TP73 Recombinant Monoclonal Antibody

Code CSB-RA261359A0HU
Size US$210
Order now
Image
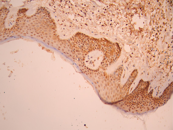
  • IHC image of CSB-RA261359A0HU diluted at 1:100 and staining in paraffin-embedded human skin tissue performed on a Leica BondTM system. After dewaxing and hydration, antigen retrieval was mediated by high pressure in a citrate buffer (pH 6.0). Section was blocked with 10% normal goat serum 30min at RT. Then primary antibody (1% BSA) was incubated at 4°C overnight. The primary is detected by a Goat anti-rabbit polymer IgG labeled by HRP and visualized using 0.05% DAB.
Have Questions? Leave a Message or Start an on-line Chat

Product Details

Uniprot No.
Target Names
Alternative Names
p53 like transcription factor antibody; p53 related protein antibody; p53-like transcription factor antibody; p53-related protein antibody; p73 antibody; P73_HUMAN antibody; TP73 antibody; Tumor protein p73 antibody
Species Reactivity
Human
Immunogen
A synthesized peptide from human TP73 protein
Immunogen Species
Homo sapiens (Human)
Conjugate
Non-conjugated
Clonality
Monoclonal
Isotype
Rabbit IgG
Clone No.
2F8
Purification Method
Affinity-chromatography
Concentration
It differs from different batches. Please contact us to confirm it.
Buffer
Rabbit IgG in 10mM phosphate buffered saline , pH 7.4, 150mM sodium chloride, 0.05% BSA, 0.02% sodium azide and 50% glycerol.
Form
Liquid
Tested Applications
ELISA, IHC
Recommended Dilution
Application Recommended Dilution
IHC 1:50-1:200
Troubleshooting and FAQs
Storage
Upon receipt, store at -20°C or -80°C. Avoid repeated freeze.
Lead Time
Basically, we can dispatch the products out in 1-3 working days after receiving your orders. Delivery time maybe differs from different purchasing way or location, please kindly consult your local distributors for specific delivery time.
Usage
For Research Use Only. Not for use in diagnostic or therapeutic procedures.

Customer Reviews and Q&A

 Customer Reviews

There are currently no reviews for this product.

