UBE2B Recombinant Monoclonal Antibody

Code CSB-RA775975A0HU
Size US$210
Order now
Image
  • Western Blot
    , Positive WB detected in:Hela whole cell lysate(30µg), COLO205 whole cell lysate(30µg), HepG2 whole cell lysate(30µg), K562 whole cell lysate(30µg), MCF7 whole cell lysate(30µg), U251 whole cell lysate(30µg), A431 whole cell lysate(30µg), NIH/3T3 whole cell lysate(30µg)
    All lanes: UBE2B antibody at 1:1000
    Secondary
    Goat polyclonal to rabbit IgG at 1/40000 dilution
    Predicted band size: 17 kDa
    Observed band size: 17 kDa
    Exposure time:120s
  • IHC image of CSB-RA775975A0HU diluted at 1:100 and staining in paraffin-embedded human spleen tissue performed on a Leica BondTM system. After dewaxing and hydration, antigen retrieval was mediated by high pressure in a citrate buffer (pH 6.0). Section was blocked with 10% normal goat serum 30min at RT. Then primary antibody (1% BSA) was incubated at 4°C overnight. The primary is detected by a Goat anti-rabbit polymer IgG labeled by HRP and visualized using 0.05% DAB.
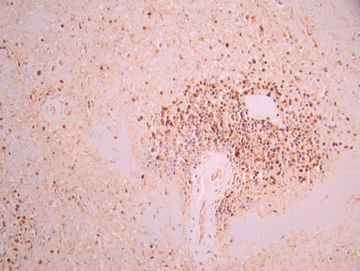
  • IHC image of CSB-RA775975A0HU diluted at 1:100 and staining in paraffin-embedded human cervical cancer performed on a Leica BondTM system. After dewaxing and hydration, antigen retrieval was mediated by high pressure in a citrate buffer (pH 6.0). Section was blocked with 10% normal goat serum 30min at RT. Then primary antibody (1% BSA) was incubated at 4°C overnight. The primary is detected by a Goat anti-rabbit polymer IgG labeled by HRP and visualized using 0.05% DAB.
  • Overlay Peak curve showing Hela cells stained with CSB-RA775975A0HU (red line) at 1:100. The cells were fixed in 4% formaldehyde and permeated by 0.2% TritonX-100 for 10min. Then 10% normal goat serum to block non-specific protein-protein interactions followed by the antibody (1ug/1*106cells) for 45min at 4℃. The secondary antibody used was FITC-conjugated goat anti-rabbit IgG (H+L) at 1/200 dilution for 35min at 4℃.Control antibody (green line) was Rabbit IgG (1ug/1*106cells) used under the same conditions. Acquisition of >10, 000 events was performed.
Have Questions? Leave a Message or Start an on-line Chat

Product Details

Uniprot No.
Target Names
Alternative Names
E2 17kDa antibody; E2 protein antibody; hHR6B antibody; HR6B antibody; RAD6 homolog B antibody; RAD6B antibody; UBC2 antibody; UBE2B antibody; UBE2B_HUMAN antibody; Ubiquitin carrier protein B antibody; Ubiquitin conjugating enzyme E2 B antibody; Ubiquitin conjugating enzyme E2B (RAD6 homolog) antibody; Ubiquitin conjugating enzyme E2B antibody; Ubiquitin protein ligase B antibody; Ubiquitin-conjugating enzyme E2 17 kDa antibody; Ubiquitin-conjugating enzyme E2 B antibody; Ubiquitin-conjugating enzyme E2-17 kDa antibody; Ubiquitin-protein ligase B antibody
Species Reactivity
Human, Mouse
Immunogen
A synthesized peptide from human UBE2B protein
Immunogen Species
Homo sapiens (Human)
Conjugate
Non-conjugated
Clonality
Monoclonal
Isotype
Rabbit IgG
Clone No.
14C7
Purification Method
Affinity-chromatography
Concentration
It differs from different batches. Please contact us to confirm it.
Buffer
Rabbit IgG in 10mM phosphate buffered saline , pH 7.4, 150mM sodium chloride, 0.05% BSA, 0.02% sodium azide and 50% glycerol.
Form
Liquid
Tested Applications
ELISA, WB, IHC, FC
Recommended Dilution
Application Recommended Dilution
WB 1:500-1:5000
IHC 1:50-1:200
FC 1:50-1:200
Troubleshooting and FAQs
Storage
Upon receipt, store at -20°C or -80°C. Avoid repeated freeze.
Lead Time
Basically, we can dispatch the products out in 1-3 working days after receiving your orders. Delivery time maybe differs from different purchasing way or location, please kindly consult your local distributors for specific delivery time.
Usage
For Research Use Only. Not for use in diagnostic or therapeutic procedures.

Customer Reviews and Q&A

 Customer Reviews

There are currently no reviews for this product.

