ITGAV Recombinant Monoclonal Antibody

Code CSB-RA924592A0HU
Size US$210
Order now
Image
  • Flow cytometric analysis of Integrin subunit alpha V expression in HeLa cells using Integrin subunit alpha V antibody. Green, isotype control; red, Integrin subunit alpha V.
  • Immunocytochemical staining of HeLa cells with ITGAV antibody. Nuclei were stained blue with DAPI; ITGAV was stained magenta with Alexa Fluor® 647. Images were taken using Leica stellaris 5. Protein abundance based on laser Intensity and smart gain: Medium. Scale bar, 20 μm.
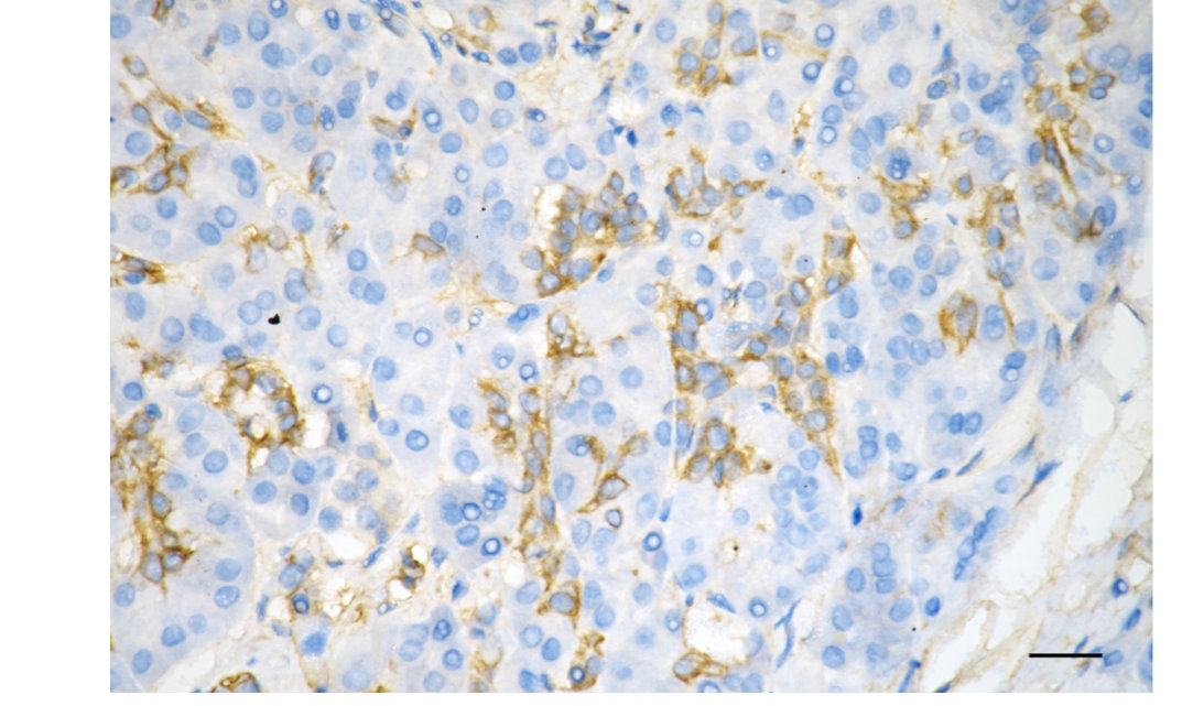
  • Immunohistochemistry was performed on paraffin-embedded human pancreatic adenocarcinoma using integrin subunit alpha V antibody. Antigen retrieval was done in sodium citrate buffer (pH 6.0). DAB was used for detection, with hematoxylin counterstaining. Images were acquired using a Nikon Ci-L Plus microscope (40× objective). Scale bar: 25 μm.
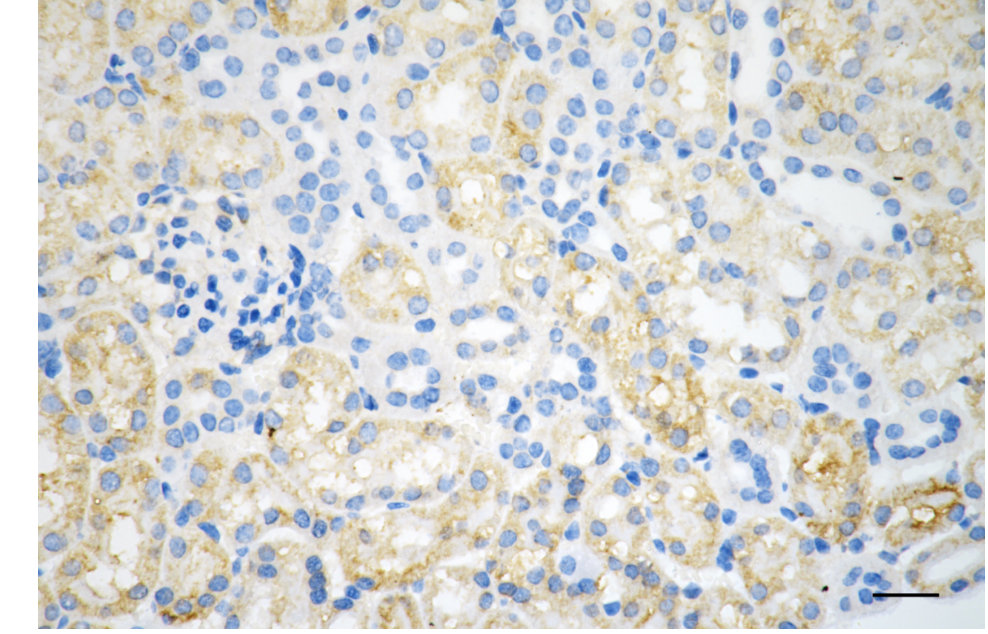
  • Immunohistochemistry was performed on paraffin-embedded mouse kidney using integrin subunit alpha V antibody. Antigen retrieval was done in sodium citrate buffer (pH 6.0). DAB was used for detection, with hematoxylin counterstaining. Images were acquired using a Nikon Ci-L Plus microscope (40× objective). Scale bar: 25 μm.
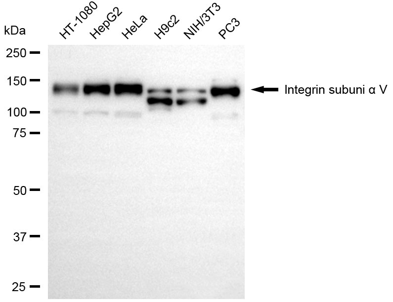
  • Western blotting analysis using integrin subunit alpha V antibody. Total cell lysates (30 μg) from various cell lines were loaded and separated by SDS-PAGE. The blot was incubated with integrin subunit alpha V antibody and HRP-conjugated goat anti-rabbit secondary antibody respectively.
Have Questions? Leave a Message or Start an on-line Chat

