USP9X Recombinant Monoclonal Antibody

Code CSB-RA183712A0HU
Size US$210
Order now
Image
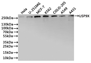
  • Western Blot
    Positive WB detected in: Hela whole cell lysate(30µg), U-251MG whole cell lysate(30µg), MCF-7 whole cell lysate(30µg), K562 whole cell lysate(30µg), COLO-205 whole cell lysate(30µg), A549 whole cell lysate(30µg), A431 whole cell lysate(30µg)
    All lanes: USP9X antibody at 1:1000
    Secondary
    Goat polyclonal to rabbit IgG at 1/40000 dilution
    Predicted band size: 290 kDa
    Observed band size: 292 kDa
    Exposure time:30s
  • IHC image of CSB-RA183712A0HU diluted at 1:100 and staining in paraffin-embedded human breast cancer performed on a Leica BondTM system. After dewaxing and hydration, antigen retrieval was mediated by high pressure in a citrate buffer (pH 6.0). Section was blocked with 10% normal goat serum 30min at RT. Then primary antibody (1% BSA) was incubated at 4°C overnight. The primary is detected by a Goat anti-rabbit polymer IgG labeled by HRP and visualized using 0.05% DAB.
  • IHC image of CSB-RA183712A0HU diluted at 1:100 and staining in paraffin-embedded human stomach tissue performed on a Leica BondTM system. After dewaxing and hydration, antigen retrieval was mediated by high pressure in a citrate buffer (pH 6.0). Section was blocked with 10% normal goat serum 30min at RT. Then primary antibody (1% BSA) was incubated at 4°C overnight. The primary is detected by a Goat anti-rabbit polymer IgG labeled by HRP and visualized using 0.05% DAB.
  • Overlay Peak curve showing Hela cells stained with CSB-RA183712A0HU (red line) at 1:100. The cells were fixed in 4% formaldehyde and permeated by 0.2% TritonX-100 for 10min. Then 10% normal goat serum to block non-specific protein-protein interactions followed by the antibody (1ug/1*106cells) for 45min at 4℃. The secondary antibody used was FITC-conjugated goat anti-rabbit IgG (H+L) at 1/200 dilution for 35min at 4℃.Control antibody (green line) was Rabbit IgG (1ug/1*106cells) used under the same conditions. Acquisition of >10,000 events was performed.
Have Questions? Leave a Message or Start an on-line Chat

Product Details

Uniprot No.
Target Names
Alternative Names
Probable ubiquitin carboxyl-terminal hydrolase FAF-X (EC 3.4.19.12) (Deubiquitinating enzyme FAF-X) (Fat facets in mammals) (hFAM) (Fat facets protein-related, X-linked) (Ubiquitin thioesterase FAF-X) (Ubiquitin-specific protease 9, X chromosome) (Ubiquitin-specific-processing protease FAF-X), USP9X, DFFRX FAM USP9
Species Reactivity
Human
Immunogen
Recombinant Antibody
Immunogen Species
Homo sapiens (Human)
Conjugate
Non-conjugated
Clonality
Monoclonal
Isotype
Rabbit IgG
Clone No.
11F2
Purification Method
Affinity-chromatography
Concentration
It differs from different batches. Please contact us to confirm it.
Buffer
Preservative: 0.03% Proclin 300
Constituents: 50% Glycerol, 0.01M PBS, PH 7.4
Form
Liquid
Tested Applications
ELISA, WB, IHC, FC
Recommended Dilution
Application Recommended Dilution
WB 1:500-1:5000
IHC 1:50-1:200
FC 1:50-1:200
Troubleshooting and FAQs
Storage
Upon receipt, store at -20°C or -80°C. Avoid repeated freeze.
Lead Time
Basically, we can dispatch the products out in 1-3 working days after receiving your orders. Delivery time maybe differs from different purchasing way or location, please kindly consult your local distributors for specific delivery time.
Usage
For Research Use Only. Not for use in diagnostic or therapeutic procedures.

Customer Reviews and Q&A

 Customer Reviews

There are currently no reviews for this product.

