NF2 (Ab-518) Antibody

Code CSB-PA779103
Size US$297
Order now
Image
  • Western blot analysis of extracts from Mouse brain tissue and C6 cells using Merlin(Ab-518) Antibody.
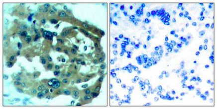
  • Immunohistochemical analysis of paraffin-embedded human lung carcinoma tissue using Merlin(Ab-518) Antibody(left) or the same antibody preincubated with blocking peptide(right).
Have Questions? Leave a Message or Start an on-line Chat

Product Details

Full Product Name
Rabbit anti-Homo sapiens (Human) NF2 Polyclonal antibody
Uniprot No.
Target Names
Alternative Names
ACN antibody; BANF antibody; Bilateral acoustic neuroma antibody; MERL_HUMAN antibody; Merlin antibody; Moesin ezrin radixin like protein antibody; Moesin ezrin radizin like antibody; Moesin-ezrin-radixin-like protein antibody; Neurofibromatosis 2 antibody; Neurofibromatosis type 2 antibody; Neurofibromatosis2 antibody; Neurofibromin 2 antibody; Neurofibromin-2 antibody; Neurofibromin2 antibody; NF 2 antibody; Nf2 antibody; SCH antibody; Schwannomerlin antibody; Schwannomin antibody
Raised in
Rabbit
Species Reactivity
Human,Mouse,Rat
Immunogen
Peptide sequence around aa.516~520 (R-L-S-M-E) derived from Human Merlin.
Immunogen Species
Homo sapiens (Human)
Clonality
Polyclonal
Purification Method
Antibodies were produced by immunizing rabbits with synthetic peptide and KLH conjugates. Antibodies were purified by affinity-chromatography using epitope-specific peptide.
Concentration
It differs from different batches. Please contact us to confirm it.
Form
Supplied at 1.0mg/mL in phosphate buffered saline (without Mg2+ and Ca2+), pH 7.4, 150mM NaCl, 0.02% sodium azide and 50% glycerol.
Tested Applications
ELISA,WB,IHC
Recommended Dilution
Application Recommended Dilution
WB 1:500-1:1000
IHC 1:50-1:200
Troubleshooting and FAQs
Storage
Upon receipt, store at -20°C or -80°C. Avoid repeated freeze.
Lead Time
Basically, we can dispatch the products out in 1-3 working days after receiving your orders. Delivery time maybe differs from different purchasing way or location, please kindly consult your local distributors for specific delivery time.
Usage
For Research Use Only. Not for use in diagnostic or therapeutic procedures.

Customer Reviews and Q&A

 Customer Reviews

There are currently no reviews for this product.

