ACSL4 Recombinant Monoclonal Antibody

Code CSB-RA799350A0HU
Size US$210
Order now
Image
  • Flow cytometric analysis of ACSL4 expression in HT-1080 cells using ACSL4 antibody. Green, isotype control; red, ACSL4.
  • Immunohistochemistry was performed on paraffin-embedded human hepatocarcinoma using ACSL4 antibody. Antigen retrieval was done in sodium citrate buffer (pH 6.0). DAB was used for detection, with hematoxylin counterstaining. Images were acquired using a Nikon Ci-L Plus microscope (40× objective). Scale bar: 25 μm.
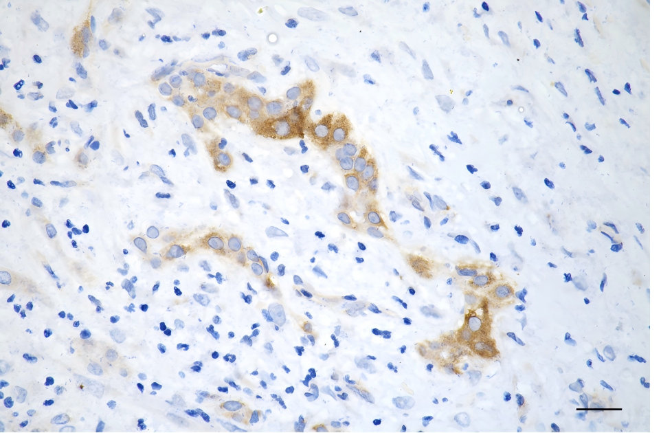
  • Immunohistochemistry was performed on paraffin-embedded mouse kidney using ACSL4 antibody. Antigen retrieval was done in sodium citrate buffer (pH 6.0). DAB was used for detection, with hematoxylin counterstaining. Images were acquired using a Nikon Ci-L Plus microscope (40× objective). Scale bar: 25 μm.
  • Western blotting analysis using ACSL4 antibody. Total cell lysates (30 μg) from various cell lines were loaded and separated by SDS-PAGE. The blot was incubated with ACSL4 antibody and HRP-conjugated goat anti-rabbit secondary antibody respectively.
Have Questions? Leave a Message or Start an on-line Chat

Product Details

Uniprot No.
Target Names
Alternative Names
ACSL4; Acyl-CoA Synthetase Long Chain Family Member 4; LACS4; ACS4; FACL4; Fatty-Acid-Coenzyme A Ligase, Long-Chain 4; Long-Chain Fatty-Acid-Coenzyme A Ligase 4; Long-Chain-Fatty-Acid--CoA Ligase 4; Long-Chain Acyl-CoA Synthetase 4; Lignoceroyl-CoA Synthase; Arachidonate--CoA Ligase; EC 6.2.1.3; MRX63; MRX68; Mental Retardation, X-Linked 63; Mental Retardation, X-Linked 68; Acyl-CoA Synthetase 4; EC 6.2.1.15; XLID63; LACS 4
Species Reactivity
Human, Mouse, Rat
Immunogen
Recombinant Human ACSL4 protein
Immunogen Species
Homo sapiens (Human)
Conjugate
Non-conjugated
Clonality
Monoclonal
Isotype
Rabbit IgG
Clone No.
24B10
Purification Method
Affinity-chromatography
Concentration
It differs from different batches. Please contact us to confirm it.
Buffer
Rabbit IgG in PBS (pH 7.4) containing 50% glycerol, and 0.02% sodium azide.
Form
Liquid
Tested Applications
ELISA, WB, FC, IHC
Recommended Dilution
Application Recommended Dilution
WB 1:1000-1:5000
FC 1:200-1:2000
IHC 1:100-1:200
Troubleshooting and FAQs
Storage
Upon receipt, store at -20°C or -80°C. Avoid repeated freeze.
Lead Time
Basically, we can dispatch the products out in 1-3 working days after receiving your orders. Delivery time maybe differs from different purchasing way or location, please kindly consult your local distributors for specific delivery time.
Usage
For Research Use Only. Not for use in diagnostic or therapeutic procedures.

Customer Reviews and Q&A

 Customer Reviews

There are currently no reviews for this product.

