CASP10 Antibody

Code CSB-PA209503
Size US$166
Order now
Image
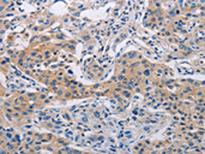
  • The image on the left is immunohistochemistry of paraffin-embedded Human liver cancer tissue using CSB-PA209503(CASP10 Antibody) at dilution 1/30, on the right is treated with fusion protein. (Original magnification: ×200)
  • The image on the left is immunohistochemistry of paraffin-embedded Human lung cancer tissue using CSB-PA209503(CASP10 Antibody) at dilution 1/30, on the right is treated with fusion protein. (Original magnification: ×200)
Have Questions? Leave a Message or Start an on-line Chat

Product Details

Uniprot No.
Target Names
Alternative Names
ALPS2 antibody; Apoptotic protease Mch-4 antibody; CASP 10 antibody; CASP-10 antibody; CASP10 antibody; CASPA_HUMAN antibody; Caspase 10 apoptosis related cysteine peptidase antibody; Caspase-10 antibody; Caspase-10 subunit p12 antibody; FADD like ICE2 antibody; Fas associated death domain protein antibody; FAS-associated death domain protein interleukin-1B-converting enzyme 2 antibody; FLICE 2 antibody; FLICE2 antibody; ICE like apoptotic protease 4 antibody; ICE-like apoptotic protease 4 antibody; Interleukin 1B converting enzyme 2 antibody; MCH 4 antibody
Raised in
Rabbit
Species Reactivity
Human
Immunogen
Fusion protein of Human CASP10
Immunogen Species
Homo sapiens (Human)
Conjugate
Non-conjugated
Isotype
IgG
Purification Method
Antigen affinity purification
Concentration
It differs from different batches. Please contact us to confirm it.
Buffer
-20°C, pH7.4 PBS, 0.05% NaN3, 40% Glycerol
Form
Liquid
Tested Applications
ELISA,IHC
Recommended Dilution
Application Recommended Dilution
ELISA 1:2000-1:5000
IHC 1:25-1:100
Troubleshooting and FAQs
Storage
Upon receipt, store at -20°C or -80°C. Avoid repeated freeze.
Lead Time
Basically, we can dispatch the products out in 1-3 working days after receiving your orders. Delivery time maybe differs from different purchasing way or location, please kindly consult your local distributors for specific delivery time.
Usage
For Research Use Only. Not for use in diagnostic or therapeutic procedures.

Customer Reviews and Q&A

 Customer Reviews

There are currently no reviews for this product.