Submit a Review here

Target Background

Function
Probable regulator of the Hippo/SWH (Sav/Wts/Hpo) signaling pathway, a signaling pathway that plays a pivotal role in tumor suppression by restricting proliferation and promoting apoptosis. Along with WWC1 can synergistically induce the phosphorylation of LATS1 and LATS2 and can probably function in the regulation of the Hippo/SWH (Sav/Wts/Hpo) signaling pathway. May act as a membrane stabilizing protein. May inhibit PI3 kinase by binding to AGAP2 and impairing its stimulating activity. Suppresses cell proliferation and tumorigenesis by inhibiting the CUL4A-RBX1-DDB1-VprBP/DCAF1 E3 ubiquitin-protein ligase complex.
Gene References into Functions
  1. lipid binding results in the open conformation of neurofibromin 2 and lipid binding is necessary for inhibiting cell proliferation PMID: 29626191
  2. Cell viability results showed that three agents (GSK2126458, Panobinostat, CUDC-907) had the greatest activity across schwannoma and meningioma cell systems, but merlin status did not significantly influence response PMID: 29897904
  3. Merlin loss increased oxidative stress causing aberrant activation of Hedgehog signaling in in vitro. PMID: 28112165
  4. NF2 promoter gene mutations occurred in medulloblastoma (MB) patients. The NF2 mRNA expression was higher in the controls than in patients; however NF2 protein expression was significantly higher in patients than in the controls. NF2 protein was mainly expressed in the nucleus in MB patients, while the NF2 protein was mainly expressed in the cytoplasm in the controls. PMID: 29637450
  5. Study summarizes the current knowledge of molecular events triggered by NF2/merlin inactivation, which lead to the development of mesothelioma and other cancers. Genetic alterations in NF2 that abrogate merlin's functional activity are found in about 40% of malignant mesothelioma (MM), indicating the importance of NF2 inactivation in MM development and progression. [review] PMID: 29587439
  6. Study identified missense NF2 mutations in 1.9% hepatocellular carcinoma (HCC) and 5.3% intrahepatic cholangiocarcinoma (ICC). Allele frequency of NF2 IVS4-39 A/A was significantly higher in HCCs. Also, NF2/Merlin showed a dual role as a tumorigenic gene and tumor-suppressor gene; Merlin was expressed at higher levels in HCC tumors ; while the rate of Merlin upregulation was lower in poorly differentiated ICCs. PMID: 29130106
  7. This study demonstrates that simultaneous inhibition of c-Met and Src signaling in MD-MSCs triggers apoptosis and reveals vulnerable pathways that could be exploited to develop NF2 therapies. PMID: 28775147
  8. The genetic alterations observed in the NF2 gene indicated that spinal schwannomas are associated with genetic alterations also found in other schwannomas and type 2 Neurofibromatosis, which reinforces the etiological role of this gene. PMID: 29599333
  9. Methylation of NF2 and DNMT1 was markedly increased, and miR-152-3p was downregulated in GBM tissues and glioma cells. Both knockdown of DNMT1 and overexpression miR-152-3p showed that demethylation activated the expression of NF2. PMID: 28764788
  10. The acquired sensitivity to erlotinib supports the known crosstalk between MET and the HER family of receptors. For the first time, we show inactivation of NF2 during acquisition of resistance to MET-TKI that may explain the refractoriness to erlotinib in these cells. PMID: 28396363
  11. Genetic data coupled with transcriptomic data allowed the identification of a new malignant pleural mesothelioma (MPM)molecular subgroup, C2(LN), characterized by a co-occurring mutation in the LATS2 and NF2 genes in the same MPM. MPM patients of this subgroup presented a poor prognosis. Coinactivation of LATS2 and NF2 leads to loss of cell contact inhibition between MPM cells PMID: 28003305
  12. The occurrance and evolvement of sporadic intraspinal Schwannomas have a close relationship with mutations of the NF2 gene. PMID: 28981922
  13. In this study, the authors perform an exome, methylation and RNA-seq analysis of 31 cases of radiation-induced meningioma and show NF2 rearrangement, an observation previously unreported in the sporadic tumors. PMID: 28775249
  14. An independent set of Sarcomatoid Renal Cell Carcinoma demonstrated mutations in NF2. NF2 mutations were mutually exclusive with TP53 but not with VHL mutations. PMID: 26895810
  15. sustained activation of Wnt/beta-catenin signaling due to abrogation of Merlin-mediated inhibition of LRP6 phosphorylation may be a cause of Neurofibromatosis type II disease. PMID: 27285107
  16. Study demonstrated a high frequency of structural variants, including novel truncating fusions of NF2, and an HRR-independent evolution of AC3 signature in low-dose radiation-induced meningiomas. PMID: 28474103
  17. Four of the five had a mutation in the NF2 gene. Three had a family history of NF2; one of these patients also had a family history of intracranial aneurysm with NF2 PMID: 28429859
  18. Molecular analyses for NF2 mutations in blood of the irradiated individuals failed to detect disease-causing mutations PMID: 28422417
  19. We suggest that PrP(C) and its interactor, LR/37/67 kDa, could be potential therapeutic targets for schwannomas and other Merlin-deficient tumours. PMID: 28692055
