HSPA8 Antibody

Code CSB-PA03249A0Rb
Size US$166
Order now
Image
  • Western Blot
    Positive WB detected in: HEK293 whole cell lysate, A549 whole cell lysate, Colo320 whole cell lysate, Hela whole cell lysate, HepG2 whole cell lysate, Mouse brain tissue, Rat brain tissue, Rat lung tissue
    All lanes: HSPA8 antibody at 3.5µg/ml
    Secondary
    Goat polyclonal to rabbit IgG at 1/50000 dilution
    Predicted band size: 71, 54 kDa
    Observed band size: 71 kDa

  • Immunohistochemistry of paraffin-embedded human pancreatic tissue using CSB-PA03249A0Rb at dilution of 1:100

  • Immunohistochemistry of paraffin-embedded human glioma using CSB-PA03249A0Rb at dilution of 1:100

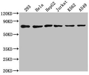
  • Western Blot
    Positive WB detected in: 293 whole cell lysate, Hela whole cell lysate, HepG2 whole cell lysate, Jurkat whole cell lysate, K562 whole cell lysate, A549 whole cell lysate
    All lanes: HSPA8 antibody at 1:2000
    Secondary
    Goat polyclonal to rabbit IgG at 1/50000 dilution
    Predicted band size: 71, 54 kDa
    Observed band size: 71 kDa

Promotion Free Antibody trial simple
Have Questions? Leave a Message or Start an on-line Chat

Product Details

Full Product Name
Rabbit anti-Homo sapiens (Human) HSPA8 Polyclonal antibody
Uniprot No.
Target Names
Alternative Names
2410008N15Rik antibody; Constitutive heat shock protein 70 antibody; Epididymis luminal protein 33 antibody; Epididymis secretory sperm binding protein Li 72p antibody; Heat shock 70 kDa protein 8 antibody; Heat shock 70kD protein 10 antibody; Heat shock 70kD protein 8 antibody; Heat shock 70kDa protein 8 antibody; Heat shock cognate 71 kDa protein antibody; Heat shock cognate protein 54 antibody; Heat shock cognate protein 71 kDa antibody; Heat shock protein 8 antibody; Heat shock protein A8 antibody; Heat shock protein family A (Hsp70) member 8 antibody; Heat-shock70-KD protein 10, formerly antibody; HEL 33 antibody; HEL S 72p antibody; HSC54 antibody; HSC71 antibody; Hsc73 antibody; HSP71 antibody; HSP73 antibody; HSP7C_HUMAN antibody; HSPA10 antibody; HSPA8 antibody; LAP1 antibody; Lipopolysaccharide associated protein 1 antibody; LPS associated protein 1 antibody; LPS associated protein antibody; MGC102007 antibody; MGC106514 antibody; MGC114311 antibody; MGC118485 antibody; MGC131511 antibody; MGC29929 antibody; N-myristoyltransferase inhibitor protein 71 antibody; NIP71 antibody
Raised in
Rabbit
Species Reactivity
Human, Mouse, Rat
Immunogen
Recombinant Human Heat shock cognate 71 kDa protein (418-597AA)
Immunogen Species
Homo sapiens (Human)
Conjugate
Non-conjugated

The HSPA8 Antibody (Product code: CSB-PA03249A0Rb) is Non-conjugated. For HSPA8 Antibody with conjugates, please check the following table.

Available Conjugates
Conjugate Product Code Product Name Application
HRP CSB-PA03249B0Rb HSPA8 Antibody, HRP conjugated ELISA
FITC CSB-PA03249C0Rb HSPA8 Antibody, FITC conjugated
Biotin CSB-PA03249D0Rb HSPA8 Antibody, Biotin conjugated ELISA
Clonality
Polyclonal
Isotype
IgG
Purification Method
>95%, Protein G purified
Concentration
It differs from different batches. Please contact us to confirm it.
Buffer
Preservative: 0.03% Proclin 300
Constituents: 50% Glycerol, 0.01M PBS, pH 7.4
Form
Liquid
Tested Applications
ELISA, WB, IHC
Recommended Dilution
Application Recommended Dilution
WB 1:1000-1:5000
IHC 1:20-1:200
Troubleshooting and FAQs
Storage
Upon receipt, store at -20°C or -80°C. Avoid repeated freeze.
Lead Time
Basically, we can dispatch the products out in 1-3 working days after receiving your orders. Delivery time maybe differs from different purchasing way or location, please kindly consult your local distributors for specific delivery time.
Usage
For Research Use Only. Not for use in diagnostic or therapeutic procedures.

