CD46 Recombinant Monoclonal Antibody

Code CSB-RA693713A0HU
Size US$210
Order now
Image
  • Flow cytometric analysis of CD46 expression in HepG2 cells using CD46 antibody. Green, isotype control; red, CD46.
  • Immunocytochemical staining of HepG2 cells with CD46 antibody. Nuclei were stained blue with DAPI; CD46 was stained magenta with Alexa Fluor® 647. Images were taken using Leica stellaris 5. Protein abundance based on laser Intensity and smart gain: Low. Scale bar, 20 μm.
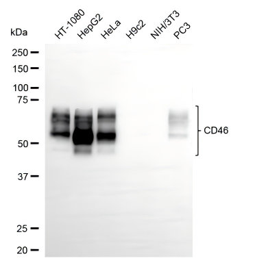
  • Western blotting analysis using CD46 antibody. Total cell lysates (30 μg) from various cell lines were loaded and separated by SDS-PAGE. The blot was incubated with CD46 antibody and HRP-conjugated goat anti-rabbit secondary antibody respectively.
Have Questions? Leave a Message or Start an on-line Chat

Product Details

Uniprot No.
Target Names
Alternative Names
CD46; CD46 Molecule; TLX; TRA2.10; MIC10; MCP; Membrane Cofactor Protein (CD46, Trophoblast-Lymphocyte Cross-Reactive Antigen); Antigen Identified By mAb TRA-2-10; Trophoblast-Lymphocyte Cross-Reactive Antigen; CD46 Molecule, Complement Regulatory Protein; CD46 Antigen, Complement Regulatory Protein; Trophoblast Leukocyte Common Antigen; Membrane Cofactor Protein; MGC26544; Complement Membrane Cofactor Protein; Trophoblast Leucocyte Common Antigen; Measles Virus Receptor; CD46 Antigen; AHUS2
Species Reactivity
Human
Immunogen
Recombinant Human CD46 protein
Immunogen Species
Homo sapiens (Human)
Conjugate
Non-conjugated
Clonality
Monoclonal
Isotype
Rabbit IgG
Clone No.
21A2
Purification Method
Affinity-chromatography
Concentration
It differs from different batches. Please contact us to confirm it.
Buffer
Rabbit IgG in PBS (pH 7.4) containing 50% glycerol, and 0.02% sodium azide.
Form
Liquid
Tested Applications
ELISA, WB, FC, ICC
Recommended Dilution
Application Recommended Dilution
WB 1:1000-1:5000
FC 1:200-1:2000
ICC 1:100-1:1000
Troubleshooting and FAQs
Storage
Upon receipt, store at -20°C or -80°C. Avoid repeated freeze.
Lead Time
Basically, we can dispatch the products out in 1-3 working days after receiving your orders. Delivery time maybe differs from different purchasing way or location, please kindly consult your local distributors for specific delivery time.
Usage
For Research Use Only. Not for use in diagnostic or therapeutic procedures.

Customer Reviews and Q&A

 Customer Reviews

There are currently no reviews for this product.

