TUFM Recombinant Monoclonal Antibody

Code CSB-RA025342MA1HU
Size US$210
Order now
Image
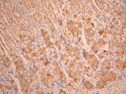
  • IHC image of CSB-RA025342MA1HU diluted at 1:50 and staining in paraffin-embedded human stomach tissue performed on a Leica BondTM system. After dewaxing and hydration, antigen retrieval was mediated by high pressure in a citrate buffer (pH 6.0). Section was blocked with 10% normal goat serum 30min at RT. Then primary antibody (1% BSA) was incubated at 4°C overnight. The primary is detected by a Anti-Human lgG, Fcy Fragment Specific labeled by HRP and visualized using 0.05% DAB.
  • Overlay Peak curve showing Hela cells stained with CSB-RA025342MA1HU (red line) at 1:100. The cells were fixed in 4% formaldehyde and permeated by 0.2% TritonX-100 for 10min. Then 10% normal goat serum to block non-specific protein-protein interactions followed by the antibody (1ug/1*106cells) for 45min at 4℃. The secondary antibody used was Fluorescein (FITC) AffiniPure Goat Anti-Human IgG, Fcγ fragment specific at 1:200 dilution for 35min at 4℃.Control antibody (green line) was human IgG1 (1ug/1*106cells) used under the same conditions. Acquisition of >10,000 events was performed.
Have Questions? Leave a Message or Start an on-line Chat

Product Details

Uniprot No.
Target Names
TUFM
Alternative Names
COXPD4 antibody; EF Tu antibody; EF TuMT antibody; EF-Tu antibody; EF-TuMT antibody; EFTu antibody; EFTU_HUMAN antibody; EFTuMT antibody; Elongation factor Tu antibody; Elongation factor Tu mitochondrial antibody; mitochondrial antibody; P43 antibody; Tu translation elongation factor; mitochondrial antibody; Tufm antibody
Species Reactivity
Human
Immunogen
Recombinant Human TUFM protein
Immunogen Species
Homo sapiens (Human)
Conjugate
Non-conjugated
Clonality
Monoclonal
Isotype
hIgG1
Clone No.
15F4
Purification Method
Affinity-chromatography
Concentration
It differs from different batches. Please contact us to confirm it.
Buffer
Preservative: 0.03% Proclin 300
Constituents: 50% Glycerol, 0.01M PBS, PH 7.4
Form
Liquid
Tested Applications
ELISA, IHC, FC
Recommended Dilution
Application Recommended Dilution
IHC 1:50-1:200
FC 1:50-1:200
Troubleshooting and FAQs
Storage
Upon receipt, store at -20°C or -80°C. Avoid repeated freeze.
Lead Time
Basically, we can dispatch the products out in 1-3 working days after receiving your orders. Delivery time maybe differs from different purchasing way or location, please kindly consult your local distributors for specific delivery time.
Usage
For Research Use Only. Not for use in diagnostic or therapeutic procedures.

Customer Reviews and Q&A

 Customer Reviews

There are currently no reviews for this product.

Submit a Review here

Target Background

Function
Promotes the GTP-dependent binding of aminoacyl-tRNA to the A-site of ribosomes during protein biosynthesis. Plays also a role in the regulation of autophagy and innate immunity. Recruits ATG5-ATG12 and NLRX1 at mitochondria and serves as a checkpoint of the RIG-I/DDX58-MAVS pathway. In turn, inhibits RLR-mediated type I interferon while promoting autophagy.
Gene References into Functions
  1. Novel mutation in mitochondrial Elongation Factor EF-Tu associated to dysplastic leukoencephalopathy and defective mitochondrial DNA translation. PMID: 28132884
  2. study revealed a novel role for TUFM as a host restriction factor that exerts an inhibitory effect on avian-signature PB2627E influenza virus propagation in human cells; found that increased TUFM-dependent autophagy correlates with the inhibitory effect on avian-signature influenza virus replication and may serve as a key intrinsic mechanism to restrict avian influenza virus infection in humans PMID: 28611246
  3. High expression of TUFM is associated with colorectal cancer. PMID: 28449687
  4. we identify a novel signaling hub centering on the NLRX1 TUFM protein complex, promoting autophagic flux. Defects in the expression of either NLRX1 or TUFM result in compromised autophagy when treated with EGFR inhibitors.These findings expand our understanding of the components involved in head and neck squamous cell carcinoma autophagy machinery that responds to EGFR inhibitors. PMID: 26876213
  5. TUFM is a novel regulator of epithelial-mesenchymal transition (EMT); there may be a molecular link between mitochondrial dysfunction and EMT induction PMID: 26781467
  6. NLRX1 and TUFM work in concert to reduce cytokine response and augment autophagy. PMID: 23321557
  7. Increased expression of TUFM is a promising new prognostic indicator for colorectal carcinoma. PMID: 22772342
  8. By recruiting Atg5-Atg12 and NLRX1, TUFM serves as a nodal checkpoint of the RIG-I-MAVS axis. It acts similarly to NLRX1 by inhibiting RigI-like-receptor-induced IFN-I but promoting autophagy. PMID: 22749352
  9. Genetic investigation of patients with defective mitochondrial translation led to the discovery of novel mutations in the mitochondrial elongation factor G1 (EFG1) in one affected baby and in the mitochondrial elongation factor Tu (EFTu) in another one PMID: 17160893
  10. Myoblasts isolated from the MELAS patients show A3243G mutation in tRNALeu(UUR) produces a severe respiratory chain deficiency and this phenotype can be partially suppressed by overexpression of EFTu and EFG2. PMID: 18753147
  11. Results suggest that the R336Q mutant mt-EFTu variant fails to bind to aminoacylated mitochondrial tRNAs, thus explaining the observed impairment of mitochondrial translation. PMID: 19524667

Show More

Hide All

Involvement in disease
Combined oxidative phosphorylation deficiency 4 (COXPD4)
Subcellular Location
Mitochondrion.
Protein Families
TRAFAC class translation factor GTPase superfamily, Classic translation factor GTPase family, EF-Tu/EF-1A subfamily
Database Links

HGNC: 12420

OMIM: 602389

KEGG: hsa:7284

STRING: 9606.ENSP00000322439

UniGene: Hs.12084

icon of phone
Call us
301-363-4651 (Available 9 a.m. to 5 p.m. CST from Monday to Friday)
icon of address
Address
7505 Fannin St., Ste 610, Room 7 (CUBIO Innovation Center), Houston, TX 77054, USA
icon of social media
Join us with

Subscribe newsletter

Leave a message

* To protect against spam, please pass the CAPTCHA test below.
CAPTCHA verification
© 2007-2025 CUSABIO TECHNOLOGY LLC All rights reserved. 鄂ICP备15011166号-1
×
Place an order now

I. Product details

*
*
*
*

II. Contact details

*
*

III. Ship To

*
*
*
*
*
*
*

IV. Bill To

*
*
*
*
*
*
*
*