ATG3 Recombinant Monoclonal Antibody

Code CSB-RA794271A0HU
Size US$210
Order now
Image
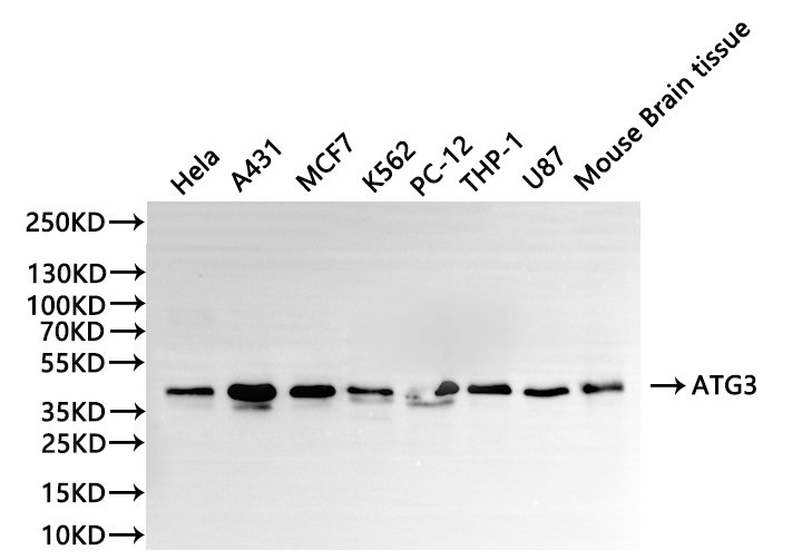
  • Western Blot
    Positive WB detected in: Hela whole cell lysate(30µg), A431 whole cell lysate(30µg), MCF-7 whole cell lysate(30µg), K562 whole cell lysate(30µg), PC-12 whole cell lysate(30µg), THP-1 whole cell lysate(30µg), U-87MG whole cell lysate(30µg), Mouse brain tissue lysate(30µg)
    All lanes: ATG3 antibody at 1:1000
    Secondary
    Goat polyclonal to rabbit IgG at 1/40000 dilution
    Predicted band size: 36 kDa
    Observed band size: 40 kDa
    Exposure time:2min
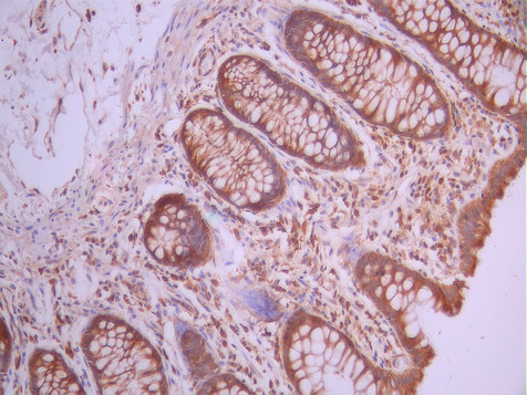
  • IHC image of CSB-RA794271A0HU diluted at 1:100 and staining in paraffin-embedded human small intestine tissue performed on a Leica BondTM system. After dewaxing and hydration, antigen retrieval was mediated by high pressure in a citrate buffer (pH 6.0). Section was blocked with 10% normal goat serum 30min at RT. Then primary antibody (1% BSA) was incubated at 4°C overnight. The primary is detected by a Goat anti-rabbit polymer IgG labeled by HRP and visualized using 0.05% DAB.
  • IHC image of CSB-RA794271A0HU diluted at 1:100 and staining in paraffin-embedded human colorectal cancer performed on a Leica BondTM system. After dewaxing and hydration, antigen retrieval was mediated by high pressure in a citrate buffer (pH 6.0). Section was blocked with 10% normal goat serum 30min at RT. Then primary antibody (1% BSA) was incubated at 4°C overnight. The primary is detected by a Goat anti-rabbit polymer IgG labeled by HRP and visualized using 0.05% DAB.
  • Overlay Peak curve showing Hela cells stained with CSB-RA794271A0HU (red line) at 1:100. The cells were fixed in 4% formaldehyde and permeated by 0.2% TritonX-100 for 10min. Then 10% normal goat serum to block non-specific protein-protein interactions followed by the antibody (1ug/1*106cells) for 45min at 4℃. The secondary antibody used was FITC-conjugated goat anti-rabbit IgG (H+L) at 1/200 dilution for 35min at 4℃.Control antibody (green line) was Rabbit IgG (1ug/1*106cells) used under the same conditions. Acquisition of >10, 000 events was performed.
Have Questions? Leave a Message or Start an on-line Chat

