SLC2A1 Recombinant Monoclonal Antibody

Code CSB-RA297401A0HU
Size US$210
Order now
Image
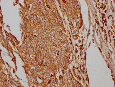
  • IHC image of CSB-RA297401A0HU diluted at 1:100 and staining in paraffin-embedded human cervical cancer performed on a Leica BondTM system. After dewaxing and hydration, antigen retrieval was mediated by high pressure in a citrate buffer (pH 6.0). Section was blocked with 10% normal goat serum 30min at RT. Then primary antibody (1% BSA) was incubated at 4℃ overnight. The primary is detected by a Goat anti-rabbit IgG polymer labeled by HRP and visualized using 0.05% DAB.
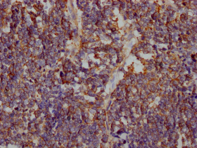
  • IHC image of CSB-RA297401A0HU diluted at 1:100 and staining in paraffin-embedded human lung cancer performed on a Leica BondTM system. After dewaxing and hydration, antigen retrieval was mediated by high pressure in a citrate buffer (pH 6.0). Section was blocked with 10% normal goat serum 30min at RT. Then primary antibody (1% BSA) was incubated at 4℃ overnight. The primary is detected by a Goat anti-rabbit IgG polymer labeled by HRP and visualized using 0.05% DAB.
Have Questions? Leave a Message or Start an on-line Chat

Product Details

Uniprot No.
Target Names
Alternative Names
Solute carrier family 2, facilitated glucose transporter member 1 (Glucose transporter type 1, erythrocyte/brain) (GLUT-1) (HepG2 glucose transporter), SLC2A1, GLUT1
Species Reactivity
Human
Immunogen
A synthesized peptide derived from human Glucose Transporter GLUT1
Immunogen Species
Homo sapiens (Human)
Conjugate
Non-conjugated
Clonality
Monoclonal
Isotype
Rabbit IgG
Clone No.
2E1
Purification Method
Affinity-chromatography
Concentration
It differs from different batches. Please contact us to confirm it.
Buffer
Rabbit IgG in 10mM phosphate buffered saline , pH 7.4, 150mM sodium chloride, 0.05% BSA, 0.02% sodium azide and 50% glycerol.
Form
Liquid
Tested Applications
ELISA, IHC
Recommended Dilution
Application Recommended Dilution
IHC 1:50-1:200
Troubleshooting and FAQs
Storage
Upon receipt, store at -20°C or -80°C. Avoid repeated freeze.
Lead Time
Basically, we can dispatch the products out in 1-3 working days after receiving your orders. Delivery time maybe differs from different purchasing way or location, please kindly consult your local distributors for specific delivery time.
Description

SLC2A1, commonly known as GLUT1, serves as the primary facilitated glucose transporter in erythrocytes and across the blood-brain barrier, making it essential for basal glucose uptake in tissues with high energy demands. This transporter has garnered significant research attention due to its frequent overexpression in malignant cells, where it supports the elevated glycolytic metabolism characteristic of the Warburg effect. Understanding GLUT1 expression patterns provides valuable insights into tumor metabolism, cardiovascular physiology, and metabolic disorders.

This recombinant monoclonal antibody, generated against a synthetic peptide derived from human GLUT1, offers the reproducibility that demanding research requires. Because recombinant antibodies are produced from defined genetic sequences rather than traditional hybridoma methods, researchers benefit from exceptional lot-to-lot consistency throughout long-term studies or multi-site collaborations. The rabbit IgG format, purified by affinity chromatography, ensures high specificity for your target while minimizing background interference.

Validation in immunohistochemistry demonstrates reliable performance in paraffin-embedded human tissue sections. Testing in both cervical cancer and lung cancer specimens at 1:100 dilution confirms the antibody's utility for studying GLUT1 expression in tumor microenvironments, with citrate buffer antigen retrieval providing optimal signal. The recommended working range of 1:50 to 1:200 allows flexibility for optimization across different tissue types and detection systems. Additional compatibility with ELISA extends its utility for quantitative applications.

For researchers investigating cancer metabolism, cardiovascular glucose transport, or signal transduction pathways linked to nutrient sensing, this antibody provides a dependable tool for characterizing GLUT1 expression in human samples with the consistency that rigorous experimental design demands.