Product Details

Uniprot No.
Target Names
Alternative Names
ITGAV; Integrin Subunit Alpha V; CD51; MSK8; VNRA; VTNR; Integrin, Alpha V (Vitronectin Receptor, Alpha Polypeptide, Antigen CD51); Antigen Identified By mAb L230; Vitronectin Receptor Subunit Alpha; Vitronectin Receptor; Integrin Alpha-V; Integrin AlphaVbeta3; Integrin, Alpha V; CD51 Antigen
Species Reactivity
Human, Mouse, Rat
Immunogen
Recombinant Human ITGAV protein
Immunogen Species
Homo sapiens (Human)
Conjugate
Non-conjugated
Clonality
Monoclonal
Isotype
Rabbit IgG
Clone No.
14C5
Purification Method
Affinity-chromatography
Concentration
It differs from different batches. Please contact us to confirm it.
Buffer
Rabbit IgG in PBS (pH 7.4) containing 50% glycerol, and 0.02% sodium azide.
Form
Liquid
Tested Applications
ELISA, WB, FC, ICC, IHC
Recommended Dilution
Application Recommended Dilution
WB 1:1000-1:5000
FC 1:200-1:2000
ICC 1:100-1:1000
IHC 1:50-1:100
Troubleshooting and FAQs
Storage
Upon receipt, store at -20°C or -80°C. Avoid repeated freeze.
Lead Time
Basically, we can dispatch the products out in 1-3 working days after receiving your orders. Delivery time maybe differs from different purchasing way or location, please kindly consult your local distributors for specific delivery time.
Usage
For Research Use Only. Not for use in diagnostic or therapeutic procedures.

Customer Reviews and Q&A

 Customer Reviews

There are currently no reviews for this product.

