STOML2 Recombinant Monoclonal Antibody

Code CSB-RA040491A0HU
Size US$210
Order now
Image
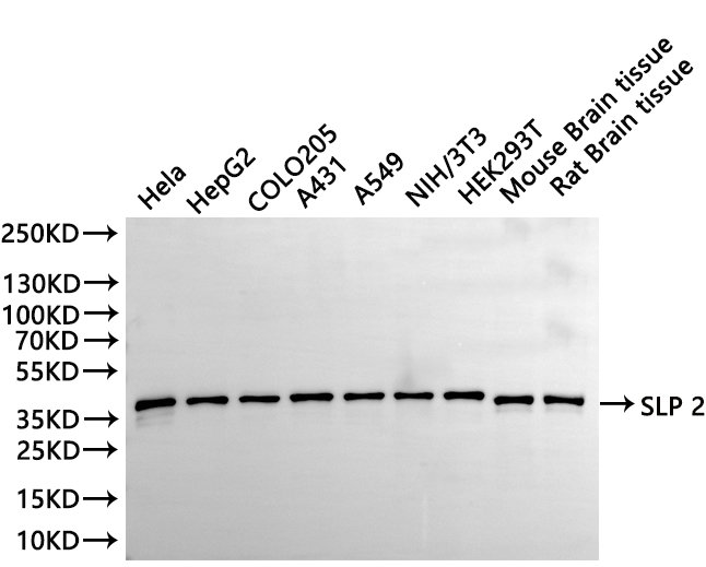
  • Western Blot
    Positive WB detected in: Hela whole cell lysate(30µg), HepG2 whole cell lysate(30µg), COLO-205 whole cell lysate(30µg), A431 whole cell lysate(30µg), A549 whole cell lysate(30µg), SH-SY5Y whole cell lysate(30µg), HEK293T whole cell lysate(30µg), Mouse brain tissue lysate(30µg), Rat brain tissue lysate(30µg)
    All lanes:SLP 2 antibody at 1:1000
    Secondary
    Goat polyclonal to rabbit IgG at 1/40000 dilution
    Predicted band size: 39 kDa
    Observed band size: 39 kDa
    Exposure time:30s
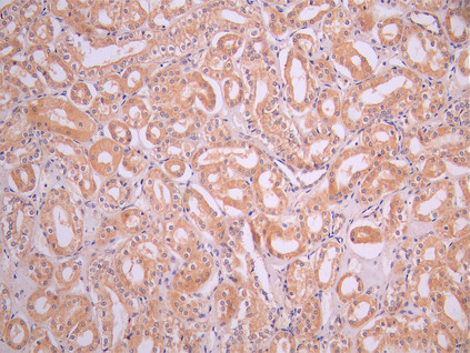
  • IHC image of CSB-RA040491A0HU diluted at 1:100 and staining in paraffin-embedded human kidney tissue performed on a Leica BondTM system. After dewaxing and hydration, antigen retrieval was mediated by high pressure in a citrate buffer (pH 6.0). Section was blocked with 10% normal goat serum 30min at RT. Then primary antibody (1% BSA) was incubated at 4°C overnight. The primary is detected by a Goat anti-rabbit polymer IgG labeled by HRP and visualized using 0.05% DAB.
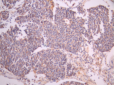
  • IHC image of CSB-RA040491A0HU diluted at 1:100 and staining in paraffin-embedded human lung cancer performed on a Leica BondTM system. After dewaxing and hydration, antigen retrieval was mediated by high pressure in a citrate buffer (pH 6.0). Section was blocked with 10% normal goat serum 30min at RT. Then primary antibody (1% BSA) was incubated at 4°C overnight. The primary is detected by a Goat anti-rabbit polymer IgG labeled by HRP and visualized using 0.05% DAB.
Have Questions? Leave a Message or Start an on-line Chat

