APOE Recombinant Monoclonal Antibody

Code CSB-RA001936MA1HU
Size US$210
Order now
Image
  • The Binding Activity of Human APOE with Anti-APOE recombinant antibody
    Activity: Measured by its binding ability in a functional ELISA. Immobilized Human APOE (CSB-MP001936HU) at 2 μg/mL can bind Anti-APOE recombinant antibody. The EC50 is 2.491-2.918 ng/mL.
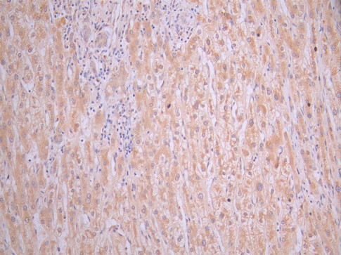
  • IHC image of CSB-RA001936MA1HU diluted at 1:50 and staining in paraffin-embedded human liver tissue performed on a Leica BondTM system. After dewaxing and hydration, antigen retrieval was mediated by high pressure in a citrate buffer (pH 6.0). Section was blocked with 10% normal goat serum 30min at RT. Then primary antibody (1% BSA) was incubated at 4°C overnight. The primary is detected by a Goat anti-mouse polymer IgG labeled by HRP and visualized using 0.05% DAB.
  • IHC image of CSB-RA001936MA1HU diluted at 1:50 and staining in paraffin-embedded human liver cancer performed on a Leica BondTM system. After dewaxing and hydration, antigen retrieval was mediated by high pressure in a citrate buffer (pH 6.0). Section was blocked with 10% normal goat serum 30min at RT. Then primary antibody (1% BSA) was incubated at 4°C overnight. The primary is detected by a Goat anti-mouse polymer IgG labeled by HRP and visualized using 0.05% DAB.
  • Immunofluorescence staining of HepG2 cell with CSB-RA001936MA1HU at 1:30 ,counter-stained with DAPI. The cells were fixed in 4% formaldehyde, permeabilized using 0.2% Triton X-100 and blocked in 10% normal Goat Serum. The cells were then incubated with the antibody overnight at 4°C. The secondary antibody was FITC-conjugated Goat Anti-Mouse IgG(H+L).
  • Overlay Peak curve showing HepG2 cells stained with CSB-RA001936MA1HU (red line) at 1:100. The cells were fixed in 4% formaldehyde and permeated by 0.2% TritonX-100 for 10min. Then 10% normal goat serum to block non-specific protein-protein interactions followed by the antibody (1ug/1*106cells) for 45min at 4℃. The secondary antibody used was FITC-conjugated Goat Anti-Mouse IgG(H+L) at 1:200 dilution for 35min at 4℃.Control antibody (green line) was mouse IgG2a (1ug/1*106cells) used under the same conditions. Acquisition of >10,000 events was performed.
Have Questions? Leave a Message or Start an on-line Chat

Product Details

Uniprot No.
Target Names
Alternative Names
AD2 antibody; Apo-E antibody; APOE antibody; APOE_HUMAN antibody; APOEA antibody; Apolipoprotein E antibody; Apolipoprotein E3 antibody; ApolipoproteinE antibody; Apoprotein antibody; LDLCQ5 antibody; LPG antibody
Species Reactivity
Human
Immunogen
Recombinant Human APOE protein
Immunogen Species
Homo sapiens (Human)
Conjugate
Non-conjugated
Clonality
Monoclonal
Isotype
mIgG2a
Clone No.
HJ153
Purification Method
Affinity-chromatography
Concentration
It differs from different batches. Please contact us to confirm it.
Buffer
Preservative: 0.03% Proclin 300
Constituents: 50% Glycerol, 0.01M PBS, PH 7.4
Form
Liquid
Tested Applications
ELISA, IHC, IF, FC
Recommended Dilution
Application Recommended Dilution
ELISA 1:5000-1:50000
IHC 1:50-1:200
IF 1:50-1:200
FC 1:50-1:200
Troubleshooting and FAQs
Storage
Upon receipt, store at -20°C or -80°C. Avoid repeated freeze.
Lead Time
Basically, we can dispatch the products out in 1-3 working days after receiving your orders. Delivery time maybe differs from different purchasing way or location, please kindly consult your local distributors for specific delivery time.
Usage
For Research Use Only. Not for use in diagnostic or therapeutic procedures.

Customer Reviews and Q&A

 Customer Reviews

There are currently no reviews for this product.

