PRDX3 Recombinant Monoclonal Antibody

Code CSB-RA018656MA1HU
Size US$210
Order now
Image
  • Western Blot
    Positive WB detected in: HEK293 whole cell lysate(30µg), colo205 whole cell lysate(30µg), A-431 whole cell lysate(30µg), Hela whole cell lysate(30µg), MCF-7 whole cell lysate(30µg)
    All lanes: PRDX3 antibody at 1:1000
    Secondary
    Goat polyclonal to human IgG at 1/40000 dilution
    Predicted band size: 28 kDa
    Observed band size: 25 kDa
    Exposure time: 20s
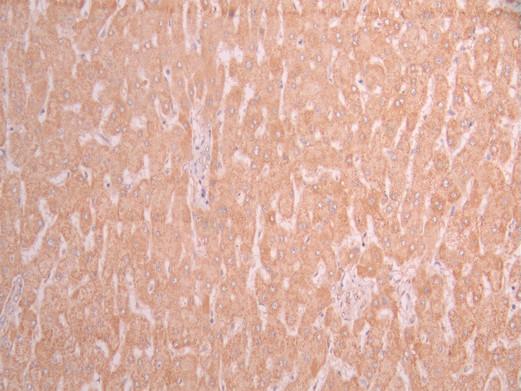
  • IHC image of CSB-RA018656MA1HU diluted at 1:50 and staining in paraffin-embedded human liver tissue performed on a Leica BondTM system. After dewaxing and hydration, antigen retrieval was mediated by high pressure in a citrate buffer (pH 6.0). Section was blocked with 10% normal goat serum 30min at RT. Then primary antibody (1% BSA) was incubated at 4°C overnight. The primary is detected by a Anti-Human lgG, Fcy Fragment Specific labeled by HRP and visualized using 0.05% DAB.
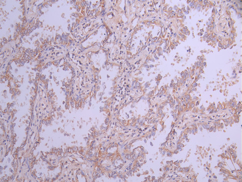
  • IHC image of CSB-RA018656MA1HU diluted at 1:50 and staining in paraffin-embedded human lung cancer performed on a Leica BondTM system. After dewaxing and hydration, antigen retrieval was mediated by high pressure in a citrate buffer (pH 6.0). Section was blocked with 10% normal goat serum 30min at RT. Then primary antibody (1% BSA) was incubated at 4°C overnight. The primary is detected by a Anti-Human lgG, Fcy Fragment Specific labeled by HRP and visualized using 0.05% DAB.
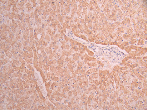
  • IHC image of CSB-RA018656MA1HU diluted at 1:50 and staining in paraffin-embedded human liver cancer performed on a Leica BondTM system. After dewaxing and hydration, antigen retrieval was mediated by high pressure in a citrate buffer (pH 6.0). Section was blocked with 10% normal goat serum 30min at RT. Then primary antibody (1% BSA) was incubated at 4°C overnight. The primary is detected by a Anti-Human lgG, Fcy Fragment Specific labeled by HRP and visualized using 0.05% DAB.
  • Immunofluorescence staining of Hela cell with CSB-RA018656MA1HU at 1:30 ,counter-stained with DAPI. The cells were fixed in 4% formaldehyde, permeabilized using 0.2% Triton X-100 and blocked in 10% normal Goat Serum. The cells were then incubated with the antibody overnight at 4°C. The secondary antibody was Fluorescein (FITC) AffiniPure Goat Anti-Human IgG, Fcγ fragment specific.
  • Overlay Peak curve showing HepG2 cells stained with CSB-RA018656MA1HU (red line) at 1:100. The cells were fixed in 4% formaldehyde and permeated by 0.2% TritonX-100 for 10min. Then 10% normal goat serum to block non-specific protein-protein interactions followed by the antibody (1ug/1*106cells) for 45min at 4℃. The secondary antibody used was Fluorescein (FITC) AffiniPure Goat Anti-Human IgG, Fcγ fragment specific at 1:200 dilution for 35 min at 4℃.Control antibody (green line) was human IgG1 (1ug/1*106cells) used under the same conditions. Acquisition of >10,000 events was performed.
Have Questions? Leave a Message or Start an on-line Chat

