IL3RA Recombinant Monoclonal Antibody

Code CSB-RA011658MA1HU
Size US$210
Order now
Image
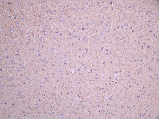
  • IHC image of CSB-RA011658MA1HU diluted at 1:50 and staining in paraffin-embedded mouse brain tissue performed on a Leica BondTM system. After dewaxing and hydration, antigen retrieval was mediated by high pressure in a citrate buffer (pH 6.0). Section was blocked with 10% normal goat serum 30min at RT. Then primary antibody (1% BSA) was incubated at 4°C overnight. The primary is detected by a Anti-Human lgG, Fcy Fragment Specific labeled by HRP and visualized using 0.05% DAB.
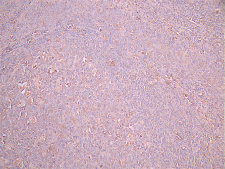
  • IHC image of CSB-RA011658MA1HU diluted at 1:50 and staining in paraffin-embedded human tonsil tissue performed on a Leica BondTM system. After dewaxing and hydration, antigen retrieval was mediated by high pressure in a citrate buffer (pH 6.0). Section was blocked with 10% normal goat serum 30min at RT. Then primary antibody (1% BSA) was incubated at 4°C overnight. The primary is detected by a Anti-Human lgG, Fcy Fragment Specific labeled by HRP and visualized using 0.05% DAB.
Have Questions? Leave a Message or Start an on-line Chat

Product Details

Uniprot No.
Target Names
Alternative Names
CD123 antibody; CD123 antigen antibody; hIL 3Ra antibody; hIL-3Ra antibody; hIL3Ra antibody; IL 3 receptor alpha SP2 isoform antibody; IL 3R alpha antibody; IL-3 receptor subunit alpha antibody; IL-3R subunit alpha antibody; IL-3R-alpha antibody; IL-3RA antibody; IL3 Receptor alpha antibody; IL3R antibody; Il3ra antibody; IL3RA_HUMAN antibody; IL3RAX antibody; IL3RAY antibody; IL3RX antibody; IL3RY antibody; Interleukin 3 receptor alpha chain antibody; Interleukin 3 receptor; alpha (low affinity) antibody; Interleukin 3 receptor; alpha antibody; Interleukin-3 Receptor alpha antibody; Interleukin-3 receptor subunit alpha antibody; Interleukin3 receptor antibody; Interleukin3 receptor; Y-chromosomal antibody
Species Reactivity
Human, Mouse
Immunogen
Recombinant Human IL3RA protein
Immunogen Species
Homo sapiens (Human)
Conjugate
Non-conjugated
Clonality
Monoclonal
Isotype
hIgG1
Clone No.
29E11
Purification Method
Affinity-chromatography
Concentration
It differs from different batches. Please contact us to confirm it.
Buffer
Preservative: 0.03% Proclin 300
Constituents: 50% Glycerol, 0.01M PBS, PH 7.4
Form
Liquid
Tested Applications
ELISA, IHC
Recommended Dilution
Application Recommended Dilution
IHC 1:50-1:200
Troubleshooting and FAQs
Storage
Upon receipt, store at -20°C or -80°C. Avoid repeated freeze.
Lead Time
Basically, we can dispatch the products out in 1-3 working days after receiving your orders. Delivery time maybe differs from different purchasing way or location, please kindly consult your local distributors for specific delivery time.
Usage
For Research Use Only. Not for use in diagnostic or therapeutic procedures.

Customer Reviews and Q&A

 Customer Reviews

There are currently no reviews for this product.