Product Details

Uniprot No.
Target Names
Alternative Names
EPB72 like protein 2 antibody; EPB72-like protein 2 antibody; HSPC108 antibody; OTTHUMP00000021320 antibody; Paraprotein target 7 antibody; Paratarg 7 antibody; SLP 2 antibody; SLP-2 antibody; SLP2 antibody; STML2_HUMAN antibody; Stomatin (EPB72) like 2 antibody; Stomatin like 2 antibody; Stomatin like protein 2 antibody; Stomatin like protein 2, mitochondrial antibody; Stomatin-like protein 2 antibody; STOML2 antibody
Species Reactivity
Human, Mouse, Rat
Immunogen
A synthesized peptide from human STOML2 protein
Immunogen Species
Homo sapiens (Human)
Conjugate
Non-conjugated
Clonality
Monoclonal
Isotype
Rabbit IgG
Clone No.
4B4
Purification Method
Affinity-chromatography
Concentration
It differs from different batches. Please contact us to confirm it.
Buffer
Rabbit IgG in 10mM phosphate buffered saline , pH 7.4, 150mM sodium chloride, 0.05% BSA, 0.02% sodium azide and 50% glycerol.
Form
Liquid
Tested Applications
ELISA, WB, IHC
Recommended Dilution
Application Recommended Dilution
WB 1:500-1:5000
IHC 1:50-1:200
Troubleshooting and FAQs
Storage
Upon receipt, store at -20°C or -80°C. Avoid repeated freeze.
Lead Time
Basically, we can dispatch the products out in 1-3 working days after receiving your orders. Delivery time maybe differs from different purchasing way or location, please kindly consult your local distributors for specific delivery time.
Usage
For Research Use Only. Not for use in diagnostic or therapeutic procedures.

Customer Reviews and Q&A

 Customer Reviews

There are currently no reviews for this product.

