KRT1 Recombinant Monoclonal Antibody

Code CSB-RA213501A0HU
Size US$210
Order now
Image
  • Western Blot
    , Positive WB detected in:U251 whole cell lysate(30µg)
    All lanes: Cytokeratin 1 antibody at 1:1000
    Secondary
    Goat polyclonal to rabbit IgG at 1/40000 dilution
    Predicted band size: 66 kDa
    Observed band size: 66 kDa
    Exposure time:180s
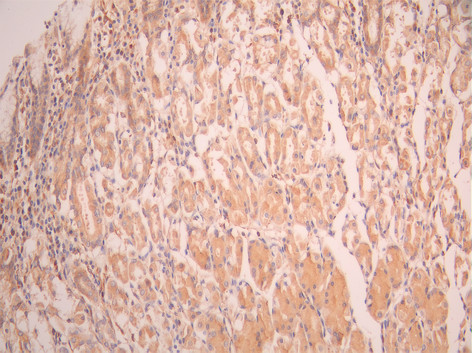
  • IHC image of CSB-RA213501A0HU diluted at 1:100 and staining in paraffin-embedded human stomach tissue performed on a Leica BondTM system. After dewaxing and hydration, antigen retrieval was mediated by high pressure in a citrate buffer (pH 6.0). Section was blocked with 10% normal goat serum 30min at RT. Then primary antibody (1% BSA) was incubated at 4°C overnight. The primary is detected by a Goat anti-rabbit polymer IgG labeled by HRP and visualized using 0.05% DAB.
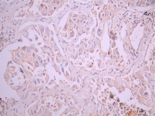
  • IHC image of CSB-RA213501A0HU diluted at 1:100 and staining in paraffin-embedded human lung cancer performed on a Leica BondTM system. After dewaxing and hydration, antigen retrieval was mediated by high pressure in a citrate buffer (pH 6.0). Section was blocked with 10% normal goat serum 30min at RT. Then primary antibody (1% BSA) was incubated at 4°C overnight. The primary is detected by a Goat anti-rabbit polymer IgG labeled by HRP and visualized using 0.05% DAB.
  • Overlay Peak curve showing Hela cells stained with CSB-RA213501A0HU (red line) at 1:100. The cells were fixed in 4% formaldehyde and permeated by 0.2% TritonX-100 for 10min. Then 10% normal goat serum to block non-specific protein-protein interactions followed by the antibody (1ug/1*106cells) for 45min at 4℃. The secondary antibody used was FITC-conjugated goat anti-rabbit IgG (H+L) at 1/200 dilution for 35min at 4℃.Control antibody (green line) was Rabbit IgG (1ug/1*106cells) used under the same conditions. Acquisition of >10, 000 events was performed.
Have Questions? Leave a Message or Start an on-line Chat

Product Details

Uniprot No.
Target Names
KRT1
Alternative Names
67 kDa cytokeratin antibody; CK-1 antibody; CK1 antibody; Cytokeratin-1 antibody; Cytokeratin1 antibody; EHK antibody; EHK1 antibody; Epidermolytic hyperkeratosis 1 antibody; EPPK antibody; Hair alpha protein antibody; K1 antibody; K2C1_HUMAN antibody; Keratin antibody; Keratin type II cytoskeletal 1 antibody; Keratin-1 antibody; Keratin1 antibody; KRT 1 antibody; Krt1 antibody; KRT1A antibody; NEPPK antibody; type II cytoskeletal 1 antibody; Type II keratin Kb1 antibody; Type-II keratin Kb1 antibody
Species Reactivity
Human, Rat
Immunogen
A synthesized peptide from human KRT1 protein
Immunogen Species
Homo sapiens (Human)
Conjugate
Non-conjugated
Clonality
Monoclonal
Isotype
Rabbit IgG
Clone No.
3H7
Purification Method
Affinity-chromatography
Concentration
It differs from different batches. Please contact us to confirm it.
Buffer
Rabbit IgG in 10mM phosphate buffered saline , pH 7.4, 150mM sodium chloride, 0.05% BSA, 0.02% sodium azide and 50% glycerol.
Form
Liquid
Tested Applications
ELISA, WB, IHC, FC
Recommended Dilution
Application Recommended Dilution
WB 1:500-1:5000
IHC 1:50-1:200
FC 1:50-1:200
Troubleshooting and FAQs
Storage
Upon receipt, store at -20°C or -80°C. Avoid repeated freeze.
Lead Time
Basically, we can dispatch the products out in 1-3 working days after receiving your orders. Delivery time maybe differs from different purchasing way or location, please kindly consult your local distributors for specific delivery time.
Usage
For Research Use Only. Not for use in diagnostic or therapeutic procedures.