Submit a Review here

Target Background

Function
The alpha-V (ITGAV) integrins are receptors for vitronectin, cytotactin, fibronectin, fibrinogen, laminin, matrix metalloproteinase-2, osteopontin, osteomodulin, prothrombin, thrombospondin and vWF. They recognize the sequence R-G-D in a wide array of ligands. ITGAV:ITGB3 binds to fractalkine (CX3CL1) and may act as its coreceptor in CX3CR1-dependent fractalkine signaling. ITGAV:ITGB3 binds to NRG1 (via EGF domain) and this binding is essential for NRG1-ERBB signaling. ITGAV:ITGB3 binds to FGF1 and this binding is essential for FGF1 signaling. ITGAV:ITGB3 binds to FGF2 and this binding is essential for FGF2 signaling. ITGAV:ITGB3 binds to IGF1 and this binding is essential for IGF1 signaling. ITGAV:ITGB3 binds to IGF2 and this binding is essential for IGF2 signaling. ITGAV:ITGB3 binds to IL1B and this binding is essential for IL1B signaling. ITGAV:ITGB3 binds to PLA2G2A via a site (site 2) which is distinct from the classical ligand-binding site (site 1) and this induces integrin conformational changes and enhanced ligand binding to site 1. ITGAV:ITGB3 and ITGAV:ITGB6 act as a receptor for fibrillin-1 (FBN1) and mediate R-G-D-dependent cell adhesion to FBN1. Integrin alpha-V/beta-6 or alpha-V/beta-8 (ITGAV:ITGB6 or ITGAV:ITGB8) mediates R-G-D-dependent release of transforming growth factor beta-1 (TGF-beta-1) from regulatory Latency-associated peptide (LAP), thereby playing a key role in TGF-beta-1 activation. ITGAV:ITGB3 act as a receptor for CD40LG.; (Microbial infection) Integrin ITGAV:ITGB5 acts as a receptor for Adenovirus type C.; (Microbial infection) Integrin ITGAV:ITGB5 and ITGAV:ITGB3 act as receptors for Coxsackievirus A9 and B1.; (Microbial infection) Integrin ITGAV:ITGB3 acts as a receptor for Herpes virus 8/HHV-8.; (Microbial infection) Integrin ITGAV:ITGB6 acts as a receptor for herpes simplex 1/HHV-1.; (Microbial infection) Integrin ITGAV:ITGB3 acts as a receptor for Human parechovirus 1.; (Microbial infection) Integrin ITGAV:ITGB3 acts as a receptor for West nile virus.; (Microbial infection) In case of HIV-1 infection, the interaction with extracellular viral Tat protein seems to enhance angiogenesis in Kaposi's sarcoma lesions.
Gene References into Functions
  1. Binding of small molecule ligands and radiolabelled RGD peptides is modulated by expression and activation status of alphavbeta3 integrin. PMID: 28695371
  2. There is no difference in the expression of Integrin alphavbeta3 between tumor samples from glioblastomas patients with methylated or unmethylated promoter regions in the (6)O-methylguanine methyltransferase (MGMT). Further analysis of the integrin subunits via ELISA from histologic sections revealed that there is no difference in integrin subunit expression between these patients. PMID: 29882028
  3. These data suggested CD51 was a predictor for the prognosis of esophageal squamous cell carcinoma patients PMID: 30049512
  4. This study shows that the D2A sequence of the UPAR induces cell growth through alphaVbeta3 integrin and EGFR. PMID: 29184982
  5. Cyclin D1b markedly amplified integrin alphavbeta3 expression, which was further up-regulated under lipopolysaccharide stimulation. PMID: 30074214
  6. differential expression of alphavbeta3 and alphavbeta6 was examined in MDA-MB-231, MDA-MB-468 and MCF-10A cells, which signify three different stages of breast cancer development from highly metastatic to non-tumorigenic stage. PMID: 29577899
  7. High expression of Integrin alphaVbeta6 is an important cause of active proliferation and impaired apoptosis in cervical cancer. PMID: 28682441
  8. The results of the present study suggest that the traditional Chinese formula WD3 may inhibit gastric tumor growth, potentially via the downregulation of integrin alphav beta3 and the inhibition of ERK1/2 phosphorylation in vivo PMID: 29152665
  9. of AIM-cleavage and resulting functional modification could be the basis for designing safe and efficient AIM therapy for various diseases PMID: 27929116
  10. show that sCD40L/alpha5beta1 interaction leads to platelet activation as evaluated in the human whole blood PMID: 26719354
  11. Among Greek and Polish patients with intracerebral hemorrhage, the rs7565633 tag SNP of the ITGAV gene was independently associated with the risk of lobar ICH in a codominant model of inheritance. PMID: 27476161
