B2M Antibody

Code CSB-PA791042
Size US$166
Order now
Image
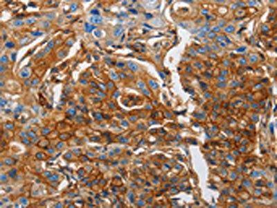
  • The image on the left is immunohistochemistry of paraffin-embedded Human esophagus cancer tissue using CSB-PA791042(B2M Antibody) at dilution 1/25, on the right is treated with fusion protein. (Original magnification: ×200)
  • The image on the left is immunohistochemistry of paraffin-embedded Human lung cancer tissue using CSB-PA791042(B2M Antibody) at dilution 1/25, on the right is treated with fusion protein. (Original magnification: ×200)
  • Gel: 15%SDS-PAGE, Lysate: 40 μg, Lane 1-2: Human kidney tissue, Raji cells, Primary antibody: CSB-PA791042(B2M Antibody) at dilution 1/250, Secondary antibody: Goat anti rabbit IgG at 1/8000 dilution, Exposure time: 20 seconds
Have Questions? Leave a Message or Start an on-line Chat

Product Details

Uniprot No.
Target Names
Alternative Names
B2M antibody; B2MG_HUMAN antibody; Beta 2 microglobin antibody; Beta 2 microglobulin antibody; Beta 2 microglobulin precursor antibody; Beta chain of mhc class 1 proteins antibody; Beta chain of MHC class I molecules antibody; Beta-2-microglobulin form pI 5.3 antibody; CDABP0092 antibody; Hdcma22p antibody; IMD43 antibody
Raised in
Rabbit
Species Reactivity
Human
Immunogen
Fusion protein of Human B2M
Immunogen Species
Homo sapiens (Human)
Conjugate
Non-conjugated
Isotype
IgG
Purification Method
Antigen affinity purification
Concentration
It differs from different batches. Please contact us to confirm it.
Buffer
-20°C, pH7.4 PBS, 0.05% NaN3, 40% Glycerol
Form
Liquid
Tested Applications
ELISA,WB,IHC
Recommended Dilution
Application Recommended Dilution
ELISA 1:1000-1:2000
WB 1:200-1:1000
IHC 1:50-1:200
Troubleshooting and FAQs
Storage
Upon receipt, store at -20°C or -80°C. Avoid repeated freeze.
Lead Time
Basically, we can dispatch the products out in 1-3 working days after receiving your orders. Delivery time maybe differs from different purchasing way or location, please kindly consult your local distributors for specific delivery time.
Usage
For Research Use Only. Not for use in diagnostic or therapeutic procedures.

Customer Reviews and Q&A

 Customer Reviews

There are currently no reviews for this product.