  20. These findings uncover the significance of Merlin protein expression and Survivin labeling index as prognosticators for poor clinical outcome in two independent Malignant pleural mesothelioma cohorts. PMID: 27378628
  21. NF2 localizes in nucleus when Ser518 is not phosphorylated, while phosphorylated form is present in cytoplasm and plasma membrane. Data suggest that binding of NF2 to TIMAP and EBP50 is critical in nuclear localization of NF2. (NF2 = neurofibromin 2; TIMAP = TGF-beta-inhibited membrane-associated protein; EBP50 = Ezrin-Radixin-Mosein binding phosphoprotein 50) PMID: 27871951
  22. Low merlin expression is associated with meningioma and schwannoma. PMID: 28729415
  23. Collectively, we provide for the first time in vivo evidence that the function of Merlin, as a tumor suppressor is independent of its conformational change. PMID: 28919412
  24. Data show that neurofibromin 2 (Merlin) suppresses proliferation and adhesion, at least partly, through inhibiting kinase suppressor of Ras 1 (KSR1) and DCAF1 protein. PMID: 26549023
  25. IL-1beta Induces NF2 Promoter Methylation in Meningioma/Leptomeningeal Cells. PMID: 26840621
  26. The authors proposed that NF2 behaves as a protein sensing tissue damage and aromatase-driven local estrogen formation, eventually leading to regulation of stem cells differentiation and tissue repair by liver cancer cells. (Review) PMID: 27289045
  27. co-deletion of Rac1 with Nf2 blocks tumor initiation but paradoxically exacerbates hepatomegaly induced by Nf2 loss, which can be suppressed either by treatment with pro-oxidants or by co-deletion of Yap. PMID: 27818180
  28. Data suggest that, at least using the commercial antibodies used in this study, immunohistochemical staining for NF2 (neurofibromin 2), LATS2 (large tumor suppressor kinase 2), and YAP/TAZ (nuclear translocation of complex of Yes-associated protein [YAP] with transcriptional coactivator with PDZ-binding motif [TAZ]) is not helpful for differential diagnosis of mesothelioma versus a benign proliferation. PMID: 27128293
  29. The mortality of patients with NF2 diagnosed in more recent decades was lower than that of patients diagnosed earlier. PMID: 26275417
  30. AMOTL1 Promotes Breast Cancer Progression and Is Antagonized by Merlin PMID: 26806348
  31. homozygous deletions in CDKN2A and hemizygous loss of NF2 as detected by fluorescence in situ hybridization would confer a poor clinical outcome and may guide future treatment decisions for patients with peritoneal mesothelioma. PMID: 26493618
  32. NF2/merlin inactivation augments mutant RAS signaling by promoting YAP/TEAD-driven transcription of oncogenic and wild-type RAS, resulting in greater MAPK output and increased sensitivity to MEK inhibitors. PMID: 26359368
  33. Loss of Nf2 and Cdkn2a/b have synergistic effects with PDGF-B overexpression promoting meningioma malignant transformation. PMID: 26418719
  34. we demonstrate that NF2 negatively controls the invasiveness of Glioblastoma multiforme through YAP-dependent induction of CYR61/CCN1 and miR-296-3p. PMID: 26923924
  35. angiomotin and Merlin respectively interface cortical actin filaments and core kinases in Hippo signaling PMID: 26045165
  36. (Delta2-4)Merlin variant disrupts the normal function of Merlin and promotes hepatocellular carcinoma metastasis. PMID: 26443326
  37. Stusies indicate that monosomy 22, which is often associated with mutations of the neurofibromin 2 (NF2) gene, has emerged as the most frequent alteration of meningiomas. PMID: 25965831
  38. Together our results uncover miRNAs as yet another negative mechanism controlling Merlin tumor suppressor functions. PMID: 26549232
  39. NF2 (frequently deleted in MPM) inhibited Snail-mediated p53 suppression and was stabilized by RKIP. PMID: 25823924
  40. findings demonstrated that Merlin critically regulated pancreatic cancer pathogenesis by suppressing FOXM1/beta-catenin signaling PMID: 26483206
  41. Mutation in NF2 gene is associated with malignant peritoneal mesothelioma. PMID: 25798586
  42. The p53/mouse double minute 2 homolog complex deregulation in merlin-deficient tumours. PMID: 25217104
  43. Findings suggest that the majority of NF2-associated vestibular schwannomas are polyclonal, such that the tumor mass represents a collision of multiple, distinct tumor clones. PMID: 25452392
  44. identified potential driver mutations in NF2 (neurofibromatosis type 2) and MN1 (meningioma 1). PMID: 25549701
  45. Our findings demonstrated that merlin exerts inhibitory effects on TNF-alpha-induced EMT by regulating hyaluronan endocytosis and the TAK1-p38MAPK signaling pathway. PMID: 25783601
  46. the phosphorylation of S518-Merlin in glioblastoma promotes oncogenic properties that are not only the result of inactivation of the tumor suppressor role of Merlin. PMID: 25043298
  47. These results suggest a novel tumor suppressor function of merlin in melanoma cells: the inhibition of the proto-oncogenic NHE1 activity, possibly including its downstream signaling pathways. PMID: 25275700
  48. Structural variants unique to the malignant cell line inactivated: the neurofibromin2 (NF2) gene, a known tumor suppressor. PMID: 23792589
  49. Merlin coordinates collective migration of epithelial cells by acting as a mechanochemical transducer. PMID: 25706233
  50. Integrative analysis of mutations and somatic copy-number alterations revealed frequent genetic alterations in BAP1, NF2, CDKN2A, and CUL1 in pleural mesothelioma. PMID: 25488749