  12. Although Mn(2+) potently activates other integrins and increases affinity of alphaVbeta6 for pro-TGF-beta1 25- to 55-fold, it increases alphaVbeta8 affinity only 2- to 3-fold. PMID: 28484027
  13. ITGAVITGAVITGAV PMID: 27363302
  14. This work identifies that therapeutic targeting of integrins containing an alpha V integrin unit inhibits cancer progression and thus may be of clinical benefit. PMID: 28314844
  15. this study uncovers a novel pathway by which the TGFbeta-activating integrin alphavbeta8 is expressed in the human intestine on dendritic cell subsets, which is upregulated in patients with inflammatory bowel disease PMID: 27782111
  16. Integrin alphavbeta3 has a role in enhancing beta-catenin signaling in acute myeloid leukemia harboring Fms-like tyrosine kinase-3 internal tandem duplication mutations PMID: 27248172
  17. BKCa has a role in promoting growth and metastasis of prostate cancer through facilitating the coupling between alphavbeta3 integrin and FAK PMID: 27233075
  18. Inhibition of S. aureus ClfA binding to endothelial cell alphaV beta3 by cilengitide prevents endothelial dysfunction PMID: 27606892
  19. Data show that sulfatide promoted integrin alphaV(ITGAV) expression and stimulated integrin alphaVbeta3 clustering and signaling in hepatocellular carcinoma (HCC) cells. PMID: 27145276
  20. in shENO1 pancreatic ductal adenocarcinoma (PDA) cells, downregulation of proteins involved in cell-cell and cell-matrix adhesion include alpha v/beta 3 integrin PMID: 28086938
  21. Low integrin alphaVbeta3 expression is associated with glioblastoma. PMID: 26918452
  22. Data show that FGF2 mutants have potential as anti-angiogenic agents and useful tools for studying the role of integrin alphavbeta3 in FGF2 signalling. PMID: 28302677
  23. VANGL2 interacts with Integrin alphaVbeta3 to regulate matrix metalloproteinase activity and cell adhesion to the extracellular matrix. PMID: 29097183
  24. The results indicate that shear stress is an important mediator in endothelial progenitor cells expression of CD59 regulated by the extacellular matrix-integrin alphaVbeta3-F-actin pathway, which is a key factor in preventing membrane attack complex-mediated cell autolysis. PMID: 28943429
  25. The mechanism of resistance of tongue squamous carcinoma cells Cal27 with de novo integrin alphavbeta3 expression to anticancer drugs was studied. In Cal27 cells integrin alphav heterodimers signal through pSrc(Y418) while this is not the case in integrin alphavbeta3-expressing cells. PMID: 27108184
  26. data demonstrate that M. tuberculosis stimulation upregulates integrin alphaVbeta3 expression on monocytes, which upregulates secretion of MMP-1 and -10 on adhesion to the extracellular matrix; this leads to increased monocyte recruitment and collagenase activity, which will drive inflammatory tissue damage PMID: 28646039
  27. The synergy of circulating factor suPAR and APOL1 G1 or G2 on alphavbeta3 integrin activation is a mechanism for CKD. PMID: 28650456
  28. overexpression of syndecan-1 confers to B-LCs an increased capacity to migrate in response to Tat, owing to a switch from a CXCR4/G-protein/Rac to a syndecan-1/alphavbeta3/pp60src/pp125FAK signal transduction pathway that depends on the formation of a complex in which syndecan-1 interacts with Tat via its HS-chains, with alphavbeta3 via its core protein ectodomain and with pp60src via its intracellular tail PMID: 27819680
  29. These results indicate that CD51 is a novel functional marker for colorectal CSCs which may provide an therapeutic target for the efficient elimination of colorectal CSCs. PMID: 27593923
  30. promoting differentiation of luminal A breast cancer cells by signaling emanating from Int-alphavbeta3 can potentially promote 'normalization' of their malignant phenotype and may prevent the malignant cells from progressing. PMID: 27906177
  31. Data show that dendritic cells (DCs) induced Th17 cell differentiation through miR-363/Integrin alphav/TGF-beta pathway in patients with rheumatoid arthritis (RA). PMID: 28376277
  32. Myocardial alphavbeta3 integrin expression represents a marker of ongoing cardiac repair following acute myocardial infarction. PMID: 27927700
  33. integrin alphaVbeta6 binds pro-TGF-beta1 in an orientation biologically relevant for force-dependent release of TGF-beta from latency PMID: 28117447
