ACKR1 Recombinant Monoclonal Antibody

Code CSB-RA624105MA1HU
Size US$210
Order now
Image
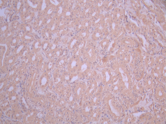
  • IHC image of CSB-RA624105MA1HU diluted at 1:50 and staining in paraffin-embedded human kidney tissue performed on a Leica BondTM system. After dewaxing and hydration, antigen retrieval was mediated by high pressure in a citrate buffer (pH 6.0). Section was blocked with 10% normal goat serum 30min at RT. Then primary antibody (1% BSA) was incubated at 4°C overnight. The primary is detected by a Anti-Human lgG, Fcy Fragment Specific labeled by HRP and visualized using 0.05% DAB.
  • Immunofluorescence staining of A549 cell with CSB-RA624105MA1HU at 1:30 ,counter-stained with DAPI. The cells were fixed in 4% formaldehyde, permeabilized using 0.2% Triton X-100 and blocked in 10% normal Goat Serum. The cells were then incubated with the antibody overnight at 4°C. The secondary antibody was Fluorescein (FITC) AffiniPure Goat Anti-Human IgG, Fcγ fragment specific.
Have Questions? Leave a Message or Start an on-line Chat

Product Details

Uniprot No.
Target Names
Alternative Names
ACKR1 antibody; Atypical chemokine receptor 1 antibody; CCBP1 antibody; CD234 antibody; DARC antibody; Dfy antibody; Duffy antigen/chemokine receptor antibody; duffy blood group antibody; Duffy blood group antigen antibody; Duffy blood group chemokine receptor antibody; DUFFY_HUMAN antibody; FY antibody; Fy glycoprotein antibody; Glycoprotein D antibody; GPD antibody; GpFy antibody; Plasmodium vivax receptor antibody; WBCQ1 antibody
Species Reactivity
Human
Immunogen
Recombinant Human ACKR1 protein
Immunogen Species
Homo sapiens (Human)
Conjugate
Non-conjugated
Clonality
Monoclonal
Isotype
hIgG1
Clone No.
18B4
Purification Method
Affinity-chromatography
Concentration
It differs from different batches. Please contact us to confirm it.
Buffer
Preservative: 0.03% Proclin 300
Constituents: 50% Glycerol, 0.01M PBS, PH 7.4
Form
Liquid
Tested Applications
ELISA, IHC, IF
Recommended Dilution
Application Recommended Dilution
IHC 1:50-1:200
IF 1:50-1:200
Troubleshooting and FAQs
Storage
Upon receipt, store at -20°C or -80°C. Avoid repeated freeze.
Lead Time
Basically, we can dispatch the products out in 1-3 working days after receiving your orders. Delivery time maybe differs from different purchasing way or location, please kindly consult your local distributors for specific delivery time.
Usage
For Research Use Only. Not for use in diagnostic or therapeutic procedures.

Customer Reviews and Q&A

 Customer Reviews

There are currently no reviews for this product.