Submit a Review here

Target Background

Function
Component of the class I major histocompatibility complex (MHC). Involved in the presentation of peptide antigens to the immune system. Exogenously applied M.tuberculosis EsxA or EsxA-EsxB (or EsxA expressed in host) binds B2M and decreases its export to the cell surface (total protein levels do not change), probably leading to defects in class I antigen presentation.
Gene References into Functions
  1. Data show that plasma beta2-microglobulin (beta2m) levels are specifically increased in Alzheimer's disease (AD), indicating that beta2m could play a role in AD. PMID: 29741401
  2. Binding stability to beta2-microglobulin may confer to HLA-C the ability to preferentially act either as a conventional immune-competent molecule or as an accessory molecule involved in HIV-1 infectivity via viral envelope glycoprotein binding. PMID: 28051183
  3. Molecular dynamic simulations reveal that D59P mutation in the DE loop region of B2M disrupts the native sandwich folded structure and highlight a decrease in the average number of hydrogen bonds in the loop regions on D59P mutation that enhances conformational flexibility, which lead to higher aggregation propensity. PMID: 28657666
  4. Study characterized the salt-induced oligomers of the acid-unfolded state of beta2m using an array of biophysical tools including steady-state and time-resolved fluorescence, circular dichroism, dynamic light scattering, and atomic force microscopy imaging. Results revealed the distinct pathways by which beta2m assembles into oligomers and fibrils. PMID: 27467899
  5. We focused on the genetic and functional analysis of beta2-microglobulin (B2M), a component of the HLA class-I complex. We identified alterations in genes involved in various functions, such as B2M involved in immunosurveillance PMID: 28302866
  6. Pretransplant beta2-Microglobulin Is Associated with the Risk of Acute Graft-versus-Host-Disease after Allogeneic Hematopoietic Cell Transplant.( PMID: 27044906
  7. we found that beta2M but no other serum markers had independent prognostic significance in the UK CLL4 trial PMID: 26732125
  8. Both cystatin C and beta 2 macroglobulin are elevated in type 2 diabetics with diabetic nephropathy. PMID: 28182344
  9. Serum B2M level was positively associated with Gensini score system, SYNTAX score system and the number of diseased coronary vessels. PMID: 28249620
  10. Data suggest that T-cell receptor (TCR) alpha-constant domain (C- and F-strands) directly interacts with unbound MHC light chain, beta2-microglobulin (beta2M); these interactions do not appear to be involved in T-cell cytotoxicity, suggesting an alternate role for beta2M binding to TCR; TCR beta-chain does not appear to interact directly with beta2M. PMID: 28671821
  11. These data suggest beta2M might participate in the development of lung emphysema through induction of lung epithelial cell senescence and inhibition. PMID: 28213472
  12. Heparin-induced amyloid fibrillation of beta2 -microglobulin explained by solubility and a supersaturation-dependent conformational phase diagram PMID: 28249361
  13. results suggest that doxycycline and rifamycin are general inhibitors of Cu(II)-induced beta2m amyloid formation. PMID: 28468825
  14. High B2M levels were associated with an increased risk of ischemic stroke in this study of middle-aged women PMID: 28490653
  15. Letter: serum levels of anti-carbonic anhydrase autoantibodies and beta macroglobulin correlate with ClinESSDAI score in patients with Sjogren's syndrome. PMID: 28079504
  16. Macromolecular crowding favors the fibrillization of beta2-microglobulin by accelerating the nucleation step and inhibiting fibril disassembly. PMID: 27481166
  17. Beta2M mRNA expression in cells of the urinary sediment is higher in T1D patients with diabetic kidney disease and in patients with focal segmental glomerulosclerosis in comparison to healthy subjects, maybe reflecting a tubulointerstitial injury promoted by albumin. PMID: 27173460
  18. Serum levels of beta trace protein and beta 2 microglobulin can be used to predict residual kidney function in hemodialysis patients. PMID: 26924065
  19. Results show that high serum 2-m levels and lymphoma associated hemophagocytic lymphohistiocytosis (LAHS) were associated with markedly poorer overall survival (OS) in patients with hemophagocytic lymphohistiocytosis suggesting that serum2-m concentration was a powerful and independent prognostic factor for OS in patients with LAHS. PMID: 27110054
  20. The chaperone crystallin, which is a mild modulator of the lag phase of the variant fibrillogenesis, potently inhibits fibril elongation of the wild-type even once it is absorbed on D76N beta2-microglobulin fibrils. PMID: 26921323
  21. B2M is a potential tissue biomarker and therapeutic target of borderline and malignant ovarian tumours and the dysregulation of B2M in these tumours may be mediated by the TGF-beta signaling pathway. PMID: 26983758
  22. BTP and B2M levels are less affected than serum by amputation, and should be considered for future study of GFR estimation PMID: 26800100
  23. Overexpression of B2M are associated with invasion, metastasis of the pancreatic ductal adenocarcinoma. PMID: 26406402