Usage
For Research Use Only. Not for use in diagnostic or therapeutic procedures.

Customer Reviews and Q&A

 Customer Reviews

There are currently no reviews for this product.

Submit a Review here

Target Background

Function
Facilitative glucose transporter, which is responsible for constitutive or basal glucose uptake. Has a very broad substrate specificity; can transport a wide range of aldoses including both pentoses and hexoses. Most important energy carrier of the brain: present at the blood-brain barrier and assures the energy-independent, facilitative transport of glucose into the brain. In association with BSG and NXNL1, promotes retinal cone survival by increasing glucose uptake into photoreceptors.
Gene References into Functions
  1. SLC2A1 variants and haplotypes may be involved in the pathogenesis of diabetic nephropathy [meta-analysis] PMID: 30353771
  2. These findings promote development of metabolic-based cancer detection technologies, and suggest that 2GF-GNPs may enable specific cancer detection in a wide range of tumors characterized by high GLUT-1 expression PMID: 30028251
  3. Kazakh and Han patients with esophageal squamous cell carcinoma with Glut1 c-myc co-expression had poorer prognosis. PMID: 29629851
  4. miR-328 expression is reduced in colon cancer patients and thus inversely correlates with the classically reported upregulated SLC2A1/GLUT1 expression in tumors. PMID: 29374351
  5. Glucose transporter-1 could play a role not only in the onset of psoriasis but also in the progression and severity of the disease. It may participate in the pathogenesis of psoriasis through the facilitation of epidermal hyperproliferation, inflammation, and angiogenesis. PMID: 29797802
  6. Data suggest that GLUT1 functions as tetramer of adjacent dimers of allosteric, alternating access transporters in which (a) cis-allostery is mediated by intra-subunit interaction and (b) trans-allostery requires inter-subunit interaction. Endofacial (vs exofacial) cis-allostery obtains when affinity of un-liganded e1 (endofacial) GLUT1 subunit in one dimer is increased by occupancy of e1 GLUT1 subunit of adjacent dimer. PMID: 29066623
  7. Results show that GLUT1 is sensitive and specific marker for colorectal cancer (CRC). It is overexpressed in young age patients, poor performance status, and stage IV patients. Although this was not statistically significant, GLUT 1 showed higher expression level in patients with lesser survival. PMID: 29205188
  8. GLUT1 ectopic overexpression makes PCa cells more resistant to glucose deprivation and oxidative stress-induced cell death. Under glucose deprivation, GLUT1 overexpressing PCa cells sustains mitochondrial SOD2 activity, compromised after glucose removal, and significantly increases reduced glutathione (GSH) PMID: 29684818
  9. Results confirm the positive expression of Glut1 in colorectal neoplasm (CRC) and its involvement in proliferation and cell survival of cancer cells. Its silencing inhibits the proliferation and promoted apoptosis of CRC cells by inactivating TGF-beta/PI3K-AKT-mTOR signaling pathway. PMID: 28884839
  10. p-ERK-mediated phosphorylation and stabilization of JMJD2B during glucose deprivation contributes to its role in glucose uptake and cell viability, which may be modulated through epigenetically upregulation of GLUT1 in colon cancer cells. PMID: 28945223
  11. work characterized the clustering distribution of GLUT1 and linked its spatial structural organization to the functions, which would provide insights into the activation mechanism of the transporter. PMID: 29915035
  12. This study present the results from the molecular genetics study of the SLC2A1 gene in Bulgarian patients with different forms of genetic generalized epilepsy having emerged in childhood. PMID: 29223885
  13. Expression of SLC5A5 mRNA was negatively correlated with SLC2A1 mRNA. This finding provides a molecular basis for the management of PTC with negative WBS using F-FDG PET scans. In addition, higher expression of SLC5A5 mRNA was associated with less PTC [papillary thyroid cancer] recurrence, but not with deaths. PMID: 29978611
  14. GLUT-1 in nasopharyngeal carcinoma and its clinical significance PMID: 29164572
  15. YAP1 interacted with TEAD1, exerted their transcriptional control of the functional target, glucose transporter 1 (Glut1). PMID: 28892790
  16. experiments mainly reveal that the CREB1 could affect glucose transport in glioma cells by regulating the expression of GLUT1, which controlled the metabolism of glioma and affected the progression of glioma. PMID: 28646353
  17. These data provide new insights into the physiological relevance of GLUT1 multimerization as well as a new variant of bioluminescent Forster resonance energy transfer assay that is useful for measuring the interactions among other cell membrane proteins in live cells PMID: 27357903
  18. Study demonstrated that the high mRNA level of both MCT1 and GLUT1 correlated with poor prognosis, high- Fuhrman grade clear-cell renal cell carcinoma and metabolic reprogramming. PMID: 29481555
  19. GLUT1 and MCT1 membrane overexpression was significantly higher in Papillary Renal Cell carcinoma PMID: 28028797
  20. the TT genotype in XbaI G>T SNP and CC genotype of HaeIII T>C SNP may have protective effect in the carcinogenesis process of UCC. In the XbaI G>T SNP, the GG genotype of was positively related to tumor proliferation, glucose metabolism, tumor grade and stage. PMID: 28524154
