YY1 Monoclonal Antibody

Code CSB-MA186862
Size US$210
Order now
Image
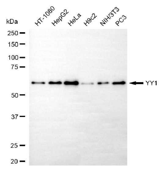
  • Western blotting analysis using YY1 antibody. Total cell lysates (30 μg) from various cell lines were loaded and separated by SDS-PAGE. The blot was incubated with YY1 antibody and HRP-conjugated goat rabbit secondary antibody respectively.
Have Questions? Leave a Message or Start an on-line Chat

Product Details

Full Product Name
Mouse anti-Homo sapiens (Human) YY1 Monoclonal antibody
Uniprot No.
Target Names
YY1
Alternative Names
YY1; YY1 Transcription Factor; INO80S; NF-E1; INO80 Complex Subunit S; YIN-YANG-1; DELTA; UCRBP; Transcriptional Repressor Protein YY1; Delta Transcription Factor; Yin And Yang 1 Protein; YY-1; Yin And Yang 1; GADEVS
Raised in
Mouse
Species Reactivity
Human, Mouse, Rat
Immunogen
Recombinant Human YY1 protein
Immunogen Species
Homo sapiens (Human)
Conjugate
Non-conjugated
Clonality
Monoclonal
Isotype
Mouse IgG2a
Clone No.
10B6
Purification Method
Affinity-chromatography
Concentration
It differs from different batches. Please contact us to confirm it.
Buffer
PBS (pH 7.4) containing 50% glycerol, and 0.02% sodium azide.
Form
Liquid
Tested Applications
ELISA, WB
Recommended Dilution
Application Recommended Dilution
WB 1:500-1:2500
Troubleshooting and FAQs
Storage
Upon receipt, store at -20°C or -80°C. Avoid repeated freeze.
Lead Time
Basically, we can dispatch the products out in 1-3 working days after receiving your orders. Delivery time maybe differs from different purchasing way or location, please kindly consult your local distributors for specific delivery time.
Usage
For Research Use Only. Not for use in diagnostic or therapeutic procedures.

Customer Reviews and Q&A

 Customer Reviews

There are currently no reviews for this product.