  24. Serum Beta-2 Microglobulin level is elevated in Chronic Hepatitis C related chronic liver diseases and may be used as a marker for Chronic Hepatitis C disease progression towards cirrhosis and carcinoma. PMID: 26625805
  25. Data suggest that, in modeling early assembly mechanisms for amyloidogenic beta2-microglobulin (B2M and/or truncated B2M, crosslinked and native), domain-swapped hinge region of B2M is key to both intra-molecular and inter-molecular interactions. PMID: 26655720
  26. The results show that, although other factors influence the fibril growth kinetics, a striking difference in the solubility of the proteins is a key determinant of the different amyloidogenicity of human B2M and mouse B2M. PMID: 26780548
  27. beta2M-mediated VEGFR-2/Akt/mTOR phosphorylation and tumor angiogenesis was significantly suppressed by over-expression of DKK-3. PMID: 26278164
  28. ESAT-6/ESAT-6:CFP-10 can enter into the endoplasmic reticulum where it sequesters beta2M to inhibit cell surface expression of MHC-I-beta2M complexes, resulting in downregulation of class I-mediated antigen presentation. PMID: 25356553
  29. The study presents the X-ray crystallographic structures of three families of oligomers formed by macrocyclic peptides containing a heptapeptide sequence derived from the amyloidogenic E chain of beta 2-microglobulin (B2M). PMID: 25915729
  30. Serum cystatin C, urine NAG, RBP, and ET-1 levels were found to be insufficient for the evaluation of SCD nephropathy. Increased B2M/creatinie levels can be valuable in estimating possible glomerular and tubular damage in SCD. PMID: 23987825
  31. Unfolding of the C-terminal portion of human beta 2 microglobulin may be related to amyloidogenicity. PMID: 25523495
  32. The results suggest that the interaction between beta2m fibrils and membranes of endosomal origin may play a role in the molecular mechanism of beta2m amyloid-associated osteoarticular tissue destruction in DRA. PMID: 25100247
  33. Monoclonal antibodies to HLA-E bind epitopes carried by unfolded beta2 m-free heavy chains. PMID: 25982269
  34. Beta2-Microglobulin deficiency causes a complex immunodeficiency of the innate and adaptive immune system. PMID: 25702838
  35. A competitive mechanism of amyloid fibrillation and amorphous aggregation reproduced the observed aggregation kinetics of beta2-microglobulin. PMID: 26063798
  36. Conformational differences between B2M and its truncated variant DeltaN6 fibrils can explain the relatively enhanced amyloidogenic potential of the truncation variant. PMID: 24679070
  37. findings suggest that beta2m at transplantation predict the outcome after ASCT in NHL PMID: 25577449
  38. The expression profiles of DEP1 and B2MG correlate with increased cell senescence and survival in breast cancer. PMID: 25412306
  39. Beta 2-microglobulin is responsible for systemic amyloidosis in patients undergoing long-term hemodialysis. PMID: 25750126
  40. beta2-M expression demonstrated a significant difference in the four breast cancer molecular subtypes, and may be related to apoptosis regulation in breast cancer. PMID: 25292288
  41. Serum B2-M levels may be used as an activity parameter in inflammatory bowel disease. PMID: 25152594
  42. Urinary beta2-MG levels showed a significant correlation with renal function and proteinuria in IgA nephropathy. PMID: 24851068
  43. results suggest that serum beta2M and GGT levels are useful indicators for evaluating the occurrence of slight inflammation as background, which promotes atherosclerosis even in healthy children. PMID: 24572983
  44. Beta-2 microglobulin levels are increased in about 30 percent of renal cell carcinoma patients, above all in subjects with metastatic disease. PMID: 24692843
  45. Substantial changes of CSF beta 2-m concentrations are predictive of purulent meningitis, leptomeningeal metastasis, viral meningitis/encephalitis, and neuroborreliosis. PMID: 24895473
  46. Serum beta2-microglobulin levels correlate with tumor stage in MM. PMID: 25247952
  47. The increased proportion of advanced glycation end products and beta2M deposition induced by long-term exposure of peritoneal dialysis fluid may be a marker of peritoneal injury. PMID: 24337623
  48. Amyloidogenic and nonamyloidogenic variants of beta2-microglobulin, mapping interactions that inhibit or promote fibril formation in atomic detail. PMID: 24981172
  49. MHC I and b2m genes are both expressed in in human as well as mice during the developmental stages of cerebellar cortex PMID: 24272393
  50. An association between serum B2M and non-Hodgkin lymphoma prognosis. PMID: 24969158

Show More

Hide All

Involvement in disease
Immunodeficiency 43 (IMD43); Amyloidosis 8 (AMYL8)
Subcellular Location
Secreted. Cell surface.;
Protein Families
Beta-2-microglobulin family
Database Links

HGNC: 914

OMIM: 105200

KEGG: hsa:567

STRING: 9606.ENSP00000452780

UniGene: Hs.534255

icon of phone
Call us
301-363-4651 (Available 9 a.m. to 5 p.m. CST from Monday to Friday)
icon of address
Address
7505 Fannin St., Ste 610, Room 7 (CUBIO Innovation Center), Houston, TX 77054, USA
icon of social media
Join us with

Subscribe newsletter

Leave a message

* To protect against spam, please pass the CAPTCHA test below.
CAPTCHA verification
© 2007-2025 CUSABIO TECHNOLOGY LLC All rights reserved. 鄂ICP备15011166号-1
×
Place an order now

I. Product details

*
*
*
*

II. Contact details

*
*

III. Ship To

*
*
*
*
*
*
*

IV. Bill To

*
*
*
*
*
*
*
*