CBR1 Recombinant Monoclonal Antibody

Code CSB-RA937256A0HU
Size US$210
Order now
Image
  • Western Blot
    Positive WB detected in: A549 whole cell lysate(30µg), A431 whole cell lysate(30µg)
    All lanes: CBR1 antibody at 1:1000
    Secondary
    Goat polyclonal to rabbit IgG at 1/40000 dilution
    Predicted band size: 30 kDa
    Observed band size: 35 kDa
    Exposure time:20s
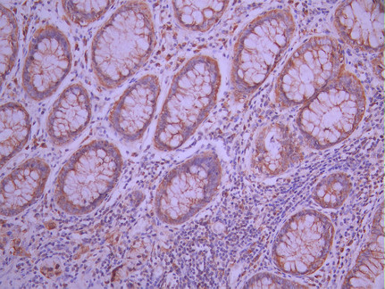
  • IHC image of CSB-RA937256A0HU diluted at 1:100 and staining in paraffin-embedded human small intestine tissue performed on a Leica BondTM system. After dewaxing and hydration, antigen retrieval was mediated by high pressure in a citrate buffer (pH 6.0). Section was blocked with 10% normal goat serum 30min at RT. Then primary antibody (1% BSA) was incubated at 4°C overnight. The primary is detected by a Goat anti-rabbit polymer IgG labeled by HRP and visualized using 0.05% DAB.
  • Immunofluorescence staining of HeLa cell with CSB-RA937256A0HU at 1:50 , counter-stained with DAPI. The cells were fixed in 4% formaldehyde, permeabilized using 0.2% Triton X-100 and blocked in 10% normal Goat Serum. The cells were then incubated with the antibody overnight at 4°C. The secondary antibody was Alexa Fluor 488-congugated AffiniPure Goat Anti-Rabbit IgG(H+L).
  • Overlay Peak curve showing A431 cells stained with CSB-RA937256A0HU (red line) at 1:100. The cells were fixed in 4% formaldehyde and permeated by 0.2% TritonX-100 for 10min. Then 10% normal goat serum to block non-specific protein-protein interactions followed by the antibody (1ug/1*106cells) for 45min at 4℃. The secondary antibody used was FITC-conjugated goat anti-rabbit IgG (H+L) at 1/200 dilution for 35min at 4℃.Control antibody (green line) was Rabbit IgG (1ug/1*106cells) used under the same conditions. Acquisition of >10, 000 events was performed.
Have Questions? Leave a Message or Start an on-line Chat

Product Details

Uniprot No.
Target Names
CBR1
Alternative Names
15 hydroxyprostaglandin dehydrogenase [NADP+] antibody; 15-hydroxyprostaglandin dehydrogenase [NADP+] antibody; Carbonyl reductase [NADPH] 1 antibody; Carbonyl Reductase 1 antibody; CBR 1 antibody; CBR1 antibody; CBR1_HUMAN antibody; CRN antibody; NADPH dependent carbonyl reductase 1 antibody; NADPH-dependent carbonyl reductase 1 antibody; Prostaglandin 9 ketoreductase antibody; Prostaglandin 9-ketoreductase antibody; Prostaglandin E(2) 9 reductase antibody; Prostaglandin-E(2) 9-reductase antibody; SDR21C1 antibody
Species Reactivity
Human
Immunogen
A synthesized peptide from human CBR1 protein
Immunogen Species
Homo sapiens (Human)
Conjugate
Non-conjugated
Clonality
Monoclonal
Isotype
Rabbit IgG
Clone No.
9A11
Purification Method
Affinity-chromatography
Concentration
It differs from different batches. Please contact us to confirm it.
Buffer
Rabbit IgG in 10mM phosphate buffered saline , pH 7.4, 150mM sodium chloride, 0.05% BSA, 0.02% sodium azide and 50% glycerol.
Form
Liquid
Tested Applications
ELISA, WB, IHC, IF, FC
Recommended Dilution
Application Recommended Dilution
WB 1:500-1:5000
IHC 1:50-1:200
IF 1:50-1:200
FC 1:50-1:200
Troubleshooting and FAQs
Storage
Upon receipt, store at -20°C or -80°C. Avoid repeated freeze.
Lead Time
Basically, we can dispatch the products out in 1-3 working days after receiving your orders. Delivery time maybe differs from different purchasing way or location, please kindly consult your local distributors for specific delivery time.
Usage
For Research Use Only. Not for use in diagnostic or therapeutic procedures.

Customer Reviews and Q&A

 Customer Reviews

There are currently no reviews for this product.

