IGF2BP2 Recombinant Monoclonal Antibody

Code CSB-RA270924A0HU
Size US$210
Order now
Image
  • Western Blot
    , Positive WB detected in:COLO205 whole cell lysate(30µg)
    All lanes: IGF2BP2 antibody at 1:1000
    Secondary
    Goat polyclonal to rabbit IgG at 1/40000 dilution
    Predicted band size: 66 kDa
    Observed band size: 70 kDa
    Exposure time:300s
  • IHC image of CSB-RA270924A0HU diluted at 1:100 and staining in paraffin-embedded human liver tissue performed on a Leica BondTM system. After dewaxing and hydration, antigen retrieval was mediated by high pressure in a citrate buffer (pH 6.0). Section was blocked with 10% normal goat serum 30min at RT. Then primary antibody (1% BSA) was incubated at 4°C overnight. The primary is detected by a Goat anti-rabbit polymer IgG labeled by HRP and visualized using 0.05% DAB.
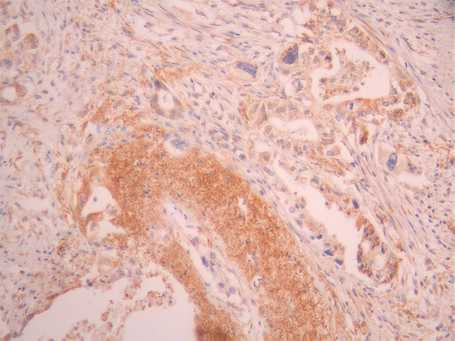
  • IHC image of CSB-RA270924A0HU diluted at 1:100 and staining in paraffin-embedded human pancreatic cancer performed on a Leica BondTM system. After dewaxing and hydration, antigen retrieval was mediated by high pressure in a citrate buffer (pH 6.0). Section was blocked with 10% normal goat serum 30min at RT. Then primary antibody (1% BSA) was incubated at 4°C overnight. The primary is detected by a Goat anti-rabbit polymer IgG labeled by HRP and visualized using 0.05% DAB.
  • Immunofluorescence staining of HepG2 cell with CSB-RA270924A0HU at 1:50 , counter-stained with DAPI. The cells were fixed in 4% formaldehyde, permeabilized using 0.2% Triton X-100 and blocked in 10% normal Goat Serum. The cells were then incubated with the antibody overnight at 4°C. The secondary antibody was Alexa Fluor 488-congugated AffiniPure Goat Anti-Rabbit IgG(H+L).
  • Overlay Peak curve showing HepG2 cells stained with CSB-RA270924A0HU (red line) at 1:100. The cells were fixed in 4% formaldehyde and permeated by 0.2% TritonX-100 for 10min. Then 10% normal goat serum to block non-specific protein-protein interactions followed by the antibody (1ug/1*106cells) for 45min at 4℃. The secondary antibody used was FITC-conjugated goat anti-rabbit IgG (H+L) at 1/200 dilution for 35min at 4℃.Control antibody (green line) was Rabbit IgG (1ug/1*106cells) used under the same conditions. Acquisition of >10, 000 events was performed.
Have Questions? Leave a Message or Start an on-line Chat

