SCP2 Recombinant Monoclonal Antibody

Code CSB-RA286943A0HU
Size US$210
Order now
Image
  • Western Blot
    Positive WB detected in: A431 whole cell lysate(30µg), THP-1 whole cell lysate(30µg), HEK293 whole cell lysate(30µg), NIH/3T3 whole cell lysate(30µg)
    All lanes:Sterol carrier protein 2 antibody at 1:1000
    Secondary
    Goat polyclonal to rabbit IgG at 1/40000 dilution
    Predicted band size: 59 kDa
    Observed band size: 59 kDa
    Exposure time:1min
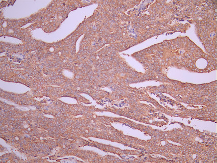
  • IHC image of CSB-RA286943A0HU diluted at 1:100 and staining in paraffin-embedded human liver tissue performed on a Leica BondTM system. After dewaxing and hydration, antigen retrieval was mediated by high pressure in a citrate buffer (pH 6.0). Section was blocked with 10% normal goat serum 30min at RT. Then primary antibody (1% BSA) was incubated at 4°C overnight. The primary is detected by a Goat anti-rabbit polymer IgG labeled by HRP and visualized using 0.05% DAB.
  • IHC image of CSB-RA286943A0HU diluted at 1:100 and staining in paraffin-embedded human prostate cancer performed on a Leica BondTM system. After dewaxing and hydration, antigen retrieval was mediated by high pressure in a citrate buffer (pH 6.0). Section was blocked with 10% normal goat serum 30min at RT. Then primary antibody (1% BSA) was incubated at 4°C overnight. The primary is detected by a Goat anti-rabbit polymer IgG labeled by HRP and visualized using 0.05% DAB.
  • Immunofluorescence staining of HepG2 cell with CSB-RA286943A0HU at 1:50 , counter-stained with DAPI. The cells were fixed in 4% formaldehyde, permeabilized using 0.2% Triton X-100 and blocked in 10% normal Goat Serum. The cells were then incubated with the antibody overnight at 4°C. The secondary antibody was Alexa Fluor 488-congugated AffiniPure Goat Anti-Rabbit IgG(H+L).
  • Overlay Peak curve showing MCF-7 cells stained with CSB-RA286943A0HU (red line) at 1:100. The cells were fixed in 4% formaldehyde and permeated by 0.2% TritonX-100 for 10min. Then 10% normal goat serum to block non-specific protein-protein interactions followed by the antibody (1ug/1*106cells) for 45min at 4℃. The secondary antibody used was FITC-conjugated goat anti-rabbit IgG (H+L) at 1/200 dilution for 35min at 4℃.Control antibody (green line) was Rabbit IgG (1ug/1*106cells) used under the same conditions. Acquisition of >10, 000 events was performed.
Have Questions? Leave a Message or Start an on-line Chat

Product Details

Uniprot No.
Target Names
Alternative Names
DKFZp686C12188 antibody; DKFZp686D11188 antibody; NLTP antibody; NLTP_HUMAN antibody; Non-specific lipid-transfer protein antibody; Nonspecific lipid transfer protein antibody; NSL TP antibody; NSL-TP antibody; OTTHUMP00000010488 antibody; OTTHUMP00000231766 antibody; OTTHUMP00000231767 antibody; OTTHUMP00000231768 antibody; OTTHUMP00000231769 antibody; OTTHUMP00000231770 antibody; OTTHUMP00000231772 antibody; OTTHUMP00000231773 antibody; OTTHUMP00000231774 antibody; OTTHUMP00000231776 antibody; OTTHUMP00000234662 antibody; Propanoyl CoA C acyltransferase antibody; Propanoyl-CoA C-acyltransferase antibody; SCP 2 antibody; SCP chi antibody; SCP X antibody; SCP-2 antibody; SCP-chi antibody; SCP-X antibody; SCP2 antibody; SCPchi antibody; SCPX antibody; Sterol carrier protein 2 antibody; Sterol carrier protein X antibody
Species Reactivity
Human, Mouse
Immunogen
A synthesized peptide from human SCP2 protein
Immunogen Species
Homo sapiens (Human)
Conjugate
Non-conjugated
Clonality
Monoclonal
Isotype
Rabbit IgG
Clone No.
11E6
Purification Method
Affinity-chromatography
Concentration
It differs from different batches. Please contact us to confirm it.
Buffer
Rabbit IgG in 10mM phosphate buffered saline , pH 7.4, 150mM sodium chloride, 0.05% BSA, 0.02% sodium azide and 50% glycerol.
Form
Liquid
Tested Applications
ELISA, WB, IHC, IF, FC
Recommended Dilution
Application Recommended Dilution
WB 1:500-1:5000
IHC 1:50-1:200
IF 1:50-1:200
FC 1:50-1:200
Troubleshooting and FAQs
Storage
Upon receipt, store at -20°C or -80°C. Avoid repeated freeze.
Lead Time
Basically, we can dispatch the products out in 1-3 working days after receiving your orders. Delivery time maybe differs from different purchasing way or location, please kindly consult your local distributors for specific delivery time.
Usage
For Research Use Only. Not for use in diagnostic or therapeutic procedures.

Customer Reviews and Q&A

 Customer Reviews

There are currently no reviews for this product.