Customer Reviews and Q&A

 Customer Reviews

There are currently no reviews for this product.

Submit a Review here

Target Background

Function
Molecular chaperone implicated in a wide variety of cellular processes, including protection of the proteome from stress, folding and transport of newly synthesized polypeptides, activation of proteolysis of misfolded proteins and the formation and dissociation of protein complexes. Plays a pivotal role in the protein quality control system, ensuring the correct folding of proteins, the re-folding of misfolded proteins and controlling the targeting of proteins for subsequent degradation. This is achieved through cycles of ATP binding, ATP hydrolysis and ADP release, mediated by co-chaperones. The co-chaperones have been shown to not only regulate different steps of the ATPase cycle of HSP70, but they also have an individual specificity such that one co-chaperone may promote folding of a substrate while another may promote degradation. The affinity of HSP70 for polypeptides is regulated by its nucleotide bound state. In the ATP-bound form, it has a low affinity for substrate proteins. However, upon hydrolysis of the ATP to ADP, it undergoes a conformational change that increases its affinity for substrate proteins. HSP70 goes through repeated cycles of ATP hydrolysis and nucleotide exchange, which permits cycles of substrate binding and release. The HSP70-associated co-chaperones are of three types: J-domain co-chaperones HSP40s (stimulate ATPase hydrolysis by HSP70), the nucleotide exchange factors (NEF) such as BAG1/2/3 (facilitate conversion of HSP70 from the ADP-bound to the ATP-bound state thereby promoting substrate release), and the TPR domain chaperones such as HOPX and STUB1. Plays a critical role in mitochondrial import, delivers preproteins to the mitochondrial import receptor TOMM70. Acts as a repressor of transcriptional activation. Inhibits the transcriptional coactivator activity of CITED1 on Smad-mediated transcription. Component of the PRP19-CDC5L complex that forms an integral part of the spliceosome and is required for activating pre-mRNA splicing. May have a scaffolding role in the spliceosome assembly as it contacts all other components of the core complex. Binds bacterial lipopolysaccharide (LPS) and mediates LPS-induced inflammatory response, including TNF secretion by monocytes. Participates in the ER-associated degradation (ERAD) quality control pathway in conjunction with J domain-containing co-chaperones and the E3 ligase STUB1. Interacts with VGF-derived peptide TLQP-21.
Gene References into Functions
  1. Data suggest that both the small heat shock protein HspB1/Hsp27 and the constitutive chaperone Hsc70/HspA8 interact with tau to prevent tau-fibril/amyloid formation. Hsc70 is highly efficient at preventing tau-fibril elongation, possibly by capping ends of tau-fibrils. (HspB1 = heat shock protein family B small member 1; Hsc70 = heat shock protein family A Hsp70) PMID: 29298892
  2. This study demonstrated that particular distribution for HSC70 and PSMC4 in the cytoplasm and accumulation within Lewy body in the dopaminergic neurons of the substantia nigra in Parkinson patients. PMID: 29218503
  3. Hsp70participated in PINK1-mediated mitophagy by stabilizing PINK1. PMID: 29107085
  4. These results demonstrate not only an important mechanism of Hsc70 in facilitating EV-A71 replication, but also a target for antiviral drug development. PMID: 29180285
  5. Post-transcriptional inhibition of HSPA8 expression leads to synaptic vesicle cycling defects in multiple models of amyotrophic lateral sclerosis. PMID: 28978466
  6. Taken together, these data suggest hat the altered hydrogen bonding observed in the Hsc70 C17W mutant (where the connectivity between Mg2+.nucleotide and E175 is also disrupted) could bring about changes to Hsc70 domain communication, affecting peptide association while also limiting ATP hydrolysis. PMID: 29300467
  7. The roles of the E3 ubiquitin ligase, carboxy-terminus Hsc70 interacting protein (CHIP) in various types of cancers. PMID: 28731191
  8. Hsc70/Hsp90 chaperones contribute to the conformational and functional maintenance of DeltaF508-CFTR at 37 degrees C. PMID: 28855508