Customer Reviews and Q&A

 Customer Reviews

There are currently no reviews for this product.

Submit a Review here

Target Background

Function
May regulate the activity of kinases such as PKC and SRC via binding to integrin beta-1 (ITB1) and the receptor of activated protein C kinase 1 (RACK1). In complex with C1QBP is a high affinity receptor for kininogen-1/HMWK.
Gene References into Functions
  1. The authors report a large Italian family affected Palmoplantar Keratoderma and Charcot Marie Tooth disease. Two different mutated genes, KRT1 and MPZ were responsible for the two main clinical signs. Exome analysis detected two missense mutations, one in KRT1 and one in MPZ. PMID: 27639257
  2. Results show that missense mutations exert dominant negative effects on the keratins K1/K10 protein structure by altering inter-chain interactions. PMID: 27421141
  3. KRT1 and the specific polymorphism of KRT1 in this Chinese Han population are associated with autoimmune diseases SLE and SSc PMID: 29028840
  4. Case Report: post-zygotic mosaicism of KRT/1o mutations in epidermolytic Ichthyosis. PMID: 27722766
  5. KRT1 played an important role of maintaining epithelial barrier and its down-regulation in intestinal tissue was correlated with the progression of inflammatory bowel disease. PMID: 28111259
  6. Report genetic/clinical spectrum of KRT1 mutations in keratinopathic ichthyosis. PMID: 26581228
  7. demonstrated the presence of a genetic cutaneous mosaicism. Both patients carry the KRT1 pI479T substitution, but in the palmoplantar areas of one of them, only the mutated allele is expressed (hemizygous). This leads to highlight a new type of cutaneous mosaic, the palmoplantar mosaicism PMID: 25904304
  8. In our study, the missense mutation in the proband and his mother with epidermolytic ichthyosis was a single amino acid difference in codon 478, which causes more serious skin manifestations PMID: 25808222
  9. Complete structure of an epithelial keratin 1/keratin 10 dimer has been presented. PMID: 26181054
  10. These findings indicate that exogenous FABP4 interacts with plasma membrane proteins, specifically CK1. PMID: 26343611
  11. analysis of a heterozygous novel splice junction mutation in the 2B domain of KRT1 in a family with diffuse palmoplantar keratoderma PMID: 25429721
  12. In ichthyosis with confetti, a causal de novo KRT1 mutation had a C-terminal frameshift, replacing 22 C-terminal AAs with an alternate 30-AA peptide. It distorted the IF network and mislocalized to the nucleus. Reversion occurred by mitotic recombination. PMID: 25774499
  13. In HeLa cells transiently expressing C2GnT-M-GFP, knockdown of KRT1 does not affect Golgi morphology but leaves C2GnT-M outside of the Golgi, resulting in the formation of sialyl-T antigen. PMID: 25605727
  14. Decreased levels of cytokeratin-1 is associated with breast cancer. PMID: 25073515
  15. Hsp74, a potential bladder cancer marker, has direct interaction with keratin 1. PMID: 25050384
  16. identified among endothelial antigens to which antibodies are produced during heart transplant rejection PMID: 23707440
  17. Case Report/Letter: specific mutation in 2B domain of KRT1 gives rise to mild phenotype of epidermolytic hyperkeratosis mimicking ichthyosis bullosa of Siemens. PMID: 23623204
  18. study reports 2 related women of Colombian origin, affected by a severe ichthyosis curth-macklin phenotype, who present a novel KRT1 mutation c.1577delG (p.Gly526Alafs*88) PMID: 22834809
  19. Absence of Krt1 caused a prenatal increase in interleukin-18 (IL-18) and the S100A8 and S100A9 proteins, accompanied by a barrier defect and perinatal lethality. PMID: 23132931
  20. Among Japanese patients with bullous congenital ichthyosiform erythroderma for which genetic diagnosis was determined, all showed mustations in KRT1 or KRT10. PMID: 23182068
  21. Identification Keratin 1 as a cDDP-resistant protein in nasopharyngeal carcinoma cell lines. PMID: 22348822
  22. High cytokeratin is associated with colorectal carcinogenesis. PMID: 21912905
  23. we describe one Chinese family affected with EHK, type PS-1 (severe palmoplantar hyperkeratosis, type 1) and report a recurrent missense mutation (c.1436T>C) in the 2B rod domain of KRT1 in this family. PMID: 22250628
  24. mutation analysis in patients with epidermolytic ichthyosis by direct sequencing of KRT1 and KRT10 genes; identified 14 different mutations, of which four have not been published previously PMID: 21271994
  25. keratin 1 L12 domain mutations are associated with a milder epidermolytic ichthyosis phenotype with pronounced palmoplantar keratoderma, and without neonatal erythroderma and scaling. PMID: 20500210
  26. Data demonstrate that genetic variants in the KRT1 interval contribute to quantifiable differences in the migration rates of keratinocytes isolated from different individuals. PMID: 17668073
  27. alpha-keratin intermediate filaments have a low-density core as seen by cryoelectron microscopy PMID: 12064938
  28. The humans hair Keratin 1 genes are each clustered in the genome and clusters are part of the large typeI epithelial keratin gene domains on chromosomes. PMID: 15797458
  29. bullous congenital ichthyosiform erythroderma (BCIE) caused by a mutation in the 1A helix initiation motif of keratin 1. PMID: 16361731
  30. A new genetic polymorphism has been detected, which is especially prevalent among the African-American population. PMID: 16417221
  31. Allelic expression differences result from the cumulative contribution of multiple DNA sequence polymorphisms. PMID: 16789827
  32. The 2 keratin 1 mutations are associated with tonotubular keratin, i.e. 'whorls' of aggregated keratin that form tubules as seen in transverse or in longitudinal sections PMID: 18795921
  33. Mutation L437P in the 2B domain of keratin 1 causes diffuse palmoplantar keratoderma in a Chinese pedigree. PMID: 19470048
  34. Keratin 1, an intermediate filament network component, is the binding partner of the lymphocytic choriomeningitis virus nucleoprotein. PMID: 19494018
  35. Infection by HPV may alter the differentiation status of the epidermis, leading to delayed or absent expression of cytokeratin 1. PMID: 19515043

