AIFM3 Antibody

Code CSB-PA444394
Size US$166
Order now
Image
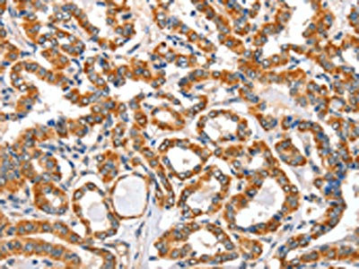
  • The image on the left is immunohistochemistry of paraffin-embedded Human thyroid cancer tissue using CSB-PA444394(AIFM3 Antibody) at dilution 1/40, on the right is treated with fusion protein. (Original magnification: ×200)
  • The image on the left is immunohistochemistry of paraffin-embedded Human colon cancer tissue using CSB-PA444394(AIFM3 Antibody) at dilution 1/40, on the right is treated with fusion protein. (Original magnification: ×200)
  • Gel: 10%SDS-PAGE, Lysate: 40 μg, Lane: Mouse thymus tissue, Primary antibody: CSB-PA444394(AIFM3 Antibody) at dilution 1/240, Secondary antibody: Goat anti rabbit IgG at 1/8000 dilution, Exposure time: 5 seconds
Have Questions? Leave a Message or Start an on-line Chat

Product Details

Uniprot No.
Target Names
AIFM3
Alternative Names
AIFL antibody; Aifm3 antibody; AIFM3_HUMAN antibody; Apoptosis inducing factor 3 antibody; Apoptosis inducing factor like antibody; Apoptosis inducing factor like protein antibody; Apoptosis inducing factor; mitochondrion associated antibody; Apoptosis-inducing factor 3 antibody; Apoptosis-inducing factor-like protein antibody; FLJ30473 antibody; FLJ45137 antibody
Raised in
Rabbit
Species Reactivity
Human,Mouse
Immunogen
Fusion protein of Human AIFM3
Immunogen Species
Homo sapiens (Human)
Conjugate
Non-conjugated
Isotype
IgG
Purification Method
Antigen affinity purification
Concentration
It differs from different batches. Please contact us to confirm it.
Buffer
-20°C, pH7.4 PBS, 0.05% NaN3, 40% Glycerol
Form
Liquid
Tested Applications
ELISA,WB,IHC
Recommended Dilution
Application Recommended Dilution
ELISA 1:1000-1:5000
WB 1:200-1:1000
IHC 1:50-1:200
Troubleshooting and FAQs
Storage
Upon receipt, store at -20°C or -80°C. Avoid repeated freeze.
Lead Time
Basically, we can dispatch the products out in 1-3 working days after receiving your orders. Delivery time maybe differs from different purchasing way or location, please kindly consult your local distributors for specific delivery time.
Usage
For Research Use Only. Not for use in diagnostic or therapeutic procedures.

Customer Reviews and Q&A

 Customer Reviews

There are currently no reviews for this product.

Submit a Review here

Target Background

Function
Induces apoptosis through a caspase dependent pathway. Reduces mitochondrial membrane potential.
Gene References into Functions
  1. Upregulated expression of AIFM3 is associated with cholangiocarcinoma. PMID: 27473083
  2. The expression of apoptosis-inducing factor was identified in pineal gland and thymus, but it did not change with age. PMID: 22550867
  3. AIFM3 is a direct target of miR-210 in human hepatoma cells. PMID: 22387901
  4. AIFL has 598 amino acids, with a characteristic Rieske domain and a pyridine nucleotide-disulfide oxidoreductase domain (Pyr_redox). AIFL shares 35% homology with AIF, mainly in the Pyr_redox domain. PMID: 15764604
  5. AIF maintains the transformed state of colon cancer cells through its NADH oxidase activity, by mechanisms that involve complex I function. PMID: 16001080
  6. H. pylori triggers apoptosis in AGS cells via interaction with death receptors in the plasma membrane, leading to the cleavage of procaspase-8, release of cytochrome c and AIF from mitochondria, and activation of subsequent downstream apoptotic events PMID: 19166416

Show More

Hide All

Subcellular Location
Mitochondrion. Note=Does not translocate to the nucleus upon induction of apoptosis.
Protein Families
FAD-dependent oxidoreductase family
Tissue Specificity
Ubiquitous. Expressed in bone marrow, cerebral cortex, liver, ovary, thymus, thyroid gland and tongue (at protein level).
Database Links

HGNC: 26398

OMIM: 617298

KEGG: hsa:150209

STRING: 9606.ENSP00000382120

UniGene: Hs.723246

icon of phone
Call us
301-363-4651 (Available 9 a.m. to 5 p.m. CST from Monday to Friday)
icon of address
Address
7505 Fannin St., Ste 610, Room 7 (CUBIO Innovation Center), Houston, TX 77054, USA
icon of social media
Join us with

Subscribe newsletter

Leave a message

* To protect against spam, please pass the CAPTCHA test below.
CAPTCHA verification
© 2007-2025 CUSABIO TECHNOLOGY LLC All rights reserved. 鄂ICP备15011166号-1
×
Place an order now

I. Product details

*
*
*
*

II. Contact details

*
*

III. Ship To

*
*
*
*
*
*
*

IV. Bill To

*
*
*
*
*
*
*
*