  9. Engagement of the oligomer by LAP1 triggers ATP hydrolysis and rapid complex disassembly. Thus the Torsin complex is a highly dynamic assembly whose oligomeric state is tightly controlled by distinctively localized cellular cofactors. PMID: 28814508
  10. Downregulation of Hsc70, Hsp70, and IL-15 expression at gene and/or protein levels might support the retention of fertilization products in cases of missed abortion and blighted ovum. PMID: 27225940
  11. STRO-1 binds to immune-precipitated HSC70 and siRNA-mediated knock down of HSPA8 reduced STRO-1 binding. PMID: 28026090
  12. Synapsin is part of a multiprotein complex enriched in chaperones/cochaperones including Hsc70. Hsc70 chaperone activity is required for the cytosolic slow axonal transport of synapsin. PMID: 28559423
  13. study demonstrates a critical role of Hsc70 in SV40 endoplasmic reticulum-to-cytosol penetration and reveal how SGTA controls Hsc70 to impact this process PMID: 28356524
  14. In fact, DnaJC5 overexpression induced tau release in cells, neurons, and brain tissue, but only when activity of the chaperone Hsc70 was intact and when tau was able to associate with this chaperone. PMID: 27261198
  15. These results suggest that Bag1 and Bag3 control the stability of the Hsc70-client complex using at least two distinct protein-protein contacts, providing a previously under-appreciated layer of molecular regulation in the human Hsc70 system. PMID: 27474739
  16. While cerebrospinal fluid Nrf2 and HSPA8 do not appear to offer diagnostic biomarkers for Parkinson's disease (PD), the associations between Nrf2 levels and UPDRS scores in LRRK2 + PD patients merit further investigation PMID: 26526034
  17. HSPA8 maintains pluripotency of human pluripotent stem cells by binding to the master pluripotency regulator OCT4 and facilitating its DNA-binding activity. PMID: 26549849
  18. heat shock cognate 70 (HSC70) is an essential component of Aes foci in colorectal cancer cells. PMID: 26229111
  19. Cx43-Hsc70 interaction regulates cell cycle G1/S progression through a novel mechanism by which Cx43-Hsc70 interaction prevents the nuclear accumulation of p27 through controlling the nuclear translocation of cyclin D1-CDK4-p27 complex. PMID: 26481195
  20. serum HSC71 was identified as a novel serum biomarker of renal cell carcinoma, particularly useful in early diagnosis of clear-cell type. PMID: 26425554
  21. These findings provide further evidence that histatin 3 may be involved in the regulation of cell proliferation, particularly during G1/S transition, via the ubiquitin-proteasome system of p27(Kip1) and HSC70. PMID: 26775844
  22. constitutive heat shock protein HSC70 forms granule-like structures in the cytoplasm of human cells several days after the exposure to heat stress PMID: 26335814
  23. These results indicate that CHIP decreases the Kv1.5 protein level and functional channel by facilitating its degradation in concert with chaperone Hsc70 PMID: 26232501
  24. Active Hsc70 requires active tau to regulate microtubule assembly in vivo, suggesting that tau acts in some ways as a co-chaperone for Hsc70 to coordinate microtubule assembly. PMID: 25882706
  25. detailed and systematic investigation to characterize if there are significant differences in the CHIP in vitro ubiquitination of human Hsp70 and Hsc70. PMID: 26010904
  26. HSP70 binds CD91 and TLR4 on decidual CD1a(+) dendritic cells, causes their maturation, and increases IL-15 in the context of Th1 cytokine/chemokine domination, which could support immune response harmful for ongoing pregnancy. PMID: 25737151
  27. LAP1 mutations are associated with severe dystonia, cerebellar atrophy and cardiomyopathy. PMID: 26596547
  28. HSC70 may serve as a molecular switch to modulate endocytic and autophagy pathways, impacting the source of antigens delivered for MHC class II presentation during cellular stress. (Review) PMID: 25953005
  29. CHIP docks onto Hsp70/Hsc70 and defines a bipartite mode of interaction between TPR domains and their binding partners. PMID: 25684577
  30. Hsc70 interacted with Rab1A in a chaperone-dependent mannerand Hsc70 knockdown decreased the level of Rab1A and increased the level of its ubiquitination under stress conditions. PMID: 24801886
