SEC62 Recombinant Monoclonal Antibody

Code CSB-RA169564A0HU
Size US$210
Order now
Image
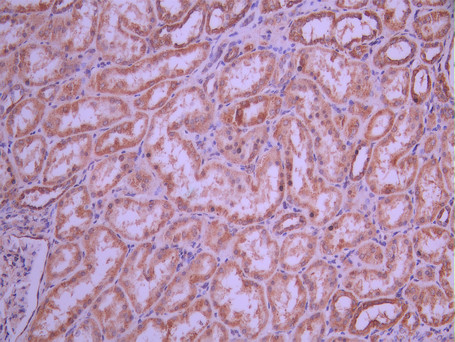
  • IHC image of CSB-RA169564A0HU diluted at 1:100 and staining in paraffin-embedded human kidney tissue performed on a Leica BondTM system. After dewaxing and hydration, antigen retrieval was mediated by high pressure in a citrate buffer (pH 6.0). Section was blocked with 10% normal goat serum 30min at RT. Then primary antibody (1% BSA) was incubated at 4°C overnight. The primary is detected by a Goat anti-rabbit polymer IgG labeled by HRP and visualized using 0.05% DAB.
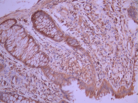
  • IHC image of CSB-RA169564A0HU diluted at 1:100 and staining in paraffin-embedded human colorectal cancer performed on a Leica BondTM system. After dewaxing and hydration, antigen retrieval was mediated by high pressure in a citrate buffer (pH 6.0). Section was blocked with 10% normal goat serum 30min at RT. Then primary antibody (1% BSA) was incubated at 4°C overnight. The primary is detected by a Goat anti-rabbit polymer IgG labeled by HRP and visualized using 0.05% DAB.
  • Overlay Peak curve showing MCF-7 cells stained with CSB-RA169564A0HU (red line) at 1:100. The cells were fixed in 4% formaldehyde and permeated by 0.2% TritonX-100 for 10min. Then 10% normal goat serum to block non-specific protein-protein interactions followed by the antibody (1ug/1*106cells) for 45min at 4℃. The secondary antibody used was FITC-conjugated goat anti-rabbit IgG (H+L) at 1/200 dilution for 35min at 4℃.Control antibody (green line) was Rabbit IgG (1ug/1*106cells) used under the same conditions. Acquisition of >10, 000 events was performed.
Have Questions? Leave a Message or Start an on-line Chat

Product Details

Uniprot No.
Target Names
Alternative Names
SEC62; TLOC1; Translocation protein SEC62; Translocation protein 1; TP-1; hTP-1
Species Reactivity
Human
Immunogen
A synthesized peptide from human SEC62 protein
Immunogen Species
Homo sapiens (Human)
Conjugate
Non-conjugated
Clonality
Monoclonal
Isotype
Rabbit IgG
Clone No.
16B11
Purification Method
Affinity-chromatography
Concentration
It differs from different batches. Please contact us to confirm it.
Buffer
Rabbit IgG in 10mM phosphate buffered saline , pH 7.4, 150mM sodium chloride, 0.05% BSA, 0.02% sodium azide and 50% glycerol.
Form
Liquid
Tested Applications
ELISA, IHC, FC
Recommended Dilution
Application Recommended Dilution
IHC 1:50-1:200
FC 1:50-1:200
Troubleshooting and FAQs
Storage
Upon receipt, store at -20°C or -80°C. Avoid repeated freeze.
Lead Time
Basically, we can dispatch the products out in 1-3 working days after receiving your orders. Delivery time maybe differs from different purchasing way or location, please kindly consult your local distributors for specific delivery time.
Usage
For Research Use Only. Not for use in diagnostic or therapeutic procedures.

Customer Reviews and Q&A

 Customer Reviews

There are currently no reviews for this product.

Submit a Review here

Target Background

Function
Mediates post-translational transport of precursor polypeptides across endoplasmic reticulum (ER). Proposed to act as a targeting receptor for small presecretory proteins containing short and apolar signal peptides. Targets and properly positions newly synthesized presecretory proteins into the SEC61 channel-forming translocon complex, triggering channel opening for polypeptide translocation to the ER lumen.
Gene References into Functions
  1. Results show higher SEC62 in the lymph node metastases from head and neck squamous cell carcinomas and cervical cancer of unknown primary patients compared with the primary tumor. Tumors from N1 to N3 stage exhibit increasing SEC62 expression in the lymphatic metastases. Its knockdown resulted in tumor cell line migration inhibition while, its overexpression stimulated cell migration. PMID: 28002801
  2. High Sec62 expression is associated with dysplastic cervical lesions. PMID: 27553742
  3. identify Sec62 as a critical molecular component in maintenance and recovery of endoplasmic reticulum homeostasis PMID: 27749824
  4. these studies identify TLOC1 and SKIL as driver genes at 3q26 and more broadly suggest that cooperating genes may be coamplified in other regions with somatic copy number gain. PMID: 23764425
  5. Sec62 overproduction significantly correlates with reduced non-small lung cancer patient survival. PMID: 24304694
  6. Phosphorylation of Sec63 by CK2 enhanced its binding to Sec62 PMID: 23287549
  7. Silencing the SEC62 gene inhibits post-translational transport of small presecretory proteins into endoplasmic reticulum. PMID: 22375059
  8. the Sec62-dependent translocation pathway serves as a fail-safe mechanism to ensure efficient secretion of small proteins and provides cells with an opportunity to regulate secretion of small proteins independent of the signal recognition particle pathway PMID: 22648169
  9. These results revealed that cyclin B1 and Sec62 may be candidate biomarkers and potential therapeutic targets for HBV-related HCC recurrence after surgery. PMID: 22682366
  10. The results indicate that SEC62 represents a potential candidate oncogene in the amplified 3q region in cases of non-small cell lung cancer. PMID: 22197383
  11. Our data indicate a crucial function of Sec62 in the response to thapsigargin-induced endoplasmic reticulum stress. PMID: 21557272
  12. after silencing of SEC62 the cell migration and the invasive potential of the cells was blocked or at least dramatically reduced while cell viability was hardly affected. SEC62 gene may indeed be considered a target gene in the therapy of various tumors PMID: 20669223
  13. The gene TLOC1/SEC62 revealed the highest frequency (50%) of copy number gains in the prostate cancer and was found to be up-regulated at the mRNA level. PMID: 16547154

Show More

Hide All

Subcellular Location
Endoplasmic reticulum membrane; Multi-pass membrane protein.
Protein Families
SEC62 family
Database Links

HGNC: 11846

OMIM: 602173

KEGG: hsa:7095

STRING: 9606.ENSP00000337688

UniGene: Hs.744859

icon of phone
Call us
301-363-4651 (Available 9 a.m. to 5 p.m. CST from Monday to Friday)
icon of address
Address
7505 Fannin St., Ste 610, Room 7 (CUBIO Innovation Center), Houston, TX 77054, USA
icon of social media
Join us with

Subscribe newsletter

Leave a message

* To protect against spam, please pass the CAPTCHA test below.
CAPTCHA verification
© 2007-2025 CUSABIO TECHNOLOGY LLC All rights reserved. 鄂ICP备15011166号-1
×
Place an order now

I. Product details

*
*
*
*

II. Contact details

*
*

III. Ship To

*
*
*
*
*
*
*

IV. Bill To

*
*
*
*
*
*
*
*