TRAP1 Recombinant Monoclonal Antibody

Code CSB-RA905988A0HU
Size US$210
Order now
Image
  • Western Blot
    Positive WB detected in: HeLa whole cell lysate(30µg), HepG2 whole cell lysate(30µg), COLO-205 whole cell lysate(30µg), A-549 whole cell lysate(30µg), MCF-7 whole cell lysate(30µg), K-562 whole cell lysate(30µg)
    All lanes: Hsp75 antibody at 1:1000
    Secondary
    Goat polyclonal to rabbit IgG at 1/40000 dilution
    Predicted band size: 80 kDa
    Observed band size: 80 kDa
    Exposure time:2min
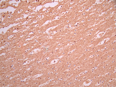
  • IHC image of CSB-RA905988A0HU diluted at 1:100 and staining in paraffin-embedded human brain tissue performed on a Leica BondTM system. After dewaxing and hydration, antigen retrieval was mediated by high pressure in a citrate buffer (pH 6.0). Section was blocked with 10% normal goat serum 30min at RT. Then primary antibody (1% BSA) was incubated at 4°C overnight. The primary is detected by a Goat anti-rabbit polymer IgG labeled by HRP and visualized using 0.05% DAB.
  • IHC image of CSB-RA905988A0HU diluted at 1:100 and staining in paraffin-embedded human colorectal cancer performed on a Leica BondTM system. After dewaxing and hydration, antigen retrieval was mediated by high pressure in a citrate buffer (pH 6.0). Section was blocked with 10% normal goat serum 30min at RT. Then primary antibody (1% BSA) was incubated at 4°C overnight. The primary is detected by a Goat anti-rabbit polymer IgG labeled by HRP and visualized using 0.05% DAB.
  • Overlay Peak curve showing Hela cells stained with CSB-RA905988A0HU (red line) at 1:100. The cells were fixed in 4% formaldehyde and permeated by 0.2% TritonX-100 for 10min. Then 10% normal goat serum to block non-specific protein-protein interactions followed by the antibody (1ug/1*106cells) for 45min at 4℃. The secondary antibody used was FITC-conjugated goat anti-rabbit IgG (H+L) at 1/200 dilution for 35min at 4℃.Control antibody (green line) was Rabbit IgG (1ug/1*106cells) used under the same conditions. Acquisition of >10, 000 events was performed.
Have Questions? Leave a Message or Start an on-line Chat

Product Details

Uniprot No.
Target Names
TRAP1
Alternative Names
Heat shock protein 75 kDa antibody; Heat shock protein 75 kDa, mitochondrial antibody; HSP 75 antibody; HSP75 antibody; HSP90L antibody; mitochondrial antibody; TNF receptor associated protein 1 antibody; TNFR-associated protein 1 antibody; TRAP-1 antibody; Trap1 antibody; TRAP1_HUMAN antibody; Tumor necrosis factor type 1 receptor-associated protein antibody
Species Reactivity
Human
Immunogen
A synthesized peptide from human TRAP1 protein
Immunogen Species
Homo sapiens (Human)
Conjugate
Non-conjugated
Clonality
Monoclonal
Isotype
Rabbit IgG
Clone No.
3F9
Purification Method
Affinity-chromatography
Concentration
It differs from different batches. Please contact us to confirm it.
Buffer
Rabbit IgG in 10mM phosphate buffered saline , pH 7.4, 150mM sodium chloride, 0.05% BSA, 0.02% sodium azide and 50% glycerol.
Form
Liquid
Tested Applications
ELISA, WB, IHC, FC
Recommended Dilution
Application Recommended Dilution
WB 1:500-1:5000
IHC 1:50-1:200
FC 1:50-1:200
Troubleshooting and FAQs
Storage
Upon receipt, store at -20°C or -80°C. Avoid repeated freeze.
Lead Time
Basically, we can dispatch the products out in 1-3 working days after receiving your orders. Delivery time maybe differs from different purchasing way or location, please kindly consult your local distributors for specific delivery time.
Usage
For Research Use Only. Not for use in diagnostic or therapeutic procedures.

Customer Reviews and Q&A

 Customer Reviews

There are currently no reviews for this product.