Submit a Review here

Target Background

Function
Atypical chemokine receptor that controls chemokine levels and localization via high-affinity chemokine binding that is uncoupled from classic ligand-driven signal transduction cascades, resulting instead in chemokine sequestration, degradation, or transcytosis. Also known as interceptor (internalizing receptor) or chemokine-scavenging receptor or chemokine decoy receptor. Has a promiscuous chemokine-binding profile, interacting with inflammatory chemokines of both the CXC and the CC subfamilies but not with homeostatic chemokines. Acts as a receptor for chemokines including CCL2, CCL5, CCL7, CCL11, CCL13, CCL14, CCL17, CXCL5, CXCL6, IL8/CXCL8, CXCL11, GRO, RANTES, MCP-1, TARC and also for the malaria parasites P.vivax and P.knowlesi. May regulate chemokine bioavailability and, consequently, leukocyte recruitment through two distinct mechanisms: when expressed in endothelial cells, it sustains the abluminal to luminal transcytosis of tissue-derived chemokines and their subsequent presentation to circulating leukocytes; when expressed in erythrocytes, serves as blood reservoir of cognate chemokines but also as a chemokine sink, buffering potential surges in plasma chemokine levels.
Gene References into Functions
  1. The mean number of rosettes formed by erythrocytes surrounding transfected mammalian COS-7 cells which expressed Plasmodium knowlesi Duffy binding protein differ between erythrocytes' Duffy antigen phenotypes. Plasmodium knowlesi Duffy binding protein displays higher binding to Fy(a+/b+) erythrocytes than to Fy(a+/b-) erythrocytes. PMID: 30257710
  2. The atypical chemokine receptor 1 polymorphism (rs12075) does not affect susceptibility to hepatitis C virus. PMID: 28443566
  3. The risk of Plasmodium vivax malaria associated with genetic variation of DARC in Thai patients is reported. PMID: 29620340
  4. Our findings in mice suggest that DARC alters the severity and resolution of AHR. These findings are complimented by our human analyses in which select DARC SNPs are associated with worse asthma control and symptoms. PMID: 28471517
  5. DARC expression in cancer cells inhibits pancreatic ductal adenocarcinoma progression by suppressing STAT3 activation through the inhibition of CXCR2 signaling PMID: 28214673
  6. This study reports 1-3 occurrences of P. vivax infection in each of 25 Duffy-negative children at six time points over two rainy seasons and the beginning of the third season. PMID: 28749772
  7. Data suggest that Type II congenital smell loss patients who exhibit both type I hyposmia and hypogeusia are genetically distinct from all other patients with Type II congenital smell loss. This distinction is based on decreased Fy(b) expression which correlated with abnormalities in two sensory modalities (hyposmia type I and hypogeusia). PMID: 27968956
  8. The data suggest that selective exposure of the Duffy binding protein (DBP) binding site within DARC is key to the preferential binding of DBP to immature reticulocytes, which is the potential mechanism underlying the preferential infection of a reticulocyte subset by P vivax. PMID: 28754683
  9. ACKR1 regulates neutrophil counts in blood. Lack of ACKR1 on nucleated erythroid cells together with its expression in endothelial cells causes neutropenia. PMID: 28553950
  10. population genetic analysis of DARC shows its association with malaria resistance PMID: 28282382
  11. Molecular identification of rare FY*Null and FY*X alleles in Caucasian thalassemic family from Sardinia. PMID: 25921504
  12. We showed that DARC expression is down-regulated in CRC and associated with clinical pathological features and MVD of CRC. DARC might be involved in tumorigenesis, progression, angiogenesis, and metastasis of CRC. PMID: 26096170
  13. DARC is required for Staphylococcus aureus-mediated lysis of human erythrocytes, and DARC overexpression is sufficient to render cells susceptible to toxin-mediated lysis. PMID: 26320997
  14. the odds for neutropenia in the ACKR1-null (FY-) individuals were 46-fold higher than for FY+ individuals (Crude odds ratio = 46, 95% confidence interval = 8.03-263, P < 0.001) PMID: 25817587
  15. study demonstrates the association of SNP rs12075 from DARC gene with the levels of serum IL8 PMID: 25647274
  16. DARC levels are elevated in human keloid fibroblasts and might inhibit the secretion of CCL2. PMID: 26045366
  17. Through molecular genotyping we also identified polymorphisms in RhCE, Kell, Duffy, Colton, Lutheran and Scianna loci in donors and patients. PMID: 25582271
  18. The majority of our population is heterozygous for Duffy antigens a and b. PMID: 24929836
  19. Duffy blood group PMID: 24845979
  20. Isothermal titration calorimetry studies show these structures are part of a multi-step binding pathway, and individual point mutations of residues contacting DARC result in a complete loss of RBC binding by DBP-RII. PMID: 24415938
  21. DARC polymorphisms may influence the naturally acquired inhibitory anti-Duffy binding protein II immunity PMID: 24710306
  22. DARC facilitates CXCL1 inhibition of airway smooth muscle cell migration via modulation of the ERK-1/2 MAP kinase signaling pathway. PMID: 24981451
  23. The Fy(a-b-) phenotype in three siblings of the Polish family was caused by the FY(*)X/FY(*)B-33 genotype. PMID: 23820435
  24. DARC antigen is associated with a likelihood for patients to develop leg ulcers in sickle cell disease. PMID: 23753024
  25. Effect of genetic variants in two chemokine decoy receptor genes, DARC and CCBP2, on metastatic potential of breast cancer. PMID: 24260134
  26. co-expression of DARC, D6, and CCX-CKR significantly associated with higher survival in gastric cancer PMID: 23462454
  27. The in fl uence of DARC gene expression on bone mineral density of the mandible was not con fi rmed. PMID: 22910367
  28. DARC and BCAM expression was associated with pathogenesis of thyroid carcinoma and correlated with clinical-pathological features. PMID: 23168236
  29. The high frequency of the FYES allele that silences erythroid expression of the Duffy antigen offers a biologically plausible explanation for the lack of Plasmodium vivax infections observed. PMID: 23347639
  30. Although lower, the risk of Duffy-negatives to experience a P. vivax blood stage infection was not significantly different to that of Duffy-positives. PMID: 23259672
  31. strong associations between SNPs in DARC gene, particularly rs12075, and serum MCP-1 levels identify a potential candidate gene that can be explored for its role in inflammatory pathways; replication of European GWAS of MCP-1 in study of Hispanic children confirms importance of DARC in regulation of MCP-1 PMID: 23017229
  32. vivax malaria incidences over the past five years in an Indian population were significantly negatively and positively associated with the frequencies of the FY*A and FY*B alleles of the Duffy gene, respectively. PMID: 23028857
  33. platelet molecule platelet factor 4 (PF4 or CXCL4) and the erythrocyte Duffy-antigen receptor (Fy) are necessary for platelet-mediated killing of Plasmodium falciparum parasites. PMID: 23224555
  34. Data suggest that DARC (Duffy antigen receptor for chemokines) gene may play an important role in regulating the metabolisms of both lean body mass (LBM) and age at menarche (AAM). PMID: 22744181
  35. We developed a phylogenetic tree for DARC alleles and postulated a distinct FY*B allele as ancestral for the extant DARC alleles in humans. PMID: 22082243
  36. Our results provide evidence that the functional rs2814778 polymorphism in the gene encoding DARC is associated with worse clinical outcomes among African Americans with ALI, possibly via an increase in circulating IL-8. PMID: 22207676
  37. Data show that in ancestry to the African continent (AA) subjects, the region surrounding the Duffy antigen/chemokine receptor gene (DARC) on 1q21 exhibited significant association with white blood cell count (WBC) levels. PMID: 22037903
  38. findings show that Fy(a), compared with Fy(b), significantly diminishes binding of Pv Duffy binding protein (PvDBP) at the erythrocyte surface, and is associated with a reduced risk of clinical Plasmodium vivax in humans PMID: 22123959
  39. It seems that this version of DARC receptor is a powerful facilitator of chemokine transcytosis and subsequently leukocyte migration into GVHD target organs. PMID: 21784153
  40. Here we describe the recent success in mapping the gene that underlies benign neutropenia in African American populations. We discuss the known function of the gene and consider potential mechanisms for the effect on neutropenia.[review] PMID: 22097233
  41. despite an association of CCL2 serum levels with the severity of liver fi brosis, a functional SNP in the CCL2 scavenger receptor DARC is not directly associated with the occurrence or the severity of liver disease in hepatitis C infection infection PMID: 21156192
  42. DARC -46C/C results in loss of DARC expression on erthyrocytes (Duffy-null) and resistance to Plasmodium vivax malaria, and subjects with this genotype had pre-HIV seroconversion neutrophil counts of <2500 cells/mm(3). PMID: 21507922
  43. DARC and D6, the most studied members of this group of molecules, are reviewed. PMID: 21151196
  44. results do not support an effect of erythrocyte DARC expression on the risk or progression of prostate cancer in men of African descent. PMID: 20596779
  45. This activation state associated with DARC RBC expression may influence the intensity of the inflammatory responses encountered in sickle cell anemia and participate in its interindividual clinical expression variability. PMID: 21088296
  46. Duffy Antigen Receptor for Chemokines (DARC) is an unusual transmembrane chemokine receptor which binds the two main chemokine families. PMID: 20655787
  47. Plasmodium vivax is able to infect and cause Malaria vivax in Duffy-negative people. PMID: 20655790
  48. Results indicate that one of the primary mechanisms by which P. vivax evades host immunity is through DARC indirectly down-regulating humoral responses against erythrocytic invasion and development. PMID: 20664684
  49. Genome-wide association analysis finds strong association for serum MCP-1 with a nonsynonymous polymorphism, rs12075 (Asp42Gly) in DARC. PMID: 20040767
  50. Duffy-positive sickle cell anemia patients exhibited higher counts of white blood cells, polynuclear neutrophils, higher plasma levels of IL-8 and RANTES than Duffy-negative patients. PMID: 20347396

