GOLPH3 Antibody

Code CSB-PA872494LA01HU
Size US$166
Order now
Image
  • Western Blot
    Positive WB detected in: Hela whole cell lysate(20µg), MCF7 whole cell lysate(20µg)
    All lanes: GOLPH3 antibody at 1:1000
    Secondary
    Goat polyclonal to rabbit IgG at 1/20000 dilution
    Predicted band size: 34 kDa
    Observed band size: 34 kDa
    Exposure time: 120s
  • IHC image of CSB-PA872494LA01HU diluted at 1:1200 and staining in paraffin-embedded human prostate cancer performed on a Leica BondTM system. After dewaxing and hydration, antigen retrieval was mediated by high pressure in a citrate buffer (pH 6.0). Section was blocked with 10% normal goat serum 30min at RT. Then primary antibody (1% BSA) was incubated at 4°C overnight. The primary is detected by a Goat anti-rabbit polymer IgG labeled by HRP and visualized using 0.05% DAB. Secondary antibody only control: uses 1% BSA instead of primary antibody
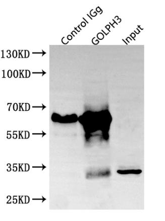
  • Immunoprecipitating GOLPH3 in Hela whole cell lysate
    Lane 1: Rabbit control IgG instead of CSB-RA010605A0HU in Hela whole cell lysate
    Lane 2:CSB-PA872494LA01HU(7.98µg)+ Hela whole cell lysate(600µg)
    Lane 3: Hela whole cell lysate(30µg)
    For western blotting, a HRP-conjugated Protein G antibody was used as the secondary antibody (1/20000)
Promotion Free Antibody trial simple
Have Questions? Leave a Message or Start an on-line Chat

Product Details

Full Product Name
Rabbit anti-Homo sapiens (Human) GOLPH3 Polyclonal antibody
Uniprot No.
Target Names
GOLPH3
Alternative Names
Coat protein antibody; Coat protein GPP34 antibody; FLJ90675 antibody; Golgi associated protein antibody; Golgi peripheral membrane protein 1, 34 kDa antibody; Golgi phosphoprotein 3 (coat protein) antibody; Golgi phosphoprotein 3 antibody; Golgi protein antibody; GOLP3_HUMAN antibody; Golph3 antibody; GOPP1 antibody; GPP34 antibody; MIDAS antibody; Mitochondrial DNA absence factor antibody
Raised in
Rabbit
Species Reactivity
Human
Immunogen
Recombinant Human Golgi phosphoprotein 3 protein (16-150AA)
Immunogen Species
Homo sapiens (Human)
Conjugate
Non-conjugated

The GOLPH3 Antibody (Product code: CSB-PA872494LA01HU) is Non-conjugated. For GOLPH3 Antibody with conjugates, please check the following table.

Available Conjugates
Conjugate Product Code Product Name Application
HRP CSB-PA872494LB01HU GOLPH3 Antibody, HRP conjugated ELISA
FITC CSB-PA872494LC01HU GOLPH3 Antibody, FITC conjugated
Biotin CSB-PA872494LD01HU GOLPH3 Antibody, Biotin conjugated ELISA
Clonality
Polyclonal
Isotype
IgG
Purification Method
>95%, Protein G purified
Concentration
It differs from different batches. Please contact us to confirm it.
Buffer
Preservative: 0.03% Proclin 300
Constituents: 50% Glycerol, 0.01M PBS, pH 7.4
Form
Liquid
Tested Applications
Application:ELISA, WB, IHC, IP
Recommended Dilution
Application Recommended Dilution
WB 1:500-1:3000
IHC 1:100-1:300
IP 1:1000-1:2000
Troubleshooting and FAQs
Storage
Upon receipt, store at -20°C or -80°C. Avoid repeated freeze.
Lead Time
Basically, we can dispatch the products out in 1-3 working days after receiving your orders. Delivery time maybe differs from different purchasing way or location, please kindly consult your local distributors for specific delivery time.
Usage
For Research Use Only. Not for use in diagnostic or therapeutic procedures.

Customer Reviews and Q&A

 Customer Reviews

There are currently no reviews for this product.

