PMID: 29488015
  15. that OCT4 is implicated in the differentiation arrest at least in some types of acute myeloid leukemia PMID: 28911263
  16. Overexpressed TWIST1 can be correlated with upregulation of the cancer stem cell marker OCT4 and the protein may play critical regulatory role in OCT4 gene expression. PMID: 29299035
  17. rs2394882 in cancer stem cells gene POU5F1 is associated with prostate cancer recurrence. PMID: 29104488
  18. The emerging roles of OCT4 in coordinating the cell cycle progression, the maintenance of pluripotency and the glycolytic metabolism in embryonic stem cells have been discussed. (Review) PMID: 28901500
  19. Link between embryonic stem cell pluripotency and homologous allelic pairing of Oct4 loci. PMID: 28967672
  20. Chicken egg-white extracts promote OCT4 and NANOG expression and telomeres growth in 293T cells. PMID: 28838341
  21. OCT4 and SOX2 work as transcriptional activators in reprogramming human fibroblasts. PMID: 28813671
  22. Low expressions of Oct4-EpCAM in IHC and CD133 in qPCR may reveal roles in gastric cancer PMID: 27557490
  23. The prevalence of Oct-3/4 and D2-40-positive staining of germ cells in testicular biopsies of boys with cryptorchidism were in age groups less than 6 months, 100% and 50%; 6-12 months, 60% and 17%; and 1-2 years, 12% and 4%. In all cases, the Oct-3/4 and D2-40 positive germ cells turned negative and the histological pattern normalized completely with age. PMID: 27606906
  24. Our results indicate that Oct4 expression is associated with aggressive features, ALDH1 expression, tamoxifen resistance and poor clinical outcomes in hormone receptor-positive breast cancer, and thus may be useful as a predictive and prognostic marker in this subgroup of breast cancer. PMID: 28422735
  25. Rectal tumor tissue OCT4 (p<0.001), SOX2 (p=0.003), and NANOG (p<0.001) expressions were higher than those in adjacent tissue. PMID: 29214774
  26. Novel spliced variants of OCT4, OCT4C and OCT4C1, with distinct expression patterns and functions in pluripotent and tumor cell lines have been described. PMID: 28476334
  27. we have provided evidence that Oct4 expression is enhanced in bladder cancer cells after treatment with various chemotherapeutic agents, rendering bladder cancer chemoresistant. PMID: 27244887
  28. our study describes the relationship between ABCG2 and OCT-4 expression and the clinicopathological characteristics of RCC patients. ABCG2 and OCT-4 expression was significantly correlated with RCC recurrence, which has a poor prognosis. PMID: 28212529
  29. we confirmed that up-regulated KPNA2 and OCT4 expression is a common feature of bladder cancer that is correlated with increased aggressive tumor behavior. Also, we propose that KPNA2 regulates the process of OCT4 nuclear transportation in bladder cancer. PMID: 27611951
  30. Knockdown of OCT4 in NSCLC cells could decrease cell proliferation, and potentiate apoptosis induced by gefitinib, suggesting OCT4 may contribute to gefitinib resistance in NSCLC. PMID: 27816965
  31. Data show that lung adenocarcinoma SPC-A1 cell differentiated by a two-stage induction (TSI) method lost stem cell characteristics, including absent expression of OCT4 and Nanog. PMID: 27588392
  32. Overexpression of OCT4 is associated with neoplasms. PMID: 28235715
  33. The survival rate was increased by 11.1% in Oct4/Sox2-hAT-MSC-injected mice. PMID: 28438862
  34. OCT4B1 plays an essential role in inflammation and apoptosis of dental pulp cells . OCT4B might operate synergistically with OCT4B1 to reduce apoptosis. PMID: 28473980
  35. OCT4 is over-expressed in both of the breast cancer cell lines; MCF7 and MDA-MB-231 and its inhibition resulted in drastic decrease in rate of cell proliferation, metastatic ability and induced apoptosis. PMID: 29203199
