FUNDC1 Antibody

Code CSB-PA816886LA01HU
Size $166
Order now
Image
  • Western Blot
    Positive WB detected in: RAW264.7 whole cell lysate(30µg), 293 whole cell lysate(30µg), SY5Y whole cell lysate(30µg), Hela whole cell lysate(30µg), MCF7 whole cell lysate(30µg)
    All lanes: FUNDC1 antibody at 1:1000
    Secondary
    Goat polyclonal to rabbit IgG at 1/40000 dilution
    Predicted band size: 17kDa
    Observed band size: 17kDa
    Exposure time: 60s
  • IHC image of CSB-PA816886LA01HU diluted at 1:250 and staining in paraffin-embedded human kidney tissue performed on a Leica BondTM system. After dewaxing and hydration, antigen retrieval was mediated by high pressure in a citrate buffer (pH 6.0). Section was blocked with 10% normal goat serum 30min at RT. Then primary antibody (1% BSA) was incubated at 4°C overnight. The primary is detected by a Goat anti-rabbit polymer IgG labeled by HRP and visualized using 0.05% DAB. Secondary antibody only control: uses 1% BSA instead of primary antibody
  • Western Blot
    Positive WB detected in: Mouse Brain tissue lysate(30µg),Mouse Liver tissue lysate(30µg),Rat Brain tissue lysate(30µg),Rat Liver tissue lysate(30µg)
    All lanes: FUNDC1 antibody at 1:1000
    Secondary
    Goat polyclonal to rabbit IgG at 1/40000 dilution
    Predicted band size: 17 kDa
    Observed band size: 17 kDa
    Exposure time: 60s
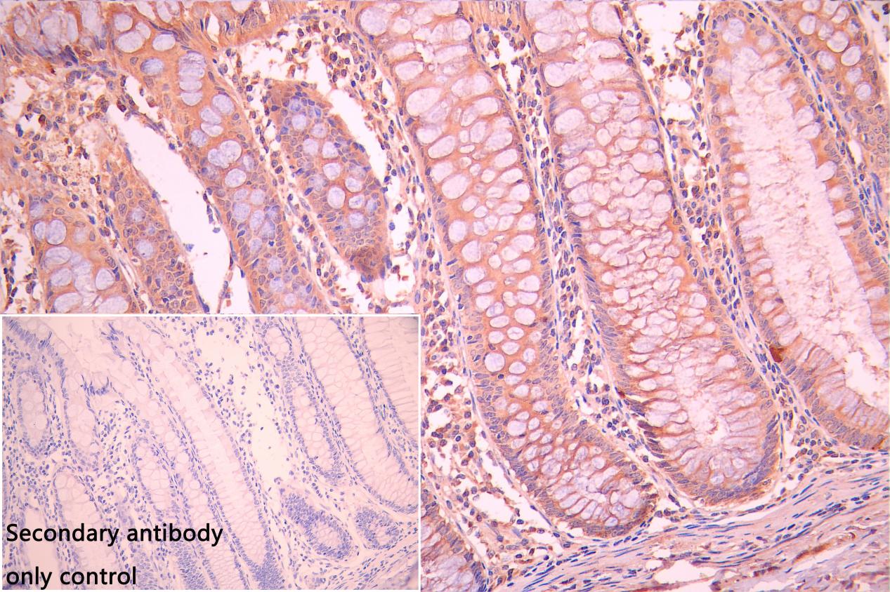
  • IHC image of CSB-PA816886LA01HU diluted at 1:250 and staining in paraffin-embedded human small intestine tissue performed on a Leica BondTM system. After dewaxing and hydration, antigen retrieval was mediated by high pressure in a citrate buffer (pH 6.0). Section was blocked with 10% normal goat serum 30min at RT. Then primary antibody (1% BSA) was incubated at 4°C overnight. The primary is detected by a Goat anti-rabbit polymer IgG labeled by HRP and visualized using 0.05% DAB. Secondary antibody only control: uses 1% BSA instead of primary antibody
  • IHC image of CSB-PA816886LA01HU diluted at 1:250 and staining in paraffin-embedded human colorectal cancer performed on a Leica BondTM system. After dewaxing and hydration, antigen retrieval was mediated by high pressure in a citrate buffer (pH 6.0). Section was blocked with 10% normal goat serum 30min at RT. Then primary antibody (1% BSA) was incubated at 4°C overnight. The primary is detected by a Goat anti-rabbit polymer IgG labeled by HRP and visualized using 0.05% DAB. Secondary antibody only control: uses 1% BSA instead of primary antibody
Have Questions? Leave a Message or Start an on-line Chat