Submit a Review here

Target Background

Function
Phosphatidylinositol-4-phosphate-binding protein that links Golgi membranes to the cytoskeleton and may participate in the tensile force required for vesicle budding from the Golgi. Thereby, may play a role in Golgi membrane trafficking and could indirectly give its flattened shape to the Golgi apparatus. May also bind to the coatomer to regulate Golgi membrane trafficking. May play a role in anterograde transport from the Golgi to the plasma membrane and regulate secretion. Has also been involved in the control of the localization of Golgi enzymes through interaction with their cytoplasmic part. May play an indirect role in cell migration. Has also been involved in the modulation of mTOR signaling. May also be involved in the regulation of mitochondrial lipids biosynthesis.
Gene References into Functions
  1. Overexpression of GOLPH3 may be involved in the resistance of HT29 colon cancer cells to cisplatin chemotherapy by activating multiple cell signaling pathways. PMID: 30015866
  2. High GOLPH3 expression is associated with breast cancer. PMID: 29534690
  3. This study provides a brand new evidence that GOLPH3 promotes glioma cell proliferation by facilitating Wls recycling and Wnt/beta-catenin signaling. PMID: 29990993
  4. High GOLPH3 expression is associated with glioma progression. PMID: 28575494
  5. Proteomic-based screens identified GOLPH3 as a resident protein of the Golgi apparatus, and second as an oncogene product in a screen for genes amplified in cancer. A third screen uncovered the association of GOLPH3 with the Golgi resident phosphatidyl inositol 4 phosphate to maintain the characteristic ribbon structure of the Golgi apparatus favoring vesicular transport of secretory proteins. [review] PMID: 28954815
  6. Overexpression of GOLPH3 resulted in the downregulation of p21 protein, upregulation of cyclin D1 and increased retinoblastomaassociated protein phosphorylation, consequently leading to accelerated cell cycle progression. PMID: 28901498
  7. Results indicate that GOLPH3 is an independent predictive factor for neoadjuvant chemoradiotherapy (nCRT) sensitivity and prognosis in locally advanced rectal cancer (LARC). PMID: 27634904
  8. Results provide evidences that overexpression of GOLPH3 stimulates EMT via the Wnt/beta-catenin signaling pathway, which further promotes metastasis of epithelial ovarian cancer. PMID: 28332316
  9. GOLPH3 levels may be a novel prognostic biomarker of tobacco related lung disease. PMID: 27611309
  10. Authors confirm that the decrease of GOLPH3 that promotes the apoptosis of glioma cells may be regulated by the activation of NDRG1 and cleaved capcase 3. There was a inverse association between GOLPH3 and NDRG1 in glioma samples. PMID: 27698340
  11. Data found that miR-134 was highly downregulated in gastric cancer tissues and cell lines and inversely correlated with GOLPH3. These results suggest that miR-134 regulates gastric cancer cell proliferation, at least potentially, through downregulation of the GOLPH3 gene, implicating a candidate tumor-suppressor miRNA in the pathogenesis of gastric cancer. PMID: 28260021
  12. In this review, we will explore the cellular functions regulated by GOLPH3 and discuss if and how they contribute to the oncogenic activity of this intriguing Golgi localized oncoprotein. PMID: 27378035
  13. cumulative evidence indicates that GOLPH3 participates in several cellular processes critical for cancer cells, emerging as an attractive therapeutic target PMID: 27123979
  14. GOLPH3 overexpression may participate in the occurrence and development of colorectal carcinoma by inhibiting apoptosis and promoting angiogenesis. PMID: 26730158
  15. Results show that high GOLPH3 and nuclear/cytoplasmic YB-1 expression correlated with a poor prognosis in patients with prostate cancer. PMID: 26794392
  16. Review/Meta-analysis: overexpression of GOLPH3 predicts poor prognosis in solid tumors. PMID: 26617771
  17. GOLPH3 is likely to play important roles in bladder cancer progression via modulating AKT/mTOR signaling, and it is a novel prognostic biomarker and promising therapeutic target for bladder cancer. PMID: 26375441
  18. GOLPH3 was expressed in prostate cancer cell lines. Our findings suggest GOLPH3 regulate MMP9 expression which impact cell migration and invasion. PMID: 26097550
  19. GOLPH3 promotes glioblastoma cell migration and invasion via the mTOR-YB1pathway. PMID: 25156912
  20. GOLPH3 expression predicts poor prognosis in patients with prostate cancer undergoing radical prostatectomy. PMID: 25760033
  21. High GOLPH3 expression is associated with poor prognosis and invasion of hepatocellular carcinoma PMID: 25634514
  22. The expression level of GOLPH3 is correlated with metastasis and prognosis in NSCLC, and GOLPH3 mediates metastasis by regulating the protein levels of MMP-2 and MMP-9 in vitro. PMID: 25659977
  23. Results show that in esophageal squamous cell carcinoma (ESCC), miR-126 was downregulated and IRS-1 and GOLPH3, overexpressed suggesting a tumor suppression role of miR-126 via the regulation of IRS-1 and GOLPH3. PMID: 25017784
  24. High expression of the GOLPH3 protein is common in early-stage Non-Small-Cell Lung Carcinoma, and is closely associated with tumor progression, increased tumor angiogenesis, and poor survival. PMID: 25081702
  25. The GOPLH3 expression level is highly correlated with Akt/mTOR signaling in human gastric cancer samples. PMID: 25286393
  26. High GOLPH3 expression is associated with metastasis in non-small cell lung cancer. PMID: 25081375
  27. Our recent investigation of the regulation of GOLPH3 revealed a surprising response by the Golgi upon DNA damage that is mediated by DNA-PK and GOLPH3. PMID: 25634214
  28. Study demonstrated that overexpression of GOLPH3 was associated with poor survival in patients with pancreatic ductal adenocarcinoma. PMID: 25104140
  29. The DNA copy number variations disrupt PDZD2 and GOLPH3 genes predominantly expressed in placenta, and it may represent a novel risk factor for recurrent miscarriage. PMID: 24827138
  30. overexpression of GOLPH3 protein is closely related to poorer prognosis in patients with epithelial ovarian cancer. PMID: 25204671
  31. Golgi phosphoprotein 3 (GOLPH3) promotes hepatocellular carcinoma cell aggressiveness by activating the NF-kappaB pathway. PMID: 25385148
  32. These results are the first direct demonstration of the role of GOLPH3 in N-glycosylation to regulate cell biological functions. PMID: 24895123
  33. In this review, GOLPH3 is described as an oncoprotein involved in cell signal transduction. PMID: 24395131
  34. GOLPH3 has a role in triggering signal-mediated incorporation of glycosyltransferases into coatomer-coated vesicles PMID: 25246532
  35. Data indicate that Golgi phosphoprotein 3 (GOLPH3) was overexpressed in hepatocellular carcinoma (HCC) at both the mRNA and protein levels, and high expression of GOLPH3 could be served as a novel and potential prognostic biomarker for HCC patients. PMID: 24867097
  36. Both PKD2 and GOLPH3 play important roles in the progression of human gliomas by promoting cell proliferation. PMID: 25218347
  37. GOLPH3 is associated with prognosis in colorectal cancer patients treated with postoperative 5-fluorouracil-based adjuvant chemotherapy. PMID: 24444035
  38. These results suggest that GOLPH3 expression is likely to have important roles in renal cell carcinoma (RCC) development and progression, and that GOLPH3 is a prognostic biomarker and a promising therapeutic target for RCC. PMID: 24595000
  39. High GOLPH3 expression is associated growth and metastasis of esophageal squamous cancer. PMID: 24175832
  40. GOLPH3 gene expression might play a role in tumorigenesis in epithelial ovarian carcinoma as upregulation of GOLPH3 expression is associated with a more aggressive tumor phenotype. PMID: 24458516
  41. Identification of the DNA-damage-induced Golgi response reveals an unexpected pathway through DNA-PK, GOLPH3, and MYO18A that regulates cell survival following DNA damage. PMID: 24485452
  42. PDZ module mediates direct binding of myosin-18A to GOLPH3, and this interaction in turn modulates the actin binding properties of the N-terminal extension. Thus, myosin-18A can act as an actin cross-linker with multiple regulatory modulators PMID: 23990465
  43. GOLPH3 regulates the migration and invasion of glioma cells though regulation of RhoA. PMID: 23500462
  44. Overexpression of Golgi phosphoprotein-3 is associated with glioblastoma multiforme. PMID: 22972189
  45. Data indicate the potential involvement of GOLPH3 in the development, differentiation, and tumorigenesis of esophageal squamous cell cancer (ESCC), and suggest the possibility of its use as a diagnostic and prognostic marker in ESCC. PMID: 23056210
  46. the overexpression of GOLPH3 is closely related to the progression of gastric cancer and might be regarded as an independent predictor of poor prognosis for gastric cancer PMID: 23132295
  47. Overexpression of GOLPH3 is associated with the transition of prostate cancer from hormone sensitive phase to hormone refractory phase. PMID: 23006319
  48. results suggest GOLPH3 overexpression is associated with poor prognosis for cN0 oral tongue cancer patients and may represent a novel and useful prognostic indicator for cN0 oral tongue cancer PMID: 22905766
  49. GOLPH3 can regulate cell-cell interaction by controlling Golgi retention of C2GnT1. PMID: 23027862
  50. Data indicate that golgi phosphoprotein 3 (GOLPH3) overexpression decreased FOXO1 transcriptional activity. PMID: 22675169

