PTX3 Antibody

Code CSB-PA508112
Size US$166
Order now
Image
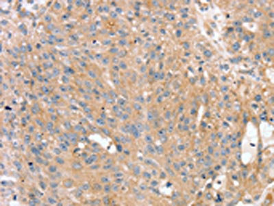
  • The image on the left is immunohistochemistry of paraffin-embedded Human esophagus cancer tissue using CSB-PA508112(PTX3 Antibody) at dilution 1/40, on the right is treated with synthetic peptide. (Original magnification: ×200)
  • The image on the left is immunohistochemistry of paraffin-embedded Human breast cancer tissue using CSB-PA508112(PTX3 Antibody) at dilution 1/40, on the right is treated with synthetic peptide. (Original magnification: ×200)
  • Gel: 8%SDS-PAGE, Lysate: 40 μg, Lane: Human normal lung tissue, Primary antibody: CSB-PA508112(PTX3 Antibody) at dilution 1/400, Secondary antibody: Goat anti rabbit IgG at 1/8000 dilution, Exposure time: 20 seconds
Have Questions? Leave a Message or Start an on-line Chat

Product Details

Uniprot No.
Target Names
PTX3
Alternative Names
AI607804 antibody; Pentaxin 3 antibody; Pentaxin-related protein PTX3 antibody; Pentraxin 3 long antibody; Pentraxin-related gene antibody; Pentraxin-related gene rapidly induced by IL-1 beta antibody; Pentraxin-related protein PTX3 antibody; PTX3 antibody; PTX3_HUMAN antibody; TNF alpha-induced protein 5 antibody; TNFAIP5 antibody; TSG-14 antibody; TSG14 antibody; Tumor necrosis factor alpha-induced protein 5 antibody; Tumor necrosis factor-inducible gene 14 protein antibody; Tumor necrosis factor-inducible protein TSG-14 antibody
Raised in
Rabbit
Species Reactivity
Human,Mouse
Immunogen
Synthetic peptide of Human PTX3
Immunogen Species
Homo sapiens (Human)
Conjugate
Non-conjugated
Isotype
IgG
Purification Method
Antigen affinity purification
Concentration
It differs from different batches. Please contact us to confirm it.
Buffer
-20°C, pH7.4 PBS, 0.05% NaN3, 40% Glycerol
Form
Liquid
Tested Applications
ELISA,WB,IHC
Recommended Dilution
Application Recommended Dilution
ELISA 1:1000-1:2000
WB 1:200-1:1000
IHC 1:25-1:100
Troubleshooting and FAQs
Storage
Upon receipt, store at -20°C or -80°C. Avoid repeated freeze.
Lead Time
Basically, we can dispatch the products out in 1-3 working days after receiving your orders. Delivery time maybe differs from different purchasing way or location, please kindly consult your local distributors for specific delivery time.
Usage
For Research Use Only. Not for use in diagnostic or therapeutic procedures.

Customer Reviews and Q&A

 Customer Reviews

There are currently no reviews for this product.