Submit a Review here

Target Background

Function
APOE is an apolipoprotein, a protein associating with lipid particles, that mainly functions in lipoprotein-mediated lipid transport between organs via the plasma and interstitial fluids. APOE is a core component of plasma lipoproteins and is involved in their production, conversion and clearance. Apoliproteins are amphipathic molecules that interact both with lipids of the lipoprotein particle core and the aqueous environment of the plasma. As such, APOE associates with chylomicrons, chylomicron remnants, very low density lipoproteins (VLDL) and intermediate density lipoproteins (IDL) but shows a preferential binding to high-density lipoproteins (HDL). It also binds a wide range of cellular receptors including the LDL receptor/LDLR, the LDL receptor-related proteins LRP1, LRP2 and LRP8 and the very low-density lipoprotein receptor/VLDLR that mediate the cellular uptake of the APOE-containing lipoprotein particles. Finally, APOE has also a heparin-binding activity and binds heparan-sulfate proteoglycans on the surface of cells, a property that supports the capture and the receptor-mediated uptake of APOE-containing lipoproteins by cells. A main function of APOE is to mediate lipoprotein clearance through the uptake of chylomicrons, VLDLs, and HDLs by hepatocytes. APOE is also involved in the biosynthesis by the liver of VLDLs as well as their uptake by peripheral tissues ensuring the delivery of triglycerides and energy storage in muscle, heart and adipose tissues. By participating in the lipoprotein-mediated distribution of lipids among tissues, APOE plays a critical role in plasma and tissues lipid homeostasis. APOE is also involved in two steps of reverse cholesterol transport, the HDLs-mediated transport of cholesterol from peripheral tissues to the liver, and thereby plays an important role in cholesterol homeostasis. First, it is functionally associated with ABCA1 in the biogenesis of HDLs in tissues. Second, it is enriched in circulating HDLs and mediates their uptake by hepatocytes. APOE also plays an important role in lipid transport in the central nervous system, regulating neuron survival and sprouting. APOE is also involved in innate and adaptive immune responses, controlling for instance the survival of myeloid-derived suppressor cells. APOE, may also play a role in transcription regulation through a receptor-dependent and cholesterol-independent mechanism, that activates MAP3K12 and a non-canonical MAPK signal transduction pathway that results in enhanced AP-1-mediated transcription of APP.; (Microbial infection) Through its interaction with HCV envelope glycoprotein E2, participates in the attachment of HCV to HSPGs and other receptors (LDLr, VLDLr, and SR-B1) on the cell surface and to the assembly, maturation and infectivity of HCV viral particles. This interaction is probably promoted via the up-regulation of cellular autophagy by the virus.
Gene References into Functions
  1. Patients having Glutathione S-transferase M1 allele and Apolipoprotein E E2 allele are predisposed to oxidative stress-induced cardiac injury. PMID: 30095041
  2. the APOEepsilon4 alleles were significantly higher in patients with Alzheimer's disease (AD) and there was a potential synergistic interaction between the CYP46A1 C allele and APOEepsilon4 allele in AD. PMID: 29516283
  3. familial hypercholesterolemia case-control study was associated with the E4 allele in the Saudi population. However, E4 allele was appeared as a reliable risk marker for lipid profiles, but not for ApoE alleles PMID: 30235358
  4. Significant interactions between APOE epsilon4 and mild cognitive impairment were found in general cognitive function (p = 0.001) and white matter connectivity network (clustering coefficient, p = 0.004, and local efficiency. PMID: 27785756
  5. data presented here could increase the knowledge of ApoE3 activity and be a starting point for the study of the impact of variations on APOE gene PMID: 28559539
  6. APOE-epsilon4 is associated with a subtly faster rate of memory decline from midlife to early old age PMID: 29317609
  7. This study aimed to assess the association between APOE genotype and saccade latency using a prosaccade and antisaccade task in young individuals (N=97, age: 17-35 years). Results showed that prosaccade latency was significantly delayed in a group of epsilon4 carriers in comparison to non-carriers, which was due to a lower rate of signal accumulation rather than a change in the criterion threshold. PMID: 30003976
  8. Higher plasma ApoE concentrations (> 5.9 mg/dL) are the independent risk factor for hemorrhage during endobronchial biopsy in patients with lung cancer. PMID: 30031394
  9. Apolipoprotein E Mutation is associated with Lipoprotein Glomerulopathy. PMID: 29398675
  10. these results suggest a susceptibility of E4+ carriers to metabolic and cognitive impairments brought on by a HFD, and may help guide development of novel therapeutic targets for AD and related dementias. PMID: 28272510
  11. A randomized trial and novel SPR technique identifies altered lipoprotein-LDL receptor binding as a mechanism underlying elevated LDL-cholesterol in APOE4s PMID: 28276521
  12. Site-directed mutagenesis of Akt at Cys224 revealed that S-nitrosylation at this site was pivotal for the reduced phosphorylation at Akt Ser473, which led to impaired Akt signaling. Furthermore, on HHcy challenge, as compared with GSNOR(+/+)ApoE(-/-) littermate controls, GSNOR(-/-)ApoE(-/-) double knockout mice showed reduced T-cell activation with concurrent reduction of atherosclerosis. PMID: 29860106
  13. U.S. military veterans who are APOE epsilon4 allele carriers and exposed to a high number of traumas may be at increased risk for developing PTSD symptoms than epsilon4 noncarriers. PMID: 29172227
  14. found that the ApoE genotype was significantly associated with aneurysmal subarachnoid hemorrhage risk, whereas its effect on certain ethnic populations differs PMID: 30010064
  15. APOE polymorphism might be associated with the incidence of aneurysmal subarachnoid hemorrhage in Chinese Fujian Han population. PMID: 29769126
  16. Reduced expression of miR-98 may relate to LOX-1 expression and foam cell formation and lipid accumulation in aortas of ApoE(-/-) mice. PMID: 29549823
  17. The epsilon4+ subjects exhibited lower inter- and intrahemispheric coherences than the epsilon4- individuals. CONCLUSION: epsilon4 carriers have lower corticocortical communication than noncarriers during an intelligence task, implying that carrying the epsilon4 allele may reduce brain networking in adolescence, several decades before the onset of Alzheimer disease. PMID: 28848214