Submit a Review here

Target Background

Function
Chaperone that expresses an ATPase activity. Involved in maintaining mitochondrial function and polarization, downstream of PINK1 and mitochondrial complex I. Is a negative regulator of mitochondrial respiration able to modulate the balance between oxidative phosphorylation and aerobic glycolysis. The impact of TRAP1 on mitochondrial respiration is probably mediated by modulation of mitochondrial SRC and inhibition of SDHA.
Gene References into Functions
  1. Both redox imbalance and IHG-1 stimulate TGF-beta signalling. IHG-1, HSPA5 and YBX1 all show increased expression in diabetic nephropathy, chronic kidney disease and in the Unilateral Ureteral Obstruction model of kidney fibrosis. Increased IHG-1 expression in UUO correlated with loss of TRAP1 expression. IHG-1 may target TRAP1 for degradation. PMID: 28115289
  2. results show that even though TRAP1 depletion affects both normal MRC-5 and tumour A549 cell proliferation, inhibition of autophagy per se led to a decrease in tumour cell mass, while having a reduced effect on the normal cell line. The strategy of targeting TRAP1 in NSCLC shows future potential therapeutic applications. PMID: 29383696
  3. Here, the authors show that rather than being cooperative or independent, ATP hydrolysis on the two protomers is sequential and deterministic. Moreover, dimer asymmetry sets up differential hydrolysis rates for each protomer, such that the buckled conformation favors ATP hydrolysis. PMID: 28742020
  4. TRAP1 inhibition may be regarded as potential strategy to target specific features of human thyroid cancers, i.e., cell proliferation and resistance to apoptosis. PMID: 27422900
  5. TRAP1 regulates stemness and Wnt/beta-catenin pathway in colorectal cancer. PMID: 27662365
  6. data show that TRAP1 acts downstream of PINK1 and HTRA2 for mitochondrial fine tuning, whereas TRAP1 loss of function leads to reduced control of energy metabolism, ultimately impacting mitochondrial membrane potential. PMID: 29050400
  7. This review summarizes how metabolism, chemoresistance, inflammation, and epithelial-to-mesenchymal transition are strictly interconnected, and how TRAP1 stays at the crossroads of these processes, thus shedding new lights on molecular networks at the basis of ovarian cancer. [review] PMID: 28427560
  8. The crystal structure of a human TRAP1NM dimer is presented, featuring an intact N-domain and M-domain structure, bound to adenosine 5'-beta,gamma-imidotriphosphate. PMID: 27487821
  9. These data suggest that TRAP1 protein network may provide a prognostic signature in human metastatic colorectal carcinomas PMID: 28177905
  10. TRAP1 is relevant in the control of key cell cycle regulators in tumor cells. TRAP1/TBP7 quality control of CDK1 and MAD2 contributes mechanistically to the regulation of mitotic entry and transit. PMID: 28678347
  11. TRAP1 is often deleted in high-grade serous ovarian cancer patients. PMID: 27977010
  12. TRAP1 increases cell proliferation, reduces apoptosis, and promotes cell invasion without changes in mitochondrial bioenergetics. Therefore, TRAP1 is a driver of prostate cancer in vivo and an "actionable" therapeutic target. PMID: 27754870
  13. overexpression of TRAP1 might contribute to tumor cell local invasion of colorectal cancer PMID: 28088229
  14. Increased TRAP1 expression was significantly associated with EOC stages. PMID: 26408177
  15. Overexpression of TRAP1 in breast cancer cells causes mitochondrial fusion, triggers mitochondria to form tubular networks, and suppresses cell migration and invasion in vitro and in vivo. These data link TRAP1-regulated mitochondrial dynamics and function with tumorigenesis in breast cancer. PMID: 26517089
  16. TRAP1 is highly expressed in kidney cancer and correlates with patients prognosis PMID: 26722505
  17. TRAP1 is a downstream effector of BRAF cytoprotective pathway in mitochondria and TRAP1 targeting may represent a novel strategy to improve the activity of proapoptotic agents in BRAF-driven CRC cells. PMID: 26084290
  18. Our results indicate that GRP94 and TRAP1 might contribute more to the carcinogenesis or biology of SCLC than HSP90alpha and HSP90beta PMID: 26464709
  19. A previously unobserved coiled-coil dimer conformation may precede dimer closure. TRAP1 exists in an autoinhibited state with the ATP lid bound to the ATP-binding pocket. ATP displaces this and signals the cis-bound ATP status to the next subunit. PMID: 26929380
  20. results of the present study show that TRAP1 provides cardioprotection against myocardial I/R by ameliorating mitochondrial dysfunction PMID: 26202366
  21. The combined presence of pain, fatigue and nausea is strongly associated with p.Ile253Val (OR 7.5, P = 0.0001) and with two other interacting variants (OR 18, P = 0.0005). PMID: 26022780
  22. a correlation between TRAP1 and AKT expression is found in vivo in human colorectal tumours. These results provide new insights into TRAP1 role in the regulation of cell migration in cancer cells, tumour progression and metastatic mechanisms. PMID: 26071104
  23. TRAP1 expression was associated with increased risk of lymph node metastasis, while high TRAP1 expression correlated with poor prognosis in esophageal squamous cell cancer. PMID: 25438697
  24. Our findings demonstrate that SDH inhibition by TRAP1 is oncogenic not only by inducing pseudohypoxia, but also by protecting tumor cells from oxidative stress PMID: 25564869
  25. crystal structure of the mitochondrial Hsp90, TRAP1, revealed an extension of the N-terminal beta-strand previously shown to cross between protomers in the closed state PMID: 25531069
  26. Oxidative stress in ulcerative colitis could lead to the increase of cytoprotective protein TRAP1, which in turn could promote cancer progression by preventing or protecting the oxidative damaged epithelial cells from undergoing apoptosis. PMID: 25493016
  27. TRAP1-dependent regulation of p70S6K is involved in the attenuation of protein synthesis and cell migration: relevance in human colorectal tumors PMID: 24962791
  28. dual HSP90/TRAP1 inhibitor HSP990 showed activity against the TRAP1 network and high cytostatic potential in BRAF-mutated colorectal carcinoma cells PMID: 25239454
  29. TRAP1 controls NSCLC proliferation, apoptosis, and mitochondrial function, and its status has prognostic potential in NSCLC. PMID: 24567527
  30. The article summarizes the central regulatory function of TRAP1 with homeostatic roles at the crossroad between different kinds of cell functions/metabolism during the transformation process or, possibly, during normal development. [review] PMID: 24990602
  31. Identify mutations in TRAP1 as highly likely causing CAKUT or VACTERL association with CAKUT. PMID: 24152966
  32. High TRAP1 expression is associated with resistance to anthracyclins in breast carcinoma. PMID: 24297638
  33. study shows that TRAP1 was overexpressed in most patients with ESCC, and caused an increase in antiapoptosis potency PMID: 24754231
  34. Overexpression of TRAP1 is able to mitigate Pink1 but not parkin loss-of-function phenotypes. PMID: 23525905
  35. This study demonstrates for the first time that TRAP1 is associated with ribosomes and with several translation factors in colon carcinoma cells. PMID: 24113185
  36. Mitochondrial Hsp90 and TRAP-1 are global regulators of tumor metabolic reprogramming, including oxidative phosphorylation, and are required for disease maintenance. PMID: 23842546
  37. TRAP1 binds to and inhibits succinate dehydrogenase (SDH), the complex II of the respiratory chain. PMID: 23747254
  38. Mitochondria TRAP-1 affects the lymph node metastasis in colorectal cancer, and may be a potential biomarker for LNM and a prognostic factor in CRC. PMID: 23139614
  39. Early mesangial nephritis initiates a cascade of inflammatory signals that lead to up-regulation of Trap1 and a consequent down-regulation of renal DNaseI by transcriptional interference. PMID: 23273922
  40. Immunohistochemical evaluation of TRAP1 together with ERalpha provides significant prognostic information. TRAP1 alone is significantly associated with chemotherapy response and overall survival. PMID: 22978347
  41. TRAP-1-directed compartmentalized protein folding is broadly exploited in cancer. PMID: 21878357
  42. The proposed TRAP1 network has an impact in vivo, as it is conserved in human colorectal cancers, is controlled by ER-localized TRAP1 interacting with TBP7 and provides a novel model of the ER-mitochondria crosstalk. PMID: 21979464
  43. alpha-Synuclein toxicity is intimately connected to mitochondrial dysfunction and that toxicity reduction in fly and rat primary neurons and human cell lines can be achieved using overexpression of the mitochondrial chaperone TRAP1 PMID: 22319455
  44. Mitochondria could be a potential regulator of the unfolded protein response in the endoplasmic reticulum via mitochondrial TRAP1. PMID: 21338643
  45. HSP75 likely reduces the hypertrophy and fibrosis induced by pressure overload through blocking TAK/P38, JNK, and AKT signaling pathways PMID: 21381076
  46. Depletion of TRAP1 by short hairpin RNA in colorectal carcinoma cells lowered Sorcin levels in mitochondria, whereas the depletion of Sorcin by small interfering RNA increased TRAP1 degradation. PMID: 20647321
  47. In many tumors TRAP1 may activate proliferation whilst inhibiting metastatic spread. PMID: 20471161
  48. up-regulated in prostate cancer tissue PMID: 20499060
  49. These data identify TRAP-1 as a novel mitochondrial survival factor differentially expressed in localized and metastatic prostate cancer compared with normal prostate. PMID: 19948822
  50. suppression of the expression of TRAP1 in mitochondria might play an important role in the induction of apoptosis caused via formation of ROS PMID: 15292218

