IL13 Antibody

Code CSB-PA011590LA01HU
Size US$166
Order now
Image
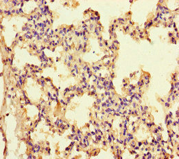
  • Immunohistochemistry of paraffin-embedded human lung tissue using CSB-PA011590LA01HU at dilution of 1:100

  • Immunofluorescent analysis of HepG2 cells using CSB-PA011590LA01HU at dilution of 1:100 and Alexa Fluor 488-congugated AffiniPure Goat Anti-Rabbit IgG(H+L)

Promotion Free Antibody trial simple
Have Questions? Leave a Message or Start an on-line Chat

Product Details

Full Product Name
Rabbit anti-Homo sapiens (Human) IL13 Polyclonal antibody
Uniprot No.
Target Names
Alternative Names
Allergic rhinitis antibody; ALRH antibody; BHR 1 antibody; BHR1 antibody; Bronchial hyperresponsiveness 1 (bronchial asthma) antibody; IL 13 antibody; IL-13 antibody; Il13 antibody; IL13_HUMAN antibody; Interleukin 13 antibody; Interleukin-13 antibody; interleukin13 antibody; MGC116786 antibody; MGC116788 antibody; MGC116789 antibody; NC 30 antibody; NC30 antibody; P 600 antibody; P600 antibody
Raised in
Rabbit
Species Reactivity
Human
Immunogen
Recombinant Human Interleukin-13 protein (30-125AA)
Immunogen Species
Homo sapiens (Human)
Conjugate
Non-conjugated

The IL13 Antibody (Product code: CSB-PA011590LA01HU) is Non-conjugated. For IL13 Antibody with conjugates, please check the following table.

Available Conjugates
Conjugate Product Code Product Name Application
HRP CSB-PA011590LB01HU IL13 Antibody, HRP conjugated ELISA
FITC CSB-PA011590LC01HU IL13 Antibody, FITC conjugated
Biotin CSB-PA011590LD01HU IL13 Antibody, Biotin conjugated ELISA
Clonality
Polyclonal
Isotype
IgG
Purification Method
>95%, Protein G purified
Concentration
It differs from different batches. Please contact us to confirm it.
Buffer
Preservative: 0.03% Proclin 300
Constituents: 50% Glycerol, 0.01M PBS, PH 7.4
Form
Liquid
Tested Applications
ELISA, IHC, IF
Recommended Dilution
Application Recommended Dilution
IHC 1:20-1:200
IF 1:50-1:200
Troubleshooting and FAQs
Storage
Upon receipt, store at -20°C or -80°C. Avoid repeated freeze.
Lead Time
Basically, we can dispatch the products out in 1-3 working days after receiving your orders. Delivery time maybe differs from different purchasing way or location, please kindly consult your local distributors for specific delivery time.
Usage
For Research Use Only. Not for use in diagnostic or therapeutic procedures.

Customer Reviews and Q&A

 Customer Reviews

There are currently no reviews for this product.

