CDK6 Antibody

Code CSB-PA245607
Size US$119
Order now
Image
  • Western blot analysis of Hela lysate, antibody was diluted at 2000. Secondary antibody was diluted at 1:20000
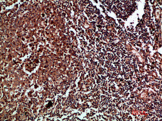
  • Immunohistochemical analysis of paraffin-embedded human-tonsil, antibody was diluted at 1:200
  • Immunohistochemical analysis of paraffin-embedded human-tonsil, antibody was diluted at 1:200
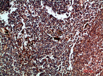
  • Immunohistochemical analysis of paraffin-embedded human-colon-cancer, antibody was diluted at 1:200
  • Immunohistochemical analysis of paraffin-embedded human-colon-cancer, antibody was diluted at 1:200
Have Questions? Leave a Message or Start an on-line Chat

Product Details

Uniprot No.
Target Names
Alternative Names
CDK 6 antibody; CDK6 antibody; CDK6_HUMAN antibody; Cell division protein kinase 6 antibody; Crk 2 antibody; Crk2 antibody; Cyclin dependent kinase 6 antibody; Cyclin-dependent kinase 6 antibody; MCPH12 antibody; MGC59692 antibody; p40 antibody; PLSTIRE antibody; Serine/threonine protein kinase PLSTIRE antibody; Serine/threonine-protein kinase PLSTIRE antibody; STQTL11 antibody
Raised in
Rabbit
Species Reactivity
Human
Immunogen
Synthetic peptide from Human protein at AA range: 280-325
Immunogen Species
Homo sapiens (Human)
Conjugate
Non-conjugated
Purification Method
The antibody was affinity-purified from rabbit serum by affinity-chromatography using specific immunogen.
Concentration
It differs from different batches. Please contact us to confirm it.
Buffer
Liquid in PBS containing 50% glycerol, 0.5% BSA and 0.02% sodium azide.
Form
Liquid
Tested Applications
WB, IHC, ELISA
Recommended Dilution
Application Recommended Dilution
WB 1:500-2000
IHC 1:50-300
ELISA 1:10000-20000
Troubleshooting and FAQs
Storage
Upon receipt, store at -20°C or -80°C. Avoid repeated freeze.
Lead Time
Basically, we can dispatch the products out in 1-3 working days after receiving your orders. Delivery time maybe differs from different purchasing way or location, please kindly consult your local distributors for specific delivery time.
Usage
For Research Use Only. Not for use in diagnostic or therapeutic procedures.

Customer Reviews and Q&A

 Customer Reviews

There are currently no reviews for this product.

