CYCS Recombinant Monoclonal Antibody

Code CSB-RA006328MA1HU
Size US$210
Order now
Image
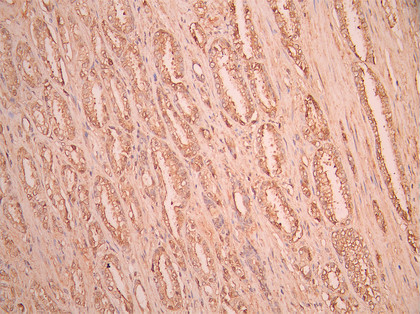
  • IHC image of CSB-RA006328MA1HU diluted at 1:50 and staining in paraffin-embedded human prostate cancer performed on a Leica BondTM system. After dewaxing and hydration, antigen retrieval was mediated by high pressure in a citrate buffer (pH 6.0). Section was blocked with 10% normal goat serum 30min at RT. Then primary antibody (1% BSA) was incubated at 4°C overnight. The primary is detected by a Anti-Human lgG, Fcy Fragment Specific labeled by HRP and visualized using 0.05% DAB.
  • Overlay Peak curve showing A431 cells stained with CSB-RA006328MA1HU (red line) at 1:100. The cells were fixed in 4% formaldehyde and permeated by 0.2% TritonX-100 for 10min. Then 10% normal goat serum to block non-specific protein-protein interactions followed by the antibody (1ug/1*106cells) for 45min at 4℃. The secondary antibody used was Fluorescein (FITC) AffiniPure Goat Anti-Human IgG, Fcγ fragment specific at 1:200 dilution for 35min at 4℃.Control antibody (green line) was human IgG1 (1ug/1*106cells) used under the same conditions. Acquisition of >10,000 events was performed.
Have Questions? Leave a Message or Start an on-line Chat

Product Details

Uniprot No.
Target Names
Alternative Names
CYC antibody; CYC_HUMAN antibody; CYCS antibody; Cytochrome c antibody; Cytochrome c somatic antibody; HCS antibody; THC4 antibody
Species Reactivity
Human
Immunogen
Recombinant Human CYCS protein
Immunogen Species
Homo sapiens (Human)
Conjugate
Non-conjugated
Clonality
Monoclonal
Isotype
hIgG1
Clone No.
17H10
Purification Method
Affinity-chromatography
Concentration
It differs from different batches. Please contact us to confirm it.
Buffer
Preservative: 0.03% Proclin 300
Constituents: 50% Glycerol, 0.01M PBS, PH 7.4
Form
Liquid
Tested Applications
ELISA, IHC, FC
Recommended Dilution
Application Recommended Dilution
IHC 1:50-1:200
FC 1:50-1:200
Troubleshooting and FAQs
Storage
Upon receipt, store at -20°C or -80°C. Avoid repeated freeze.
Lead Time
Basically, we can dispatch the products out in 1-3 working days after receiving your orders. Delivery time maybe differs from different purchasing way or location, please kindly consult your local distributors for specific delivery time.
Usage
For Research Use Only. Not for use in diagnostic or therapeutic procedures.

Customer Reviews and Q&A

 Customer Reviews

There are currently no reviews for this product.