Submit a Review here

Target Background

Function
Acts as a cofactor for complement factor I, a serine protease which protects autologous cells against complement-mediated injury by cleaving C3b and C4b deposited on host tissue. May be involved in the fusion of the spermatozoa with the oocyte during fertilization. Also acts as a costimulatory factor for T-cells which induces the differentiation of CD4+ into T-regulatory 1 cells. T-regulatory 1 cells suppress immune responses by secreting interleukin-10, and therefore are thought to prevent autoimmunity.; (Microbial infection) A number of viral and bacterial pathogens seem to bind MCP in order to exploit its immune regulation property and directly induce an immunosuppressive phenotype in T-cells.; (Microbial infection) Acts as a receptor for Adenovirus subgroup B2 and Ad3.; (Microbial infection) Acts as a receptor for cultured Measles virus.; (Microbial infection) Acts as a receptor for Herpesvirus 6/HHV-6.; (Microbial infection) May act as a receptor for pathogenic bacteria Neisseria and Streptococcus pyogenes.
Gene References into Functions
  1. Only type-I interferon restricts viral replication of attenuated Measles virus (MV) Schwarz strain in mice, independently of the presence of hCD46 receptor. PMID: 30199752
  2. CD46 levels were positive in 3.3% (n = 3) and negative in 96.7% (n = 90). Conclusion This study does not support the theory of measles virus as the cause of otosclerosis. PMID: 28971731
  3. Findings demonstrate that CD46 is a key inhibitor of complement activation whose downregulation may be involved in the pathogenesis of bullous pemphigoid. PMID: 28273946
  4. these data suggest a possible mechanism underlying the regulatory function of CD46 on T cells. PMID: 29066539
  5. study demonstratede that MMP-9-mediated shedding of CD46 is an integral part of autocrine Th1 regulation and that this pathway is dysregulated in T cells from patients with systemic lupus erythematosus PMID: 28444759
  6. the cell surface expression level of CD46 was markedly higher in patient myeloma cells with 1q gain than in those with normal 1q copy number. PMID: 27841764
  7. Our findings reveal a novel role of CD46 in accelerating inflammatory responses upon meningococcal infection or LPS stimulation by regulating the functional polarization and survival of macrophages. PMID: 27794168
  8. study reveals common CD46 and IFI44L SNPs associated with measles-specific humoral immunity, and highlights the importance of alternative splicing/virus cellular receptor isoform usage as a mechanism explaining inter-individual variation in immune response after live measles vaccine PMID: 28289848
  9. study showed no genotype differences in CD46 IVS1-1724 C>G Single nucleotide polymorphis (SNP) between Recurrent Spontaneous Abortion and fertile women PMID: 27921411
  10. Isoforms of CD46 impact on HHV-6B infection and thereby in part explain the distinct tropism of HHV-6AGS and HHV-6BPL1. PMID: 28056415
  11. This study suggests that the promoter polymorphism (rs2796267, -496 A/G) CD46 gene may be related to susceptibility of acute renal allograft rejection in Korean kidney transplantation recipients. PMID: 27234742
  12. provides insight into CD46 alternative splicing regulation with implications for its function in the immune system and for genetic disease PMID: 27226545
  13. CD46 controls both Th1 activation and regulation via a miR-150-dependent mechanism. PMID: 26746193
  14. Data show that CD28 antigen costimulation modulates CD46 antigen surface expression on activated T cells. PMID: 25787182
  15. This review summarizes our current knowledge of disease-associated mutations in this complement inhibitor(CD46). PMID: 26054645
  16. It was not discover any association between A304V or other CD46 SNPs and preeclampsia. PMID: 25710174
  17. gene deficiency results in defective Th1 cell induction due to failure in metabolic reprogramming PMID: 26084023
  18. Each mutant C3b bound MCP at reduced affinity, providing a molecular basis for its reduced cofactor activity in atypical hemolytic uremic syndrome. PMID: 25879158
  19. The mutations in the regulators CFH, CFI and MCP involve loss-of-function, whereas those for C3 involve gain-of-function. PMID: 25188723
  20. Results suggest a possible role for multidrug resistance genes ABCA10 and ABCA6 in follicular lymphoma survival and add to the evidence that genetic variation in CD46 and IL8 may have prognostic implications follicular lymphoma. PMID: 25294155
  21. Expression of membrane complement regulators, CD46, CD55 and CD59, in mesothelial cells of patients on peritoneal dialysis therapy. PMID: 25725314
  22. Functional characterization of two novel non-synonymous alterations in CD46 and a Q950H change in factor H found in atypical hemolytic uremic syndrome patients. PMID: 25733390
  23. Transgenic hCD46/HLA-E expression reduced humoral xenoresponses since all were downregulated during ex vivo xenoperfusion of hCD46/HLA-E double transgenic pig forelimbs with human blood. PMID: 24635052
  24. The expression levels of CD46, CD55, and CD59 were significantly higher in colon cancer tissues compared with the normal adjacent colon tissues. PMID: 24978917
  25. The present study suggests that CD46 plays an important role in hepatocellular carcinoma carcinogenesis by regulating let-7b and miR-17. PMID: 24297460
  26. Data show that calcitriol affects the CD46 pathway, and that it promotes anti-inflammatory responses mediated by CD46. PMID: 23144765
  27. We found that CD46 and CD59 were decreased in retinal pigment epithelium cells in part, by their release in exosomes and apoptotic particles. PMID: 24664706
  28. C3aR and CD46 activation via intrinsic generation of their respective ligands is an integral part of human Th1 (but not Th2) immunity. PMID: 24321396
  29. patients with MCP mutations only have a good long-term prognosis with 15% to 20% disease recurrence after KTx PMID: 24247905
  30. Case Report: patient with atypical haemolytic uremic syndrome with combined membrane cofactor protein CD46 and complement factor I mutations undergoing successful kidney transplantation. PMID: 23519521
  31. Mutations in membrane cofactor protein is associated with end-stage renal disease in a patient with hemolytic uremic syndrome caused by infections by Escherichia coli strains producing Shiga-like toxins. PMID: 23731345
  32. Data show that increased CD35, CD46, CD55 and CD59 on neutrophils and monocytes present potent markers of bacterial infection and viral infection. PMID: 23376460
  33. Thus, while nectin-4 and CD46 interact functionally with the measles virus H protein beta4-beta5 hydrophobic groove, SLAM merely covers it. PMID: 23760251
  34. HCV incorporates selectively CD59, but not CD46 or CD55, in its envelope to gain resistance to CML in serum of infected individuals PMID: 23049856
  35. Hepatitis B virus X protein protects hepatoma and hepatic cells from complement-dependent cytotoxicity by up-regulation of CD46. PMID: 23391762
  36. The alternative pathway of complement may play a role in the pathogenesis of HELLP syndrome. PMID: 22594569
  37. The aim of this study was to determine the transcript and protein levels of complement decay-accelerating factor (DAF) and membrane cofactor protein (MCP) in the placentas of women with acquired and inherited thrombophilia. PMID: 23042280
  38. we found that CD46 regulated the expression of Notch receptors and ligands during T cell activation and that disturbance of the CD46-Notch crosstalk impeded induction of IFN-alpha and switching to IL-10. PMID: 23086448
  39. Data show that mutations in CD46 and CFH did not predispose to systemic lupus erythematosus (SLE) or nephritis but was associated with earlier onset of nephritis. PMID: 22171659
  40. mumps virus (MuV) and vesicular stomatitis virus (VSV) assemble to include CD46 and CD55, two host cell regulators which inhibit propagation of complement pathways through distinct mechanisms. PMID: 22761385
  41. Prostaglandin (PG)E2 has a novel role in CD46 functions, which might at least partly explain the diverse roles of PGE2 in T cell functions. PMID: 22544928
  42. Three CD46 variants (rs7144, rs11118580, and rs2724384) were significantly associated with measles virus-specific IgG levels (P = 0.008, P = 0.026, and P = 0.018, respectively). PMID: 22357652
  43. in systemic lupus erythematosus, the expression of leukocyte MCP at the mRNA level is closely related to disease activity PMID: 22247341
  44. Data suggest that HBXIP upregulates CD46, CD55 and CD59 through p-ERK1/2/NF-kappaB signaling to protect breast cancer from complement-dependent cytotoxicity. PMID: 22293503
  45. The strongest associations replicated in both cohorts were found for four SNPs within CD46 (p-value<10(-3)) and five SNPs within CFH (p-value<5x10(-3)). PMID: 22153652
  46. Subjects previously immunized with measles-mumps-rubella vaccine were genotyped for 66 candidate single nucleotide polymorphisms in the CD46, SLAM and CD209 genes. PMID: 22086389
  47. Mutations in the MCP gene seems to be a common etiology of atypical hemolytic uremic syndrome in Czech patients PMID: 21706448
  48. protein expression is an unfavorable prognostic factor in breast cancer cases PMID: 21617523
  49. Data sshow that variants in SFTPD, CD46 and IL1R1 are associated with IPD in both EA and AA. PMID: 21858107
  50. the A304V mutation in the MCP gene is not strongly associated with RM or FL. PMID: 21840606