Submit a Review here

Target Background

Function
This is a receptor for interleukin-3.
Gene References into Functions
  1. Family-based whole genome analysis of a family with hereditary pulmonary alveolar proteinosis revealed a homozygous deletion that disrupts CSF2RA, CRLF2, and IL3RA gene in the pseudoautosomal region of the X chromosome in the affected child and one of asymptomatic siblings. PMID: 28233860
  2. Our data define the mechanisms by which SL-101 targets acute myeloid leukemia (AML)and warrant further investigation of the clinical application of SL-101 and other CD123-targeting strategies in AML. PMID: 28096272
  3. Data show that the N-terminal domain (NTD) of interleukin 3 receptor subunit alpha (IL3Ralpha) exhibits exquisite flexibility and a dynamic transition from a high to a low mobility state upon cytokine binding. PMID: 29374162
  4. the oncogenic events of FLT3/ITD happen at a cell stage possessing CD123 PMID: 27465508
  5. Data indicate that CD123 was preferentially expressed among CD33/CD117-positive precursor-T-acute lymphoblastic leukemia (T-ALL). PMID: 26474588
  6. CD123 positivity represents a marker that can facilitate identification of the early T-cell precursor leukemia subtype, but the lack of sensitivity by immunohistochemistry limits the diagnostic utility. PMID: 25906118
  7. CD123 expression is associated with systemic mastocytosis. PMID: 26678095
  8. Human BDCA2+CD123+CD56+ dendritic cells (DCs) related to blastic plasmacytoid dendritic cell neoplasm represent a unique myeloid DC subset. PMID: 25779340
  9. CD96 and CD123 are expressed in bone marrow cells of patients with myelodysplastic syndromes PMID: 26642704
  10. High interleukin-3 receptor alpha is associated with blastic plasmacytoid dendritic cell neoplasm. PMID: 25381130
  11. High CD123 expression is associated with systemic mastocytosis. PMID: 25640886
  12. CD123+ plasmacytoid dendritic cells contribute to the sarcoidal granulomas associated with injected permanent fillers. PMID: 25406851
  13. 87.8% of AMLs express CD33. Additionally, 9.4% of AMLs express CD123 without concomitant CD33 expression. PMID: 24927407
  14. Increases in CD34(+)CD38(-)CD123(+) cells may reflect malignant clonal cells with aberrant differentiation, overproliferation, and decreased apoptosis in myelodysplastic syndrome, which were similar to acute myeloid leukemia. PMID: 24846193
  15. In the present study we analyzed the expression of four cell surface antigens relevant to human hematopoiesis-CD90, CD96, CD117, and CD123-in bone marrow from pediatric acute myeloid leukemia patients and normal control subjects. PMID: 24751333
  16. We conclude the hMICL/CD123-based MFC assay is a promising MRD tool in AML. PMID: 24152218
  17. Results suggest that CD123 results suggest that CD123 chimeric antigen receptors (CARs) T cells are a promising immunotherapy for the treatment of high-risk acute myeloid leukemia (AML). PMID: 24030378
  18. CD123 is a useful immunohistochemical marker to facilitate diagnosis of acute graft-versus-host disease in colon. PMID: 23791208
  19. CD123 expression in acute myeloid leukemia is associated with underlying FLT3 and NPM1 mutations. PMID: 22914610
  20. We recommend immunohistochemical analyses for CD123, CD56 and CD4 inblastic plasmacytoid dendritic cell neoplasm patients, particularly in cases where the initial bone marrow study indicates normal morphology. PMID: 23470050
  21. we report that IL3 receptor alpha (IL3Ralpha) and NOTCH play integral roles in the host cell type-specific regulation of PROX1 by Kaposi sarcoma herpes virus PMID: 22719258
  22. High levels of CD34+CD38low/-CD123+ blasts are predictive of an adverse outcome in acute myeloid leukemia PMID: 21933861
  23. The pattern of CD123 staining can be a useful feature to distinguish hypertrophic lupus erythematosus, squamous cell carcinoma and hypertrophic actinic keratosis. PMID: 21955314
  24. These findings support the usefulness of CD123 and CD103 to aid in the differential diagnosis of B-cell lymphoproliferative disorders PMID: 21917686
  25. assessment of CD123 expression is useful for supporting the diagnosis of classical Hodgkin lymphoma PMID: 20809502
  26. Over expression of IL-3Ralpha and truncated mutation of hbetac may be involved in proliferation and differentiation block in NB4 cells. PMID: 21176354