Submit a Review here

Target Background

Function
Plays a crucial role in the peroxisomal oxidation of branched-chain fatty acids. Catalyzes the last step of the peroxisomal beta-oxidation of branched chain fatty acids and the side chain of the bile acid intermediates di- and trihydroxycoprostanic acids (DHCA and THCA). Also active with medium and long straight chain 3-oxoacyl-CoAs. Stimulates the microsomal conversion of 7-dehydrocholesterol to cholesterol and transfers phosphatidylcholine and 7-dehydrocholesterol between membrances, in vitro. Isoforms SCP2 and SCPx cooperate in peroxisomal oxidation of certain naturally occurring tetramethyl-branched fatty acyl-CoAs.; Mediates the transfer of all common phospholipids, cholesterol and gangliosides from the endoplasmic reticulum to the plasma membrane. May play a role in regulating steroidogenesis. Stimulates the microsomal conversion of 7-dehydrocholesterol to cholesterol. Also binds fatty acids and fatty acyl Coenzyme A (CoA) such as phytanoyl-CoA. Involved in the regulation phospholipid synthesis in endoplasmic reticulum enhancing the incorporation of exogenous fatty acid into glycerides. Seems to stimulate the rate-limiting step in phosphatidic acid formation mediated by GPAT3. Isoforms SCP2 and SCPx cooperate in peroxisomal oxidation of certain naturally occurring tetramethyl-branched fatty acyl-CoAs.
Gene References into Functions
  1. We (1) analyzed the structural basis of the fold and the classification of SCP2 domains; (2) identified structure-determined sequence features; (3) compared the lipid binding cavity of SCP2 and other lipid binding proteins; (4) surveyed proposed mechanisms of SCP2 mediated lipid transfer between membranes; and (5) uncovered a possible new function of the SCP2 domain as a protein-protein recognition device. PMID: 28284963
  2. imported protein sterol carrier protein 2 (SCP2) occupies only a subregion of larger peroxisomes, highlighting the heterogeneous distribution of proteins even within the peroxisome. PMID: 27311714
  3. Mice harboring a deletion of the Scp2 locus present a modulated diurnal accumulation of lipids in the liver and a perturbed activation of several signaling pathways including PPARalpha, SREBP, LRH-1, TORC1 and its upstream regulators. PMID: 27097688
  4. We conclude that SCP-2 is a low affinity binding protein for arachidonylethanolamine that can facilitate its cellular uptake but does not contribute significantly to intracellular sequestration of AEA. PMID: 24510313
  5. cellular SCP-2 not only binds and translocates cholesterol but also cholesterol hydroperoxides, thus expanding their redox toxicity and signaling ranges under oxidative stress conditions PMID: 20656919
  6. Statistical analysis indicated that six genes, NFATC2, SCP2, CACNA1C, TCRA, POLE, and FAM3D, were associated with narcolepsy. PMID: 20677014
  7. data for the first time showed that while the N-terminal membrane binding domain of SCP(2) was itself inactive in mediating intermembrane sterol transfer, it nevertheless potentiated the ability of SCP(2) to enhance sterol transfer PMID: 12356316
  8. plays a hitherto unrecognized role in intracellular phosphatidylinositol transfer, distribution, and signaling PMID: 12641450
  9. SCP2 in the cellular defense against oxidative damage and found that a fluorescent fatty acid analog bound to SCP2 is protected against H2O2/Cu2+-induced oxidative damage PMID: 14563822
  10. Overexpression of human SCP-2 in murine fibroblasts significantly alters the sterol dynamics of caveolae/lipid rafts, but not nonlipid raft domains, to facilitate retention of cholesterol within the cell. PMID: 14661971
  11. By trafficking cholesterol hydroperoxides and phospholipid hydroperoxides in addition to parent lipids, SCP2 may exacerbate cell injury under oxidative stress conditions PMID: 15449949
  12. Long chain fatty acyl-coenzyme A (CoA)s are confirmed to be high affinity ligands for SCP2, while long chain fatty acyl-carnitines are demonstrated for the first time not to interact with SCP2. PMID: 17418802
  13. the importance of the N-terminal presequence in regulating SCP-2 structure, cholesterol localization within the ligand binding site, membrane association, and, potentially, intracellular targeting PMID: 18465878
  14. Results describe the dynamical effect of sterol carrier protein-2 (SCP-2) interacting between aqueous dispersions of dehydroergosterol monohydrate microcrystal donors and acceptors. PMID: 19020914

Show More

Hide All

Involvement in disease
Leukoencephalopathy with dystonia and motor neuropathy (LKDMN)
Subcellular Location
[Isoform SCP2]: Peroxisome. Cytoplasm. Mitochondrion. Endoplasmic reticulum. Mitochondrion.; [Isoform SCPx]: Peroxisome.
Protein Families
Thiolase family
Tissue Specificity
Liver, fibroblasts, and placenta.
Database Links

HGNC: 10606

OMIM: 184755

KEGG: hsa:6342

STRING: 9606.ENSP00000360569

UniGene: Hs.476365

icon of phone
Call us
301-363-4651 (Available 9 a.m. to 5 p.m. CST from Monday to Friday)
icon of address
Address
7505 Fannin St., Ste 610, Room 7 (CUBIO Innovation Center), Houston, TX 77054, USA
icon of social media
Join us with

Subscribe newsletter

Leave a message

* To protect against spam, please pass the CAPTCHA test below.
CAPTCHA verification
© 2007-2025 CUSABIO TECHNOLOGY LLC All rights reserved. 鄂ICP备15011166号-1
×
Place an order now

I. Product details

*
*
*
*

II. Contact details

*
*

III. Ship To

*
*
*
*
*
*
*

IV. Bill To

*
*
*
*
*
*
*
*