  31. Data suggest that nhibition of nestin and heat shock protein HSPA8/HSC71 may be a useful molecular target in the treatment of glioblastomas. PMID: 25527454
  32. LAP1 and LULL1 regulate Torsin ATPase activity through an active site complementation mechanism. PMID: 25352667
  33. H-ERG trafficking was impaired by H2O2 after 48 h treatment, accompanied by reciprocal changes of expression between miR-17-5p seed miRNAs and several chaperones (Hsp70, Hsc70, CANX, and Golga20) PMID: 24386440
  34. the endogenous DNAJC12 and Hsc70 proteins interact in LNCaP cells. PMID: 24122553
  35. Endoplasmic reticulum-associated degradation of Niemann-Pick C1: evidence for the role of heat shock proteins and identification of lysine residues that accept ubiquitin. PMID: 24891511
  36. Results identify a systemic hsc70 reduction in Parkinson's disease patients. PMID: 24361989
  37. Hsp73 sustains Hsp90 chaperone function and critically contributes to cell survival in multiple myeloma patients. PMID: 23065523
  38. These findings indicate that wild type ILK and the non-oncogenic ILK(R211A) mutation comprise a cardioprotective module with Hsp/c70. PMID: 24260102
  39. A significant downregulation of HSPA8 and HSPA9 was observed in AD across the three brain regions compared to the controls, suggesting their participation in AD pathogenesis. PMID: 23948933
  40. HSP8A polymorphism is associated with drug-naive schizophrenia. PMID: 24548631
  41. Cx43-Hsc70 interaction probably plays a critical role during G1/S progression. PMID: 24056538
  42. These results demonstrate that Hsp70 recruits PP5 and activates its phosphatase activity which suggests dual roles for PP5 that might link chaperone systems with signaling pathways in cancer and development. PMID: 24327656
  43. Altered expression of Hsc70 and eIF5A-1 may cause defects in nucleocytoplasmic transport and play a role in esophageal carcinogenesis. PMID: 23539416
  44. the U-box mutation stimulated CHIP binding to Hsc70 while promoting CHIP oligomerization. CHIP binding to Hsc70 binding was also stimulated by the presence of an Hsc70 client with a preference for the ADP-bound state. PMID: 23990462
  45. GLIPR1 interacts with Hsc70, and GLIPR1 overexpression or Hsc70 knockdown leads to transcriptional suppression of AURKA and TPX2. PMID: 23333597
  46. PKCiota knockdown sensitized cells to oxidative stress-induced apoptosis, whereas forced PKCiota expression counteracted the oxidative stress-induced apoptosis via Hsc70. PMID: 23224638
  47. Relaxation-based NMR experiments on the Hsc70-CHIP complex determined that the two partners move independently in solution, similar to "beads on a string PMID: 23865999
  48. LAP1 and LULL1 as regulatory cofactors that are responsible for the activation of TorA's ATPase activity. PMID: 23569223
  49. 70-kDa heat shock cognate protein hsc70 mediates calmodulin-dependent nuclear import of the sex-determining factor SRY. PMID: 23235156
  50. Studies suggest that Hsc70 and lysosome-associated protein 2A (LAMP-2A) through chaperone-mediated autophagy (CMA) play a role in the clearance of Htt and suggest a novel strategy to target the degradation of mutant huntingtin (Htt). PMID: 23071649

Show More

Hide All

Subcellular Location
Cytoplasm. Melanosome. Nucleus, nucleolus. Cell membrane. Note=Localized in cytoplasmic mRNP granules containing untranslated mRNAs. Translocates rapidly from the cytoplasm to the nuclei, and especially to the nucleoli, upon heat shock.
Protein Families
Heat shock protein 70 family
Tissue Specificity
Ubiquitous.
Database Links

HGNC: 5241

OMIM: 600816

KEGG: hsa:3312

STRING: 9606.ENSP00000227378

UniGene: Hs.180414

icon of phone
Call us
301-363-4651 (Available 9 a.m. to 5 p.m. CST from Monday to Friday)
icon of address
Address
7505 Fannin St., Ste 610, Room 7 (CUBIO Innovation Center), Houston, TX 77054, USA
icon of social media
Join us with

Subscribe newsletter

Leave a message

* To protect against spam, please pass the CAPTCHA test below.
CAPTCHA verification
© 2007-2025 CUSABIO TECHNOLOGY LLC All rights reserved. 鄂ICP备15011166号-1
×
Place an order now

I. Product details

*
*
*
*

II. Contact details

*
*

III. Ship To

*
*
*
*
*
*
*

IV. Bill To

*
*
*
*
*
*
*
*