Product Details

Uniprot No.
Target Names
Alternative Names
Hepatocellular carcinoma autoantigen p62 antibody; IF2B2_HUMAN antibody; IGF 2 mRNA binding protein 2 antibody; IGF II mRNA binding protein 2 antibody; IGF-II mRNA-binding protein 2 antibody; IGF2 mRNA-binding protein 2 antibody; Igf2bp2 antibody; IMP 2 antibody; IMP-2 antibody; IMP2 antibody; Insulin like growth factor 2 mRNA binding protein 2 antibody; Insulin-like growth factor 2 mRNA-binding protein 2 antibody; OTTHUMP00000082606 antibody; OTTHUMP00000082607 antibody; OTTHUMP00000082608 antibody; p62 antibody; VICKZ 2 antibody; VICKZ family member 2 antibody; VICKZ2 antibody
Species Reactivity
Human
Immunogen
A synthesized peptide from human IGF2BP2 protein
Immunogen Species
Homo sapiens (Human)
Conjugate
Non-conjugated
Clonality
Monoclonal
Isotype
Rabbit IgG
Clone No.
13C3
Purification Method
Affinity-chromatography
Concentration
It differs from different batches. Please contact us to confirm it.
Buffer
Rabbit IgG in 10mM phosphate buffered saline , pH 7.4, 150mM sodium chloride, 0.05% BSA, 0.02% sodium azide and 50% glycerol.
Form
Liquid
Tested Applications
ELISA, WB, IHC, IF, FC
Recommended Dilution
Application Recommended Dilution
WB 1:500-1:5000
IHC 1:50-1:200
IF 1:50-1:200
FC 1:50-1:200
Troubleshooting and FAQs
Storage
Upon receipt, store at -20°C or -80°C. Avoid repeated freeze.
Lead Time
Basically, we can dispatch the products out in 1-3 working days after receiving your orders. Delivery time maybe differs from different purchasing way or location, please kindly consult your local distributors for specific delivery time.
Usage
For Research Use Only. Not for use in diagnostic or therapeutic procedures.

Customer Reviews and Q&A

 Customer Reviews

There are currently no reviews for this product.