Show More

Hide All

Involvement in disease
Epidermolytic hyperkeratosis (EHK); Ichthyosis hystrix, Curth-Macklin type (IHCM); Keratoderma, palmoplantar, non-epidermolytic (NEPPK); Ichthyosis annular epidermolytic (AEI); Keratoderma, palmoplantar, striate 3 (SPPK3)
Subcellular Location
Cell membrane. Note=Located on plasma membrane of neuroblastoma NMB7 cells.
Protein Families
Intermediate filament family
Tissue Specificity
The source of this protein is neonatal foreskin. The 67-kDa type II keratins are expressed in terminally differentiating epidermis.
Database Links

HGNC: 6412

OMIM: 113800

KEGG: hsa:3848

STRING: 9606.ENSP00000252244

UniGene: Hs.80828

icon of phone
Call us
301-363-4651 (Available 9 a.m. to 5 p.m. CST from Monday to Friday)
icon of address
Address
7505 Fannin St., Ste 610, Room 7 (CUBIO Innovation Center), Houston, TX 77054, USA
icon of social media
Join us with

Subscribe newsletter

Leave a message

* To protect against spam, please pass the CAPTCHA test below.
CAPTCHA verification
© 2007-2025 CUSABIO TECHNOLOGY LLC All rights reserved. 鄂ICP备15011166号-1
×
Place an order now

I. Product details

*
*
*
*

II. Contact details

*
*

III. Ship To

*
*
*
*
*
*
*

IV. Bill To

*
*
*
*
*
*
*
*