Submit a Review here

Target Background

Function
Serine/threonine-protein kinase involved in the control of the cell cycle and differentiation; promotes G1/S transition. Phosphorylates pRB/RB1 and NPM1. Interacts with D-type G1 cyclins during interphase at G1 to form a pRB/RB1 kinase and controls the entrance into the cell cycle. Involved in initiation and maintenance of cell cycle exit during cell differentiation; prevents cell proliferation and regulates negatively cell differentiation, but is required for the proliferation of specific cell types (e.g. erythroid and hematopoietic cells). Essential for cell proliferation within the dentate gyrus of the hippocampus and the subventricular zone of the lateral ventricles. Required during thymocyte development. Promotes the production of newborn neurons, probably by modulating G1 length. Promotes, at least in astrocytes, changes in patterns of gene expression, changes in the actin cytoskeleton including loss of stress fibers, and enhanced motility during cell differentiation. Prevents myeloid differentiation by interfering with RUNX1 and reducing its transcription transactivation activity, but promotes proliferation of normal myeloid progenitors. Delays senescence. Promotes the proliferation of beta-cells in pancreatic islets of Langerhans. May play a role in the centrosome organization during the cell cycle phases.
Gene References into Functions
  1. CDK6 inhibition and MiR-320c overexpression attenuated IL-1beta-induced increases in expression of inflammatory products such as iNOS and MMP13 and decreased the expression of anabolic products such as COL2A1 and aggrecan. PMID: 30466085
  2. Our data suggested that miR-29a could play an important role in inhibiting proliferation and motility of cancerous Schwann cells, and may suppress tumor growth through upregulation of CDK6. PMID: 29023945
  3. High CDK6 Expression is associated with Oral Squamous Cell Carcinomas. PMID: 29693970
  4. The results indicate that C-glycosyl flavone may exert induction of apoptosis, cell cycle arrest and inhibition of angiogenesis via CDK6. Thus, targeting CDK6 using C-glycosyl flavone may serve as a novel therapeutic approach for the treatment of breast, hepatic and colon cancers. PMID: 29806604
  5. the miR494/CDK6 axis has a significant tumorsuppressive effect on osteosarcoma. PMID: 28990071
  6. High CDK6 expression is associated with bladder carcinoma. PMID: 27484176
  7. Molecular dynamics simulations showed that the free energy barrier of the transition from open to closed state decreased ~47.2% after Thr177 phosphorylation, increasing the flexibility around the ATP-binding pocket. Binding preferences of 10 different inhibitors to open or closed state were also investigated. PMID: 29108955
  8. miRNA-195 was associated with tumor malignancy grade and might be involved in the development and progression of OVC. In addition, CDK6 was predicted to be a target gene of miRNA-195 and obviously increased in both OVC and OSCC. PMID: 28621315
  9. Results show that miR-218-5p is increased in bone metastases and promotes breast cancer cell proliferation by activating wnt signaling. PMID: 27738322
  10. Upregulation of CDK6 may be an important mechanism in overcoming fulvestrant-mediated growth inhibition in breast cancer cells. PMID: 27252418
  11. the MYU/hnRNP-K/CDK6 pathway functions downstream of Wnt/c-Myc signaling and plays a critical role in the proliferation and tumorigenicity of colon cancer cells. PMID: 27568568
  12. The deletion of CBX3 directly enforces the expression of CDK6 and p21. PMID: 28193906
  13. CDK6-mediated suppression of CD25 is required for initiation of T-ALL by activated Notch1 PMID: 26707936
  14. CDK6 overexpression is associated with cancer. PMID: 27206849
  15. High CDK6 expression is associated with Melanoma. PMID: 26988987
  16. Palbociclib can overcome mutations in cyclin dependent kinase 6 that break hydrogen bonds between the drug and the protein PMID: 28168755
  17. Our study proved that the CDK6 gene is a target of miR-637, and demonstrated the regulatory association between miR-637 and CDK6 PMID: 27794186
  18. miR-1299 inhibited CDK6 expression and bound to the 3'UTR of CDK6. PMID: 27490780
  19. Results show that NEAT1 regulated CDK6 expression in laryngeal squamous cell cancer (LSCC) cells which was mediated by miR-107; NEAT1 plays an oncogenic role in the tumorigenesis of LSCC. PMID: 26822763
  20. lower expression in cisplatin-resistant non-small-cell lung carcinoma PMID: 25703099
  21. three uniquely identified proteins (CDK6 , galectin-3-binding protein and LDH C) were found, which show tight connection with prostate cancer and presence of all of them was previously linked to certain aspects of prostate cancer PMID: 26503549
  22. These data enhance our understanding of the important role that GAS5 plays in the molecular etiology of GC and suggest a potential of GAS5 as a new therapeutic target for GC treatment. PMID: 26278580
  23. MiR-26a and mir-584 inhibit the binding of hnRNP A1-CDK6 mRNA and induce colorectal cancer cell apoptosis. PMID: 26494299
  24. only miR-34a was prognostic for RFS (RR, 11.5; P = 0.027). miR-34a expression was inversely correlated with that of c-MET and CDK6 in non-small cell lung cancer , and had prognostic significance for RFS, especially in adenocarcinoma patients. PMID: 26104764
  25. We conclude that Bz-surviving MM cells display a GRP78(HIGH)/p21(HIGH)/CDK6(LOW)/P-Rb(LOW) profile, and these markers may identify quiescent MM cells capable of fueling recurrences. PMID: 26025442
  26. differential expression of CDK6 underlies heterogeneity in stem cell quiescence states that functionally regulates this highly regenerative system PMID: 25704240
  27. LINE-1 hypomethylation was associated with a higher cancer recurrence and CDK6 messenger RNA expression levels were inversely associated with LINE-1 methylation in hepatocellular carcinomas. PMID: 25319577
  28. miR-320c could inhibit the proliferation, migration and invasion of bladder cancer cells via regulating CDK6. PMID: 25178497
  29. SUMO1 modification stabilizes CDK6 protein and drives the cell cycle and glioblastoma progression. PMID: 24953629
  30. Cooperation of DLC1 and CDK6 affects breast cancer clinical outcome PMID: 25425654
  31. Our data suggest that miR-377 can suppress proliferation in MG-63 cells in part by targeting CDK6. PMID: 25577249
  32. genetic variants in CDK6 and PADI4 were associated with anti-citrullinated cyclic peptide status in rheumatoid arthritis DRB1*04 negative patients PMID: 25138370
  33. CDK6 is a direct target of MLL fusion proteins, playing an important role in the proliferation advantage of MLL-rearranged ALL cells. PMID: 24736461
  34. The addition of CDK4/6 inhibitor palbociclib to letrozole in this phase 2 study significantly improved progression-free survival in women with advanced oestrogen receptor-positive and HER2-negative breast cancer. PMID: 25524798
  35. results suggest that DCK6 is a putative target of miR504 in of hypopharyngeal squamous cell carcinoma. PMID: 24647829
  36. cases with CDK6-positive expression experienced worse clinical outcome compared with those with CDK6-negative expression, supporting the oncogenic role of CDK6 in ESCC. PMID: 24423610
  37. these findings identify a direct relationship between control of the cell cycle by CDK6 and SAMHD1 activity, which is important for replication of lentiviruses, as well as other viruses whose replication may be regulated by intracellular dNTP availability. PMID: 25015816
  38. Findings begin to elucidate the role of miR-145 as an important regulator of chemoresistance in ovarian cancer by controlling both Cdk6 and Sp1. PMID: 24510775
  39. overexpression of hsa-miR-4516 downregulates STAT3, p-STAT3, CDK6, and UBE2N proteins that are consistently upregulated in psoriasis and induces apoptosis in HaCaT cells. PMID: 24610393
  40. An evolving tumor can only derive full benefit from from overexpression of CDK6 in the absence of P16INK4A. PMID: 24161991
  41. MYC-dependent breast cancer cells possess high MYC expression and high level of MYC phosphorylation, but are not sensitive to inhibition of CDK6. PMID: 24444383
  42. This interaction suggests that CDK6 regulates EYA2 activity, a mechanism that could be important in development and in cancer. PMID: 24196439
  43. Gas5 negatively regulates CDK6 (cyclin-dependent kinase 6) expression in vitro and in vivo in pancreatic cancer cells. PMID: 24026436
  44. data identify CDK6 as critical effector of MLL fusions in leukemogenesis that might be targeted to overcome the differentiation block associated with MLL-rearranged acute myeloid leukemia PMID: 24764564
  45. Data indicate CDK6 as a putative target of miR-105 which is likely a main contributor to the inhibition of tumour cell growth observed in our assays. PMID: 23950948
  46. CDK6 rs42041 was associated with a remitting course of juvenile idiopathic arthritis. PMID: 24347572
  47. We propose that the identified CDK6 mutation leads to reduced cell proliferation and impairs the correct functioning of the centrosome in microtubule organization and its positioning near the nucleus which are key determinants during neurogenesis. PMID: 23918663
  48. Downregulation of GAS5 promotes bladder cancer cell proliferation, partly by regulating CDK6. PMID: 24069260
  49. results showed that let-7a acted as a tumor suppressor in ES by targeting CDK6, and it may provide novel diagnostic and therapeutic options for human Ewing sarcoma clinical operation in future PMID: 24383407
  50. CDK6 was identified as a novel functional target of miR200a. Our data indicate that miR200a functions as a potential tumor suppressor in HCC. PMID: 24009066