Submit a Review here

Target Background

Function
Cytokine. Inhibits inflammatory cytokine production. Synergizes with IL2 in regulating interferon-gamma synthesis. May be critical in regulating inflammatory and immune responses. Positively regulates IL31RA expression in macrophages.
Gene References into Functions
  1. forced expression of miR16 blocked NFkappaB signaling by decreasing the expression of nuclear pp65 and pIkappaBalpha, as well as increasing the expression of IkappaBalpha in IL13treated nasal epithelial cells. PMID: 30132525
  2. These studies suggest that cellular NO excretion by the healthy epithelial mucosa is subject to considerable individual variability and may be significantly elevated among some individuals in the presence of IL-13 PMID: 29380192
  3. This study demonstrates that IL-13 serum levels are elevated in patients with insulin resistance without showing correlation with parameters of low-grade systemic inflammation. PMID: 29675435
  4. Our findings suggest that IL-13 SNP rs20541 is significantly associated with AR risk in Asians but not in Caucasians. [meta-analysis] PMID: 29687183
  5. genetic variants in IL-13, especially h0011 haplotype increased the risk of the prevalence of aggregate bronchitic symptoms in non-asthmatic children. It may also modify the effects of exposure to air pollutants on the prevalence of aggregate bronchitic symptoms. PMID: 29456163
  6. meta-analysis indicates 1112 polymorphism may be associated with susceptibility to periodontitis PMID: 29415708
  7. These results demonstrate that histamine up-regulates the expression of TLR3 and secretion of IL-13 and MCP-1 in mast cells, thus identifying a new mechanism for the histamine inducing allergic response. PMID: 29742501
  8. IL-13 enhances mesenchymal transition of pulmonary artery endothelial cells via down-regulation of miR-424/miR-503 in vitro. PMID: 29102771
  9. Silencing DUOX1 by siRNA attenuated IL-13-mediated increases in superoxide, but did not reduce autophagy activities. PMID: 28982074
  10. this is the first study using population epidemiological methods to elucidate the role of gut microbiota-related dietary factors and polymorphisms in miRNA-binding site in IL13 in CRC. PMID: 28537887
  11. Substitutions in the central immune regulator IL13 correspond to a polymorphism linked to asthma susceptibility in humans. PMID: 28854632
  12. IL13 polymorphism rs1295686 (in complete linkage disequilibrium with functional variant rs20541) is associated with challenge-proven food allergy. PMID: 28544327
  13. SOCS1 inhibits epithelial IL-13 signalling, supporting its key role in regulating Th2-driven eosinophilia in severe asthma PMID: 27338192
  14. IL-13, IL-13Ralpha1, STAT6 and ZEB1 have roles in promoting epithelial-mesenchymal transition and aggressiveness of colorectal cancer cells PMID: 27533463
  15. This meta-analysis suggests that the T allele of rs1800925 is associated with the increased risk of COPD in both Asians and Caucasians, whereas rs20541 is associated with the risk of COPD in Caucasians but not in Asians. PMID: 29381928
  16. the IL13-1112 C/T (rs1800925) polymorphism does not predict responsiveness to neoadjuvant chemoradiotherapy or prognosis of Chinese Han patients with locally advanced rectal cancer . PMID: 27167201
  17. The results of this study demonstrate that IL13QD can serve as an ex vivo marker for glioma stem cells and exosomes that can inform diagnosis and prognosis of patients harboring malignant disease. PMID: 28583903
  18. Different genotype profiles of IL13 gene seem to influence the clinical pattern of disease expression mainly confined to the upper airways, as rhinitis, or including the lower airways, as asthma PMID: 27561723
  19. secretion of IL-13 and amphiregulin suggests Intrahepatic Innate lymphoid cells may be recruited to promote resolution and repair and thereby they may contribute to ongoing fibrogenesis in liver disease. PMID: 29261670
  20. These findings demonstrate that NF-kappaB-mediated transcriptional mechanisms are critically involved in the IL-1beta-mediated IL-17C induction, and that IL-13 negatively regulates this induction by suppressing NF-kappaB-based transcriptional activation. PMID: 29203240
  21. These results suggested that IL-13 +1923C/T polymorphism contributed to the development of asthma. PMID: 28057889
  22. IL13 AA of rs20541 and STAT4 TT of rs925847 are potential genomic biomarkers for predicting lower pulmonary function. The administration of high-dose ICSs to asthmatic patients with genetic variants of IL13 AA may inhibit the advancement of airway remodelling. The genetic variants of STAT4 TT did not respond to high-dose ICSs. PMID: 26765219
  23. The diagnostic performance of sputum IL-13 was superior to both sputum eosinophils and FeNO levels for the identification of well-controlled asthma. Sputum IL-13 levels could serve as a useful biomarker for asthma control assessment. PMID: 26990030
  24. 15LO1 inhibition (by short interfering RNA and chemical inhibitor) decreased IL-13-induced forkhead box protein A3 (FOXA3) expression and enhanced FOXA2 expression. These changes were associated with reductions in both mucin 5AC and periostin. PMID: 28723225
  25. Clarithromycin suppressed IL-13-induced periostin production in human lung fibroblasts, in part by inhibiting STAT6 phosphorylation. This suggests a novel mechanism of the immunomodulatory effect of clarithromycin in asthmatic airway inflammation and fibrosis. PMID: 28219384
  26. Simvastatin reversed IL-13-suppressed adenosine deaminase activity, leading to the down-regulation of adenosine signaling and inhibition osteopontin expression through the direct inhibition of IL-13-activated STAT6 pathway in COPD. PMID: 27557561