  21. HOTAIR promoted glycolysis by upregulating glucose transporter isoform 1 (GLUT1) and activating mammalian target of rapamycin (mTOR) signaling. PMID: 28731193
  22. In preeclampsia, placental GLUT1 expression and function are down-regulated at the apical plasma membrane of the syncytiotrophoblast. PMID: 28623979
  23. High glut1 expression is associated with Pancreatic Cancer. PMID: 28180987
  24. Study confirms the high expression of Glut-1 not only in endometrioid carcinomas but also in other carcinomas of endometrium including clear cell and serous types. Glut-1 expression can be used as a surrogate marker in differential diagnosis between hyperplasia with and without atypia. PMID: 28381136
  25. This systematic review and meta-analysis indicated that the GLUT1 may serve as an ideal prognostic biomarker in various cancers. PMID: 28498810
  26. This study did not detect any pathogenic mutations in SLC2A1 in the patient with focal epilepsy. PMID: 28419980
  27. Taken together, our study provides a new perspective of miR-148b in gastric cancer (GC) development through inhibiting glycolysis in GC cells , directly targeting glucose transporter SLC2A1. PMID: 28440026
  28. Data suggest that plasma glycation with erythrocyte membrane modification is associated with oxidative stress, GLUT1 expression, and erythrocyte fragility in patients with type 2 diabetes; such glycation may further contribute to progression of diabetic vascular complications. PMID: 27884659
  29. FOXM1 bound directly to the GLUT1 and HK2 promoter regions and regulated the promoter activities and the expression of the genes at the transcriptional level. This reveals a novel mechanism by which glucose metabolism is regulated by FOXM1. PMID: 27351131
  30. Whereas, Glut1-mediated glucose uptake also requires mTORC2 phosphorylation of the hydrophobic domain, demonstrating both phosphorylation-dependent and independent roles of the hydrophobic domain in regulating glucose uptake. PMID: 28589878
  31. The levels of GLUT1 and GLUT3, the major brain glucose transporters, are decreased, especially in the cerebral cortex in patient with Alzheimer disease. PMID: 27858715
  32. High levels of GLUT1 are associated with Lung Adenocarcinoma. PMID: 29374742
  33. Glucose transporter type 1 deficiency syndrome is the result of impaired glucose transport into the brain. Patients with glucose transporter type 1 syndrome may present with infantile seizures, developmental delay, acquired microcephaly, spasticity and ataxia. PMID: 28443597
  34. The results demonstrated the high frequency of C allele of SLC2A1 HaeIII in Kurdish patients with diabetic nephropathy. It was also found that this polymorphism is a significant risk factor for diabetic nephropathy. The effect of this polymorphism on clinical and laboratory characteristics of diabetic nephropathy patients was significant. PMID: 26337659
  35. Expression of GLUT1 is stimulated by hyperglycemia and low oxygen supply, and this overexpression was associated with increased activity of GLUT1 in the cell membrane that contributes to the impairment of the RPE secretory function of PEDF. PMID: 27440994
  36. A heterozygous SLC2A1 mutation in the severely affected child was inherited from his less severely affected mother who was mosaic for the mutation PMID: 28124377
  37. UCP2 stimulates hnRNPA2/B1, GLUT1 and PKM2 expression and sensitizes pancreatic cancer cells to glycolysis inhibition. PMID: 27989750
  38. ablation of Glut1 attenuated apoptosis and increased drug resistance via upregulation of p-Akt/p-GSK-3beta (Ser9)/beta-catenin/survivin. PMID: 28803837
  39. Data show that SALL4 promotes the expression of Glut1 and open chromatin through a HP1alpha-dependent mechanism. PMID: 28759035
  40. Results show that PPARalpha directly targeted the consensus PPRE motif of Glut1 promoter region resulting in Glut1 transcription repression leding to decreased influx of glucose in cancer cells. PMID: 27918085
  41. Strong GLUT1 staining was inversely associated with circulating levels of fasting glucose in high grade serous ovarian cancer. PMID: 28542798
  42. Metabolically active CD4+ T cells expressing Glut1 and OX40 preferentially harbor HIV during in vitro infection. PMID: 28892135
  43. SLC2A1/GLUT1 is expressed late in the adenoma-carcinoma sequence during carcinogenesis in intraductal papillary mucinous neoplasms of the pancreas. PMID: 28412205
  44. Paraoxonase 2 facilitates pancreatic ductal cancer growth and metastasis by stimulating GLUT1-mediated glucose transport. PMID: 28803777
  45. Data show that Prima-1 kills hypoxic wt p53 KRAS-mutant cells resistant to 3-bromopyruvate (3-BrPA), partly by decreasing GLUT-1 expression. PMID: 27863474
  46. A de novo 5'-UTR variant in SLC2A1, generating a novel translation initiation codon, severely compromising SLC2A1 function was identified in a GLUT1 deficiency syndrome patient. PMID: 28378819
  47. High GLUT1 expression is associated with metastasis and epithelial-mesenchymal transition in hepatocellular carcinoma. PMID: 28429188
  48. High GLUT-1 expression predicted shorter overall survival (OS) in patients with pancreatic cancer, and was was associated with a tumor size of >2 cm and presence of lymph node metastasis. PMID: 28178665
  49. detected significantly reduced GLUT1 expression only on red blood cells from patients with GLUT1-Deficiency Syndrome. PMID: 28556183
  50. GLUT-1(+) specimens were classified as true infantile hemangioma (IH) and GLUT-1(-) specimens were reclassified as pyogenic granulomas and vascular malformations based on their histopathological features. PMID: 28545938

