CCR1 Recombinant Monoclonal Antibody

Code CSB-RA004839MA1HU
Size US$210
Order now
Image
  • The Binding Activity of Human CCR1 with Anti-CCR1 Recombinant antibody
    Activity: Measured by its binding ability in a functional ELISA. Immobilized Human CCR1(CSB-MP004839HU) at 10 μg/mL can bind Anti-CCR1 recombinant antibody. The EC50 is 9.690-10.94 ng/mL. The VLPs (CSB-MP3838) is negative control.
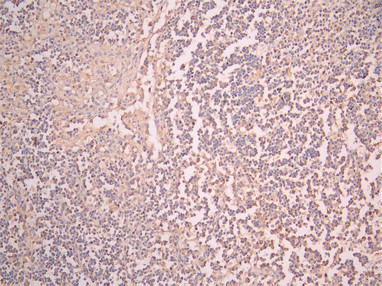
  • IHC image of CSB-RA004839MA1HU diluted at 1:50 and staining in paraffin-embedded human lymph node tissue performed on a Leica BondTM system. After dewaxing and hydration, antigen retrieval was mediated by high pressure in a citrate buffer (pH 6.0). Section was blocked with 10% normal goat serum 30min at RT. Then primary antibody (1% BSA) was incubated at 4°C overnight. The primary is detected by a Anti-Human lgG, Fcy Fragment Specific labeled by HRP and visualized using 0.05% DAB.
Have Questions? Leave a Message or Start an on-line Chat

Product Details

Uniprot No.
Target Names
Alternative Names
C C chemokine receptor type 1 antibody; C C CKR 1 antibody; C-C chemokine receptor type 1 antibody; C-C CKR-1 antibody; CC CKR 1 antibody; CC-CKR-1 antibody; CCR 1 antibody; CCR-1 antibody; CCR1 antibody; CCR1_HUMAN antibody; CD 191 antibody; CD191 antibody; CD191 antigen antibody; Chemokine (C C motif) receptor 1 antibody; Chemokine C C motif receptor 1 antibody; CKR 1 antibody; CKR1 antibody; CMKBR 1 antibody; CMKBR1 antibody; CMKR 1 antibody; CMKR1 antibody; HM145 antibody; LD78 receptor antibody; Macrophage inflammatory protein 1 alpha /Rantes receptor antibody; Macrophage inflammatory protein 1 alpha receptor antibody; Macrophage inflammatory protein 1-alpha receptor antibody; Mip 1a R antibody; MIP 1alpha R antibody; MIP-1alpha-R antibody; MIP1aR antibody; RANTES R antibody; RANTES receptor antibody; RANTES-R antibody; SCYAR1 antibody
Species Reactivity
Human
Immunogen
Recombinant Human CCR1 protein
Immunogen Species
Homo sapiens (Human)
Conjugate
Non-conjugated
Clonality
Monoclonal
Isotype
hIgG1
Clone No.
15B4
Purification Method
Affinity-chromatography
Concentration
It differs from different batches. Please contact us to confirm it.
Buffer
Preservative: 0.03% Proclin 300
Constituents: 50% Glycerol, 0.01M PBS, PH 7.4
Form
Liquid
Tested Applications
ELISA, IHC
Recommended Dilution
Application Recommended Dilution
ELISA 1:5000-1:50000
IHC 1:50-1:200
Troubleshooting and FAQs
Storage
Upon receipt, store at -20°C or -80°C. Avoid repeated freeze.
Lead Time
Basically, we can dispatch the products out in 1-3 working days after receiving your orders. Delivery time maybe differs from different purchasing way or location, please kindly consult your local distributors for specific delivery time.
Usage
For Research Use Only. Not for use in diagnostic or therapeutic procedures.

Customer Reviews and Q&A

 Customer Reviews

There are currently no reviews for this product.