Submit a Review here

Target Background

Function
RNA-binding factor that recruits target transcripts to cytoplasmic protein-RNA complexes (mRNPs). This transcript 'caging' into mRNPs allows mRNA transport and transient storage. It also modulates the rate and location at which target transcripts encounter the translational apparatus and shields them from endonuclease attacks or microRNA-mediated degradation. Binds to the 5'-UTR of the insulin-like growth factor 2 (IGF2) mRNAs. Binding is isoform-specific. Binds to beta-actin/ACTB and MYC transcripts.
Gene References into Functions
  1. IGF2BP2 protein is a tumor promoter that drives cancer proliferation through its client mRNAs IGF2 and HMGA1. PMID: 28753127
  2. The miR-485-5p/IGF2BP2 axis orchestrates the growth and metastasis of non-small cell lung cancer. PMID: 29510198
  3. IGF2BP2/IMP2 expression is linked to short survival and metastasis in esophageal adenocarcinoma PMID: 27391348
  4. insulin-like growth factor 2 mRNA-binding protein 2 (IMP2) binds to let-7 miRNA recognition elements (MREs) and prevents let-7 target gene silencing. PMID: 27184842
  5. miR-1193 suppressed proliferation and invasion of human breast cancer cells via translational suppression of IGF2BP2. PMID: 27733218
  6. Our data suggests that IGF2BP2 polymorphisms are associated with Type 2 Diabetes Mellitus in Asian populations. PMID: 27294943
  7. Study conclude that integration of genomic and transcriptomic data implicate circulating IGF2BP2 mRNA levels associated with glucose and insulin homeostasis PMID: 27625022
  8. IGF2BP2 as a post-transcriptional regulatory mRNA-binding factor that contributes to Colorectal carcinogenesis. PMID: 27153315
  9. p62/IMP2 stimulates cell migration and reduces cell adhesion, contributing to breast cancer progression. PMID: 26416451
  10. IMP2 expression is higher in ovarian and endometrial high-grade serous carcinomas (HGSC) than in ovarian or endometrial endometrioid carcinoma. Knockdown in ovarian HGSC cell line decreased cell proliferation. PMID: 26889980
  11. Our results suggest IGF2BP2 and KCNQ1 polymorphisms might be independent predictors of chemotherapeutic response PMID: 26115082
  12. HPV16 Down-Regulates the Insulin-Like Growth Factor Binding Protein 2 to Promote Epithelial Invasion PMID: 26107517
  13. Imp2 regulates the activity of IGF2, which further activates PI3K/Akt signaling. PMID: 25719943
  14. The IGF2BP2 gene rs1470579 and rs4402960 polymorphisms were associated with type 2 diabetes patients and therapeutic efficacy of pioglitazone in this Chinese population PMID: 25247335
  15. The IGF2BP2 gene rs4402960 polymorphism increases the breast cancer risk of Chinese females with Han nationality, and is a breast cancer predisposing gene. PMID: 25661373
  16. rs4402960 of IGF2BP2 gene is a strong candidate for Type 2 diabetes susceptibility and overweight/obesity risk. PMID: 24636221
  17. Data suggest that autoantibody against IGF2 mRNA-Binding Protein 2 (IMP2/p62) may be a useful serum biomarker for early-stage breast cancer screening and diagnosis. PMID: 25721883
  18. The case-control study and meta-analysis revealed a significant association between the IGF2BP2 rs4402960 variant and type 2 diabetes in Moroccan and Arab populations.[meta-analysis] PMID: 24898818
  19. The present study provided data suggesting that the wild C allele of IGF2BP2 (rs4402960) had a protective effect against T2DM in obese subjects of Chinese Han population. PMID: 25062844
  20. VICKZ1 and VICKZ2 are overexpressed in ovarian carcinoma effusions suggesting a biological role at this anatomical site, and appear to have a role in proteolysis and invasion. VICKZ2 may be a prognostic marker in ovarian serous carcinoma effusions. PMID: 24814803
  21. IGF2BP2 was strongly associated with the risk of T2DM in Chinese Han population. PMID: 24229666
  22. Our results revealed two novel genes (IGF2BP2 and TNFRSF13B), whose function could account for the biologic pathways influencing MetS phenotypes. PMID: 23418049
  23. Polymorphisms in PPARgamma(2) and IGF2BP2 were shown to be highly correlated with GDM occurrence, whereas no correlation was found for KCNQ1 polymorphisms. PMID: 23364967
  24. TCF7L2 was replicated in this study (P = 0.004; combined analysis P = 3.8 x 10(-6)), and type 2 diabetes SNPs at or near CDKAL1, CDKN2A/B, and IGF2BP2 were associated with CFRD PMID: 23670970
  25. IGF2BP2 genetic variants contribute to insulin resistance in Russian NIDDM patients. PMID: 23403707
  26. findings implicate the HMGA2-IGFBP2-NRAS signaling pathway as a critical oncogenic driver in embryonic rhabdomyosarcoma PMID: 23536553
  27. IGF2BP2 may play a role in susceptibility to schizophrenia in Han Chinese, supporting the hypothesis that the co-occurrence of type 2 diabetes mellitus and schizophrenia may be explained by shared genetic risk variants. PMID: 23656854
  28. rs4402960 and rs1470579 lymorphisms of the IFG2BP2po is a risk factor for developing type 2 diabetes. PMID: 22015911
  29. there is a strong immune response of anti-p62 in sera from patients with colon cancer compared with normal human sera (NHS). PMID: 23421499
  30. p62 exerts IGF2-independent antiapoptotic action, which is facilitated via phosphorylation of ERK1/2. PMID: 23257922
  31. IGF2BP2 alternative variants were associated with GADA negative diabetes. The IGF2BP2 haplotypes and diplotypes increased the risk of diabetes in Malaysian subject. PMID: 23029108
  32. In African Americans, seven of the 29 SNPs examined were found to be associated with T2D risk at P PMID: 23144361
  33. genetic association studies: Data suggest that an SNP in IGF2BP2 (rs4402960) is associated with type 2 diabetes; IGF2BP2 may have genetic interactions with insulin-like growth factor II with a protective effect in male patients with type 1 diabetes. PMID: 22770937
  34. Association to type 2 diabetes was found for rs13266634 (SLC30A8), rs7923837 (HHEX), rs10811661 (CDKN2A/2B), rs4402960 (IGF2BP2), rs12779790 (CDC123/CAMK1D), and rs2237892 (KCNQ1). PMID: 22923468
  35. oncofetal insulin-like growth factor 2 mRNA-binding protein 2 (IMP2, IGF2BP2) regulates oxidative phosphorylation (OXPHOS) in primary glioblastoma (GBM) sphere cultures (gliomaspheres) PMID: 22899010
  36. Data validate that IGF2BP2 susceptibility variants rs4402960 and rs1470579 associate with T2DM in Lebanese Arabs. PMID: 22245690
  37. Two isoforms of the mRNA binding protein IGF2BP2 are generated by alternative translational initiation. PMID: 22427968
  38. IGF2BP2 genetic variation is associated with type 2 diabetes. PMID: 22032244
  39. Six SNP(rs7754840 in CDKAL1, rs391300 in SRR, rs2383208 in CDKN2A/2B, rs4402960 in IGF2BP2, rs10830963 in MTNR1B, rs4607517 in GCK)risk alleles of type 2 diabetes were associated with GDM in pregnant Chinese women. PMID: 22096510
  40. meta-analysis suggested that IGF2BP2 rs4402960 polymorphism conferred elevated risk of T2DM, especially in European, East Asian and South Asian populations PMID: 21839790
  41. involved in the selective autophagic clearance of non-ubiquitylated aggregation-prone substrates PMID: 21771882
  42. IGF2 is emerging as an important gene for ovarian cancer. PMID: 21422097
  43. The induction of a steatotic phenotype implies that p62 plays a role in hepatic pathophysiology PMID: 21145819
  44. Double phosphorylation promotes IMP2 binding to the IGF2 leader 3 mRNA 5' untranslated region, and the translational initiation of this mRNA PMID: 21576258
  45. non-replications of IGF2BP2 associations with type 2 diabetes PMID: 20627640
  46. Data reveal how the posttranscriptional regulation of gene expression by IMP-2 contributes to the control of adhesion structures and stable microtubules and demonstrate an important function for IMP-2 in cellular motility. PMID: 20956565
  47. findings show that IGF2BP2 rs1470579 and rs4402960 polymorphisms may be associated with the development of type 2 diabetes and these polymorphisms may affect the therapeutic efficacy of repaglinide in Chinese T2DM patientsmellitus PMID: 20523342
  48. prostate cancer was inversely associated with the IGF2BP2 rs4402960 T allele PMID: 20142250
  49. HMGA2 differentially regulates expression of IMP family members during mouse embryogenesis. PMID: 15225648
  50. Study suggests that there is a significant association between expression of IMP-2 and the growth of tumor cells, in which IMP-2 is associated with apoptosis induced by tretinoin. PMID: 15618018