Submit a Review here

Target Background

Function
Mitochondrial protein that probably regulates the biogenesis and the activity of mitochondria. Stimulates cardiolipin biosynthesis, binds cardiolipin-enriched membranes where it recruits and stabilizes some proteins including prohibitin and may therefore act in the organization of functional microdomains in mitochondrial membranes. Through regulation of the mitochondrial function may play a role into several biological processes including cell migration, cell proliferation, T-cell activation, calcium homeostasis and cellular response to stress. May play a role in calcium homeostasis through negative regulation of calcium efflux from mitochondria. Required for mitochondrial hyperfusion a pro-survival cellular response to stress which results in increased ATP production by mitochondria. May also regulate the organization of functional domains at the plasma membrane and play a role in T-cell activation through association with the T-cell receptor signaling complex and its regulation.
Gene References into Functions
  1. TROP-2, SLP-2 and CD56 were effective diagnostic markers for PTC, especially when they were combined to use. PMID: 29951933
  2. Data show that SLP-2 is upregulated by high cisplatin concentrations, leading to increased protein turnover. Overexpression of SLP-2 activates the MEK/ERK signaling pathway, and suppresses the mitochondrial apoptosis pathway, indicating that SLP-2 inhibits apoptosis by activating the MEK/ERK pathway and inhibiting the mitochondrial apoptosis pathway in cervical cancer cells. PMID: 29516570
  3. The expression of STOML2, a gene that plays a key role in mitochondrial function and T-cell activation, is associated with both IL-6 signaling and asthma risk. PMID: 26932604
  4. results reveal an important role of SLP2 membrane scaffolds for the spatial organization of inner membrane proteases regulating mitochondrial dynamics, quality control, and cell survival. PMID: 27737933
  5. Slp2 is involved in endometrial stromal cell proliferation and differentiation during decidualization in mice and humans PMID: 27986413
  6. The significant association of SLP-2 overexpression with unfavorable clinicopathological characteristics and BRAFV600E mutation indicates that SLP-2 may have a role in aggressiveness of BRAF-mutated papillary thyroid carcinoma. PMID: 26750533
  7. Stomatin-like protein 2 is overexpressed in epithelial ovarian cancer and predicts poor patient survival PMID: 26487491
  8. STOML2 was correlated to progression in cervical cancer, and implicated it as a potential predictive factor for the prognosis of cervical cancer. PMID: 25973071
  9. Our study showed that STOML-2 was negatively regulated by miR1207-5p in esophageal carcinoma PMID: 25695396
  10. SLP-2 was upregulated by TGF-beta1, indicating a possible role of SLP-2 in Papillary thyroid cancer tumorigenesis. PMID: 24190591
  11. STOML2 may have a role in progression of gastric adenocarcinoma PMID: 24258357
  12. Increased levels of SLP-2 correlate with lymph node metastasis in gastric cancer. PMID: 23371255
  13. SLP-2 may play an important role in human GBC tumorigenesis, and SLP-2 might serve as a novel prognostic marker in human GBC. PMID: 23918306
  14. Expression of SLP-2 is associated with invasion of esophageal squamous cell carcinoma. PMID: 23667687
  15. SLP-2 deficiency in T-lymphocytes is associated with abnormal cardiolipin compartmentalization in mitochondrial membranes, defects associated with altered mitochondrial respiration that is increasingly uncoupled from ATP production. PMID: 23028053
  16. [review] Stomatin family member STOML2 is oligomeric; it localizes mostly to membrane domains and has been shown to modulate ion channel activity. PMID: 21501885
  17. SLP-2 facilitates the compartmentalization not only of mitochondrial membranes but also of the plasma membrane into functional microdomains. PMID: 22623988
  18. investigation of biomarkers for early diagnosis of endometriosis: Data suggest that SLP2, tropomyosin 3, and tropomodulin 3 are autoantigens present in blood of women with endometriosis; immunodominant epitopes were identified. PMID: 22158085
  19. SLP-2 and HER2/neu can play a role in lymph node/distant metastases of breast cancers PMID: 22081131
  20. We propose that the function of SLP-2 is to recruit prohibitins to cardiolipin to form cardiolipin-enriched microdomains in which electron transport complexes are optimally assembled. PMID: 21746876
  21. plasma concentrations of stomatin (EPB72)-like 2 in early-stage colorectal cancer patients were elevated as compared with those of healthy individuals PMID: 21209152
  22. The dominant inheritance of hyperphosphorylated paratarg-7 explains cases of familial IgM monoclonal gammopathy of undetermined significance and Waldenstrom macroglobulinemia PMID: 21220746
  23. negatively modulates mitochondrial sodium-calcium exchange PMID: 19944461
  24. SLP-2 overexpression is associated with tumour distant metastasis and poor prognosis in pulmonary squamous cell carcinoma. PMID: 19839737
  25. overexpression of stomatin-like protein 2 is associated with neoplasms PMID: 16533792
  26. SLP-2 is a high abundance protein in several tissues and cells and may play an important biological role; this study uses mass spectrometry to analyze its primary structure PMID: 16671055
  27. SLP-2 was overexpressed in endometrial adenocarcinoma compared with their normal counterparts. PMID: 17342323
  28. High-level SLP-2 expression was associated with decreased overall survival (P = .011) and was more often found in patients with tumors larger than 20 mm, lymph node metastasis, advanced clinical stage, distant metastasis PMID: 17709317
  29. SLP-2 is an important player in T cell activation by ensuring sustained TCR signaling PMID: 18641330
  30. Familial MGUS and multiple myeloma were associated with a dominant inheritance of hyperphosphorylated paratarg-7 PMID: 19767238
  31. Endosymbiotic origin of paraslipin from an alphaprotoebacterial ancestor (SLP-2) PMID: 18267007

Show More

Hide All

Subcellular Location
Cell membrane; Peripheral membrane protein. Mitochondrion. Mitochondrion inner membrane; Lipid-anchor. Mitochondrion intermembrane space. Membrane raft. Cytoplasm, cytoskeleton.
Protein Families
Band 7/mec-2 family
Tissue Specificity
Ubiquitously expressed at low levels. Expressed in lymphoid tissues (at protein level).
Database Links

HGNC: 14559

OMIM: 608292

KEGG: hsa:30968

STRING: 9606.ENSP00000348886

UniGene: Hs.3439

icon of phone
Call us
301-363-4651 (Available 9 a.m. to 5 p.m. CST from Monday to Friday)
icon of address
Address
7505 Fannin St., Ste 610, Room 7 (CUBIO Innovation Center), Houston, TX 77054, USA
icon of social media
Join us with

Subscribe newsletter

Leave a message

* To protect against spam, please pass the CAPTCHA test below.
CAPTCHA verification
© 2007-2025 CUSABIO TECHNOLOGY LLC All rights reserved. 鄂ICP备15011166号-1
×
Place an order now

I. Product details

*
*
*
*

II. Contact details

*
*

III. Ship To

*
*
*
*
*
*
*

IV. Bill To

*
*
*
*
*
*
*
*