Submit a Review here

Target Background

Function
Catalyzes the conversion of long-chain fatty acids to their active form acyl-CoA for both synthesis of cellular lipids, and degradation via beta-oxidation. Preferentially activates arachidonate and eicosapentaenoate as substrates. Preferentially activates 8,9-EET > 14,15-EET > 5,6-EET > 11,12-EET. Modulates glucose-stimulated insulin secretion by regulating the levels of unesterified EETs. Modulates prostaglandin E2 secretion.
Gene References into Functions
  1. The regulatory network among peroxisomal ABCD2:ACSL4:VLCFA serves as a novel regulator of cartilage homeostasis, and these data may provide novel insights into the role of peroxisomal fatty acid metabolism in pathogenesis of human osteoarthritis (OA). PMID: 30264402
  2. Study demonstrated that ACSL4 was overexpressed in HCC. PMID: 28887439
  3. studies have identified a novel substrate-induced posttranslational regulatory mechanism by which AA downregulates ACSL4 protein expression in hepatic cells. PMID: 24879802
  4. Data show that ELOVL7, SOCS3, ACSL4 and CLU were upregulated while PRKAR1A and ABCG1 were downregulated in the phlegm-dampness group. PMID: 27928700
  5. ACSL4 is not only a sensitive monitor of ferroptosis, but also an important contributor of ferroptosis. PMID: 27565726
  6. Silencing of ACSL4 eliminated the 17beta-estradiol-induced increase in AA and EPA uptake. PMID: 28334272
  7. ACSL4 plays a tumor-suppressive role in gastric cancer. PMID: 26949059
  8. Suggest role for ACSL4 expression in development of castration-resistant prostate cancer. PMID: 26636648
  9. we demonstrate that ACSL4 can be considered a novel activator of the mTOR pathway PMID: 26536660
  10. In vitro analysis showed that a recombinant COX-2 enzyme more effectively metabolized 5(S)-HETE to 5-11-diHETE compared to COX-1 enzyme. PMID: 26282205
  11. Upregulation of ACSL4 is responsible for the increase in triacylglycerol species containing long polyunsaturated fatty acids during activation of hepatic stellate cells. PMID: 25500141
  12. Report PPARdelta-mediated regulatory mechanism for ACSL4 expression in liver tissue and cultured hepatic cells. PMID: 25645621
  13. ACSL4 can serve as both a biomarker for, and mediator of, an aggressive breast cancer phenotype. PMID: 24155918
  14. This study found no significant relationship between FACL4 and cognitive function. PMID: 20452052
  15. conclude that in our model system exogenous fatty acids are channeled preferentially towards phosphatidylinositol by ACSL4 overexpression PMID: 24201376
  16. MiR-205 down-regulates ACSL4 through targeting its 3'UTR in hepatoma cells. PMID: 24576478
  17. The functional interaction between Acyl-CoA synthetase 4, 5-lipooxygenase and cyclooxygenase-2 controls tumor growth. PMID: 22808264
  18. the involvement of SHP2 activity in the regulation of the expression of the fatty acid-metabolizing enzyme ACSL4 PMID: 21903867
  19. A total of six novel and 11 known single nucleotide polymorphisms were identified. Further studies are warranted to analyze the candidate genes at Xq11.1-q21.33. PMID: 21384559
  20. CSL4 modulates PGE release from human erial smooth muscle cells. PMID: 21242590
  21. Data suggest that the development of combinatory therapies that profit from the ACSL4, lipooxygenase and COX-2 synergistic action may allow for lower medication doses and avoidance of side effects. PMID: 21085606
  22. Fatty acid CoA ligase 4 is up-regulated in colon adenocarcinoma. PMID: 11731423
  23. FACL4, encoding fatty acid-CoA ligase 4, is mutated in nonspecific X-linked mental retardation PMID: 11889465
  24. FACL4 is highly expressed in hippocampal and cerebellar neurons and may have a role in X linked mental retardation. PMID: 12525535
  25. Overexpression of Fatty acid-CoA ligase 4 is associated with human hepatocellular carcinoma PMID: 12824887
  26. FACL4 is involved in the hepatocellular carcinoma tumorigenesis and both cAMP and p38 MAPK pathways are associated with the regulation of FACL4 PMID: 15849811
  27. Disruption of DMD and the absence of ACSL4 in a patient are responsible for neuromuscular disease and cognitive impairment. PMID: 16276108
  28. FACL4 affects HCC cell growth and suggest that modulation of FACL4 expression/activity is an approach for treatment of HCC. PMID: 17934335
  29. FACL4 might play a role in the growth of hepatic cancer cells. PMID: 18059177
  30. No association between polymorphisms in the FACL4 (fatty acid-CoA ligase 4) gene and nonspecific mental retardation in Qin-Ba mountain region of China. PMID: 18614287
  31. The common SNP (C to T substitution) in the first intron of the FACL4 gene is associated with altered Fatty Acid composition of plasma phosphatidylcholines in patients with metabolic syndrome . PMID: 19346733
  32. ACSL4 can substitute the functions of dAcsl(l(2)44DEa in organismal viability, lipid storage and the neural wiring in visual center. PMID: 19617635

Show More

Hide All

Involvement in disease
Mental retardation, X-linked 63 (MRX63); Alport syndrome with mental retardation, midface hypoplasia and elliptocytosis (ATS-MR)
Subcellular Location
Mitochondrion outer membrane; Single-pass type III membrane protein. Peroxisome membrane; Single-pass type III membrane protein. Microsome membrane; Single-pass type III membrane protein. Endoplasmic reticulum membrane; Single-pass type III membrane protein. Cell membrane.
Protein Families
ATP-dependent AMP-binding enzyme family
Database Links

HGNC: 3571

OMIM: 300157

KEGG: hsa:2182

STRING: 9606.ENSP00000339787

UniGene: Hs.268785

icon of phone
Call us
301-363-4651 (Available 9 a.m. to 5 p.m. CST from Monday to Friday)
icon of address
Address
7505 Fannin St., Ste 610, Room 7 (CUBIO Innovation Center), Houston, TX 77054, USA
icon of social media
Join us with

Subscribe newsletter

Leave a message

* To protect against spam, please pass the CAPTCHA test below.
CAPTCHA verification
© 2007-2025 CUSABIO TECHNOLOGY LLC All rights reserved. 鄂ICP备15011166号-1
×
Place an order now

I. Product details

*
*
*
*

II. Contact details

*
*

III. Ship To

*
*
*
*
*
*
*

IV. Bill To

*
*
*
*
*
*
*
*