Product Details

Uniprot No.
Target Names
Alternative Names
Antioxidant protein 1 antibody; AOP 1 antibody; AOP-1 antibody; AOP1 antibody; HBC189 antibody; MER5 antibody; MGC104387 antibody; MGC24293 antibody; mitochondrial antibody; peroxiredoxin 3 antibody; Peroxiredoxin III antibody; Peroxiredoxin-3 antibody; PRDX3 antibody; PRDX3_HUMAN antibody; PRO1748 antibody; Protein MER5 homolog antibody; PRX III antibody; Prx-III antibody; PRX3 antibody; SP 22 antibody; SP-22 antibody; SP22 antibody; Thioredoxin dependent peroxide reductase mitochondrial antibody; Thioredoxin-dependent peroxide reductase antibody
Species Reactivity
Human
Immunogen
Recombinant Human PRDX3 protein
Immunogen Species
Homo sapiens (Human)
Conjugate
Non-conjugated
Clonality
Monoclonal
Isotype
hIgG1
Clone No.
7G2
Purification Method
Affinity-chromatography
Concentration
It differs from different batches. Please contact us to confirm it.
Buffer
Preservative: 0.03% Proclin 300
Constituents: 50% Glycerol, 0.01M PBS, PH 7.4
Form
Liquid
Tested Applications
ELISA, WB, IHC, IF, FC
Recommended Dilution
Application Recommended Dilution
WB 1:500-1:2000
IHC 1:50-1:200
IF 1:50-1:200
FC 1:50-1:200
Troubleshooting and FAQs
Storage
Upon receipt, store at -20°C or -80°C. Avoid repeated freeze.
Lead Time
Basically, we can dispatch the products out in 1-3 working days after receiving your orders. Delivery time maybe differs from different purchasing way or location, please kindly consult your local distributors for specific delivery time.
Usage
For Research Use Only. Not for use in diagnostic or therapeutic procedures.

Customer Reviews and Q&A

 Customer Reviews

There are currently no reviews for this product.