Show More

Hide All

Subcellular Location
Early endosome. Recycling endosome. Membrane; Multi-pass membrane protein. Note=Predominantly localizes to endocytic vesicles, and upon stimulation by the ligand is internalized via caveolae. Once internalized, the ligand dissociates from the receptor, and is targeted to degradation while the receptor is recycled back to the cell membrane.
Protein Families
G-protein coupled receptor 1 family, Atypical chemokine receptor subfamily
Tissue Specificity
Found in adult kidney, adult spleen, bone marrow and fetal liver. In particular, it is expressed along postcapillary venules throughout the body, except in the adult liver. Erythroid cells and postcapillary venule endothelium are the principle tissues exp
Database Links

HGNC: 4035

OMIM: 110700

KEGG: hsa:2532

STRING: 9606.ENSP00000357103

UniGene: Hs.153381

icon of phone
Call us
301-363-4651 (Available 9 a.m. to 5 p.m. CST from Monday to Friday)
icon of address
Address
7505 Fannin St., Ste 610, Room 7 (CUBIO Innovation Center), Houston, TX 77054, USA
icon of social media
Join us with

Subscribe newsletter

Leave a message

* To protect against spam, please pass the CAPTCHA test below.
CAPTCHA verification
© 2007-2025 CUSABIO TECHNOLOGY LLC All rights reserved. 鄂ICP备15011166号-1
×
Place an order now

I. Product details

*
*
*
*

II. Contact details

*
*

III. Ship To

*
*
*
*
*
*
*

IV. Bill To

*
*
*
*
*
*
*
*