USP13 Recombinant Monoclonal Antibody

Code CSB-RA118372A0HU
Size US$210
Order now
Image
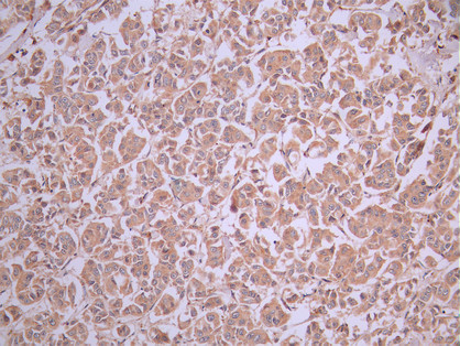
  • IHC image of CSB-RA118372A0HU diluted at 1:100 and staining in paraffin-embedded human breast cancer performed on a Leica BondTM system. After dewaxing and hydration, antigen retrieval was mediated by high pressure in a citrate buffer (pH 6.0). Section was blocked with 10% normal goat serum 30min at RT. Then primary antibody (1% BSA) was incubated at 4°C overnight. The primary is detected by a Goat anti-rabbit polymer IgG labeled by HRP and visualized using 0.05% DAB.
  • Immunofluorescence staining of HeLa cell with CSB-RA118372A0HU at 1:50 , counter-stained with DAPI. The cells were fixed in 4% formaldehyde, permeabilized using 0.2% Triton X-100 and blocked in 10% normal Goat Serum. The cells were then incubated with the antibody overnight at 4°C. The secondary antibody was Alexa Fluor 488-congugated AffiniPure Goat Anti-Rabbit IgG(H+L).
  • Overlay Peak curve showing Hela cells stained with CSB-RA118372A0HU (red line) at 1:100. The cells were fixed in 4% formaldehyde and permeated by 0.2% TritonX-100 for 10min. Then 10% normal goat serum to block non-specific protein-protein interactions followed by the antibody (1ug/1*106cells) for 45min at 4℃. The secondary antibody used was FITC-conjugated goat anti-rabbit IgG (H+L) at 1/200 dilution for 35min at 4℃.Control antibody (green line) was Rabbit IgG (1ug/1*106cells) used under the same conditions. Acquisition of >10, 000 events was performed.
Have Questions? Leave a Message or Start an on-line Chat

Product Details

Uniprot No.
Target Names
Alternative Names
Deubiquitinating enzyme 13 antibody; Isopeptidase T 3 antibody; Isopeptidase T-3 antibody; Isopeptidase T3 antibody; ISOT 3 antibody; ISOT-3 antibody; ISOT3 antibody; Ubiquitin carboxyl terminal hydrolase 13 antibody; Ubiquitin carboxyl-terminal hydrolase 13 antibody; Ubiquitin specific peptidase 13 (isopeptidase T3) antibody; Ubiquitin specific peptidase 13 antibody; Ubiquitin specific processing protease 13 antibody; Ubiquitin specific protease 13 antibody; Ubiquitin thioesterase 13 antibody; Ubiquitin thiolesterase 13 antibody; Ubiquitin-specific-processing protease 13 antibody; UBP13 antibody; UBP13_HUMAN antibody; USP 13 antibody; USP13 antibody
Species Reactivity
Human
Immunogen
A synthesized peptide from human USP13 protein
Immunogen Species
Homo sapiens (Human)
Conjugate
Non-conjugated
Clonality
Monoclonal
Isotype
Rabbit IgG
Clone No.
11H3
Purification Method
Affinity-chromatography
Concentration
It differs from different batches. Please contact us to confirm it.
Buffer
Rabbit IgG in 10mM phosphate buffered saline , pH 7.4, 150mM sodium chloride, 0.05% BSA, 0.02% sodium azide and 50% glycerol.
Form
Liquid
Tested Applications
ELISA, IHC, IF, FC
Recommended Dilution
Application Recommended Dilution
IHC 1:50-1:200
IF 1:50-1:200
FC 1:50-1:200
Troubleshooting and FAQs
Storage
Upon receipt, store at -20°C or -80°C. Avoid repeated freeze.
Lead Time
Basically, we can dispatch the products out in 1-3 working days after receiving your orders. Delivery time maybe differs from different purchasing way or location, please kindly consult your local distributors for specific delivery time.
Usage
For Research Use Only. Not for use in diagnostic or therapeutic procedures.

Customer Reviews and Q&A

 Customer Reviews

There are currently no reviews for this product.