  36. The positive feedback regulation of OCT4 and c-JUN, resulting in the continuous expression of oncogenes such as c-JUN, seems to play a critical role in the determination of the cell fate decision from induced pluripotent stem cells to cancer stem cells in liver cancer. PMID: 27341307
  37. MACC1-induced tumor progression in colorectal cancer acts, at least in part, via the newly discovered MACC1/Nanog/Oct4 axis. PMID: 26758557
  38. Lymphatic/vascular invasion (LVI) in the spermatic cord of patients with pure seminoma may be obscured by prominent lymphohistiocytic inflammation (LHI), and staining of such foci with OCT4 may increase the detection of LVI by 45%. PMID: 27020494
  39. The findings of this study suggested that Oct4B1 has a potential role in tumorigenesis of brain cancer and can be considered as a new tumor marker with potential value in diagnosis and treatment of brain cancer. PMID: 27585657
  40. High OCT4 expression is associated with enhancement of angiogenesis in lung cancer. PMID: 26871601
  41. Logistic regression analysis revealed that OCT4 rs1265163 showed the most significant association signal for the risk of chronic hepatitis B (CHB). Linkage disequilibrium and conditional analysis confirmed rs1265163 in OCT4 as a novel genetic marker for CHB susceptibility. PMID: 27596359
  42. the pluripotency transcription factor OCT4 can serve as a metabolic-redox sensor in human embryonic stem cells and that metabolic cues can act in concert with growth factor signaling to orchestrate stem cell differentiation. PMID: 27346346
  43. High OCT4 expression is associated with brain neoplasms. PMID: 28933914
  44. The quadruplex acts as a strong, positive regulator of Oct4 expression. PMID: 27863263
  45. these findings demonstrated that HIF-2alpha in vselMSCs cooperated with Oct4 in survival and function. The identification of the cooperation between HIF-2alpha and Oct4 will lead to deeper characterization of the downstream targets of this interaction in vselMSCs and will have novel pathophysiological implications for the repair of infarcted myocardium. PMID: 28079892
  46. gene editing reveals a role for OCT4 in human embryogenesis PMID: 28953884
  47. we are reporting a new variant of OCT4, which is expressed under different physiological conditions. The finding shed more light on complexity of OCT4 expression and functions. PMID: 29022482
  48. High Oct4 expression is associated with breast cancer. PMID: 28423536
  49. The expression of Oct4A may be crucial to promote and sustain integrin-mediated extracellular matrix (ECM) remodeling requisite for tumor metastasis in ovarian cancer patients. PMID: 27390927
  50. High OCT4A expression is associated with metastasis in medulloblastoma . PMID: 28186969

Show More

Hide All

Subcellular Location
Cytoplasm. Nucleus.
Protein Families
POU transcription factor family, Class-5 subfamily
Tissue Specificity
Expressed in developing brain. Highest levels found in specific cell layers of the cortex, the olfactory bulb, the hippocampus and the cerebellum. Low levels of expression in adult tissues.
Database Links

HGNC: 9221

OMIM: 164177

KEGG: hsa:5460

STRING: 9606.ENSP00000259915

UniGene: Hs.249184

icon of phone
Call us
301-363-4651 (Available 9 a.m. to 5 p.m. CST from Monday to Friday)
icon of address
Address
7505 Fannin St., Ste 610, Room 7 (CUBIO Innovation Center), Houston, TX 77054, USA
icon of social media
Join us with

Subscribe newsletter

Leave a message

* To protect against spam, please pass the CAPTCHA test below.
CAPTCHA verification
© 2007-2025 CUSABIO TECHNOLOGY LLC All rights reserved. 鄂ICP备15011166号-1
×
Place an order now

I. Product details

*
*
*
*

II. Contact details

*
*

III. Ship To

*
*
*
*
*
*
*

IV. Bill To

*
*
*
*
*
*
*
*