Show More

Hide All

Involvement in disease
Neurofibromatosis 2 (NF2); Schwannomatosis 1 (SWNTS1); Mesothelioma, malignant (MESOM)
Subcellular Location
[Isoform 1]: Cell projection, filopodium membrane; Peripheral membrane protein; Cytoplasmic side. Cell projection, ruffle membrane; Peripheral membrane protein; Cytoplasmic side. Nucleus. Note=In a fibroblastic cell line, isoform 1 is found homogeneously distributed over the entire cell, with a particularly strong staining in ruffling membranes and filopodia. Colocalizes with MPP1 in non-myelin-forming Schwann cells. Binds with DCAF1 in the nucleus. The intramolecular association of the FERM domain with the C-terminal tail promotes nuclear accumulation. The unphosphorylated form accumulates predominantly in the nucleus while the phosphorylated form is largely confined to the non-nuclear fractions.; [Isoform 7]: Cytoplasm, perinuclear region. Cytoplasmic granule. Note=Observed in cytoplasmic granules concentrated in a perinuclear location. Isoform 7 is absent from ruffling membranes and filopodia.; [Isoform 9]: Cytoplasm, perinuclear region. Cytoplasmic granule. Note=Observed in cytoplasmic granules concentrated in a perinuclear location. Isoform 9 is absent from ruffling membranes and filopodia.; [Isoform 10]: Nucleus. Cell projection, filopodium membrane; Peripheral membrane protein; Cytoplasmic side. Cell projection, ruffle membrane; Peripheral membrane protein; Cytoplasmic side. Cytoplasm, perinuclear region. Cytoplasmic granule. Cytoplasm, cytoskeleton. Note=In a fibroblastic cell line, isoform 10 is found homogeneously distributed over the entire cell, with a particularly strong staining in ruffling membranes and filopodia.
Tissue Specificity
Widely expressed. Isoform 1 and isoform 3 are predominant. Isoform 4, isoform 5 and isoform 6 are expressed moderately. Isoform 8 is found at low frequency. Isoform 7, isoform 9 and isoform 10 are not expressed in adult tissues, with the exception of adul
Database Links

HGNC: 7773

OMIM: 101000

KEGG: hsa:4771

STRING: 9606.ENSP00000344666

UniGene: Hs.187898

icon of phone
Call us
301-363-4651 (Available 9 a.m. to 5 p.m. CST from Monday to Friday)
icon of address
Address
7505 Fannin St., Ste 610, Room 7 (CUBIO Innovation Center), Houston, TX 77054, USA
icon of social media
Join us with

Subscribe newsletter

Leave a message

* To protect against spam, please pass the CAPTCHA test below.
CAPTCHA verification
© 2007-2025 CUSABIO TECHNOLOGY LLC All rights reserved. 鄂ICP备15011166号-1
×
Place an order now

I. Product details

*
*
*
*

II. Contact details

*
*

III. Ship To

*
*
*
*
*
*
*

IV. Bill To

*
*
*
*
*
*
*
*