Show More

Hide All

Subcellular Location
Mitochondrion. Mitochondrion inner membrane. Mitochondrion matrix.
Protein Families
Heat shock protein 90 family
Tissue Specificity
Found in skeletal muscle, liver, heart, brain, kidney, pancreas, lung, placenta and bladder. Expression is highly reduced in bladder cancer and renal cell carcinoma specimens compared to healthy tissues, but it is increased in other type of tumors.
Database Links

HGNC: 16264

OMIM: 606219

KEGG: hsa:10131

STRING: 9606.ENSP00000246957

UniGene: Hs.30345

icon of phone
Call us
301-363-4651 (Available 9 a.m. to 5 p.m. CST from Monday to Friday)
icon of address
Address
7505 Fannin St., Ste 610, Room 7 (CUBIO Innovation Center), Houston, TX 77054, USA
icon of social media
Join us with

Subscribe newsletter

Leave a message

* To protect against spam, please pass the CAPTCHA test below.
CAPTCHA verification
© 2007-2025 CUSABIO TECHNOLOGY LLC All rights reserved. 鄂ICP备15011166号-1
×
Place an order now

I. Product details

*
*
*
*

II. Contact details

*
*

III. Ship To

*
*
*
*
*
*
*

IV. Bill To

*
*
*
*
*
*
*
*