IGF2BP3 Recombinant Monoclonal Antibody

Code CSB-RA140861A0HU
Size US$210
Order now
Image
  • Western Blot
    Positive WB detected in: Hela whole cell lysate(30µg), HepG2 whole cell lysate(30µg), U251 whole cell lysate(30µg), K562 whole cell lysate(30µg), colo205 whole cell lysate(30µg), A431 whole cell lysate(30µg), Jurkat whole cell lysate(30µg), SH-SY5Y whole cell lysate(30µg), NIH/3T3 whole cell lysate(30µg)
    All lanes: IMP 3 antibody at 1:1000
    Secondary
    Goat polyclonal to rabbit IgG at 1/40000 dilution
    Predicted band size: 64 kDa
    Observed band size: 69 kDa
    Exposure time:20s
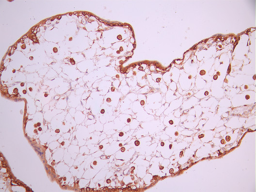
  • IHC image of CSB-RA140861A0HU diluted at 1:100 and staining in paraffin-embedded human placenta tissue performed on a Leica BondTM system. After dewaxing and hydration, antigen retrieval was mediated by high pressure in a citrate buffer (pH 6.0). Section was blocked with 10% normal goat serum 30min at RT. Then primary antibody (1% BSA) was incubated at 4°C overnight. The primary is detected by a Goat anti-rabbit polymer IgG labeled by HRP and visualized using 0.05% DAB.
Have Questions? Leave a Message or Start an on-line Chat

Product Details

Uniprot No.
Target Names
Alternative Names
Cancer/testis antigen 98 antibody; CT98 antibody; DKFZp686F1078 antibody; hKOC antibody; IF2B3_HUMAN antibody; IGF II mRNA binding protein 3 antibody; IGF-II mRNA-binding protein 3 antibody; IGF2 mRNA binding protein 3 antibody; IGF2 mRNA-binding protein 3 antibody; IGF2BP3 antibody; IMP 3 antibody; IMP-3 antibody; Insulin like growth factor 2 mRNA binding protein 3 antibody; Insulin-like growth factor 2 mRNA-binding protein 3 antibody; KH domain containing protein overexpressed in cancer antibody; KH domain-containing protein overexpressed in cancer antibody; KOC 1 antibody; KOC1 antibody; VICKZ 3 antibody; VICKZ family member 3 antibody; VICKZ3 antibody
Species Reactivity
Human, Mouse
Immunogen
A synthesized peptide from human IGF2BP3 protein
Immunogen Species
Homo sapiens (Human)
Conjugate
Non-conjugated
Clonality
Monoclonal
Isotype
Rabbit IgG
Clone No.
5G6
Purification Method
Affinity-chromatography
Concentration
It differs from different batches. Please contact us to confirm it.
Buffer
Rabbit IgG in 10mM phosphate buffered saline , pH 7.4, 150mM sodium chloride, 0.05% BSA, 0.02% sodium azide and 50% glycerol.
Form
Liquid
Tested Applications
ELISA, WB, IHC
Recommended Dilution
Application Recommended Dilution
WB 1:500-1:5000
IHC 1:50-1:200
Troubleshooting and FAQs
Storage
Upon receipt, store at -20°C or -80°C. Avoid repeated freeze.
Lead Time
Basically, we can dispatch the products out in 1-3 working days after receiving your orders. Delivery time maybe differs from different purchasing way or location, please kindly consult your local distributors for specific delivery time.
Usage
For Research Use Only. Not for use in diagnostic or therapeutic procedures.

Customer Reviews and Q&A

 Customer Reviews

There are currently no reviews for this product.

