CALB1 Recombinant Monoclonal Antibody

Code CSB-RA247067A0HU
Size US$210
Order now
Image
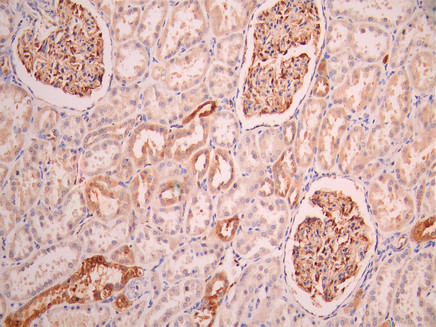
  • IHC image of CSB-RA247067A0HU diluted at 1:100 and staining in paraffin-embedded human kidney tissue performed on a Leica BondTM system. After dewaxing and hydration, antigen retrieval was mediated by high pressure in a citrate buffer (pH 6.0). Section was blocked with 10% normal goat serum 30min at RT. Then primary antibody (1% BSA) was incubated at 4°C overnight. The primary is detected by a Goat anti-rabbit polymer IgG labeled by HRP and visualized using 0.05% DAB.
Have Questions? Leave a Message or Start an on-line Chat

Product Details

Uniprot No.
Target Names
Alternative Names
avian-type antibody; CAB27 antibody; CALB 1 antibody; CALB antibody; CALB1 antibody; CALB1_HUMAN antibody; Calbindin 1 28kDa antibody; Calbindin antibody; Calbindin D28 antibody; D 28K antibody; D-28K antibody; D28K antibody; OTTHUMP00000166027 antibody; OTTHUMP00000225441 antibody; RTVL H protein antibody; Vitamin D dependent calcium binding protein antibody; Vitamin D dependent calcium binding protein avian type antibody; Vitamin D-dependent calcium-binding protein antibody
Species Reactivity
Human
Immunogen
A synthesized peptide from human CALB1 protein
Immunogen Species
Homo sapiens (Human)
Conjugate
Non-conjugated
Clonality
Monoclonal
Isotype
Rabbit IgG
Clone No.
1D1
Purification Method
Affinity-chromatography
Concentration
It differs from different batches. Please contact us to confirm it.
Buffer
Rabbit IgG in 10mM phosphate buffered saline , pH 7.4, 150mM sodium chloride, 0.05% BSA, 0.02% sodium azide and 50% glycerol.
Form
Liquid
Tested Applications
ELISA, IHC
Recommended Dilution
Application Recommended Dilution
IHC 1:50-1:200
Troubleshooting and FAQs
Storage
Upon receipt, store at -20°C or -80°C. Avoid repeated freeze.
Lead Time
Basically, we can dispatch the products out in 1-3 working days after receiving your orders. Delivery time maybe differs from different purchasing way or location, please kindly consult your local distributors for specific delivery time.
Usage
For Research Use Only. Not for use in diagnostic or therapeutic procedures.

Customer Reviews and Q&A

 Customer Reviews

There are currently no reviews for this product.