Submit a Review here

Target Background

Function
Accepts ubiquitin from the E1 complex and catalyzes its covalent attachment to other proteins. In association with the E3 enzyme BRE1 (RNF20 and/or RNF40), it plays a role in transcription regulation by catalyzing the monoubiquitination of histone H2B at 'Lys-120' to form H2BK120ub1. H2BK120ub1 gives a specific tag for epigenetic transcriptional activation, elongation by RNA polymerase II, telomeric silencing, and is also a prerequisite for H3K4me and H3K79me formation. In vitro catalyzes 'Lys-11'-, as well as 'Lys-48'- and 'Lys-63'-linked polyubiquitination. Required for postreplication repair of UV-damaged DNA. Associates to the E3 ligase RAD18 to form the UBE2B-RAD18 ubiquitin ligase complex involved in mono-ubiquitination of DNA-associated PCNA on 'Lys-164'. May be involved in neurite outgrowth.
Gene References into Functions
  1. These data deepen insights into the vital role of RAD6/translesion synthesis in platinum drug tolerance and reveal clinical benefits of targeting RAD6 with SMI#9 for managing chemoresistant cancers. PMID: 28490629
  2. These results point to an important role of the affinity between RNF4 and its cognate RAD6B or UBCH5B in governing the multiplicity of substrate ubiquitination. PMID: 27678051
  3. In conclusion, we reveal that miR-455-5p expression is regulated by the TGF-beta-dependent pathway, which subsequently leads to UBE2B down-regulation and contributes to oral cancer tumourigenesis. PMID: 27235675
  4. These findings show the importance of Rad6 in ovarian cancer and emphasize the need for further studies of Rad6 as a potential target for the treatment of ovarian cancer. PMID: 26679603
  5. A novel variant (Chr5.133706925 A > G) residing in the UBE2B gene promoter region confers a high risk for idiopathic azoospermia in a Chinese population. PMID: 26223869
  6. UBE2B mRNA alterations are associated with severe oligozoospermia in infertile men. PMID: 23378580
  7. UBE2B polymorphisms g.-293T>G, g.20016A>G and g.9157A>G are not associated with male infertility, and the GA haplotype is likely a protective factor for male fertility in Northeast Chinese men. PMID: 23079972
  8. beta-catenin and Rad6B interacting regions, were identified. PMID: 22705350
  9. Hydroquinone could upregulate the expression of Rad6B in L-02 hepatic cells. PMID: 19548583
  10. The Rad6-Rad18 enzyme plays an essential role in promoting replication through DNA lesions by translesion synthesis in mammalian cells. PMID: 22547805
  11. Data show that the homodimeric Rad18 RING domain can recruit two Rad6b E2 enzymes, whereas the full-length Rad18 homodimer binds only to a single Rad6b molecule. PMID: 21549715
  12. Ubc2/Rad6 ser(120) regulates ubiquitin-dependent N-end rule targeting by E3{alpha}/Ubr1 PMID: 21041297
  13. Rad6B is a fundamental component of postreplication DNA repair and can be used as an independent marker for determining response to neoadjuvant chemotherapy. PMID: 19466589
  14. MCF10A cells stably transfected with antisense RAD6B display hypersensitivity to damage-inducing drugs. PMID: 14981545
  15. These data reveal a potentially important role for transcriptionally active beta-catenin in the regulation of Rad6B gene expression, and link aberrant beta-catenin signaling with transcriptional deregulation of Rad6B and breast cancer development. PMID: 17050667
  16. Findings reveal a positive regulatory feedback loop between Rad6B and beta-catenin and a novel mechanism of beta-catenin stabilization/activation in breast cancer cells. PMID: 18339854
  17. The SAP domain of RAD18 (residues 248-282) is crucial for binding of RAD18 complexed with RAD6B to DNA substrates. PMID: 18363965
  18. deletions in this suspected promoter region are associated with increased binding affinity for SP1, and might represent one of several factors required for alteration of UBE2B gene expression PMID: 18385908
  19. study suggests that the UBE2B gene is associated with male infertility in Indian men PMID: 18497339

Show More

Hide All

Subcellular Location
Cell membrane. Nucleus.
Protein Families
Ubiquitin-conjugating enzyme family
Database Links

HGNC: 12473

OMIM: 179095

KEGG: hsa:7320

STRING: 9606.ENSP00000265339

UniGene: Hs.612096

icon of phone
Call us
301-363-4651 (Available 9 a.m. to 5 p.m. CST from Monday to Friday)
icon of address
Address
7505 Fannin St., Ste 610, Room 7 (CUBIO Innovation Center), Houston, TX 77054, USA
icon of social media
Join us with

Subscribe newsletter

Leave a message

* To protect against spam, please pass the CAPTCHA test below.
CAPTCHA verification
© 2007-2025 CUSABIO TECHNOLOGY LLC All rights reserved. 鄂ICP备15011166号-1
×
Place an order now

I. Product details

*
*
*
*

II. Contact details

*
*

III. Ship To

*
*
*
*
*
*
*

IV. Bill To

*
*
*
*
*
*
*
*