Submit a Review here

Target Background

Function
RNA-binding factor that may recruit target transcripts to cytoplasmic protein-RNA complexes (mRNPs). This transcript 'caging' into mRNPs allows mRNA transport and transient storage. It also modulates the rate and location at which target transcripts encounter the translational apparatus and shields them from endonuclease attacks or microRNA-mediated degradation. Binds to the 3'-UTR of CD44 mRNA and stabilizes it, hence promotes cell adhesion and invadopodia formation in cancer cells. Binds to beta-actin/ACTB and MYC transcripts. Binds to the 5'-UTR of the insulin-like growth factor 2 (IGF2) mRNAs.
Gene References into Functions
  1. Data show that insulin-like growth factor-II mRNA-binding protein 2 and 3 (IMP2/3)-miR-200a-progesterone receptor axis represents a double-negative feedback loop and serves as a new potential therapeutic target for the treatment of Triple-negative breast cancer (TNBC). PMID: 29217458
  2. THADA fusion is a mechanism of IGF2BP3 activation and IGF1R signaling in thyroid cancer. PMID: 28193878
  3. High expression of IMP3 in adult mature testicular teratomas supports their malignant nature. PMID: 24605891
  4. tubal secretory cells with IMP3 signatures showing growth advantage could potentially serve as a latent precancer biomarker for tubal or pelvic serous carcinomas in women. PMID: 25014991
  5. These results suggested that pancreatic carcinogenesis involves an increased IMP3 mRNA expression, and it may become valuable diagnostic and prognostic markers as well as potential therapeutic targets for pancreatic cancer. PMID: 25183049
  6. the combination of p16/IMP3 expression was found to improve the discrepant results between cervical cytologic and histologic diagnoses PMID: 23923073
  7. High IMP3 expression is associated with hepatocellular carcinoma. PMID: 24647926
  8. Our results strengthen the association of IMP3 with the regulation of epithelial to mesenchymal transition in breast cancers PMID: 25031719
  9. Post-transcriptional regulation of cyclins D1, D3 and G1 and proliferation of human cancer cells depend on IMP-3 nuclear localization. PMID: 23812426
  10. IMP3 upregulates HMGA2 mRNA by opposing its interaction with Ago2/let-7. PMID: 24703842
  11. The results of this study indicate that IMP3 was overexpressed in sacral chordoma and this expression was associated with tumor invasion and recurrence. PMID: 24135846
  12. IMP3 may be involved in the process and progression of high-grade serous carcinoma of the fallopian tube. PMID: 25038792
  13. Absence of IMP3 expression is associated with a significantly reduced risk of lymphovascular invasion in pT1 esophageal adenocarcinoma PMID: 24726263
  14. Diffuse IMP3 expression (>25%) in MAC from patients with gastric adenocarcinoma was associated with shorter survival. PMID: 24457229
  15. This review focuses on the studies of IMP3 expression in different cancers and emphasizes the potential utility of IMP3 in routine surgical pathology practice. PMID: 24713990
  16. IMP3 expression was positive in esophageal adenocarcinoma and Barrett's esophagus with high-grade dysplasia. Barrett's esophagus and esophageal squamous epithelium had no IMP3 expression PMID: 25141312
  17. High IMP3 was associated with metastasis in prostate cancer. PMID: 24615121
  18. High-grade dysplasia and gastric carcinomas can be distinguished from low-grade dysplasia and inflammatory lesions of the gastric mucosa with a high specificity and good sensitivity using a combination of the immunohistochemical markers IMP3 and p53 PMID: 24966917
  19. IMP-3 expression is not a useful discriminator between dysplastic nevi and melanoma nor a good prognostic marker in melanoma. PMID: 26403409
  20. The specificity for IMP3, GLUT-1, and EMA for differentiating malignant mesotheliomas and benign mesothelial proliferations was 100% PMID: 25376377
  21. expression in preoperative biopsy material predictive of perineural invasion in patients with oral squamous cell carcinoma PMID: 27863864
  22. IMP3 appears to play an important role in tumor invasion in patients with lung adenocarcinoma and may serve as a useful prognostic biomarker in these patients. PMID: 26608347
  23. IMP3 represents a biomarker of unfavorable prognosis for clear cell carcinomas of the ovary, even in stage I patients. PMID: 26837693
  24. results suggest that IMP3 facilitates pancreatic ductal adenocarcinoma progression by enhancing the pro-metastatic behaviour of tumour cells PMID: 25886367
  25. EGF stimulates IMP-3 expression. PMID: 26386725
  26. MP3 may play a certain role in hydatidiform moles progression, and it may serve as a prognostic biomarker for this disease. PMID: 27238915
  27. Testing for a combination of elevated IMP3 and Lin28B levels could further facilitate the identification of a patient subgroup with the worst ovarian cancer prognosis. PMID: 26158423
  28. we show that SOX2 is a transcriptional target of SLUG. These data establish a novel mechanism of breast tumor initiation involving IMP3 and they provide a rationale for its association with aggressive disease and poor outcome. PMID: 25982283
  29. This is the first study evaluating the IMP3 immunohistochemical expression in Phyllodes tumor. Its expression correlates with histological grade and could be used in the differential diagnosis of fibroepithelial tumors and in prognostication. PMID: 26353850
  30. IMP3 is a reliable marker for the diagnosis of colorectal cancer in endoscopic biopsies PMID: 28412210
  31. Positive expression of IMP3 in spinal giant cell tumor was associated with increased microvessel density and expression of IGF2. PMID: 25740666
  32. Tissue overexpression of IMP3 might be used as a predictor of advanced disease or lymph node metastasis, and is associated with poorer prognosis in gastric cancers. PMID: 28011483
  33. IMP-3 has a role in promoting migration and invasion of melanoma cells by modulating the expression of HMGA2 and predicts poor prognosis in melanoma PMID: 25380351
  34. The role of IMP3 as a marker of poor outcome in gliomas PMID: 25695077
  35. IMP3 directly interacts with ULBP2 mRNA, leading to ULBP2 transcript destabilization and reduced ULBP2 surface expression and indirectly downregulates MICB with a mechanism functionally distinct from that of ULBP2. PMID: 26982091
  36. This study demonstrated that Genes overexpressed in Pilomyxoid Astrocytoma vs. Pilocytic Astrocytoma, ranked according to fold-change, included developmental genes H19, DACT2,COL2A1; COL1A1 and IMP3. PMID: 25521223
  37. Describe chromosome 12p abnormalities and IMP3 expression in prepubertal pure testicular teratomas. PMID: 26826410
  38. This study aimed to demonstrate the usefulness of mRNA expression levels of IMP3 in brush cytology specimens combined with cytology for the diagnosis of malignant biliary stricture PMID: 27399126
  39. IMP-3 and its protein partners ILF3/NF90 and PTBP1 bind to the 3'UTRs of the cyclin mRNAs and protect them from the translational repression induced by miRNA-dependent recruitment of AGO2/GW182 complex in human cancer cells. PMID: 27840950
  40. IMP3 promotes renal cell carcinoma cell migration and invasion by activation of NF-small ka, CyrillicB pathway. PMID: 25919292
  41. Overexpression of IMP3 and EGFR were significantly associated with shorter periods of metastasis-free and disease-free survival of malignant phyllodes tumor of the breast. PMID: 27137988
  42. S100P achieved 96.4% sensitivity, 93.3% specificity, 98.2% PPV, 87.5% NPV and 95.8% total accuracy, while IMP3 achieved 91.2% sensitivity, 86.7% specificity, 96.2% PPV, 72.2% NPV and 90.3% total accuracy for pancreatic ductal adenocarcinoma (PDA).Both markers were sensitive and specific for diagnosis of PDA. PMID: 27839709
  43. CK5/6, IMP3 and TTF1 immunostaining appears to be useful to improve the accuracy of cytological diagnoses between reactive mesothelial cells, metastatic adenocarcinoma of lung and non-lung origin in pleural effusion PMID: 25337222
  44. Our study clearly demonstrated differentiation-dependent expression of IMP3 in chondrosarcoma, and suggests IMP3 as a novel marker for differentiating problematic cases of enchondroma from well-differentiated chondrosarcomas PMID: 26948096
  45. It was concluded that IMP3 and nucleophosmin cannot be a routine diagnostic marker for discrimination of papillary carcinomas and benign lesions. IMP3 positive staining was scarce in IMP3 positive papillary carcinomas although specifity of IMP3 is 100% PMID: 25389240
  46. MP3 expression in biopsy specimens could be used to predict lymph node metastasis and TNM stage in colorectal cancer patients PMID: 26617820
  47. IGF2BP3 influences a malignancy-associated RNA regulon by modulating miRNA-mRNA interactions. PMID: 27210763
  48. IGF2BP3 as a human ontogenic master switch that restricts megakaryocyte development by modulating a lineage-specific P-TEFb activation mechanism. PMID: 28481226
  49. Results suggest that IGF2BP3 promotes eIF4E-mediated translational activation through the reduction of EIF4E-BP2 via mRNA degradation, leading to enhanced cell proliferation. PMID: 26522719
  50. We compressively revealed the oncogenic role of IGF2BP3 in gastric tumorigenesis and confirmed its activation is partly due to the silence of miR-34a. Our findings identified useful prognostic biomarker and provided clinical translational potential. PMID: 28399871