Submit a Review here

Target Background

Function
Multifunctional transcription factor that exhibits positive and negative control on a large number of cellular and viral genes by binding to sites overlapping the transcription start site. Binds to the consensus sequence 5'-CCGCCATNTT-3'; some genes have been shown to contain a longer binding motif allowing enhanced binding; the initial CG dinucleotide can be methylated greatly reducing the binding affinity. The effect on transcription regulation is depending upon the context in which it binds and diverse mechanisms of action include direct activation or repression, indirect activation or repression via cofactor recruitment, or activation or repression by disruption of binding sites or conformational DNA changes. Its activity is regulated by transcription factors and cytoplasmic proteins that have been shown to abrogate or completely inhibit YY1-mediated activation or repression. For example, it acts as a repressor in absence of adenovirus E1A protein but as an activator in its presence. Acts synergistically with the SMAD1 and SMAD4 in bone morphogenetic protein (BMP)-mediated cardiac-specific gene expression. Binds to SMAD binding elements (SBEs) (5'-GTCT/AGAC-3') within BMP response element (BMPRE) of cardiac activating regions. May play an important role in development and differentiation. Proposed to recruit the PRC2/EED-EZH2 complex to target genes that are transcriptional repressed. Involved in DNA repair. In vitro, binds to DNA recombination intermediate structures (Holliday junctions). Plays a role in regulating enhancer activation.; Proposed core component of the chromatin remodeling INO80 complex which is involved in transcriptional regulation, DNA replication and probably DNA repair; proposed to target the INO80 complex to YY1-responsive elements.
Gene References into Functions
  1. Data show that MiR-147b targets the 3' untranslated region (3'UTR) of Yin Yang 1 (YY1). PMID: 30060075
  2. Results show that YY1 is phosphorylated by c-Abl kinase at tyrosine residue 254 and that this phosphorylation likely modulates its transcriptional activity. PMID: 29807053
  3. YY1-CDKN3-MDM2/P53-P21 axis is involved in pancreatic tumorigenesis PMID: 29168185
  4. The repression of TBX21 expression by high-affinity binding of YY1 to the -1993C allele may contribute to a decreased development of AIH-1 via suppression of type 1 immunity. PMID: 29358858
  5. expression of miR-192-5p was negatively correlated with that of YY1 in bladder cancer tissues PMID: 29536411
  6. YY1 promoted glioma cell proliferation and miR218 could inhibit glioma cell proliferation by targeting YY1. PMID: 29138857
  7. miR-30a acts in a feedback loop to modulate the pro-autophagic activities of YY1. PMID: 29052509
  8. Data suggest a role for YY1 transcription factor (YY1) in transcriptional activity on inactive X (Xi) in general through sequence-specific binding, and its involvement at superloop anchors. PMID: 27857184
  9. Results suggest that up-regulation of YY1 is closely associated with the progression of cervical squamous cell carcinoma, and YY1 may play an important role in the pathogenesis of cervical cancer by modulating the expression of E-cadherin and HPV16 E6. PMID: 29470526
  10. Results show that histone deacetylase 1 (HDAC1) expression was positively correlated with YY1 transcription factor (YY1) in hepatocellular carcinoma (HCC) cell lines and primary tumor tissues. PMID: 28489564
  11. Authors found that YY1 and STAT1 were upregulated in ox-LDL-stimulating macrophages followed by translocation in the nucleus and binding to the transcriptional promoter region of miR-29a, thus leading to the increase of miR-29a expression. PMID: 28593745
  12. results support a model in which YY1 acts as an architectural protein to connect developmentally regulated looping interactions; the location of YY1-mediated interactions may be demarcated in development by a preexisting topological framework created by constitutive CTCF-mediated interactions. PMID: 28536180
  13. High expression of nuclear YY1 was significantly associated with higher AJCC stage and small vessel invasion. PMID: 28412749
  14. This is the first report on the status of YY1 T372R in insulinoma cases of Indian origin. PMID: 28472826
  15. YY1 promotes proliferation and migration with suppression of apoptosis via directly inhibiting MYCT1 in laryngeal cancer cells, suggesting that YY1 is a useful target as a potential oncogene in laryngeal cancer development and progression. PMID: 28485541
  16. These data suggested that YY1 may be important for apoptosis induction via the regulation of Fas during sepsis. Therefore, Fas may be a potential therapeutic target to prevent MOD through regulation of YY1 expression. Furthermore, YY1 and Fas expression in PBMCs may be used to as prognostic markers. PMID: 28447715
  17. Study shows that the ubiquitously expressed transcription factor Yin Yang 1 (YY1) contributes to enhancer-promoter structural interactions in a manner analogous to DNA interactions mediated by CTCF. PMID: 29224777
  18. YY1 was over-expressed in RA which can bind to the promotor of IL-6 to introduce IL-6 expression, contributing to the inflammation of RA via stimulation of Th17 differentiation. PMID: 27829535
  19. YY1 promotes apoptosis via upregulating Bax transcription and subsequent activation of Bax by translocation from the cytosol to the mitochondrial membrane. PMID: 27074573
  20. High YY1 expression is associated with Lung Cancer Progression. PMID: 28972861