Submit a Review here

Target Background

Function
Thiol-specific peroxidase that catalyzes the reduction of hydrogen peroxide and organic hydroperoxides to water and alcohols, respectively. Plays a role in cell protection against oxidative stress by detoxifying peroxides. Acts synergistically with MAP3K13 to regulate the activation of NF-kappa-B in the cytosol.
Gene References into Functions
  1. tubular PRX3 in combination with conventional predictors can further improve recovery prediction and may help with risk stratification in AKI patients with pre-existing CKD. PMID: 28240739
  2. results suggest that decreased PRDX3 by excessive bile acids in trophoblasts plays a critical role in the pathogenesis and progression of Intrahepatic cholestasis of pregnancy. PMID: 27958341
  3. Mutants created to investigate link between oligomerisation and peroxidase activity. Obligate dimer is less active than wildtype but still displays peroxidase activity. 2.4A structure (PDB: 5UCX) shows cysteine-stabilised protein interface. PMID: 29438714
  4. the present study identified the protein profiles of the PRDX family in LSCC and showed that down-regulation of PRDX3 in Hep-2 cells induced cell apoptosis and inhibited cell proliferation and cell migration. PMID: 27966448
  5. The UNG1-PRDX3 interaction protected UNG1 from reactive oxygen species-mediated degradation and prevented mitochondrial DNA oxidation. PMID: 27480846
  6. PRDX3 knockdown led to the down-regulation of ATP synthases and the decreased cellular ATP level, contributing to the slow-down of cell growth. Furthermore, silencing PRDX3 enhanced invasive properties of HepG2 cells via TIMP-1 down-regulation and the increased ECM degradation PMID: 26983019
  7. Prx3 and Trx2 comprise an adaptive system to sense changes in atmospheric oxygen tension and influence cellular injury responses through both detoxification of mitochondrial oxidants and regulation of mitochondrial redox-dependent signaling PMID: 28045936
  8. PRX3 plays a crucial role in mitochondrial homeostasis. PMID: 27037278
  9. High PRX3 expression is associated with invasion of lung adenocarcinoma. PMID: 26810067
  10. We also found that forkhead box protein 1 (FOXM1)-induced peroxiredoxin 3 (PRDX3) maintains the mitochondrial function, and the FOXM1/PRDX3 mitochondrial pathway maintains survival of colon CSCs PMID: 26350748
  11. Oxidative stress promotes PRX2 and PRX3 hyperoxidation and attenuates pro-survival signaling in aging chondrocytes. PMID: 26797130
  12. the species with one disulfide and one hyperoxidized active site was decameric for Prx2 and dimeric for Prx3. Reduction and re-oxidation of the hyperoxidized dimer of Prx3 produced hyperoxidized monomers PMID: 26614766
  13. Data indicate that peroxiredoxin III (PrxIII) is a common direct target of both miroRNAs miR-26a-5p and miR-23b-3p. PMID: 24828865
  14. Colon cancer stem cells overexpress the mitochondrial gene PRX3, which is required for maintenance of mitochondrial function and tumorigenesis, and is regulated by forkhead box protein 1, which also regulates expression of CD133 in these cells. PMID: 26091938
  15. High serum PRDX3 levels are associated with hepatocellular carcinoma. PMID: 25743848
  16. Peroxiredoxin 3 levels regulate a mitochondrial redox setpoint in malignant mesothelioma cells. PMID: 25462069
  17. two placental proteins, Prx3 and Prx4, may act as new placental immune targets. PMID: 25323516
  18. Serum PRDX3 can be used as a noninvasive biomarker for the diagnosis and/or prognosis of hepatocellular carcinoma. PMID: 24815434
  19. High peroxiredoxin 3 protein expression is associated with hepatocellular carcinoma. PMID: 24105047
  20. HIF-1alpha is a transcription factor for PRDX3 gene expression in clear cell renal cell carcinoma. PMID: 25093297
  21. Data indicate that engineered Prx2 and Prx3 variants C-terminal residues modulate the extent of hyperoxidation. PMID: 24003226
  22. The silencing of PRDX3 triggered cisplatinmediated apoptosis in the ovarian cancer cells, which may act through suppression of the NFkappaB signaling pathway. PMID: 23503975
  23. Results suggest that PRDX-3 has an essential role in regulating oxidation-induced apoptosis in antiandrogen-resistant prostate cancer cells. PMID: 23880827
  24. peroxiredoxin III may be associated with drug resistance in ovarian cancer PMID: 23564483
  25. A fraction of FOXM1 coexists in the cytoplasm with mitochondrial peroxiredoxin 3. PMID: 23018647
  26. Drug resistance formation was accompanied by a significant increase in the expression of PRDX1, PRDX2, PRDX3, PRDX6 genes in all cancer cell strains, which confirms the importance of redox-dependent mechanisms into development of cisplatin resistance. PMID: 23113308