Submit a Review here

Target Background

Function
Electron carrier protein. The oxidized form of the cytochrome c heme group can accept an electron from the heme group of the cytochrome c1 subunit of cytochrome reductase. Cytochrome c then transfers this electron to the cytochrome oxidase complex, the final protein carrier in the mitochondrial electron-transport chain.; Plays a role in apoptosis. Suppression of the anti-apoptotic members or activation of the pro-apoptotic members of the Bcl-2 family leads to altered mitochondrial membrane permeability resulting in release of cytochrome c into the cytosol. Binding of cytochrome c to Apaf-1 triggers the activation of caspase-9, which then accelerates apoptosis by activating other caspases.
Gene References into Functions
  1. Cytochrome c was upregulated in the primary Sjogren's syndrome patients, indicating the potential role of cytochrome c in the pathogenesis and development of primary Sjogren's syndrome. PMID: 29257225
  2. The caspase-8/Bid/cytochrome c axis links signals from death receptors to mitochondrial reactive oxygen species production. PMID: 28888620
  3. This work reveals a direct conformational link between the 40-57 Omega-loop of cytochrome c in which residue 41 resides and the dynamical properties of the axial ligand to the heme iron. PMID: 27461282
  4. The naturally occurring Y48H variant of cytochrome c in its oxidized heme state is more peroxidatic than either the Wild Type protein or the G41S variant that is also implicated in thrombocytopenia. PMID: 29083920
  5. ROCK activation phosphorylated Rac1b at Ser71 and increased reactive oxygen species (ROS) levels by facilitating the interaction between Rac1b and cytochrome c. Conversely, ROCK inactivation abolished their interaction, concomitant with ROS reduction. PMID: 28317242
  6. Data suggest that although HCCS mediates heme attachment to N-terminal cysteine in heme-attachment site (CXXXH) of cytochrome C variants, up to 50% of cytochrome C produced is modified in an oxygen-dependent manner, resulting in a mixed population of cytochrome c. [HCCS = holocytochrome c synthase] PMID: 28617588
  7. Data suggest that the stronger effect of K72A mutation on the peroxidase activity of human versus yeast cytochrome c results from relief of steric interactions between side chains at positions 72 and 81 (Ile in human vs Ala in yeast), which suppresses the dynamics of omega-loop D necessary for the intrinsic peroxidase activity of cytochrome c. PMID: 28598148
  8. These findings establish a framework for understanding the molecular basis of cytochrome c-mediated blocking of SET/TAF-Ibeta. PMID: 26216969
  9. Monitoring of serum cytochrome c might also serve as a sensitive apoptotic marker in vivo reflecting chemotherapy-induced cell death burden in patients with non-small cell lung cancer. PMID: 25578497
  10. G-Rh2 causes rapid and dramatic translocation of both Bak and Bax, which subsequently triggers mitochondrial cytochrome c release and consequent caspase activation. PMID: 23443079
  11. The mitochondrial metalloprotease OMA1 was activated in a Bax- and Bak-dependent fashion. PMID: 25275009
  12. In vitro ultrastructural changes of MCF-7 for metastasise bone cancer and induction of apoptosis via mitochondrial cytochrome C released by CaCO3/Dox nanocrystals PMID: 25028650
  13. a mechanism of multiple radical formations in the cytochrome c-phospholipid complexes under H2O2 treatment, consistent with the stabilization of the radical in the G41S mutant, which elicits a greater peroxidase activity from cytochrome c PMID: 24099549
  14. proposed that mutation of residue 41, and interaction with cardiolipin, increase peroxidase activity by altering the 40-57 Omega loop and its hydrogen bond network with the propionate of haem ring A; these changes enhance access of hydrogen peroxide and substrate to the haem PMID: 24329121
  15. Data indicate a novel missense mutation (Y48H) of the cytochrome c (CYCS) gene responsible for thrombocytopenia. PMID: 24326104
  16. results suggest the impact of residue 41 on the conformation of cytochrome c influences its ability to act in both of its physiological roles, electron transport and caspase activation PMID: 23334161
  17. structural characterization of cytochrome c in micelle PMID: 23070294
  18. Data indicate that the formation of cytochrome c-Apaf-1 apoptosome and the presence of Smac are absolutely required for PSAP-induced apoptosis. PMID: 23207240
  19. Spectroscopic analyses of HCCS alone and complexes of HCCS with site-directed variants of cytochrome c revealed the fundamental steps of heme attachment and maturation. PMID: 23150584
  20. The levels of cellular apoptosis-associated proteins such as Smac/DIABLO, Cyto C, and the activated fragment of caspase-3 increased in pancreatic cancer cells, but the expression of XIAP was significantly decreased after 24 h treatment with the combination of TRAIL and gemcitabine. PMID: 22320973