Show More

Hide All

Subcellular Location
Nucleus. Cytoplasm. Note=Found in lamellipodia of the leading edge, in the perinuclear region, and beneath the plasma membrane. The subcytoplasmic localization is cell specific and regulated by cell contact and growth. Localized at the connecting piece and the tail of the spermatozoa. Colocalized with CD44 mRNA in RNP granules. In response to cellular stress, such as oxidative stress, recruited to stress granules.
Protein Families
RRM IMP/VICKZ family
Tissue Specificity
Expressed in fetal liver, fetal lung, fetal kidney, fetal thymus, fetal placenta, fetal follicles of ovary and gonocytes of testis, growing oocytes, spermatogonia and semen (at protein level). Expressed in cervix adenocarcinoma, in testicular, pancreatic
Database Links

HGNC: 28868

OMIM: 608259

KEGG: hsa:10643

STRING: 9606.ENSP00000258729

UniGene: Hs.700696

icon of phone
Call us
301-363-4651 (Available 9 a.m. to 5 p.m. CST from Monday to Friday)
icon of address
Address
7505 Fannin St., Ste 610, Room 7 (CUBIO Innovation Center), Houston, TX 77054, USA
icon of social media
Join us with

Subscribe newsletter

Leave a message

* To protect against spam, please pass the CAPTCHA test below.
CAPTCHA verification
© 2007-2025 CUSABIO TECHNOLOGY LLC All rights reserved. 鄂ICP备15011166号-1
×
Place an order now

I. Product details

*
*
*
*

II. Contact details

*
*

III. Ship To

*
*
*
*
*
*
*

IV. Bill To

*
*
*
*
*
*
*
*