Submit a Review here

Target Background

Function
Buffers cytosolic calcium. May stimulate a membrane Ca(2+)-ATPase and a 3',5'-cyclic nucleotide phosphodiesterase.
Gene References into Functions
  1. CSF calbindin concentration is a sensitive biomarker of NPC1 disease PMID: 27307499
  2. We identified a significant association between the A allele of rs1805874 and the risk of Parkinson's disease (OR 1.257, 95% CI 1.036-1.524, p = 0.020). Our findings suggest that the A allele of rs1805874 is associated with risk of Parkinson's disease among the Han Chinese. Our results, combined with previous studies, suggest that rs1805874 is associated with Parkinson's disease in East Asians, but not Caucasians. PMID: 27611799
  3. Age-related loss of CB appears to coincide with tangle formation in the BFCN and is associated with the full range of tau pathology, including late appearing epitopes. PMID: 26417681
  4. Increased number of calbindin neurons and fiber labeling both in focal cortical dysplasia (FCD) and non-FCD specimens compared with postmortem controls may be associated with ongoing seizure activity. PMID: 26081613
  5. expressed by different neuron types, both inhibitory (GABAergic) and excitatory (glutamatergic), involved in both intrinsic and extrinsic circuits of the human cerebellar cortex PMID: 24719368
  6. The calbindin-D 28k was decreased in the putamen, the dorsal tier of the substantia nigra along the lower border of the red nucleus, and in the cerebellar cortex in multiple system atrophy. PMID: 23715974
  7. Significantly reduced hippocampal calbindin D28K levels are found in all patients with mitochondrial encephalomyopathy, lactic acidosis and stroke-like syndrome (MELAS). PMID: 22483853
  8. Data show calbindin (CB)- and tyrosine hydroxylase (TH)-cells were distributed in the three striatal territories, and the density of calretinin (CR) and parvalbumin (PV) interneurons were more abundant in the associative and sensorimotor striatum. PMID: 22272358
  9. Dynamics of Ca2+ ions within the solvation shell of calbindin D9k. PMID: 21364983
  10. upregulated in endometriosis tissues PMID: 20452033
  11. cultured syncytiotrophoblast cells express calbindin-D9k and calbindin-D28k genes, which are stimulated by calcitriol PMID: 20214988
  12. Our study shows there is no association between rs1805874 and risk for Parkinson's disease (PD) in four Caucasian populations. This suggests the effect of calbindin on PD risk displays population specificity. PMID: 19674066
  13. calbindin may play a role in development of Purkinje cells located in heterotopias and cerebellar dysgenesias PMID: 20054781
  14. S-nitrosation of Ca(2+)-loaded and Ca(2+)-free recombinant calbindin D(28K) from human brain. PMID: 11994015
  15. binds to myo-inositol-1(or 4)-monophosphatase (IMPase) and increases the phosphatase activity PMID: 12176979
  16. calbindin 1, 28kDa may play a role in Ca2+ transport or cell development in human trophoblast possibly trough Ca2+ buffering PMID: 12606474
  17. The biological function of calbindin D28k appears to be tied to the redox state of its five cysteine residues. PMID: 15641794
  18. Post-translational modifications of human calbindin. PMID: 15741335
  19. Our findings indicate that the expression of parvalbumin or calbindin-D(28k) by subpopulations of dysplastic neurons in cortical tubers is aberrant and denotes dysfunctional inhibitory circuits inept for excitoprotection. PMID: 17156698
  20. aggregates of mutant ataxin-l may recruit calbindin-D28k via tissue transglutaminase 2 mediated covalent crosslinking PMID: 17442486
  21. recombinant human calbindin-D28k was crystallized at 291 K using PEG 3350 as precipitant and a 2.4 A resolution X-ray data set was collected from a single flash-cooled crystal PMID: 18259068
  22. calbindin D(28k) binds Zn2+ to 3 rather strong sites with dissociation constants in low micromolar range. Zn2+-bound state is structurally distinct from Ca2+-bound state, with negative allosteric interaction between Zn- & Ca-binding events. PMID: 18359862
  23. CALB1 is associated with Parkinson's disease independently of alpha-synuclein. PMID: 18568448
  24. No significant differences in cerebellar Purkinje cells in levels of CALB in autism or in the normal cerebellum. PMID: 18587625

Show More

Hide All

Protein Families
Calbindin family
Database Links

HGNC: 1434

OMIM: 114050

KEGG: hsa:793

STRING: 9606.ENSP00000265431

UniGene: Hs.65425

icon of phone
Call us
301-363-4651 (Available 9 a.m. to 5 p.m. CST from Monday to Friday)
icon of address
Address
7505 Fannin St., Ste 610, Room 7 (CUBIO Innovation Center), Houston, TX 77054, USA
icon of social media
Join us with

Subscribe newsletter

Leave a message

* To protect against spam, please pass the CAPTCHA test below.
CAPTCHA verification
© 2007-2025 CUSABIO TECHNOLOGY LLC All rights reserved. 鄂ICP备15011166号-1
×
Place an order now

I. Product details

*
*
*
*

II. Contact details

*
*

III. Ship To

*
*
*
*
*
*
*

IV. Bill To

*
*
*
*
*
*
*
*