  21. CCN1 promotes the activation of p53 and p38 MAPK, which mediate enhanced cytochrome c release to amplify the cytotoxicity of TNFalpha. PMID: 22363611
  22. Translocation of ARTS initiates a first wave of caspase activation leading to the subsequent release of additional mitochondrial factors, including cytochrome C and SMAC/Diablo. PMID: 21869827
  23. Tyrosine phosphorylation turns alkaline transition into a biologically relevant process and makes human cytochrome c behave as an anti-apoptotic switch. PMID: 21706253
  24. mitochondrial import and direct electron transfer from cytochrome c to Rac1 modulates mitochondrial H(2)O(2) production in alveolar macrophages pulmonary fibrosis. PMID: 22157762
  25. Dynamic changes in cytochrome c distribution at the Raman band of 750 cm(-1) were observed after adding an apoptosis inducer to the cells. PMID: 22184220
  26. Specific nitration of tyrosines 46 and 48 makes cytochrome c assemble a non-functional apoptosome. PMID: 22192356
  27. Studies indicate that the CYCS mutation in TP Cargeegis a glycine 41 replacement by serine, which yields a cytochrome C variant with enhanced apoptotic pathway activity in vitro. PMID: 22102269
  28. Data show that G-Rh2 and Bet A cooperated to induce Bax traslocation to mitochondria and cytochrome c release, and enhanced cleavage of caspase-8 and Bid. PMID: 21751259
  29. Cerebrospinal fluid Bcl-2 and cytochrome C levels are elevated in adults after severe traumatic brain injury. PMID: 21448217
  30. Resveratrol induces p53-independent, X-linked inhibitor of apoptosis protein (XIAP)-mediated Bax protein oligomerization on mitochondria to initiate cytochrome c release and caspase activation. PMID: 21712378
  31. heme electronic structure change may ultimately be responsible for the enhanced proapoptotic activity of G41S mutated human cyt c PMID: 21192676
  32. it is the specific nitration of solvent-exposed Tyr74 which enhances the peroxidase activity and blocks the ability of cytochrome c to activate caspase-9, thereby preventing the apoptosis signaling pathway PMID: 20227384
  33. Data show that sorafenib initiated lethal apoptotic process through the release of cytochrome c and caspase 3/7 activation. PMID: 19770576
  34. Serum LRG when bound to extracellular Cyt c that is released from apoptotic cells acts as a survival factor for lymphocytes and possibly other cells that are susceptible to the toxic effect of extracellular Cyt c. PMID: 19851871
  35. NOA36/ZNF330 is translocated from the mitochondria to the cytoplasm when apoptosis is induced and that it contributes to cytochrome c release. PMID: 19895853
  36. Membrane-associated XIAP induces mitochondrial outer membrane permeabilization leading to cytochrome c and Smac release, which is dependent on Bax and Bak. PMID: 19875445
  37. galectin-3 is enriched in the mitochondria and prevents mitochondrial damage and cytochrome c release PMID: 11839755
  38. non-rare allelic variants of the Cyt c protein are absent in the populations analyzed in this study PMID: 16934433
  39. Mutation of human cytochrome c enhances the intrinsic apoptotic pathway and causes thrombocytopenia PMID: 18345000
  40. MICS1 individually functions in mitochondrial morphology and cytochrome c release. PMID: 18417609
  41. Serum cyto-c is a potent tumor marker as a predictor for malignant potential in several different types of cancer. PMID: 18825408
  42. Both neurons and cancer cells strictly inhibit cytochrome c-mediated apoptosis by a mechanism dependent on glucose metabolism. PMID: 19029908
  43. In 77 Italian patients with inherited thrombocytopenia and clinical and laboratory features similar to those of patients with the CYCS missense (Gly41Ser) mutation, no alterations of the open reading frame were identified. PMID: 19172527
  44. there was no evidence of somatic mutations of CYTOCHROME C in the cancers PMID: 19404857
  45. No difference in the serum level of cytochrome c was seen among the the groups of patients with type 2 diabetes, controls or in subjects with IGT. PMID: 19640329

Show More

Hide All

Involvement in disease
Thrombocytopenia 4 (THC4)
Subcellular Location
Mitochondrion intermembrane space. Note=Loosely associated with the inner membrane.
Protein Families
Cytochrome c family
Database Links

HGNC: 19986

OMIM: 123970

KEGG: hsa:54205

STRING: 9606.ENSP00000307786

UniGene: Hs.437060

icon of phone
Call us
301-363-4651 (Available 9 a.m. to 5 p.m. CST from Monday to Friday)
icon of address
Address
7505 Fannin St., Ste 610, Room 7 (CUBIO Innovation Center), Houston, TX 77054, USA
icon of social media
Join us with

Subscribe newsletter

Leave a message

* To protect against spam, please pass the CAPTCHA test below.
CAPTCHA verification
© 2007-2025 CUSABIO TECHNOLOGY LLC All rights reserved. 鄂ICP备15011166号-1
×
Place an order now

I. Product details

*
*
*
*

II. Contact details

*
*

III. Ship To

*
*
*
*
*
*
*

IV. Bill To

*
*
*
*
*
*
*
*