Submit a Review here

Target Background

Function
Deubiquitinase involved both in the processing of ubiquitin precursors and of ubiquitinated proteins. May therefore play an important regulatory role at the level of protein turnover by preventing degradation of proteins through the removal of conjugated ubiquitin. Specifically hydrolyzes 'Lys-48'-, 'Lys-29'- and 'Lys-33'-linked polyubiquitins chains. Essential component of TGF-beta/BMP signaling cascade. Specifically deubiquitinates monoubiquitinated SMAD4, opposing the activity of E3 ubiquitin-protein ligase TRIM33. Deubiquitinates alkylation repair enzyme ALKBH3. OTUD4 recruits USP7 and USP9X to stabilize ALKBH3, thereby promoting the repair of alkylated DNA lesions. Regulates chromosome alignment and segregation in mitosis by regulating the localization of BIRC5/survivin to mitotic centromeres. Involved in axonal growth and neuronal cell migration. Regulates cellular clock function by enhancing the protein stability and transcriptional activity of the core circadian protein ARNTL/BMAL1 via its deubiquitinating activity.
Gene References into Functions
  1. USP9X is overexpressed in breast carcinomas, and its level of expression is correlated with that of CEP131. USP9X is an important regulator of centrosome biogenesis and USP9X/CEP131 plays a critical role in breast carcinogenesis. PMID: 28361952
  2. High USP9X expression is associated with Pancreatic Ductal Adenocarcinoma. PMID: 29248719
  3. USP9X is a deubiquitylase of the Hippo pathway kinase LATS2 and that the Hippo pathway functions as a downstream signaling cascade that mediates USP9X's tumor-suppressive activity. PMID: 29183995
  4. Ets-1 is induced by BRAF or MEK kinase inhibition, resulting in increased NRAS expression, which could be blocked by inactivation of Usp9x. PMID: 28198367
  5. LNC473 could recruit deubiquitinase USP9X to inhibit the ubiquitination level of survivin and then increase survivin expression. PMID: 29605299
  6. Study shows that USP9X deubiquitylating enzyme maintains RAPTOR protein levels, mTORC1 signalling and proliferation in neural progenitors. USP9X is the first deubiquitylating enzyme shown to stabilize RAPTOR. PMID: 28341829
  7. Deubiquitylating enzyme USP9X was overexpressed in gastric cancer, suggesting a potential implication as an oncogene, and was significantly associated with a poorer survival. PMID: 28274596
  8. Study demonstrated that USP9X acts as a tumor metastasis supporter in pancreatic ductal adenocarcinoma (PDAC), and its downregulation inhibited the migration and invasion of PDAC cells, while high expression of USP9X inhibited the apoptosis of cancer cells. Therefore, USP9X functioned as an oncogene in PDAC cells and is closely related with the expression of Snail, Twist and survivin. PMID: 29130109
  9. knockdown of USP9X was shown to confer resistance to apoptosis following pediatric T-cell acute lymphoblastic leukemia relevant chemotherapy drug treatment in Jurkat leukemia cells PMID: 27602765
  10. USP9X stabilizes beta-catenin and activates Wnt/beta-catenin signal pathway to promote glioma cell proliferation and survival. PMID: 27783990
  11. Loss of USP9X expression is associated with pancreatic cancer. PMID: 28720576
  12. Frame shift mutation in USP9X and deletion of the 5'UTR of the USP9X identified in two females with intellectual disability syndrome. PMID: 28377321
  13. High USP9X expression is associated with basal-like breast cancer. PMID: 27593927
  14. The authors find that primary human aggressive B-cell lymphoma samples exhibit high USP9X expression that correlate with XIAP overexpression. PMID: 27317434
  15. USP9x-SMAD4 Interaction is associated with Breast Cancer Metastasis. PMID: 28115363
  16. Data suggest that USP9X as an integral component of centrosome where it functions to stabilize PCM1 and CEP55 and to promote centrosome biogenesis; N-terminal domain of USP9X appears to be responsible for physical association of USP9X with PCM1 and CEP55. (USP9X = ubiquitin-specific protease 9X; PCM1 = pericentriolar material 1 protein; CEP55 = 55kDa centrosomal protein) PMID: 28620049
  17. USP9X recruited to the centrosome by NPHP5 protects NPHP5 from ubiquitination, thus favouring cilia assembly. PMID: 28498859
  18. BAG3 was found to positively regulate Mcl-1 levels by binding to and inhibiting USP9X. Our data show that BAG3 and Mcl-1 are key mediators of resistance to chemotherapy in ovarian cancer PMID: 27120977
  19. found that USP9X regulated the expression and stability of CLASPIN in an S-phase-specific manner. USP9X depletion profoundly impairs the progression of DNA replication forks, causing unscheduled termination events with a frequency similar to CLASPIN depletion, resulting in excessive endogenous DNA damage PMID: 26921344
  20. USP9X possibly promotes head and neck cancer cell proliferation through the mTOR pathway. PMID: 27374971
  21. biological relevance of the ICP0- USP9X complex in HSV-1 infection PMID: 26596467
  22. identify USP9X as a novel regulator of EGFR endocytosis PMID: 26748853