Show More

Hide All

Involvement in disease
GLUT1 deficiency syndrome 1 (GLUT1DS1); GLUT1 deficiency syndrome 2 (GLUT1DS2); Epilepsy, idiopathic generalized 12 (EIG12); Dystonia 9 (DYT9); Stomatin-deficient cryohydrocytosis with neurologic defects (SDCHCN)
Subcellular Location
Cell membrane; Multi-pass membrane protein. Melanosome. Photoreceptor inner segment.
Protein Families
Major facilitator superfamily, Sugar transporter (TC 2.A.1.1) family, Glucose transporter subfamily
Tissue Specificity
Detected in erythrocytes (at protein level). Expressed at variable levels in many human tissues.
Database Links

HGNC: 11005

OMIM: 138140

KEGG: hsa:6513

STRING: 9606.ENSP00000416293

UniGene: Hs.473721

icon of phone
Call us
301-363-4651 (Available 9 a.m. to 5 p.m. CST from Monday to Friday)
icon of address
Address
7505 Fannin St., Ste 610, Room 7 (CUBIO Innovation Center), Houston, TX 77054, USA
icon of social media
Join us with

Subscribe newsletter

Leave a message

* To protect against spam, please pass the CAPTCHA test below.
CAPTCHA verification
© 2007-2026 CUSABIO TECHNOLOGY LLC All rights reserved. 鄂ICP备15011166号-1
Place an order now

I. Product details

*
*
*
*

II. Contact details

*
*

III. Ship To

*
*
*
*
*
*
*

IV. Bill To

*
*
*
*
*
*
*
*