  27. Interleukin 3 receptor alpha is a cell-surface marker present on leukemia-initiating cells of patients with Fanconi anemia-acute myeloid leukemia, and may be a promising therapeutic target for these patients. PMID: 21330473
  28. CD123 was highly expressed in the bone marrow of the patients with myelodysplastic syndrome, significantly correlated with the proportion of bone marrow blasts, and thus might be the marker of MDS malignant clone. PMID: 20819538
  29. Expression of dendritic cell markers CD11c/BDCA-1 and CD123/BDCA-2 in coronary artery disease upon activation in whole blood. PMID: 20888334
  30. Data show high expression of CD86 and CD11C, moderate expression of CD1a and CD123, low levels of CD83 on dendritic cells after induction by GM-CSF and IL-4. PMID: 19257981
  31. Elevated expression in acute myelogenous leukemia is associated with enhanced blast proliferation, increased cellularity, and poor prognosis PMID: 12351411
  32. Bioinformatic study of IL-3 Ralpha & GM Ralpha subunits found a tripeptide sequence near the conserved proline-rich domain which was a key difference between them. Cross-exchange of equivalent subunits altered function compared to wild-type receptors. PMID: 12384414
  33. Analysis of the 5' promoter of the hIL-3Ra gene. PMID: 12504125
  34. IL-3Ralpha mRNA is upregulated by IL-3, IL-5, and GM-CSF in human eosinophils PMID: 12943658
  35. IL-3 receptor activation is not essential for BCR-ABL-induced myeloproliferative diseases PMID: 14500898
  36. REVIEWS overexpression of the IL-3Ralpha chain as one of the mechanisms contributing to the development of a highly malignant leukemic phenotype and evidence that IL-3Ralpha is a marker of leukemic stem cells PMID: 14671644
  37. Therefore, these data provide strong evidence that integrin-dependent STAT5A activation controls IL-3-mediated proliferation. PMID: 15795318
  38. role in modulating tumor neovascularization in conjunction with VEGFR (KDR) PMID: 16007196
  39. Sequencing of interleukin 3 receptor alpha in an independent case-control cohort revealed both common intronic haplotypes and several novel, rare missense variants associated with schizophrenia. PMID: 17522711
  40. variants in the gene coding for its receptor (IL-23R) are strongly associated with Crohn's disease PMID: 18047539
  41. A small but significant contribution of the IL3RA polymorphism to susceptibility to schizophrenia, suggesting that the IL3 pathway may be involved in schizophrenia. PMID: 18547720
  42. CD123+ MDCs were an early-stage immature DC subset, with a significant tumor-inhibiting activity partially via involvement of enhanced cytoplasmic TRAIL. PMID: 18555589
  43. our family-based association study revealed a small but significant contribution of the IL3RA variants to susceptibility to schizophrenia in a Chinese population (Han) PMID: 19281803
  44. overexpression of CD123 is an aberrant phenotype present in a subset of precursor-B ALL with hyperdiploid genotype PMID: 19454491
  45. Progression of cutaneous squamous cell carcinoma in immunosuppressed patients is associated with reduced CD123+ and FOXP3+ cells in the perineoplastic inflammatory infiltrate. PMID: 19614769
  46. the less mature hematogones (dim CD45+) that express CD34 lack CD123 expression, whereas the more mature hematogones (moderate CD45+) lack CD34 but always express CD123. PMID: 19762535

Show More

Hide All

Subcellular Location
Membrane; Single-pass type I membrane protein.
Protein Families
Type I cytokine receptor family, Type 5 subfamily
Database Links

HGNC: 6012

OMIM: 308385

KEGG: hsa:3563

STRING: 9606.ENSP00000327890

UniGene: Hs.632790

icon of phone
Call us
301-363-4651 (Available 9 a.m. to 5 p.m. CST from Monday to Friday)
icon of address
Address
7505 Fannin St., Ste 610, Room 7 (CUBIO Innovation Center), Houston, TX 77054, USA
icon of social media
Join us with

Subscribe newsletter

Leave a message

* To protect against spam, please pass the CAPTCHA test below.
CAPTCHA verification
© 2007-2025 CUSABIO TECHNOLOGY LLC All rights reserved. 鄂ICP备15011166号-1
×
Place an order now

I. Product details

*
*
*
*

II. Contact details

*
*

III. Ship To

*
*
*
*
*
*
*

IV. Bill To

*
*
*
*
*
*
*
*