Show More

Hide All

Subcellular Location
Nucleus. Cytoplasm. Note=Localized in cytoplasmic mRNP granules containing untranslated mRNAs. Localizes at the connecting piece and the tail of the spermatozoa. In response to cellular stress, such as oxidative stress, recruited to stress granules.
Protein Families
RRM IMP/VICKZ family
Tissue Specificity
Expressed in oocytes, granulosa cells of small and growing follicles, Leydig cells, spermatogonia and semen (at protein level). Expressed in testicular cancer (at protein level). Expressed weakly in heart, placenta, skeletal muscle, bone marrow, colon, ki
Database Links

HGNC: 28867

OMIM: 608289

KEGG: hsa:10644

STRING: 9606.ENSP00000371634

UniGene: Hs.293396

icon of phone
Call us
301-363-4651 (Available 9 a.m. to 5 p.m. CST from Monday to Friday)
icon of address
Address
7505 Fannin St., Ste 610, Room 7 (CUBIO Innovation Center), Houston, TX 77054, USA
icon of social media
Join us with

Subscribe newsletter

Leave a message

* To protect against spam, please pass the CAPTCHA test below.
CAPTCHA verification
© 2007-2025 CUSABIO TECHNOLOGY LLC All rights reserved. 鄂ICP备15011166号-1
×
Place an order now

I. Product details

*
*
*
*

II. Contact details

*
*

III. Ship To

*
*
*
*
*
*
*

IV. Bill To

*
*
*
*
*
*
*
*