Show More

Hide All

Involvement in disease
Microcephaly 12, primary, autosomal recessive (MCPH12)
Subcellular Location
Cytoplasm. Nucleus. Cell projection, ruffle. Cytoplasm, cytoskeleton, microtubule organizing center, centrosome.
Protein Families
Protein kinase superfamily, CMGC Ser/Thr protein kinase family, CDC2/CDKX subfamily
Tissue Specificity
Expressed ubiquitously. Accumulates in squamous cell carcinomas, proliferating hematopoietic progenitor cells, beta-cells of pancreatic islets of Langerhans, and neuroblastomas. Reduced levels in differentiating cells.
Database Links

HGNC: 1777

OMIM: 603368

KEGG: hsa:1021

STRING: 9606.ENSP00000265734

UniGene: Hs.119882

CUSABIO guaranteed quality
icon of phone
Call us
301-363-4651 (Available 9 a.m. to 5 p.m. CST from Monday to Friday)
icon of address
Address
7505 Fannin St., Ste 610, Room 7 (CUBIO Innovation Center), Houston, TX 77054, USA
icon of social media
Join us with

Subscribe newsletter

Leave a message

* To protect against spam, please pass the CAPTCHA test below.
CAPTCHA verification
© 2007-2025 CUSABIO TECHNOLOGY LLC All rights reserved. 鄂ICP备15011166号-1
×
Place an order now

I. Product details

*
*
*
*

II. Contact details

*
*

III. Ship To

*
*
*
*
*
*
*

IV. Bill To

*
*
*
*
*
*
*
*