Product Details

Full Product Name
Rabbit anti-Homo sapiens (Human) FUNDC1 Polyclonal antibody
Uniprot No.
Target Names
Alternative Names
FUNDC1; FUN14 domain-containing protein 1
Raised in
Rabbit
Species Reactivity
Human, Mouse, Rat
Immunogen
Recombinant Human FUN14 domain-containing protein 1 protein
Immunogen Species
Homo sapiens (Human)
Clonality
Polyclonal
Isotype
IgG
Purification Method
Antigen affinity purification
Concentration
It differs from different batches. Please contact us to confirm it.
Buffer
0.03% Proclin 300
Constituents: 50% Glycerol, 0.01M PBS, PH 7.4
Form
Liquid
Tested Applications
ELISA, WB, IHC
Recommended Dilution
Application Recommended Dilution
WB 1:500-1:2000
IHC 1:50-1:500
Troubleshooting and FAQs
Storage
Upon receipt, store at -20°C or -80°C. Avoid repeated freeze.
Lead Time
Basically, we can dispatch the products out in 1-3 working days after receiving your orders. Delivery time maybe differs from different purchasing way or location, please kindly consult your local distributors for specific delivery time.
Description

The FUNDC1 antibody was derived from the rabbits immunized with the recombinant human FUNDC1 protein (1-46aa). This rabbit anti-human FUNDC1 polyclonal antibody was demonstrated to recognize human, mouse, and rat FUNDC1 proteins in ELISA and IHC applications. The non-conjugated IgG got purified by protein G and reached up to 95% in purity.

The target protein FUNDC1 mainly regulates mitophagy by serving as a receptor that recruits damaged or dysfunctional mitochondria to the autophagosome for degradation. It is also involved in regulating mitochondrial morphology and dynamics, as well as various physiological and pathological processes.

Usage
For Research Use Only. Not for use in diagnostic or therapeutic procedures.

Customer Reviews and Q&A

 Customer Reviews

There are currently no reviews for this product.

Submit a Review here

Target Background

Function
Acts as an activator of hypoxia-induced mitophagy, an important mechanism for mitochondrial quality control.
Gene References into Functions
  1. Our data suggested that FUNDC1 can be used as a prognostic biomarker in patients with cervical cancer, and may be a new therapeutic target to improve the antitumor effects of chemoradiotherapy. PMID: 28719148
  2. phosphorylation of Tyr18 of FUNDC1 serves as a molecular switch for mitophagy. PMID: 27653272
  3. FUNDC1 integrates mitochondrial fission and mitophagy at the interface of the endoplasmic reticulum-mitochondrial contact site by working in concert with DRP1 and calnexin under hypoxic conditions in mammalian cells. PMID: 27145933
  4. FUNDC1 regulates both mitochondrial fission or fusion and mitophagy. PMID: 27050458
  5. The BCL2L1-PGAM5-FUNDC1 axis is critical for receptor-mediated mitophagy. PMID: 25126723
  6. FUNDC1 regulates ULK1 recruitment to damaged mitochondria, where FUNDC1 phosphorylation by ULK1 is crucial for mitophagy. PMID: 24671035
  7. Data show that Knockdown of endogenous FUNDC1 significantly prevented hypoxia-induced mitophagy, which could be reversed by the expression of wild-type FUNDC1. PMID: 22267086

Show More

Hide All

Subcellular Location
Mitochondrion outer membrane; Multi-pass membrane protein.
Protein Families
FUN14 family
Tissue Specificity
Widely expressed.
Database Links

HGNC: 28746

OMIM: 300871

KEGG: hsa:139341

STRING: 9606.ENSP00000367284

UniGene: Hs.7549

icon of phone
Call us
301-363-4651 (Available 9 a.m. to 5 p.m. CST from Monday to Friday)
icon of address
Address
7505 Fannin St., Ste 610, Room 7 (CUBIO Innovation Center), Houston, TX 77054, USA
icon of social media
Join us with

Subscribe newsletter

Leave a message

* To protect against spam, please pass the CAPTCHA test below.
CAPTCHA verification
© 2007-2026 CUSABIO TECHNOLOGY LLC All rights reserved. 鄂ICP备15011166号-1
Place an order now

I. Product details

*
*
*
*

II. Contact details

*
*

III. Ship To

*
*
*
*
*
*
*

IV. Bill To

*
*
*
*
*
*
*
*