Submit a Review here

Target Background

Function
NADPH-dependent reductase with broad substrate specificity. Catalyzes the reduction of a wide variety of carbonyl compounds including quinones, prostaglandins, menadione, plus various xenobiotics. Catalyzes the reduction of the antitumor anthracyclines doxorubicin and daunorubicin to the cardiotoxic compounds doxorubicinol and daunorubicinol. Can convert prostaglandin E to prostaglandin F2-alpha. Can bind glutathione, which explains its higher affinity for glutathione-conjugated substrates. Catalyzes the reduction of S-nitrosoglutathione.
Gene References into Functions
  1. This study examined the impact of the functional single nucleotide polymorphism CBR1 rs9024 on the bioactivation of loxoprofen in a collection of human liver samples and tumor cell lines. PMID: 29851133
  2. CRB1 is an efficient catalyst for the reduction of glutathionylated aldehydes derived from lipid peroxidation. PMID: 27562619
  3. The ability of human carbonyl reductase 1 to efficiently catalyze the reduction of glutathionylated aldehydes derived from lipid peroxidation, that in the case of glutathionylated-4-hydroxyalkanals is associated to the ability to oxidize the hemiacetal hydroxyl group PMID: 28274719
  4. Data suggest that fatty acids and acyl-CoAs bind competitively with respect to substrate binding to carbonyl reductase 1 (CBR1), an enzyme involved in first-pass drug metabolism in intestinal mucosa; inhibition of CBR1 by these products of digestion may lead to food-drug interactions. PMID: 28450226
  5. AKR1C3 is the primary enzyme and CBR1 is a minor enzyme responsible for warfarin reduction in human liver cytosol. PMID: 27055738
  6. These results suggest that CR1 induces apoptosis by activating the caspase pathway via binding to TNFR1. PMID: 26499922
  7. Results demonstrate a trend toward decreased functional expression of selective hepatic reductases in ESRD livers. PMID: 26282591
  8. Critical insights into the substrate selectivity of hCBR1 and the interaction between hCBR1 and glutathione. PMID: 26381805
  9. Up-Regulation of Carbonyl Reductase 1 Renders Development of Doxorubicin Resistance in Human Gastrointestinal Cancers PMID: 26328486
  10. CBR1 decreases promoted tumor proliferation and growth as well as invasion and metastasis; CBR1 has potential to become a new candidate for molecular targeting therapy. PMID: 25572536
  11. Inhibition of CBR1 may increase the efficacy of daunorubicin in cancer tissue. PMID: 25541467
  12. Protein products of AKR1C1, AKR1C2, AKR7A3, CYP3A4, and carbonyl reductase (CBR1) were found in tumors and those of AKR1C1, AKR7A3, and CBR1 correlated with their transcript levels. PMID: 25526449
  13. we suggest that PEP-1-CBR1 protein may be a therapeutic agent for the treatment of ischemic injuries as well as oxidative-stress-induced cell damage and death. PMID: 24440593
  14. The stimulatory effect of cortisol on CBR1 expression may partly explain the concurrent increases of cortisol and prostaglandin PGF2alpha in human amnion tissue prior to the onset of labor PMID: 24654784
  15. Nrf2 is a novel transcriptional regulator of CBR1 genes in humans. PMID: 23247010
  16. GSNO-induced covalent modification of cysteine residues affects the kinetic mechanism of CBR1. PMID: 23295225
  17. regulation of human CBR1 expression by hsa-miR-574-5p and hsa-miR-921 depends upon rs9024 genotype status PMID: 23133646
  18. This pilot study suggests that CBR1 RNA expression may be helpful in identifying AML patients at risk of developing resistance or toxicity to daunorubicin due to increased formation of daunorubicinol. PMID: 22562609
  19. CBR1 regulates cancer cell invasion in endometrial adenocarcinomas by regulating the epithelial mesenchymal transition PMID: 22542806
  20. Polymorphisms in CBR1 gene did not increase risk of cardiomyopathy after anthracycline treatment of childhood cancers. PMID: 22124095
  21. a physiological role of CBR1, but not for CBR3, in S-nitrosoglutathione reduction and thus ultimately in regulation of NO signaling PMID: 21256830
  22. This protein has been found differentially expressed in thalami from patients with schizophrenia. PMID: 20471030
  23. analysis of the structural basis for substrate specificity in human monomeric carbonyl reductases CBR1 PMID: 19841672
  24. the functional genetic determinant of CBR1 activity toward relevant physiological and pharmacological substrates PMID: 17344335
  25. The functional characterization of the promoter of CBR1 is reported. PMID: 17569794
  26. Carbonyl reductase-1 (CBR1), microsomal prostaglandin E synthase-1 and 2 (mPGES-1, mPGES-2), cytosolic prostaglandin E synthase (cPGES), aldoketoreductase (AKR1C1) and prostaglandin F synthase (AKR1C3) were all expressed in hair follicles. PMID: 17697149
  27. These results suggested that hCBR3 and hCBR1 play distinct physiological roles. PMID: 18493841
  28. Human carbonyl reductase 1 is an S-nitrosoglutathione reductase PMID: 18826943
  29. CBR1 polymorphisms have a significant influence on the pharmacokinetics of doxorubicin in Asian breast cancer patients. PMID: 19016765
  30. the nonsynonymous single nucleotide polymorphisms generating mutations OF CBR1 may alter bioavailability of anthracyclines in cancer patients PMID: 19204081

Show More

Hide All

Subcellular Location
Cytoplasm.
Protein Families
Short-chain dehydrogenases/reductases (SDR) family
Tissue Specificity
Expressed in kidney (at protein level).
Database Links

HGNC: 1548

OMIM: 114830

KEGG: hsa:873

STRING: 9606.ENSP00000290349

UniGene: Hs.88778

icon of phone
Call us
301-363-4651 (Available 9 a.m. to 5 p.m. CST from Monday to Friday)
icon of address
Address
7505 Fannin St., Ste 610, Room 7 (CUBIO Innovation Center), Houston, TX 77054, USA
icon of social media
Join us with

Subscribe newsletter

Leave a message

* To protect against spam, please pass the CAPTCHA test below.
CAPTCHA verification
© 2007-2025 CUSABIO TECHNOLOGY LLC All rights reserved. 鄂ICP备15011166号-1
×
Place an order now

I. Product details

*
*
*
*

II. Contact details

*
*

III. Ship To

*
*
*
*
*
*
*

IV. Bill To

*
*
*
*
*
*
*
*