  21. Low YY1 expression is associated with pancreatic ductal adenocarcinoma. PMID: 28867247
  22. PRE-PIK3C2B interacts directly with YY1 in vitro and recruits PRC2 complex in vivo. The localization of PcG proteins including YY1 to PRE-PIK3C2B in HEK cells is decreased on knock-down of either YY1 or SUZ12. PMID: 23805300
  23. YY1 promotes mTORC2-mediated AKT activation PMID: 26762111
  24. these results define a clinical syndrome caused by haploinsufficiency of YY1 through dysregulation of key transcriptional regulators. PMID: 28575647
  25. Interactions of the chromatin remodeling protein INO80 with DNA, and the role of YY1 in this process have been described. PMID: 27428271
  26. ZFs of YY1 are able to interact with multiple RNA sequences, and that their specificity is not limited to putative endogenous RNA target Xist. The mode of interaction appears to be distinct from both the DNA binding of YY1 and the RNA binding of other classical ZF proteins. PMID: 27369384
  27. the existence of both INO80 and YY1 is required for recruiting the INO80/YY1 complex to BCCIP promoter region. Our findings strongly indicate that BCCIP is a potential target gene of the INO80/YY1 complex. PMID: 27535137
  28. miR-215 is downregulated in colon cancer and it suppresses colon cancer cell proliferation, migration and invasion by directly targeting YY1 PMID: 27663660
  29. High YY1 expression is Associated with Endometrial Cancer. PMID: 27259051
  30. Our results suggested that YY1 depletion repressed prostate cancer cell viability and proliferation and induced apoptosis at least in a miR-146a-assisted manner. PMID: 28101571
  31. Knockdown of miR-381 target gene, YY1, mimicked the phenotype induced by miR-381 overexpression. PMID: 26768613
  32. SET7/SET9-mediated YY1 methylation was shown to be involved in YY1-regulated gene transcription and cell proliferation. PMID: 26902152
  33. The results of our study indicate that YY1 belongs to the family of intrinsically disordered proteins, which exist natively in a partially unfolded conformation. PMID: 25963536
  34. Study shows that YY1 regulates inflammatory responses in vascular endothelium through its binding to ANRIL. PMID: 26618242
  35. YY1 regulates lung CCL4 transcription in pulmonary tuberculosis. PMID: 26786659
  36. Significance of the pathogenic mutation T372R in the Yin Yang 1 protein interaction with DNA--thermodynamic studies: the mutation does not affect the secondary structure of either zinc fingers or the N-terminal fragment of the protein. PMID: 26910132
  37. YY1 overexpression contributes to EZH2 recruitment for H3K27me3-mediated silencing of tumour-suppressive microRNAs, thereby activating NF-kappaB signalling in hepatocarcinogenesis. PMID: 26800240
  38. IL-18 induced YY1 expression, which repressed FXR and MRP2 expression in HepG2 cells. PMID: 26292095
  39. YY1 is overexpressed in differentiated thyroid cancer, and more frequently overexpressed in the papillary carcinoma subtype. PMID: 25698133
  40. Results identify a novel YY1 ~ miR-9 ~ RYBP axis involved in melanoma tumorigenesis and reinforce the idea that regulatory circuitries involving miRNAs and TFs are prevalent mechanisms. PMID: 26104682
  41. Rescue experiments indicated that the suppressive effect of miR-34a on invasion and migration was mediated by activating YY1 expression. PMID: 25954903
  42. Results demonstrate that YY1 is a critical effecter in IL-13-induced fibroblast differentiation: increasing YY1 enhances it whereas decreasing YY1 reduces it. PMID: 25775215
  43. These findings imply that the T allele significantly suppresses PSCA expression in vivo by recruiting YY1 to its promoter, which eventually predisposes gastric epithelial cells to GC development PMID: 25727947
  44. Data show that YY1 transcription factor (YY1) is tyrosine-phosphorylated by Src family kinases, leading to down-regulation of its activity. PMID: 26198631
  45. YY1 is a transcription repressor of FEN1 regulating FEN1 levels in response to DNA damaging agents. PMID: 25885449
  46. These data demonstrate the crucial requirement for YY1 in lung morphogenesis. PMID: 26329601
  47. Transcription factor YY1 is critically involved in the chromatin remodeling and chromosomal interactions at the Th2 cytokine locus. PMID: 25764217
  48. The somatic Thr372Arg YY1 mutation is a relevant finding in female patients with sporadic insulinomas. PMID: 25763608
  49. YY1 is necessary to maintain the steady-state level of VEGFA expression while its silencing increases VEGFA mRNA half-life at 4 h and impairs the maturation of miRNA 200b/c. PMID: 25644713
  50. YY1 regulates, in a sex-specific manner, Mena expression in heart failure PMID: 25935483

Show More

Hide All

Involvement in disease
Gabriele-de Vries syndrome (GADEVS)
Subcellular Location
Nucleus matrix. Note=Associated with the nuclear matrix.
Protein Families
YY transcription factor family
Database Links

HGNC: 12856

OMIM: 600013

KEGG: hsa:7528

STRING: 9606.ENSP00000262238

UniGene: Hs.388927

icon of phone
Call us
301-363-4651 (Available 9 a.m. to 5 p.m. CST from Monday to Friday)
icon of address
Address
7505 Fannin St., Ste 610, Room 7 (CUBIO Innovation Center), Houston, TX 77054, USA
icon of social media
Join us with

Subscribe newsletter

Leave a message

* To protect against spam, please pass the CAPTCHA test below.
CAPTCHA verification
© 2007-2025 CUSABIO TECHNOLOGY LLC All rights reserved. 鄂ICP备15011166号-1
×
Place an order now

I. Product details

*
*
*
*

II. Contact details

*
*

III. Ship To

*
*
*
*
*
*
*

IV. Bill To

*
*
*
*
*
*
*
*