  18. APOE-epsilon4 modified the association between central arterial stiffening and cognition. PMID: 29656011
  19. The rs7755 and rs3211956 loci polymorphisms of CD36 gene and genotype E2/E3, E3/E4, E4/E4 of ApoE gene, and E2 and E4 alleles were statistically related with Alzheimer disease. PMID: 30235742
  20. results show great changes in men carrying ApoE2, mainly in TG and TC concentrations after treatment with hypocaloric diet and controlled exercise PMID: 29756962
  21. ApoE genetic polymorphisms conferred susceptibility to steroid-induced ONFH in Chinese Han population. PMID: 29892926
  22. t results point out that APOE4 genotype influences healthy aged cognition, although factors such age or educational attainment seem to modulate its effects PMID: 29414814
  23. Reduced content of ApoE in blood serum of men with arterial hypertension was associated with APOE4 gene polymorphism. PMID: 29658078
  24. In summary, our findings from the two cohorts confirm that genetic variations at the APOE locus influence plasma total cholesterol concentrations, however, the gene-diet interactions on lipids require further investigation in larger cohorts. PMID: 29712557
  25. There is the association between ApoE polymorphism and hypertension. [meta-analysis] PMID: 30180966
  26. The authors propose that APOE4-driven hyperactivity may be a causative factor driving increased risk of Alzheimer's disease among APOE4 carriers. PMID: 29133888
  27. Our results showed that ApoE epsilon4 and PON1-55M alleles act synergistically to increase the risk of systemic lupus erythematosus by 1.47 times PMID: 29273831
  28. Study presents evidence that odor identification ability starts to decline already in middle-aged, and that carriers of varepsilon4/4, who are at highest risk of developing dementia, decline twice as fast. PMID: 28455505
  29. Findings suggest that the apolipoprotein E4 genotype selectively modulates the functional integration of brain networks in patients with amnestic mild cognitive impairment, thus providing important insight into the gene-connectome interaction in this disease. PMID: 28341847
  30. Findings revealed that APOE epsilon4 allele has a detrimental effect on parietal and frontal white matter in cognitively normal elderly; and demonstrate that information processing speed deficits can be explained by parietal white matter hyperintensities volume, age and interaction between parietal white matter hyperintensities volume and age. PMID: 27444731
  31. The study demonstrated that the APOE epsilon3/epsilon3 and epsilon3/epsilon4 genotypes played a protective role against cerebral infarction in Chinese men, but not women. PMID: 29479056
  32. corroborating evidence that supports the fact that the presence of the APOE e4 polymorphism confers greater susceptibility to combat-related post-traumatic stress disorder (meta-analysis)> PMID: 28430712
  33. Carriers of the 4 allele of the APOE genotype had significantly lower LDL particle size and LDL I proportion compared to 33 homozygotes ( P < .05 for both comparisons). Insulin resistance increased from patients with no OSA to those with mild-moderate and to those with severe OSA ( P < .001). In multivariate analysis, LDL size was independently predicted by APOE genotype. PMID: 26941371
  34. In het mice, RIF had no effect on plasma lipids composition, CYP27A1 activity, and atherosclerotic plaque development, despite a reduction in cholesterol absorption. In conclusion, the antiatherogenic effect of Cyp3a11 induction by RIF was also dependent on Cyp27a1 expression. PMID: 29191818
  35. Hypertension and the ApoEepsilon4/epsilon4 genotype may be associated with the occurrence of MCA stenosis in the ischemic stroke Chinese patients. PMID: 29494434
  36. In this study, detection of AD-related DNA oligonucleotide sequence associated with Apolipoprotein E4 gene sequence was achieved using localized-surface plasmon resonance (LSPR) on 2D-Photonic crystal (2D-PC) and Au-coated 2D-PC surfaces. PMID: 29291596
  37. APOE polymorphism has an influence on the risk of aneurysmal subarachnoid hemorrhage. PMID: 29213291
  38. Evidence for an interaction between APOE SNP rs1064725 and dietary fat intake on fasting total plasma cholesterol concentrations. PMID: 29169396
  39. APOE-epsilon4 carriers had elevated carotid intima media thickness independent of demographics and vascular risk factors. Diabetes was an effect modifier of the relationship between APOE-epsilon4 and cIMT. PMID: 29103864
  40. APOE is a risk gene for ischemic stroke (IS), but not independent, especially for large artery atherosclerosis IS. PMID: 29074556
  41. Among APOE4 carriers, race was not associated with risk of Alzheimer's disease. PMID: 28863046
  42. association of rare variants near the APOE region with CSF and neuroimaging biomarkers of Alzheimer's disease PMID: 28589856
  43. The APOE-epsilon4 allele may confer an increased risk of impairment of 6-month verbal memory for patients suffering mild traumatic brain injury. PMID: 28948085
  44. The APOE e4 allele is a risk factor for late onset Alzheimer's disease as well as for other types of dementia.Living arrangements, perceived social support, and loneliness were found to moderate the relationship between the APOE e4 allele and cognitive function. PMID: 28329797
  45. epsilon2 carriers perform better on cognitive tests as this group have a lower risk of Alzheimer's disease. PMID: 29032015
  46. Overnight hypoxemia and sleepiness were associated with cognition. The average effect estimates were small, similar to effect estimates for several other individual dementia risk factors. Associations were strongest in APOE-epsilon4 risk allele carriers. PMID: 28731362
  47. Downregulation of apoE and apoJ in CSF strongly suggests a critical role of lipid metabolism in the development and progression of Moyamoya disease. PMID: 28843803
  48. ApoE epsilon4 alleles are associated with dementia risk. PMID: 28657841
  49. Findings suggest a possible relationship between the epsilon4 allele and post-concussion impairment, as well as between the epsilon4 allele and neurocognitive performance variability, suggesting that the epsilon4 genotype may be a risk factor for less efficient cognitive processing in concussed athletes. PMID: 28541413
  50. APOE4 carriers and the CETP genotype were associated with a decreased response to simvastatin therapy PMID: 28851085