Product Details

Uniprot No.
Target Names
Alternative Names
2610016C12Rik antibody; Apg 3 antibody; APG3 antibody; APG3 autophagy 3 like antibody; APG3 like antibody; APG3, S. cerevisiae, homolog of antibody; APG3-like antibody; APG3L antibody; Apg3p antibody; ATG 3 antibody; ATG3 antibody; ATG3 autophagy related 3 homolog antibody; ATG3 autophagy related 3 homolog (S. cerevisiae) antibody; ATG3_HUMAN antibody; Autophagy 3, S. cerevisiae, homolog of antibody; Autophagy Apg3p/Aut1p like antibody; autophagy related 3 antibody; Autophagy related protein 3 antibody; Autophagy-related protein 3 antibody; DKFZp564M1178 antibody; FLJ22125 antibody; hApg3 antibody; MGC15201 antibody; OTTHUMP00000214547 antibody; OTTHUMP00000214548 antibody; PC3 96 antibody; Protein PC3-96 antibody; Ubiquitin-like-conjugating enzyme ATG3 antibody
Species Reactivity
Human, Mouse
Immunogen
A synthesized peptide from human ATG3 protein
Immunogen Species
Homo sapiens (Human)
Conjugate
Non-conjugated
Clonality
Monoclonal
Isotype
Rabbit IgG
Clone No.
3F10
Purification Method
Affinity-chromatography
Concentration
It differs from different batches. Please contact us to confirm it.
Buffer
Rabbit IgG in 10mM phosphate buffered saline , pH 7.4, 150mM sodium chloride, 0.05% BSA, 0.02% sodium azide and 50% glycerol.
Form
Liquid
Tested Applications
ELISA, WB, IHC, FC
Recommended Dilution
Application Recommended Dilution
WB 1:500-1:5000
IHC 1:50-1:200
FC 1:50-1:200
Troubleshooting and FAQs
Storage
Upon receipt, store at -20°C or -80°C. Avoid repeated freeze.
Lead Time
Basically, we can dispatch the products out in 1-3 working days after receiving your orders. Delivery time maybe differs from different purchasing way or location, please kindly consult your local distributors for specific delivery time.
Usage
For Research Use Only. Not for use in diagnostic or therapeutic procedures.

Customer Reviews and Q&A

 Customer Reviews

There are currently no reviews for this product.