Submit a Review here

Target Background

Function
Plays a role in the regulation of innate resistance to pathogens, inflammatory reactions, possibly clearance of self-components and female fertility.
Gene References into Functions
  1. PTX3 might be an early marker of cardiovascular mortality in patients with advanced chronic kidney disease yet before the increase of specific marker for systemic inflammation like hsCRP. PMID: 28377558
  2. These findings reveal that the CRP- and PTX3-binding characteristics of FHL-1 differ from those of FH, likely underpinning independent immune regulatory functions in the context of the human retina. PMID: 29374201
  3. given that acute aerobic exercise reduced the ex vivo production of PTX3 in both groups PMID: 28440716
  4. PTX3 is not suitable to serve as an indicator of thrombolytic efficacy and had no association with long-term prognosis in stroke patients receiving thrombolytic therapy. PMID: 29949524
  5. Patients with TAO showed increased presence of PTX3 in orbital tissue and serum. PMID: 29675428
  6. Data show that pentraxin-3 (PTX3) is not a biomarker of disease activity and cannot be used for the purpose. PMID: 28043168
  7. PTX3 is positively regulated by chronic hyperglycemia but negatively regulated by aldosterone PMID: 29715313
  8. treatment of human osteoblast primary cultures derived from young patients with anti-PTX3 antibody, osteoblasts lost the morphological and molecular features typical of mature osteoblasts, acquiring fibroblast-like shape and highly decreasing nuclear factor kappa-B ligand (RANKL) and RUNX2 expression. PMID: 29022895
  9. High PTX3 expression is associated with endothelial dysfunction during hemodialysis. PMID: 27915246
  10. PTX3 might be an inflammatory biomarker for coronary artery disease. PTX3 was associated with the severity of coronary artery stenosis. PMID: 28778748
  11. plasma level increased as pregnancy progressed PMID: 28421853
  12. Results showed that increased PTX3 expression was significantly associated with tumor grade in human cervical cancer cells. It also demonstrated that PTX3 contributes to tumorigenesis and metastasis of cervical cancer cells. PMID: 27377307
  13. serum level increased in pre-eclampsia PMID: 28569615
  14. serum PTX-3 level might be a significant mediator in childhood-onset systemic lupus erythematosus (cSLE); the results support that PTX3 reflects active cutaneous vasculitis in cSLE and correlates with disease activity. PMID: 28420068
  15. Serum PTX3 is related to the severity of autoimmune hepatitis, the presence of acute-on-chronic liver failure and 90-day mortality. PMID: 28809733
  16. Knocking down long pentraxin-3 (PTX3) or vimentin repressed oleate-induced head and neck squamous cell carcinomas (HNSCCs) invasion. PMID: 28489600
  17. Higher levels of PTX3 in women with preeclampsia were significantly associated with signs of adverse arterial effects during pregnancy. PMID: 28377191
  18. PTX3 is associated with bacterial infection in patients with COPD. PMID: 28458531
  19. Suggest that PTX3 plasma level at graft-versus-host disease occurrence is a robust onset biomarker and correlates with both maximum disease severity and response to corticosteroid treatment. PMID: 27893415
  20. Plasma PTX3 level was elevated at the early stage of the exercise training intervention, and was subsequently associated with training-induced alteration of arterial stiffness in middle-aged and older adults. PMID: 26467819
  21. White coat hypertension is characterized by increased PTX-3 levels. PMID: 26040439
  22. Serum PTX3 concentrations are correlated with diabetic nephropathy. PMID: 27233528
  23. Data show that miR-29c-3p and PTX3 are inversely correlated in tissues and meningioma cells, suggesting that PTX3 can be regulated by miR-29c-3p. PMID: 28327132
  24. Elevated levels of pentraxin-3, fetuin-A, CRP, ESR might play a role in the pathogenesis of rheumatoid arthritis. Levels of fetuin-A, insulin HOMA-IR, pentraxin-3, CRP and ESR were not associated with clinical severity of the rheumatoid arthritis. PMID: 27152709
  25. High PTX3 expression is associated with lung graft dysfunction. PMID: 27421969
  26. JAK2V617F mutation influences myeloproliferative neoplasm -associated inflammation with a strong correlation between allele burden and PTX3 levels. Plasma levels of hs-CRP and PTX3 might be of prognostic value for patients with ET and PV PMID: 28228104
  27. This study demonstrated that PTX3 plays an important role in glioma cell proliferation and invasion, and may thus serve as a novel potential therapeutic target in the treatment of gliomas. PMID: 27278519
  28. PTX-3 blood level valuably discriminates the different stages of sepsis severity during the first week of intensive care treatment. PMID: 28793880
  29. abundance is stimulated, in part, through AKT- and nuclear factor kappaB (NF-kappaB)-dependent pathways and that presence of PTX3 is necessary for PI3K-induced stem cell-like traits. PMID: 28223411
  30. This is the first study showing that adolescent male swimmers have higher PTX3 levels than sedentary controls and that there is a linear relationship between PTX3 and GDF-15. PMID: 28664745