Submit a Review here

Target Background

Function
Deubiquitinase that mediates deubiquitination of target proteins such as BECN1, MITF, SKP2 and USP10 and is involved in various processes such as autophagy and endoplasmic reticulum-associated degradation (ERAD). Component of a regulatory loop that controls autophagy and p53/TP53 levels: mediates deubiquitination of BECN1, a key regulator of autophagy, leading to stabilize the PIK3C3/VPS34-containing complexes. Also deubiquitinates USP10, an essential regulator of p53/TP53 stability. In turn, PIK3C3/VPS34-containing complexes regulate USP13 stability, suggesting the existence of a regulatory system by which PIK3C3/VPS34-containing complexes regulate p53/TP53 protein levels via USP10 and USP13. Recruited by nuclear UFD1 and mediates deubiquitination of SKP2, thereby regulating endoplasmic reticulum-associated degradation (ERAD). Also regulates ERAD through the deubiquitination of UBL4A a component of the BAG6/BAT3 complex. Mediates stabilization of SIAH2 independently of deubiquitinase activity: binds ubiquitinated SIAH2 and acts by impairing SIAH2 autoubiquitination. Has a weak deubiquitinase activity in vitro and preferentially cleaves 'Lys-63'-linked polyubiquitin chains. In contrast to USP5, it is not able to mediate unanchored polyubiquitin disassembly. Able to cleave ISG15 in vitro; however, additional experiments are required to confirm such data.
Gene References into Functions
  1. USP13 is a regulator of DNA repair.USP13 regulates RAP80-BRCA1 complex foci formation.The role of USP13 in the neoplasm drug resistance. PMID: 28569838
  2. These results reveal an important metabolism-centric role of USP13, which may lead to potential therapeutics targeting USP13 in ovarian cancers. PMID: 27892457
  3. in the samples of 293T cell lines after the overexpression of USP13 and USP13 C345S, vinculin exhibited an increased expression, suggesting that it may be a candidate substrate of USP13. PMID: 28498477
  4. Deubiquitinating enzyme 13 (USP13) regulates myeloid cell leukemia sequence 1 protein (MCL1) stability in lung and ovarian cancer cells. PMID: 29335437
  5. our results demonstrate that AR can promote melanoma metastasis via altering the miRNA-539-3p/USP13/MITF/AXL signal and targeting this newly identified signal with AR degradation enhancer ASC-J9 may help us to better suppress the melanoma metastasis. PMID: 27869170
  6. USP13 and FBXL14 play opposing roles in the regulation of glioma stem cells (GSCs) through reversible ubiquitination of c-Myc. PMID: 27923907
  7. Down-regulation of USP13 mediates PTEN protein loss and fibroblast phenotypic change, and thereby plays a crucial role in idiopathic pulmonary fibrosis pathogenesis. PMID: 26453058
  8. USP13 is a tumour-suppressing protein that functions through deubiquitylation and stabilization of PTEN. PMID: 24270891
  9. to our knowledge, USP13 is the first deubiquitinating enzymes identified to modulate STAT1 and play a role in the antiviral activity of IFN against DEN-2 replication. PMID: 23940278
  10. USP10 mediates the deubiquitination of p53, regulating deubiquitination activity of USP10 and USP13 by Beclin1 provides a mechanism for Beclin1 to control the levels of p53. PMID: 21962518
  11. Through deubiquitination, USP13 stabilizes and upregulates MITF protein levels. PMID: 21811243
  12. study identifies a new layer of Siah2 regulation mediated by USP13 binding to ubiquitinated Siah2 protein with a concomitant inhibitory effect on its activity under normoxia PMID: 21659512

Show More

Hide All

Protein Families
Peptidase C19 family
Tissue Specificity
Highly expressed in ovary and testes.
Database Links

HGNC: 12611

OMIM: 603591

KEGG: hsa:8975

STRING: 9606.ENSP00000263966

UniGene: Hs.175322

icon of phone
Call us
301-363-4651 (Available 9 a.m. to 5 p.m. CST from Monday to Friday)
icon of address
Address
7505 Fannin St., Ste 610, Room 7 (CUBIO Innovation Center), Houston, TX 77054, USA
icon of social media
Join us with

Subscribe newsletter

Leave a message

* To protect against spam, please pass the CAPTCHA test below.
CAPTCHA verification
© 2007-2025 CUSABIO TECHNOLOGY LLC All rights reserved. 鄂ICP备15011166号-1
×
Place an order now

I. Product details

*
*
*
*

II. Contact details

*
*

III. Ship To

*
*
*
*
*
*
*

IV. Bill To

*
*
*
*
*
*
*
*