Submit a Review here

Target Background

Function
Participates in the apoptotic response to DNA damage. Isoforms containing the transactivation domain are pro-apoptotic, isoforms lacking the domain are anti-apoptotic and block the function of p53 and transactivating p73 isoforms. May be a tumor suppressor protein.
Gene References into Functions
  1. Data show that codon usage bias (CUB) was moderate in P73 gene and the percentage of mean C was the highest followed by G. The gene variants were GC rich. The GC-ending codons showed increasing usage with increasing GC3 while AT-ending codons showed the opposite with increasing GC3 bias. ATA and AGA were absent among the synonymous codons in P73 gene. Both mutation pressure and natural selection might influence the CUB. PMID: 30316927
  2. NQO1 is a FAD-dependent, two-domain multifunctional stress protein acting as a Phase II enzyme, activating cancer pro-drugs and stabilizing p53 and p73a oncosuppressors.tructural protein:protein interaction studies reveal that the cancer-associated polymorphism does not abolish the interaction with p73alpha, indicating that oncosuppressor destabilization largely mirrors the low intracellular stability of p.P187S. PMID: 28291250
  3. Tumor protein p73 (TAp73) and kallmann syndrome 1 sequence protein (KAI1) expression levels are positively correlated in colorectal cancer. PMID: 29222041
  4. the present study verified a novel molecular link between miRNA663b and TP73, and indicated that miRNA663b may be a critical therapeutic target in breast cancer. PMID: 29845295
  5. role of p73 in autophagy induction under nitrosative stress in K562 cells PMID: 29508625
  6. DeltaNp73 was abundantly expressed in the atopic dermatitis epidermis and increased the release of TSLP via NF-kappaB activation. PMID: 28655470
  7. PRIMA-1 could cause the demethylation of TP73, through DNMT1 depletion, to subsequently enhance the unfolded protein response PMID: 27533450
  8. Data found that P73 G4C14-to-A4T14 polymorphism was significantly associated with non-small cell lung cancer risk in Chinese population. PMID: 28415779
  9. DeltaNp73 had no leukemic transformation capacity by itself and apparently did not cooperate with the PML/RARA fusion protein to induce a leukemic phenotype in a murine BM transplantation model. PMID: 28035072
  10. In colorectal tumor cells RPL26 regulates p73 expression via two distinct mechanisms: protein stability and mRNA translation. PMID: 27825141
  11. p73 supports mitochondria respiration in medulloblastoma via regulation of glutamine metabolism PMID: 28971956
  12. Study suggests that the cleavage of p73 on specific sites may release its pro-apoptotic function and contribute to cell death in breast cancer. PMID: 26575022
  13. High TP73 expression is associated with glioblastoma cell invasion. PMID: 26930720
  14. In the present study, we provide evidence that the tumor suppressor gene p73 is highly susceptible to Mn-induced neurotoxicity in the nigrostriatal system. PMID: 27107493
  15. HECW2 is an ubiquitin ligase that stabilises p73, a crucial mediator of neurodevelopment and neurogenesis. This study implicates pathogenic genetic variants in HECW2 as potential causes of neurodevelopmental disorders in humans. PMID: 27389779
  16. Imbalance of the apoptosis pathway, with dysregulation of p73 and TRAIL, seems to play a role in the oncogenesis of odontogenic tumors PMID: 28025428
  17. High TP73 expression is associated with Metastasis of Hepatocellular Carcinoma. PMID: 28674078
  18. The reduction of tumor protein p63 and tumor protein p73 isoforms, rather than alteration of DeltaN isoform expression, exerted a significant functional repercussion on cell death and proliferation in hepatitis B virus -expressing HepB cells. PMID: 28350813
  19. p73 is epigenetically silenced in chondrosarcoma due to promoter methylation, which suggests the utility of p73 methylation as a biomarker. PMID: 28551631
  20. A considerable number of lymphoma patients lacked the expression of either or both isoforms, while all lymphoid leukemia patients expressed both isoforms. The expression pattern differences of p73 isoforms may reflect differences in the biology of these malignancies. PMID: 27103208
  21. TAp73beta upregulates pro-IL-1beta mRNA and processed IL-1beta protein. In addition, analysis of breast and lung cancer patient cohorts demonstrated that interaction between p73 and IL-1beta predicts a negative survival outcome in these cancers. PMID: 28212736
  22. analysis of how trifluoroethanol induces a conformational transition in the C-terminal sterile alpha motif (SAM) of human p73 PMID: 28235466
  23. The findings of this study suggested that the polymorphism G4C14-to-A4T14 in p73 gene might be associated with severe spermatogenesis impairment and could affect the susceptibility to male infertility with severe spermatogenesis impairment in Chinese population. PMID: 27525684
  24. Authors confirmed that miR-200a could directly bind to TP73-AS1 and the 3'UTR of HMGB1; TP73-AS1 competed with HMGB1 for miR-200a binding. PMID: 28403886
  25. The p73 gene may play a role as a tumor suppressor in the colorectal cancer progression. PMID: 27654017
  26. TP73 expression in cervical cancer was significantly higher than that in normal cervical squamous epithelium (meta-analysis) PMID: 28128397
  27. Expression of XAF1 and TAp73 was also upregulated in casticin-treated T24 cells. PMID: 27349281
  28. A p73-dependent mechanism for curcumin-induced apoptosis involves the mitochondria-mediated pathway. PMID: 26490992
  29. caveolin-1 represents one of the genes whose expression is strongly activated by Np73beta in non-small lung cancer cells PMID: 26337278
  30. Study shows that AR modulates the expression of both p21 and p73 via directly binding to the promoters, indicating that p73 and p21 are the downstream target genes of AR in triple-negative breast cancer cells. PMID: 26938985
  31. P73 is capable of inducing apoptosis by co-ordinately activating several BH3-only proteins, such as Bik. PMID: 26182360
  32. knockdown of p73 also decreases NAMPT inhibition-induced autophagy and cell death, whereas overexpression of p73 alone enhances these effects. PMID: 26586573
  33. data suggest that PCBP2 regulates p73 expression via mRNA stability and p73-dependent biological function in ROS production and cellular senescence. PMID: 26907686
  34. our study demonstrates a novel mechanism of PLK2 in promoting tumor progression, whereby it directly binds to enriched TAp73, catalyzes Ser48 phosphorylation of TAp73, and inhibits TAp73 transcriptional activity PMID: 26625870
  35. Meta-analysis results suggest that the p73 G4C14-A4T14 polymorphism is associated with an increased risk of cervical squamous cell carcinoma. PMID: 25516466
  36. Similar to TAp73, DNp73 is stabilized by hypoxia in a HIF-1a-dependent manner, which otherwise is degraded by Siah1. PMID: 26267146
  37. Data indicate tumor suppressors TP73, RASSF1A, MLH1 and BRCA1 as possible biomarkers to distinguish Pleomorphic invasive lobular cancer (pleomorphic ILC} from classic ILC and infiltrative ductal cancer (IDC). PMID: 26392358
  38. This review establishes the possibility that p73 is indeed capable of both promoting and inhibiting angiogenesis, depending on the cellular context. [review] PMID: 26711266
  39. Mechanistic investigations indicated that DNp73 acted by attenuating expression of miR-885-5p, a direct regulator of the IGF1 receptor (IGF1R) responsible for stemness marker expression. PMID: 26554827
  40. Tyrosine-99 phosphorylation determines the regulation of tumor suppressor p73. PMID: 25893286
  41. MDM2 mediates p73 ubiquitination PMID: 26025930
  42. Authors demonstrate that IGFBP3 is a direct TAp73alpha (the p73 isoform that contains the trans-activation domain) target gene and activates the expression of IGFBP3 in actively proliferating cells. PMID: 26063735
  43. TAp73 suppresses BNIP3 expression, directly binding its gene promoter. PMID: 25950386
  44. p73 overexpression and concomitantly decreased promoter methylation are significantly associated with poor survival in children with Wilm's tumor. PMID: 26184366
  45. Each nucleotide position in the response element has a different influence in determining the binding of the p73 DNA-binding domain. PMID: 26529454
  46. data support the hypothesis that the DeltaNp73/TAp73 ratio is an important determinant of clinical response in APL and may offer a therapeutic target for enhancing chemosensitivity in blast cells. PMID: 26429976
  47. this study shows that the p73 rs4648551 A>G polymorphism can be involved in the ovarian reserve. PMID: 25794170
  48. Hades (MUL1)-mediated p73 ubiquitination is a novel regulatory mechanism for the exonuclear function of p73. PMID: 26435500
  49. Overexpression of the Np73 isoform is associated with centrosome amplification in brain tumor. PMID: 25910708
  50. Restin inhibits epithelial-mesenchymal transition and tumor metastasis by controlling the expression of the tumor metastasis suppressor mir-200a/b via association with p73. PMID: 25972084