Show More

Hide All

Involvement in disease
Hyperlipoproteinemia 3 (HLPP3); Alzheimer disease 2 (AD2); Sea-blue histiocyte disease (SBHD); Lipoprotein glomerulopathy (LPG); Familial hypercholesterolemia (FH)
Subcellular Location
Secreted. Secreted, extracellular space. Secreted, extracellular space, extracellular matrix.
Protein Families
Apolipoprotein A1/A4/E family
Tissue Specificity
Produced by several tissues and cell types and mainly found associated with lipid particles in the plasma, the interstitial fluid and lymph. Mainly synthesized by liver hepatocytes. Significant quantities are also produced in brain, mainly by astrocytes a
Database Links

HGNC: 613

OMIM: 104310

KEGG: hsa:348

STRING: 9606.ENSP00000252486

UniGene: Hs.654439

icon of phone
Call us
301-363-4651 (Available 9 a.m. to 5 p.m. CST from Monday to Friday)
icon of address
Address
7505 Fannin St., Ste 610, Room 7 (CUBIO Innovation Center), Houston, TX 77054, USA
icon of social media
Join us with

Subscribe newsletter

Leave a message

* To protect against spam, please pass the CAPTCHA test below.
CAPTCHA verification
© 2007-2025 CUSABIO TECHNOLOGY LLC All rights reserved. 鄂ICP备15011166号-1
×
Place an order now

I. Product details

*
*
*
*

II. Contact details

*
*

III. Ship To

*
*
*
*
*
*
*

IV. Bill To

*
*
*
*
*
*
*
*