  34. In vitro binding assays with purified components reveal that Tie-integrin recognition is direct, and further demonstrate that the receptor binding domain of the Tie2 ligand Ang-1, but not the receptor binding domain of Ang-2, can independently associate with a5b1 or aVb3. cooperative Tie/integrin interactions selectively stimulate ERK/MAPK signaling in the presence of both Ang-1 and fibronectin PMID: 27695111
  35. The findings suggest that, in contrast with previous models, the ligand-binding site of integrin alphaVbeta3, binds to the constant region (helices A and B) of the EC2 domain of CD9, CD81, and CD151 antigens. PMID: 27993971
  36. Antiendothelial alphavbeta3 antibodies are a major cause of intracranial bleeding in fetal/neonatal alloimmune thrombocytopenia. PMID: 27283740
  37. Integrin alphav is required for local activation of latent TGFbeta, and the wound healing defect in the setting of integrin alphav loss was rescued by exogenous, active TGFbeta. PMID: 27295308
  38. Taken together, our findings suggested that HMGB1 enhances tumor cell migration ability by activating alphavbeta3/FAK through TLR4/NF-kappaB signaling, leading to metastasis of NSCLC. PMID: 27769864
  39. these results show that differences in stiffness/fluidity due to alphavbeta3 integrin expression or integrin activation by Mn(2+) might not simply be explained by the coupling of integrins to actin via focal adhesions. PMID: 27553273
  40. Thus, the alphaV integrin subunit is important for varicella-zoster virus gB/gH-gL-mediated viral membrane fusion and infection. PMID: 27279620
  41. The blockage of alphavbeta3 integrin inhibited the FAK-Src association and VEGFR activation, thus reducing tubulogenesis. PMID: 27420801
  42. in some cell lines the cellular entry of human parechovirus 1(HPeV-1) is primarily mediated by the active form of alphaVbeta1 integrin without visible receptor clustering PMID: 27128974
  43. The results implied that these five single nucleotide polymorphisms in the integrin alphavbeta3 gene were not associated with hemorrhagic fever with renal syndrome susceptibility or severity in Han Chinese individuals in Hubei Province. PMID: 28190175
  44. Gastric cancer patients who were both alphavbeta6 and MMP-9 positive had a shorter overall survival. PMID: 27076771
  45. The results of this study demonstrate that molecular dynamics of alphav integrin-GFP can be imaged in lung metastasis, which will allow further understanding of the role of alphav integrin in this process. PMID: 27466481
  46. Periostin expression in human periodontal ligament fibroblasts promotes the migration of human mesenchymal stem cells through the alphavbeta3 integrin/FAK/PI3K/Akt pathway in vitro. PMID: 25900259
  47. Results showed that CD51 expression in pancreatic cancer stroma is associated with enhanced tumor malignancy. PMID: 26846197
  48. endothelial VEGFR-2 appeared to be slightly superior to endothelial alpha v ss 3 for differentiating benign from cancerous lesions. PMID: 26902100
  49. Identify integrin alphavbeta3 as a receptor ofNC1 domain of collagen XIX. NC1(XIX) inhibits the FAK/PI3K/Akt/mTOR pathway, by decreasing the phosphorylation and activity of the major proteins involved in this pathway. PMID: 26621838
  50. In this study, the long binding helix of this ligand was downsized to an enzymatically stable cyclic peptide endowed with sub-nanomolar binding affinity toward the alphavbeta6 receptor and remarkable selectivity against other integrins PMID: 26663660

Show More

Hide All

Subcellular Location
Cell membrane; Single-pass type I membrane protein. Cell junction, focal adhesion.
Protein Families
Integrin alpha chain family
Database Links

HGNC: 6150

OMIM: 193210

KEGG: hsa:3685

STRING: 9606.ENSP00000261023

UniGene: Hs.436873

icon of phone
Call us
301-363-4651 (Available 9 a.m. to 5 p.m. CST from Monday to Friday)
icon of address
Address
7505 Fannin St., Ste 610, Room 7 (CUBIO Innovation Center), Houston, TX 77054, USA
icon of social media
Join us with

Subscribe newsletter

Leave a message

* To protect against spam, please pass the CAPTCHA test below.
CAPTCHA verification
© 2007-2025 CUSABIO TECHNOLOGY LLC All rights reserved. 鄂ICP备15011166号-1
×
Place an order now

I. Product details

*
*
*
*

II. Contact details

*
*

III. Ship To

*
*
*
*
*
*
*

IV. Bill To

*
*
*
*
*
*
*
*