Show More

Hide All

Subcellular Location
Nucleus. Cytoplasm. Note=Accumulates in the nucleus in response to DNA damage.
Protein Families
P53 family
Tissue Specificity
Expressed in striatal neurons of patients with Huntington disease (at protein level). Brain, kidney, placenta, colon, heart, liver, spleen, skeletal muscle, prostate, thymus and pancreas. Highly expressed in fetal tissue.
Database Links

HGNC: 12003

OMIM: 601990

KEGG: hsa:7161

STRING: 9606.ENSP00000367545

UniGene: Hs.192132

icon of phone
Call us
301-363-4651 (Available 9 a.m. to 5 p.m. CST from Monday to Friday)
icon of address
Address
7505 Fannin St., Ste 610, Room 7 (CUBIO Innovation Center), Houston, TX 77054, USA
icon of social media
Join us with

Subscribe newsletter

Leave a message

* To protect against spam, please pass the CAPTCHA test below.
CAPTCHA verification
© 2007-2025 CUSABIO TECHNOLOGY LLC All rights reserved. 鄂ICP备15011166号-1
×
Place an order now

I. Product details

*
*
*
*

II. Contact details

*
*

III. Ship To

*
*
*
*
*
*
*

IV. Bill To

*
*
*
*
*
*
*
*