  23. study reports for the first time that USP9X is a deubiquitinase of Angiomotin-like 2 (AMOTL2) and that AMOTL2 mono-ubiquitination is required for YAP inhibition PMID: 26598551
  24. USP9x interacted with and stabilized beta-catenin through deubiquitination to mediate transcription of the decoy receptors in breast cancer cells PMID: 26717875
  25. We examined the role of USP9X in the primary cilium of affected females with ciliopathy syndromes and found that endogenous USP9X localizes along the length of the ciliary axoneme, so its loss of function could disrupt cilium-regulated processes. PMID: 26833328
  26. These data support the use of MCL1 expression as a predictive biomarker for USP9X inhibitors in non-small cell lung cancer therapy PMID: 25692226
  27. The mammalian PRICKLE-interactome was defined, identifying prickle-interacting proteins that localize to synapses and a novel interacting partner, USP9X, a substrate-specific de-ubiquitinase. PRICKLE and USP9X interact through their carboxy-termini; and USP9X de-ubiquitinates PRICKLE, protecting it from proteasomal degradation. PMID: 25763846
  28. the novel compound EOAI3402143 dose-dependently inhibited Usp9x and Usp24 activity, increased tumor cell apoptosis, and fully blocked or regressed myeloma tumors in mice. PMID: 25814533
  29. Noxa upregulation reduces the availability of Usp9x to Mcl-1, thereby promoting its ubiquitination and degradation, leading to the apoptosis of neoplastic cells. PMID: 24991768
  30. Although USP9X may function as a tumor-suppressor during the establishment of PDAC, data presented here argue that USP9X promotes cell growth in advanced PDAC cells when PDAC is typically diagnosed. PMID: 24841553
  31. Our analysis of clinical HCC samples verifies that miR-26b also targets USP9X expression to inhibit the EMT of hepatocytes PMID: 24890815
  32. USP9X downregulation renders breast cancer cells resistant to tamoxifen. PMID: 25028367
  33. USP9X mutations may have a role in X-linked intellectual disability and disrupt neuronal cell migration and growth PMID: 24607389
  34. a large set of SOX2-associated proteins in DAOY medulloblastoma cells PMID: 23667531
  35. Mcl-1, Bcl-xL and USP9X overexpression are tumor survival mechanisms protective against chemotherapy. PMID: 23171055
  36. The resulting USP9X-deficient cancer cells exhibited increased activation of apoptotic pathways. PMID: 22895071
  37. USP9X is an important regulatory protein of SMURF1. PMID: 23184937
  38. Usp9x plays an important role in stabilizing SMN and the SMN complex, likely via antagonizing Ub-dependent SMN degradation. PMID: 23112048
  39. the deubiquitinase USP9X as a novel mTORC1 and -2 binding partner that negatively regulates mTOR activity and skeletal muscle differentiation. PMID: 22544753
  40. loss of Usp9x enhances transformation and protects pancreatic cancer cells from anoikis PMID: 22699621
  41. Our results suggest that ubiquitin-specific protease 9X (USP9X) is by far the most active deubiquitinase acting on Ub-PEX5, both in female rat liver and HeLa cells. PMID: 22371489
  42. alpha-Synuclein fate is determined by USP9X-regulated monoubiquitination PMID: 22065755
  43. Zymophagy, a novel selective autophagy pathway mediated by VMP1-USP9x-p62, prevents pancreatic cell death. PMID: 21173155
  44. Ubiquitin-cycle inhibition represents a novel and effective approach to blocking Bcr-Abl kinase signaling and reducing Mcl-1 levels to engage chronic myelogenous leukemia cell apoptosis. PMID: 21248063
  45. the deubiquitinase USP9X stabilizes MCL1 and thereby promotes cell survival; deubiquitinases may stabilize labile oncoproteins in human malignancies PMID: 20023629
  46. FAM associates with E-cadherin and beta-catenin during trafficking to the plasma membrane PMID: 14742711
  47. identified the ubiquitin-protease FAM/USP9X as a binding partner of Itch. The association between Itch and FAM/USP9X was confirmed in vitro by glutathione S-transferase pulldown and in vivo through coimmunoprecipation PMID: 17038327
  48. NUAK1 and MARK4 are substrates of USP9X PMID: 18254724
  49. Smad4 is monoubiquitinated in lysine 519 in vivo, a modification that inhibits Smad4 by impeding association with phospho-Smad2; FAM reverts this negative modification, re-empowering Smad4 function. PMID: 19135894

Show More

Hide All

Involvement in disease
Mental retardation, X-linked 99 (MRX99)
Subcellular Location
Cytoplasm. Cell projection, growth cone.
Protein Families
Peptidase C19 family
Tissue Specificity
Widely expressed in embryonic and adult tissues.
Database Links

HGNC: 12632

OMIM: 300072

KEGG: hsa:8239

STRING: 9606.ENSP00000316357

UniGene: Hs.77578

icon of phone
Call us
301-363-4651 (Available 9 a.m. to 5 p.m. CST from Monday to Friday)
icon of address
Address
7505 Fannin St., Ste 610, Room 7 (CUBIO Innovation Center), Houston, TX 77054, USA
icon of social media
Join us with

Subscribe newsletter

Leave a message

* To protect against spam, please pass the CAPTCHA test below.
CAPTCHA verification
© 2007-2025 CUSABIO TECHNOLOGY LLC All rights reserved. 鄂ICP备15011166号-1
×
Place an order now

I. Product details

*
*
*
*

II. Contact details

*
*

III. Ship To

*
*
*
*
*
*
*

IV. Bill To

*
*
*
*
*
*
*
*