BTN3A1 Recombinant Monoclonal Antibody

Code CSB-RA002873MA2HU
Size US$210
Order now
Image
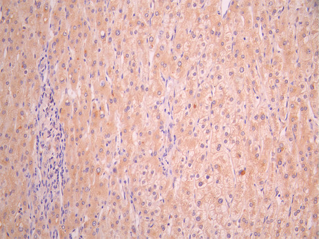
  • IHC image of CSB-RA002873MA2HU diluted at 1:50 and staining in paraffin-embedded human liver cancer performed on a Leica BondTM system. After dewaxing and hydration, antigen retrieval was mediated by high pressure in a citrate buffer (pH 6.0). Section was blocked with 10% normal goat serum 30min at RT. Then primary antibody (1% BSA) was incubated at 4°C overnight. The primary is detected by a Anti-Human lgG, Fcy Fragment Specific labeled by HRP and visualized using 0.05% DAB.
  • Immunofluorescence staining of Hela cell with CSB-RA002873MA2HU at 1:30 ,counter-stained with DAPI. The cells were fixed in 4% formaldehyde and blocked in 10% normal Goat Serum. The cells were then incubated with the antibody overnight at 4°C. The secondary antibody was Fluorescein (FITC) AffiniPure Goat Anti-Human IgG, Fcγ fragment specific.
Have Questions? Leave a Message or Start an on-line Chat

Product Details

Uniprot No.
Target Names
Alternative Names
BT3A1_HUMAN antibody; BTN3A1 antibody; Butyrophilin subfamily 3 member A1 antibody; CD277 antibody
Species Reactivity
Human
Immunogen
Recombinant Human BTN3A1 protein
Immunogen Species
Homo sapiens (Human)
Conjugate
Non-conjugated
Clonality
Monoclonal
Isotype
hIgG1
Clone No.
18F9
Purification Method
Affinity-chromatography
Concentration
It differs from different batches. Please contact us to confirm it.
Buffer
Preservative: 0.03% Proclin 300
Constituents: 50% Glycerol, 0.01M PBS, PH 7.4
Form
Liquid
Tested Applications
ELISA, IHC, IF
Recommended Dilution
Application Recommended Dilution
IHC 1:50-1:200
IF 1:50-1:200
Troubleshooting and FAQs
Storage
Upon receipt, store at -20°C or -80°C. Avoid repeated freeze.
Lead Time
Basically, we can dispatch the products out in 1-3 working days after receiving your orders. Delivery time maybe differs from different purchasing way or location, please kindly consult your local distributors for specific delivery time.
Usage
For Research Use Only. Not for use in diagnostic or therapeutic procedures.

Customer Reviews and Q&A

 Customer Reviews

There are currently no reviews for this product.

Submit a Review here

Target Background

Function
Plays a role in T-cell activation and in the adaptive immune response. Regulates the proliferation of activated T-cells. Regulates the release of cytokines and IFNG by activated T-cells. Mediates the response of T-cells toward infected and transformed cells that are characterized by high levels of phosphorylated metabolites, such as isopentenyl pyrophosphate.
Gene References into Functions
  1. Microtubule-associated protein 4 (MAP4) controls the dynein-dependent transport of BTN3A1 in response to nucleic acid stimulation, thereby identifying MAP4 as an upstream regulator of BTN3A1. Thus, the depletion of either MAP4 or BTN3A1 impairs cytosolic DNA- or RNA-mediated type I IFN responses. PMID: 27911820
  2. results show that ligand binding to BTN3A1 induces a conformational change within the intracellular domain that involves the JM region and is required for full activation. PMID: 28705810
  3. findings show that changes in the juxtamembrane domain of BTN3A1, but not its transmembrane domain, induce a markedly enhanced or reduced gammadelta T cell reactivity PMID: 28461569
  4. These findings support intracellular sensing of prenyl pyrophosphates by BTN3A1 rather than extracellular presentation. PMID: 26475929
  5. Human gamma-delta T cells are activated by cytosolic interactions of BTN3A1 with soluble phosphoantigens and the cytoskeletal adaptor periplakin. PMID: 25637025
  6. evidence that gene(s) on Chr6 in addition to BTN3A1 are mandatory for PAg-mediated activation of Vgamma9Vdelta2 T cells. PMID: 24890657
  7. Ligand binding to the BTN3A1 B30.2 domain affects residues in the juxtamembrane region, suggesting ligand-induced conformational change. PMID: 25065532
  8. These studies demonstrate that internal sensing of changes in pAg metabolite concentrations by BTN3A1 molecules is a critical step in Vgamma9Vdelta2 T cell detection of infection and tumorigenesis. PMID: 24703779
  9. BTN3A1 represents an antigen-presenting molecule required for the activation of Vgamma9Vdelta2 T cells. PMID: 23872678
  10. investigation of role of CD277 in activation/inactivation of T-lymphocytes: Data indicate that modulation of CD277 interaction (with agonists or blocking antibodies) with T-cell antigen receptor can modulate activation/inactivation of T-lymphocytes. PMID: 22767497
  11. BTN3A1 is necessary for Vgamma9Vdelta2 activation and begin to unravel the extracellular events that occur during stimulation through the Vgamma9Vdelta2 T cell receptor. PMID: 22846996
  12. CD277 triggering is not involved in CD16- or NKp46-induced NK cell activation. PMID: 21918970
  13. Results point to a role for CD277 up-regulated by microenvironmental signals in the acquisition of a regulatory phenotype by ovarian tumor-associated myeloid cells. PMID: 21113407

Show More

Hide All

Subcellular Location
Cell membrane; Single-pass type I membrane protein.
Protein Families
Immunoglobulin superfamily, BTN/MOG family
Tissue Specificity
Detected on T-cells, natural killer cells, dendritic cells and macrophages (at protein level). Ubiquitous. Highly expressed in heart, pancreas and lung, Moderately expressed in placenta, liver and muscle.
Database Links

HGNC: 1138

OMIM: 613593

KEGG: hsa:11119

STRING: 9606.ENSP00000289361

UniGene: Hs.191510

icon of phone
Call us
301-363-4651 (Available 9 a.m. to 5 p.m. CST from Monday to Friday)
icon of address
Address
7505 Fannin St., Ste 610, Room 7 (CUBIO Innovation Center), Houston, TX 77054, USA
icon of social media
Join us with

Subscribe newsletter

Leave a message

* To protect against spam, please pass the CAPTCHA test below.
CAPTCHA verification
© 2007-2025 CUSABIO TECHNOLOGY LLC All rights reserved. 鄂ICP备15011166号-1
×
Place an order now

I. Product details

*
*
*
*

II. Contact details

*
*

III. Ship To

*
*
*
*
*
*
*

IV. Bill To

*
*
*
*
*
*
*
*