  27. Medulloblastoma tumors exhibit decreased expression of miR-383 but elevated expression of PRDX3. Up-regulation of miR-383 knocks down the expression of PRDX3, inhibits cell proliferation and promotes apoptosis. PMID: 23157748
  28. the effects of PRDX3 in PCa progression may be caused by the regulation function of miR-23b, and consequently, miR-23b may be involved in the response of PCa cells to hypoxia stress PMID: 22710126
  29. Single nucleotide polymorphisms in the PRDX3 and RPS19 is associated with HPV persistence and cervical precancer/cancer. PMID: 22496757
  30. The results indicated that overexpression of PRDX3 was associated with 94.9% hepatocellular carcinoma, and correlated with poor differentiation (P<0.05), which suggest that PRDX3 has substantial clinical impact on the progression of hepatocarcinoma. PMID: 22344546
  31. Report nuclear factor E2-related factor 2 dependent overexpression of sulfiredoxin and peroxiredoxin III in human lung cancer. PMID: 22016591
  32. Cullin 4B protein ubiquitin ligase targets peroxiredoxin III for degradation. PMID: 21795677
  33. The interaction between genetic variations in the PRDX3 gene and dietary fat intake is important for modulation of BMI and obesity risk. PMID: 21127481
  34. Model for the exceptional reactivity of peroxiredoxins 2 and 3 with hydrogen peroxide: a kinetic and computational study. PMID: 21385867
  35. Paraneoplastic autoimmune reaction against retinal pigment epithelium, with PRDX3 as the putative antigen, may be a cause of acute exudative polymorphous vitelliform maculopathy (AEPVM). PMID: 21220625
  36. Both thioredoxin 2 and glutaredoxin 2 contribute to the reduction of the mitochondrial 2-Cys peroxiredoxin Prx3. PMID: 20929858
  37. Prx3, which resides within mitochondria, were reacted with a selection of hydroperoxides generated by gamma-radiolysis or singlet oxygen, on free amino acids, peptides and proteins. PMID: 20840079
  38. Peroxiredoxin III was significantly up-regulated in cervical cancer tissues. PMID: 20718351
  39. Peroxiredoxin III has a significant role in cell cycle regulation and could be a potential proliferation marker in breast cancer. PMID: 20043069
  40. Protein levels of Prx-III, a mitochondrial protein were significantly decreased in Alzheimer Disease and Down Syndrome. PMID: 11771746
  41. Proteomics analysis of cellular response to oxidative stress. Evidence for in vivo overoxidation of peroxiredoxins at their active site PMID: 11904290
  42. PRDX3 is a c-Myc target gene that is requried to maintain normal mitochondrial function. c-Myc directly activates expression of a mitochondrial peroxiredoxin that is required for Myc-mediated transformation. PMID: 12011429
  43. LZK was associated directly with the IKK complex through the kinase domain, and that AOP-1 was recruited to the IKK complex through the binding to LZK. PMID: 12492477
  44. The level of peroxiredoxin 3 is decreased in the frontal cortex of patients with Down syndrome and Pick's disease. PMID: 12650976
  45. Peroxiredoxin III is a critical regulator of the abundance of mitochondrial H(2)O(2), which itself promotes apoptosis in cooperation with other mediators of apoptotic signaling PMID: 15280382
  46. findings indicate that RPK118 is a PRDX3-binding protein that may be involved in transporting PRDX3 from the cytoplasm to its mitochondrial site of function or to other membrane structures via endosome trafficking. PMID: 15750338
  47. The additive protection by Trx2 and GSH shows that Trx2 and GSH systems are both functionally important at low oxidative stress conditions. PMID: 17548047
  48. Finally, the expression level of beta-globin and GATA-1 was dramatically increased in Prdx III O/E cell line. PMID: 17574212
  49. Present throughout lens and localized to mitochondria in lens epithelial cells. Induction is acute response of lens to increased H2O2. Important role in lens H2O2-detoxification, mitochondrial maintenance, and possibly cataract formation. PMID: 17893648
  50. FOXO3A mediates Prx III expression, and this may play a critical role in the resistance to oxidative stress in cardiac fibroblasts PMID: 18195003

Show More

Hide All

Subcellular Location
Mitochondrion. Cytoplasm. Early endosome.
Protein Families
Peroxiredoxin family, AhpC/Prx1 subfamily
Database Links

HGNC: 9354

OMIM: 604769

KEGG: hsa:10935

STRING: 9606.ENSP00000298510

UniGene: Hs.523302

icon of phone
Call us
301-363-4651 (Available 9 a.m. to 5 p.m. CST from Monday to Friday)
icon of address
Address
7505 Fannin St., Ste 610, Room 7 (CUBIO Innovation Center), Houston, TX 77054, USA
icon of social media
Join us with

Subscribe newsletter

Leave a message

* To protect against spam, please pass the CAPTCHA test below.
CAPTCHA verification
© 2007-2025 CUSABIO TECHNOLOGY LLC All rights reserved. 鄂ICP备15011166号-1
×
Place an order now

I. Product details

*
*
*
*

II. Contact details

*
*

III. Ship To

*
*
*
*
*
*
*

IV. Bill To

*
*
*
*
*
*
*
*