Submit a Review here

Target Background

Function
Involved in the activation cascade of caspases responsible for apoptosis execution. Recruited to both Fas- and TNFR-1 receptors in a FADD dependent manner. May participate in the granzyme B apoptotic pathways. Cleaves and activates caspase-3, -4, -6, -7, -8, and -9. Hydrolyzes the small- molecule substrates, Tyr-Val-Ala-Asp-|-AMC and Asp-Glu-Val-Asp-|-AMC.; Isoform 7 can enhance NF-kappaB activity but promotes only slight apoptosis.; Isoform C is proteolytically inactive.
Gene References into Functions
  1. Caspase-10 is a negative regulator of cell death and a facilitator of gene induction separates the function of cFLIP and caspase-10 in the death-inducing signaling complex. PMID: 28445729
  2. This study reveals an essential role of SUMOylated FADD in Drp1- and caspase-10-dependent necrosis. PMID: 27799292
  3. Three cases of autoimmune lymphoproliferative syndrome due to somatic FAS mutation (ALPS-sFAS) combined with a germline CASP10 variation have been described. PMID: 26323380
  4. Results showed miR-221/222 promote cell proliferation and repress apoptosis, through suppressing caspase-10, in prostate cancer cells. PMID: 26164758
  5. Single nucleotide polymorphisms in CASP10 gene is associated with gastric cancer. PMID: 23921907
  6. While myeloma cells require a basal level of autophagy for survival, caspase-10 tempers this response to avoid cell death. PMID: 23541952
  7. This meta-analysis suggests that the rs13006529 T carrier in the CASP-10 gene might be a risk factor for cancer susceptibility, especially for breast cancer. PMID: 23212337
  8. The protein factor-arrest 11 (Far11) is essential for the toxicity of human caspase-10 in yeast and participates in the regulation of autophagy and the DNA damage signaling. PMID: 22782902
  9. induces apoptosis in avian virus H5N1-infected human monocyte-derived macrophages PMID: 21911414
  10. Caspase-10 expression, measured by quantitative real-time RT-PCR, is a possible prognostic factor in patients with stage II colorectal cancer. PMID: 21559821
  11. Caspase-10 isoforms play distinct and opposing roles in the initiation of death receptor-mediated tumour cell apoptosis. PMID: 21368896
  12. The CASP10 V410I polymorphism was not associated with breast or ovarian cancer risk for BRCA1 or BRCA2 mutation carriers. PMID: 20978178
  13. Data show that caspase-10 is the most active caspase in apoptotic erythroid progenitors induced by 11 kDa and NS1 as well as during B19V infection. PMID: 19861680
  14. Somatic mutation of CASP10 is rare in colon, breast, lung, and hepatocellular carcinomas. PMID: 20025484
  15. CASP10 mutation might contribute to the pathogenesis of factions of T-acute lymphoblastic leukaemia and multiple myeloma. PMID: 19900088
  16. inactivating mutations in non-hodgkin lymphoma. PMID: 12010812
  17. Caspase-10 is recruited to & activated at the native TRAIL and CD95 death-inducing signalling complexes in a FADD-dependent manner but can not functionally substitute caspase-8. Caspase-10 is cleaved during CD95-induced apoptosis of activated T cells. PMID: 12198154
  18. histone H3 phosphoacetylation at the CASPASE-10 gene may play an important role in the induction of apoptosis in acute promyelocytic leukemia cells in response to arsenic trioxide PMID: 12388546
  19. over-expression of GRB2 and FLICE2 in RA synovium is caused by TNF-alpha inducibility differentially regulated in RA synoviocytes and provide potential pathogenic roles of these genes in the hyperplasia of the RA synovium. PMID: 14687710
  20. CASP10 levels are increased following DNA damage in a p53-dependent manner. PMID: 14688482
  21. Re molecular requirements for neutrophil apoptosis: TNF-alpha-mediated apoptosis depends on the activation of caspase-8, spontaneous apoptosis requires the activation of caspase-10/b. PMID: 14761933
  22. taxol induces FADD-dependent apoptosis primarily through activation of caspase-10 but independently of death receptors PMID: 15452117
  23. a model in which caspase-10 is a crucial component during TRAIL-mediated apoptosis PMID: 15767684
  24. Role of variants of caspase-10 in Autoimmune Lymphoproliferative Syndrome. PMID: 16446975
  25. Altogether, these data indicate an active role for caspase-10 in cytotoxic drug-induced tumor cell death, downstream of the mitochondria. PMID: 16767158
  26. These results suggest that caspase-10, DR-3 and IGFBP-3 are involved in apoptosis in the preeclamptic placenta. PMID: 17085968
  27. A novel prodomain-only isoform of caspase-10 may preferentially play a regulatory role in NF-kappa B pathways. PMID: 17822854
  28. Fas expression was reduced and caspase-10 activity was decreased in both patients PMID: 17999750
  29. Caspase-10 expression was down-regulated in both rectal adenomas and cancers PMID: 18716417
  30. Single nucleotide polymorphism data suggest a role for CASP10 as a potential modifier of the asthma phenotype, specifically with measures of airway obstruction and bronchial hyperresponsiveness. PMID: 18823309
  31. the effect of the ectopic expression of the human initiator caspases-10 in Saccharomyces cerevisiae PMID: 19166881
  32. Results show that heat shock protein 90 beta is cleaved by activated caspase-10 under UVB irradiation. PMID: 19380486

Show More

Hide All

Involvement in disease
Autoimmune lymphoproliferative syndrome 2A (ALPS2A); Familial non-Hodgkin lymphoma (NHL); Gastric cancer (GASC)
Protein Families
Peptidase C14A family
Tissue Specificity
Detectable in most tissues. Lowest expression is seen in brain, kidney, prostate, testis and colon.
Database Links

HGNC: 1500

OMIM: 601762

KEGG: hsa:843

STRING: 9606.ENSP00000286186

UniGene: Hs.5353

icon of phone
Call us
301-363-4651 (Available 9 a.m. to 5 p.m. CST from Monday to Friday)
icon of address
Address
7505 Fannin St., Ste 610, Room 7 (CUBIO Innovation Center), Houston, TX 77054, USA
icon of social media
Join us with

Subscribe newsletter

Leave a message

* To protect against spam, please pass the CAPTCHA test below.
CAPTCHA verification
© 2007-2025 CUSABIO TECHNOLOGY LLC All rights reserved. 鄂ICP备15011166号-1
×
Place an order now

I. Product details

*
*
*
*

II. Contact details

*
*

III. Ship To

*
*
*
*
*
*
*

IV. Bill To

*
*
*
*
*
*
*
*