  27. IL-13 suppressed cyp27b1 expression in CD14(+) cells. IL-13 increased expression of miR-19a in CD14(+) cells. IL-13 suppresses cyp27b1 expression in peripheral CD14(+) cells via up regulating miR-19a expression. PMID: 27381199
  28. Leptin knockdown suppressed MUC5AC production and secretion induced by IL-13 in human bronchial epithelial cells. PMID: 28942146
  29. demonstrate a strong association between the ratio of Acinetobacter to Proteobacteria and IL-13 production and the probability of IL-13 production after allergen exposure. IL-13 concentrations in serum were also significantly correlated with the diversity of bacterial DNA. Together, these results underscore the relationship between immune responses to allergens and bacterial exposure during perinatal development. PMID: 28443674
  30. These observations suggest that mechanical stretch may induce an influx of Ca(2+) and up-regulation of IL-13 and MMP-9 expression in 16HBE cells via activation of TRPC1 PMID: 27986325
  31. The presented data substantiate the hypothesis that claudin-18 is a central barrier-forming component of tight junctions and show that IL-13 downregulates claudin-18. These data also suggest that the loss of claudin-18 is associated with increased sensitization to aeroantigens and airway responsiveness PMID: 27215490
  32. investigated the role of six potentially functional variants of the IL4, IL13, and IL4R genes in gastrointestinal cancer; both IL13 rs20541 and rs1800925 were not associated with gastrointestinal cancer risk for any of the genetic models and subgroup analyses [meta-analysis] PMID: 28142034
  33. IL13 in bronchial epithelial cells and bronchial alveolar lavage fluid, rather than RAD50, IL4, or IL5, is more likely to be the asthma susceptibility gene. PMID: 27050946
  34. We also found that the activation of H4R caused the release of IL-13 and RANTES on human mast cells.these data demonstrate that the H4R activates divergent signaling pathways to induce cytokine and chemokine production in human mast cells PMID: 27400655
  35. IL13 Arg130Gln genotypes can play a role in genetic susceptibility to allergy via regulation of serum total IgE levels and affecting IFN-gamma gene expression. PMID: 28054352
  36. The GG genotype of IL-13 130A/G cytokine gene might be involved in the induced production of total IgE and IL-13 cytokine serum levels suggesting IL-13 may be important in the signalling of asthma. PMID: 28083766
  37. STAT6-TMEM16A-ERK1/2 signal pathway and TMEM16A channel activity are required for the IL-13-induced TMEM16A mediated mucus production PMID: 27588910
  38. TGF-beta- and IL-13-producing mast cells might be key players in the development of bone marrow fibrosis. PMID: 28159675
  39. this study shows that low expression of tristetraprolin is associated with glioma growth and metastasis by targeting IL-13 PMID: 27424080
  40. this study shows that IL-13 gene polymorphism is associated with allergic rhinitis and/or allergic conjunctivitis in Finnish asthma patients PMID: 28273659
  41. The presence of higher IL-13 and IL-17 serum levels in patients, compared with those of controls, confirms that these markers, found with high specificity, might be involved in the pathogenesis of eRA. IL-13 and IL-17 might be of better usefulness in the prediction of eRA activity status than IgM-RF and anti-CCP. PMID: 27579330
  42. The IL13 rs20541 T allele and IL28B rs8099917 GG genotype are negative predictors of survival in patients on renal replacement therapy PMID: 26039912
  43. these data suggest that microRNA-143 suppresses IL-13 activity and inflammation through targeting of IL-13Ralpha1 in epidermal keratinocytes PMID: 27048505
  44. Platycodin D inhibits IL-13-induced expression of inflammatory cytokines and mucus in nasal epithelial cells by inhibiting the activation of NF-kappaB and MAPK signaling pathways. PMID: 27780139
  45. A negative correlation between IL-13Ra2 and IL-13 was found during early infection of human schistosomiasis, suggesting an increase in cytokine in early fibrosis. PMID: 27507682
  46. autophagy is essential for airway mucus secretion in a type 2, IL13-dependent immune disease process. PMID: 26062017
  47. childhood asthma is associated with gene polymorphism; meta-analysis PMID: 26534891
  48. PLD1 activation enhanced binding of ROCK1 to ATF-2 and leads to increased expression of IL-13 PMID: 26335962
  49. DNA hypomethylation of IL13 gene may be associated with increased risk of allergic rhinitis from house dust mite sensitization PMID: 26399722
  50. Our in vitro and in vivo data indicate close cooperation between mechanical and inflammatory stimuli on TF expression and release of TF-positive extracellular vesicles in the lungs, which may contribute to pathophysiology of asthma PMID: 26407210

Show More

Hide All

Involvement in disease
Allergic rhinitis (ALRH)
Subcellular Location
Secreted.
Protein Families
IL-4/IL-13 family
Database Links

HGNC: 5973

OMIM: 147683

KEGG: hsa:3596

STRING: 9606.ENSP00000304915

UniGene: Hs.845

CUSABIO guaranteed quality
icon of phone
Call us
301-363-4651 (Available 9 a.m. to 5 p.m. CST from Monday to Friday)
icon of address
Address
7505 Fannin St., Ste 610, Room 7 (CUBIO Innovation Center), Houston, TX 77054, USA
icon of social media
Join us with

Subscribe newsletter

Leave a message

* To protect against spam, please pass the CAPTCHA test below.
CAPTCHA verification
© 2007-2025 CUSABIO TECHNOLOGY LLC All rights reserved. 鄂ICP备15011166号-1
×
Place an order now

I. Product details

*
*
*
*

II. Contact details

*
*

III. Ship To

*
*
*
*
*
*
*

IV. Bill To

*
*
*
*
*
*
*
*