Show More

Hide All

Involvement in disease
Hemolytic uremic syndrome atypical 2 (AHUS2)
Subcellular Location
Cytoplasmic vesicle, secretory vesicle, acrosome inner membrane; Single-pass type I membrane protein. Note=Inner acrosomal membrane of spermatozoa. Internalized upon binding of Measles virus, Herpesvirus 6 or Neisseria gonorrhoeae, which results in an increased susceptibility of infected cells to complement-mediated injury. In cancer cells or cells infected by Neisseria, shedding leads to a soluble peptide.
Tissue Specificity
Expressed by all cells except erythrocytes.
Database Links

HGNC: 6953

OMIM: 120920

KEGG: hsa:4179

STRING: 9606.ENSP00000313875

UniGene: Hs.510402

icon of phone
Call us
301-363-4651 (Available 9 a.m. to 5 p.m. CST from Monday to Friday)
icon of address
Address
7505 Fannin St., Ste 610, Room 7 (CUBIO Innovation Center), Houston, TX 77054, USA
icon of social media
Join us with

Subscribe newsletter

Leave a message

* To protect against spam, please pass the CAPTCHA test below.
CAPTCHA verification
© 2007-2025 CUSABIO TECHNOLOGY LLC All rights reserved. 鄂ICP备15011166号-1
×
Place an order now

I. Product details

*
*
*
*

II. Contact details

*
*

III. Ship To

*
*
*
*
*
*
*

IV. Bill To

*
*
*
*
*
*
*
*