Show More

Hide All

Subcellular Location
Golgi apparatus, Golgi stack membrane; Peripheral membrane protein; Cytoplasmic side. Golgi apparatus, trans-Golgi network membrane; Peripheral membrane protein; Cytoplasmic side. Mitochondrion intermembrane space. Cell membrane. Endosome.
Protein Families
GOLPH3/VPS74 family
Tissue Specificity
Detected in muscle fibers of patients with mitochondrial diseases; not detected in normal muscle fibers.
Database Links

HGNC: 15452

OMIM: 612207

KEGG: hsa:64083

STRING: 9606.ENSP00000265070

UniGene: Hs.408909

icon of phone
Call us
301-363-4651 (Available 9 a.m. to 5 p.m. CST from Monday to Friday)
icon of address
Address
7505 Fannin St., Ste 610, Room 7 (CUBIO Innovation Center), Houston, TX 77054, USA
icon of social media
Join us with

Subscribe newsletter

Leave a message

* To protect against spam, please pass the CAPTCHA test below.
CAPTCHA verification
© 2007-2025 CUSABIO TECHNOLOGY LLC All rights reserved. 鄂ICP备15011166号-1
×
Place an order now

I. Product details

*
*
*
*

II. Contact details

*
*

III. Ship To

*
*
*
*
*
*
*

IV. Bill To

*
*
*
*
*
*
*
*