  31. These findings provide evidence supporting the role of PTX3 as a mediator of the anti-inflammatory response in physiologically relevant conditions, and suggests that PTX3 counter regulates the development of atherosclerosis by enhancing the production of IL-10. PMID: 27450429
  32. Endothelium, when exposed to high density circulating angiogenic cells, releases PTX3 which markedly impairs the vascular regenerative response in an autocrine manner. PMID: 27659714
  33. Serum PTX3 levels were higher in non-obese rheumatoid arthritis patients than in obese. PMID: 27404695
  34. PTX3 concentrations were significantly higher in the adrenal tumor group compared with the control group. PTX3 concentrations were positively correlated with carotid intima media thickness, systolic and diastolic blood pressure, and urinary metanephrine concentrations. Serum PTX3 concentrations increased in both functional and nonfunctional adrenal tumors. PMID: 28332877
  35. patients with inflammatory rheumatic diseases have increased s-PTX3 levels, which, in contrast to other inflammatory markers, do not seem to improve within 6 months of therapy with methotrexate and/or anti-TNF. PMID: 28225768
  36. median serum PTX3 is lower in systemic lupus erythematosus patients (especially when IFN-alpha is detectable) compared to blood donors PMID: 28257596
  37. PTX3 may bridge the humoral arms of the innate and adaptive immune systems by serving as an endogenous adjuvant for marginal zone B cells. PMID: 27621420
  38. PTX3 levels increase in the airways of patients with severe asthma and OVA-exposed mice. Deletion of PTX3 results in enhanced inflammation, airway hyper-responsiveness, and mucus production on OVA sensitization and challenge. PMID: 27567326
  39. Data suggest that modest weight loss in overweight adults due to caloric restriction and exercise decreases serum leptin (LEP) and high molecular weight adiponectin (ADPN), and increases serum pentraxin-3 (PTX3) in a manner that correlates with increased insulin sensitivity. PMID: 27605038
  40. IL-6 trans-signaling and PTX3 amplification at the site of inflammation could have a role in pathophysiological mechanisms of Peyronie's disease. PMID: 28359407
  41. Serum/plasma levels of PTX3 in autoimmune diseases were higher than in normal controls. PMID: 27255354
  42. The genotype frequencies of rs2305619 and rs2120243 differed significantly between the Diabetic Nephropathy and the Non Diabetic Nephropathy groups. Patients with the GG variant of rs2305619 showed 4.078-fold higher susceptibility to DN than those with the AA variant (OR=4.078, 95% CI=1.370-12.135, p=0.012); patients with AA variant of rs2120243 had a lower risk of developing DN (OR=0.213, 95% CI=0.055-0.826, p=0.025). PMID: 28119515
  43. We show that PTX3 levels correlate with the severity of aGVHD, cGVHD, and-with reservations-survival in patients undergoing allogeneic HSCT. PMID: 27403536
  44. a decrease in FGF 2 is not accompanied by increased serum pentraxin 3 levels in patients with systemic sclerosis PMID: 27878407
  45. PTX3 was higher in obese cases than controls (p = 0.0001). Eighty percent of the cases had Nonalcoholic Fatty Liver Disease with progressive increases in PTX3 levels as the severity of fatty liver increased (p = 0.0001). PMID: 27309736
  46. PTX3 is an independent prognostic indicator in colorectal cancer. PMID: 27568661
  47. CC genotype of rs3816527 had an obviously higher frequency in cases than in controls and had a positive effect on AS occurrence and the same was true of the C allele in rs3816527. For rs3845978, CT genotype showed a significant frequency difference between the case and control groups (P=0.03) and people with genotypes carrying the T allele developed AS earlier ), and the same was found in the analysis of the T allele. PMID: 27538101
  48. The level of plasma PTX3 in neonates with pulmonary arterial hypertension appears higher than those without the same diagnosis. PMID: 27838407
  49. Within the limitations of this study, the results seem to sustain the involvement of Pentraxin 3 and Thrombospondin 1 in the processes of inflammation and angiogenesis in wound healing of patients with postorthodontic gingivectomy. PMID: 27403446
  50. NF-kappaB signaling pathway may serve as potential targets for regulation of PTX3 expression in the retina. PMID: 27980366

Show More

Hide All

Subcellular Location
Secreted.
Database Links

HGNC: 9692

OMIM: 602492

KEGG: hsa:5806

STRING: 9606.ENSP00000295927

UniGene: Hs.591286

icon of phone
Call us
301-363-4651 (Available 9 a.m. to 5 p.m. CST from Monday to Friday)
icon of address
Address
7505 Fannin St., Ste 610, Room 7 (CUBIO Innovation Center), Houston, TX 77054, USA
icon of social media
Join us with

Subscribe newsletter

Leave a message

* To protect against spam, please pass the CAPTCHA test below.
CAPTCHA verification
© 2007-2026 CUSABIO TECHNOLOGY LLC All rights reserved. 鄂ICP备15011166号-1
Place an order now

I. Product details

*
*
*
*

II. Contact details

*
*

III. Ship To

*
*
*
*
*
*
*

IV. Bill To

*
*
*
*
*
*
*
*