LCN2 Recombinant Monoclonal Antibody

Code CSB-RA945578A0HU
Size US$210
Order now
Image
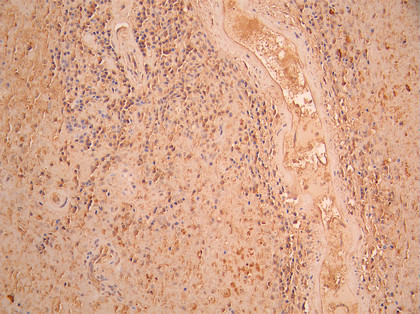
  • IHC image of CSB-RA945578A0HU diluted at 1:100 and staining in paraffin-embedded human spleen tissue performed on a Leica BondTM system. After dewaxing and hydration, antigen retrieval was mediated by high pressure in a citrate buffer (pH 6.0). Section was blocked with 10% normal goat serum 30min at RT. Then primary antibody (1% BSA) was incubated at 4°C overnight. The primary is detected by a Goat anti-rabbit polymer IgG labeled by HRP and visualized using 0.05% DAB.
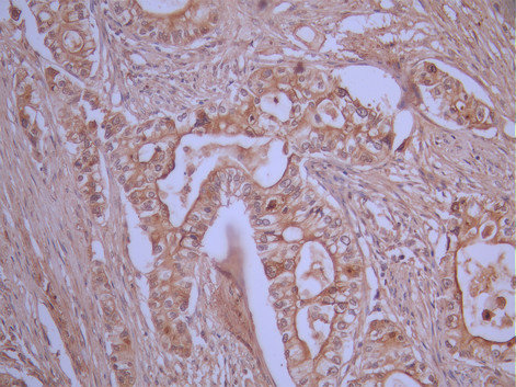
  • IHC image of CSB-RA945578A0HU diluted at 1:100 and staining in paraffin-embedded human pancreatic cancer performed on a Leica BondTM system. After dewaxing and hydration, antigen retrieval was mediated by high pressure in a citrate buffer (pH 6.0). Section was blocked with 10% normal goat serum 30min at RT. Then primary antibody (1% BSA) was incubated at 4°C overnight. The primary is detected by a Goat anti-rabbit polymer IgG labeled by HRP and visualized using 0.05% DAB.
  • Overlay Peak curve showing BxPC-3 cells stained with CSB-RA945578A0HU (red line) at 1:100. The cells were fixed in 4% formaldehyde and permeated by 0.2% TritonX-100 for 10min. Then 10% normal goat serum to block non-specific protein-protein interactions followed by the antibody (1ug/1*106cells) for 45min at 4℃. The secondary antibody used was FITC-conjugated goat anti-rabbit IgG (H+L) at 1/200 dilution for 35min at 4℃.Control antibody (green line) was Rabbit IgG (1ug/1*106cells) used under the same conditions. Acquisition of >10, 000 events was performed.
Have Questions? Leave a Message or Start an on-line Chat

Product Details

Uniprot No.
Target Names
Alternative Names
24p3 antibody; 25 kDa alpha 2 microglobulin related subunit of MMP9 antibody; 25 kDa alpha-2-microglobulin-related subunit of MMP-9 antibody; Alpha 2 microglobulin related protein antibody; HGNC:6526 antibody; HNL antibody; Lcn 2 antibody; Lcn2 antibody; Lipocalin-2 antibody; Migration stimulating factor inhibitor antibody; MSFI antibody; Neutrophil gelatinase associated lipocalin antibody; Neutrophil gelatinase associated lipocalin precursor antibody; Neutrophil gelatinase-associated lipocalin antibody; NGAL antibody; NGAL_HUMAN antibody; Oncogene 24p3 antibody; Oncogenic lipocalin 24p3 antibody; p25 antibody; Siderocalin antibody; siderocalin LCN2 antibody; SV40 induced 24P3 protein antibody; Uterocalin antibody
Species Reactivity
Human
Immunogen
A synthesized peptide from human LCN2 protein
Immunogen Species
Homo sapiens (Human)
Conjugate
Non-conjugated
Clonality
Monoclonal
Isotype
Rabbit IgG
Clone No.
4H9
Purification Method
Affinity-chromatography
Concentration
It differs from different batches. Please contact us to confirm it.
Buffer
Rabbit IgG in 10mM phosphate buffered saline , pH 7.4, 150mM sodium chloride, 0.05% BSA, 0.02% sodium azide and 50% glycerol.
Form
Liquid
Tested Applications
ELISA, IHC, FC
Recommended Dilution
Application Recommended Dilution
IHC 1:50-1:200
FC 1:50-1:200
Troubleshooting and FAQs
Storage
Upon receipt, store at -20°C or -80°C. Avoid repeated freeze.
Lead Time
Basically, we can dispatch the products out in 1-3 working days after receiving your orders. Delivery time maybe differs from different purchasing way or location, please kindly consult your local distributors for specific delivery time.
Usage
For Research Use Only. Not for use in diagnostic or therapeutic procedures.