Submit a Review here

Target Background

Function
Receptor for a C-C type chemokine. Binds to MIP-1-alpha, MIP-1-delta, RANTES, and MCP-3 and, less efficiently, to MIP-1-beta or MCP-1 and subsequently transduces a signal by increasing the intracellular calcium ions level. Responsible for affecting stem cell proliferation.
Gene References into Functions
  1. The polymorphism of CCR1 rs3733096 and CCL5 rs3817656 are associated with spontaneous clearance of hepatitis C virus in Chinese Han population. PMID: 29703961
  2. Data suggest that CCR1 gene may be a putative marker of molecular activity of Crohn's disease. PMID: 29556615
  3. Results reveal that CCR1 expression is positively correlated with OPN expression in hepatocellular carcinoma cells, and the patients with high levels of both OPN and CCR1 have the most dismal prognosis. Study also, shows that steopontin upregulates CCR1 in HCC cells and, that CCR1 is essential for osteopontin-induced HCC metastasis. PMID: 29285854
  4. Expression of CCR1 was measured in retrospective clinical specimens of colorectal cancer lung metastases. CCR1+ cells accumulated around the CCL15-positive colorectal cancer cells in the lung, but few around the CCL15-negative ones. PMID: 27492974
  5. during renal transplantation, CD4+ and CD8+ T cells expressing CCR1 were increased in patients who developed renal allograft dysfunction PMID: 27234431
  6. MIP-1alpha receptor antagonism can significantly reduce T cell migration to the secreted factors from Oesophagogastric adenocarcinoma omentum and liver. PMID: 27046081
  7. These data suggest that CCR1/CCR2B could be involved in clearing EBV-infected latency III B cells in immunocompetent individuals via directing the migration of these cells and attracting the chemokines-expressing immune cells. PMID: 28892735
  8. Data suggest that the interplay between CCR1 upregulation and inactivation of CXCR4 signaling (the CCR1/CXCR4 axis) drives the egress of multiple myeloma PCs from the bone marrow, leading to disease dissemination. PMID: 28855206
  9. Basophil migration into skin lesions of Systemic Lupus Erythematosus patients were observed, but not in normal skin tissue. This migration was related to the upregulation of chemokine receptors CCR1 and CCR2 on basophils. PMID: 28954264
  10. Study indicates that two distinct micro-environmental factors, CD40L and Mphis, signal via CCR1 to induce AKT activation resulting in translational stabilization of MCL-1, and hence can contribute to CLL cell survival. PMID: 28192408
  11. CCL15 activation of CCR1 plays critical roles in hepatocellular carcinoma metastasis. PMID: 26501423
  12. CCL15-positive primary colorectal cancers recruited approximately 2.2 times more numbers of CCR1(+) cells. PMID: 26341919
  13. The residues on the N-loop and beta-sheets of MIP-1a are close to both CCR1 and CCR5, and those in the C-terminal helix region are close to CCR5. PMID: 26472202
  14. Results highlight the potential role of CCR genes in narcolepsy and support the hypothesis that patients with narcolepsy have impaired immune function. PMID: 25986216
  15. CCR1, KLRC4, IL12A-AS1, STAT4, and ERAP1 are bona fide susceptibility genes for Behcet's disease. PMID: 26097239
  16. This study reveled that CCR1 having a central role in the bipolar disease and schizophrenia manifestation. PMID: 25487697
  17. Identifying bias in CCR1 antagonists using radiolabelled binding, receptor internalization, beta-arrestin translocation and chemotaxis assays PMID: 24990525
  18. These results suggest that increased CC-chemokine receptor expression may play a role in the pathogenesis of adenomyosis. PMID: 24599574
  19. Our results confirm the strong influence of previous immunity in subsequent dengue infections, and confer a possible pathogenic role to CCR1 and CCL3 in dengue disease and a possible protective role for CCL5, probably through CCR5 interaction. PMID: 24157267
  20. cross-desensitization of CCR1 by FPR1 was associated with CCR1 phosphorylation and moderate reduction of CCR1 cell-surface expression. In contrast, CCR2 was not phosphorylated or internalized after FPR1 activation. PMID: 24778447
  21. Data suggest that CCL13 binds to several chemokine receptors (CCR1, CCR2, and CCR3), allowing CCL13 to elicit different effects on its target cells of the immune system. CCL13/CCR1 signal transduction is key step in asthma progression. [REVIEW] PMID: 23846739
  22. the interaction of CCR1 with CCL5 caused by increased expression of CCR1 promotes invasion of PC3 Castration-refractory prostate cancer cells by increasing secretion of MMPs 2 and 9 and by activating ERK and Rac signaling. PMID: 23876400
  23. CCR1.beta-arrestin-2 complex may be related to a potential scavenging function of the receptor, which may be important for maintenance of chemokine gradients and receptor responsiveness in complex fields of chemokines during inflammation. PMID: 24056371
  24. Increased expression of CCR1 and CCR3 chemokine receptors may, in accord with various chemokines, contribute to the pathogenesis of nasal polyposis. PMID: 23054685
  25. Cigarette smoking could increase the expression of CCR1 on the inflammatory cells. Both CCR1 and CCR5 expressions on the inflammatory cells in induced sputum could be associated with COPD severity. PMID: 23217400