Submit a Review here

Target Background

Function
E2 conjugating enzyme required for the cytoplasm to vacuole transport (Cvt), autophagy, and mitochondrial homeostasis. Responsible for the E2-like covalent binding of phosphatidylethanolamine to the C-terminal Gly of ATG8-like proteins (GABARAP, GABARAPL1, GABARAPL2 or MAP1LC3A). The ATG12-ATG5 conjugate plays a role of an E3 and promotes the transfer of ATG8-like proteins from ATG3 to phosphatidylethanolamine (PE). This step is required for the membrane association of ATG8-like proteins. The formation of the ATG8-phosphatidylethanolamine conjugates is essential for autophagy and for the cytoplasm to vacuole transport (Cvt). Preferred substrate is MAP1LC3A. Also acts as an autocatalytic E2-like enzyme, catalyzing the conjugation of ATG12 to itself, ATG12 conjugation to ATG3 playing a role in mitochondrial homeostasis but not in autophagy. ATG7 (E1-like enzyme) facilitates this reaction by forming an E1-E2 complex with ATG3. Promotes primary ciliogenesis by removing OFD1 from centriolar satellites via the autophagic pathway.
Gene References into Functions
  1. ATG3 was targeted by miR-23a, suggesting that ATG3 is an autophagy-related competing endogenous RNA. PMID: 30007957
  2. Results revealed that miR-16 was significantly downregulated, and ATG3 was significantly upregulated in non-small cell lung carcinoma (NSCLC) patient tissue samples. ATG3 was found to be a direct target of miR-16. PMID: 29138833
  3. miR-155 silencing rescued autophagosome number in Mycobacterium tuberculosis infected dendritic cells and enhanced autolysosome fusion, thereby supporting a previously unidentified role of the miR-155 as inhibitor of ATG3 expression. PMID: 29300789
  4. PTK2 inhibition-induced sustained levels of ATG3 were able to sensitize cancer cells to DNA-damaging agents. PMID: 28103122
  5. Our data demonstrate that HOTAIR promotes the activation of autophagy in HCC cells by upregulating the expression of the autophagy-related genes ATG3 and ATG7. PMID: 27301338
  6. ATG3 upregulation contributes to autophagy induced by the detachment of intestinal epithelial cells from the extracellular matrix, but promotes autophagy-independent apoptosis of the attached cells PMID: 26061804
  7. Hidden Markov models were used to detect protein homology among the flexible regions of Atg3 homologs and importance of conserved regions evaluated by performing affinity capture experiments with human Atg3 deletion constructs; binding studies and competition experiments demonstrate that overlapping sites in the Atg3FR are important for E3 binding and E1 binding. PMID: 24186333
  8. The region of human ATG3 that interacts with ATG7 is precisely identified using nuclear magnetic resonance. PMID: 26043688
  9. ATG3 gene and its gene family may play an important role in transformation of myelodysplastic syndrome. PMID: 24420857
  10. Lipidation of the LC3/GABARAP family of autophagy proteins relies on a membrane-curvature-sensing domain in Atg3. PMID: 24747438
  11. 13 residues of the ATG3 fragment form a short beta-strand followed by an alpha-helix on a surface area that is an exclusive binding site for ATG12. PMID: 24191030
  12. caspase-8 overexpression led to Atg3 degradation and this event depended on caspase-8 enzymatic activity PMID: 22644571
  13. These results unveil a role for ATG12-ATG3 in mitochondrial homeostasis and implicate the ATG12 conjugation system in cellular functions distinct from the early steps of autophagosome formation. PMID: 20723759
  14. Human Apg3p/Aut1p homologue is an authentic E2 enzyme for multiple substrates, GATE-16, GABARAP, and MAP-LC3, and facilitates the conjugation of hApg12p to hApg5p PMID: 11825910
  15. Murine Atg8L/Apg8L modification is mediated by human Atg3. PMID: 16704426

Show More

Hide All

Subcellular Location
Cytoplasm.
Protein Families
ATG3 family
Tissue Specificity
Widely expressed, with a highest expression in heart, skeletal muscle, kidney, liver and placenta.
Database Links

HGNC: 20962

OMIM: 609606

KEGG: hsa:64422

STRING: 9606.ENSP00000283290

UniGene: Hs.477126

icon of phone
Call us
301-363-4651 (Available 9 a.m. to 5 p.m. CST from Monday to Friday)
icon of address
Address
7505 Fannin St., Ste 610, Room 7 (CUBIO Innovation Center), Houston, TX 77054, USA
icon of social media
Join us with

Subscribe newsletter

Leave a message

* To protect against spam, please pass the CAPTCHA test below.
CAPTCHA verification
© 2007-2025 CUSABIO TECHNOLOGY LLC All rights reserved. 鄂ICP备15011166号-1
×
Place an order now

I. Product details

*
*
*
*

II. Contact details

*
*

III. Ship To

*
*
*
*
*
*
*

IV. Bill To

*
*
*
*
*
*
*
*