  26. Elevated immunoreactivity of RANTES and CCR1 correlate with the severity of stages and dysmenorrhea in women with deep infiltrating endometriosis. PMID: 23219091
  27. Signaling via CCL5/CCR1 axis triggers migration of adipose tissue derived stromal cells, activates ERK and AKT kinases, stimulates NFkappaB transcriptional activity and culminates in increased proliferation of CCR1(+) cells. PMID: 23276697
  28. These findings suggest that the increased expression of CCL3, CCR1, and CCR5 may influence the immune response in RAS by T(H)1 cytokine polarization. PMID: 22727097
  29. The expression of chemokine receptor CCR1 on the immune cells in orbital tissue of thyroid associated ophthalmopathy patients is elevated. PMID: 22650026
  30. The CCL3-CCR1 axis may play an important role in promoting macrophage infiltration in degenerated, herniated discs. PMID: 23233369
  31. CCR1-mediated STAT3 tyrosine phosphorylation and CXCL8 expression in THP-1 macrophage-like cells involve pertussis toxin-insensitive Ga14/16 signaling and IL-6 release. PMID: 23125416
  32. ten SNPs, located in 3'UTR, 5'UTR in CCR1 or 5'UTR in CCR3, were significantly associated with Behcet's disease PMID: 22829007
  33. Data show parathyroid hormone-related protein (PTHrP) and macrophage inflammatory protein-1alpha (MIP-1alpha) exert antitumor effect presumably by increasing sensitivity to apoptotic signals through modulation of transcription and apoptosis factors in T-cells. PMID: 21942940
  34. a bis-quinoline compound, (7-chloro-N-(4-(7-chloroquinolin-4-ylamino)butyl)quinolin-4-amine; RE-660) has C-C chemokine receptor type 1 (CCR1)-agonistic properties PMID: 22104149
  35. The expression of chemokine receptor CCR1 is higher in the orbital fibroblasts of patients with thyroid associated ophthalmopathy than in normal controls. PMID: 22007486
  36. TLR2 negatively regulates CCR1, CCR2, and CCR5 on blood monocytes by activating chemokine-dependent down-modulation and providing a molecular mechanism for inhibiting monocyte migration after pathogen recognition. PMID: 21148810
  37. Above median expression of CXCR2, CXCR3 and CCR1 in the tumour islets is associated with increased survival in non-small cell carcinoma, and expression of CXCR3 correlates with increased macrophage and mast cell infiltration in the tumour islets. PMID: 20429924
  38. CCR1 antagonist, BX471, did not significantly alter ICAM-3 expression in relapsing-remitting multiple sclerosis patients. PMID: 20086017
  39. These data suggest that CCR1 may be useful for lymphoma classification and support a role for chemokine signaling in the pathogenesis of hematolymphoid neoplasia. PMID: 20154287
  40. CCR1 were genes activated in late endometrial endometrioid carcinoma (stages III-IV). PMID: 20015385
  41. The expression CCR1 in colorectal carcinoma is correlated with lymph node metastasis. PMID: 19664396
  42. agonistic effect of truncated leukotactin-1 on receptor activity PMID: 11832479
  43. We determined that human serum contains a molecule that suppresses RANTES (CCL5) binding to endothelial cells, PBMC and CHO cells. PMID: 11920567
  44. CCR1, CCR6, and CXCR6 are preferentially expressed by the low cytokine-producing CD8 and CD4(-)CD8(-) subsets of natural killer T-cells. PMID: 12070001
  45. chronic hepatitis C, but not hepatitis B, infection alters surface expression of CCR1 and CCR5 in T cells, resulting in lower CC chemokine responsiveness. PMID: 12085329
  46. Selective CCL5/RANTES-induced mast cell migration through interactions with chemokine receptors PMID: 12270118
  47. Potential interaction between this protein and it ligand, CCL3 is induced by endogenously produced interleukin-1 in human hepatomas. PMID: 12651617
  48. Efficient leukocyte arrest in flow but not transmigration may thus require the presentation of RANTES oligomers to bridge surface-bound RANTES and CCR1. PMID: 12763925
  49. Eosinophil CCR1 expression is non-normally distributed in atopics, although higher CCR1 expression levels are not predictive of a diagnosis of atopy or atopic disease. PMID: 12794150
  50. Trophoblasts acquire CCR1 as they differentiate to an invasive phenotype at the villus-anchoring sites. PMID: 14530297

Show More

Hide All

Subcellular Location
Cell membrane; Multi-pass membrane protein.
Protein Families
G-protein coupled receptor 1 family
Tissue Specificity
Widely expressed in different hematopoietic cells.
Database Links

HGNC: 1602

OMIM: 601159

KEGG: hsa:1230

STRING: 9606.ENSP00000296140

UniGene: Hs.301921

CUSABIO guaranteed quality
icon of phone
Call us
301-363-4651 (Available 9 a.m. to 5 p.m. CST from Monday to Friday)
icon of address
Address
7505 Fannin St., Ste 610, Room 7 (CUBIO Innovation Center), Houston, TX 77054, USA
icon of social media
Join us with

Subscribe newsletter

Leave a message

* To protect against spam, please pass the CAPTCHA test below.
CAPTCHA verification
© 2007-2026 CUSABIO TECHNOLOGY LLC All rights reserved. 鄂ICP备15011166号-1
Place an order now

I. Product details

*
*
*
*

II. Contact details

*
*

III. Ship To

*
*
*
*
*
*
*

IV. Bill To

*
*
*
*
*
*
*
*