Customer Reviews and Q&A

 Customer Reviews

There are currently no reviews for this product.

Submit a Review here

Target Background

Function
Iron-trafficking protein involved in multiple processes such as apoptosis, innate immunity and renal development. Binds iron through association with 2,3-dihydroxybenzoic acid (2,3-DHBA), a siderophore that shares structural similarities with bacterial enterobactin, and delivers or removes iron from the cell, depending on the context. Iron-bound form (holo-24p3) is internalized following binding to the SLC22A17 (24p3R) receptor, leading to release of iron and subsequent increase of intracellular iron concentration. In contrast, association of the iron-free form (apo-24p3) with the SLC22A17 (24p3R) receptor is followed by association with an intracellular siderophore, iron chelation and iron transfer to the extracellular medium, thereby reducing intracellular iron concentration. Involved in apoptosis due to interleukin-3 (IL3) deprivation: iron-loaded form increases intracellular iron concentration without promoting apoptosis, while iron-free form decreases intracellular iron levels, inducing expression of the proapoptotic protein BCL2L11/BIM, resulting in apoptosis. Involved in innate immunity; limits bacterial proliferation by sequestering iron bound to microbial siderophores, such as enterobactin. Can also bind siderophores from M.tuberculosis.
Gene References into Functions
  1. NGAL is expressed in enteroendocrine cells in small intestine as well as in colon. PMID: 29869714
  2. Urinary NGAL levels were increased in type 2 diabetic patients with early diabetic nephropathy. PMID: 29673928
  3. In the second trimester, high urinary levels indicate tubular injury in gestational diabetes mellitus cases which seems to be a result of hyperglycemia PMID: 28768458
  4. use of bedside NGAL assessment may significantly hasten diagnosis and treatment of CI-AKI PMID: 29791495
  5. neither the inflammatory biomarker calprotectin, nor the tubular biomarkers NGAL and KIM-1, provide robust prognostic information on the loss of renal function in a heterogeneous CKD population. All of them, however, are candidate prognostic biomarkers in primarily inflammatory renal diseases. PMID: 30078006
  6. Plasma NGAL is a valuable biomarker for differentiating between patients with asthma-chronic obstructive pulmonary disorder overlap and asthma patients. PMID: 29580282
  7. There is no significant relationship between breast cancer patients and LCN2 gene polymorphisms (rs11556770). PMID: 29915849
  8. Knockdown of NGAL protein exhibited inhibited proliferation, enhanced apoptosis, decreased expressions of nuclear factor kappa-light-chain-enhancer of activated B cells (NF-kappaB) as well as B-cell lymphoma-2 (Bcl-2) and increased expressions of cysteine-aspartic acid specific protease-9 (caspase-9) and Bcl2-associated X (Bax), as well as repressed tumorigenicity in vivo. PMID: 30308516
  9. Plasma NGAL level measured after return of spontaneous circulation can be an early predictor for the development of acute kidney injury after cardiac arrest. PMID: 29131707
  10. LCN2 might play a role in the cross-talk between bone homeostasis and glucose homeostasis. PMID: 29952418
  11. The serum levels of cystatin C and urine NGAL, urine OPN can be used as a good marker for assessing the renal effect of obesity which can lead end stage renal disease in pediatric population. PMID: 30035656
  12. Measurement of urinary NGAL levels showed an excellent diagnostic performance for discriminating patients with lupus nephritis from systemic lupus erythematosus without nephritis. PMID: 29533691
  13. In ambulatory healthy women, the relationships among serum LCN2 level, bone density, and osteocalcin were confounded by age and serum creatinine. Although LCN2 was positively related with c-terminal telopeptide of type 1 collagen, the correlation was very weak and may not be physiologically relevant. PMID: 29294226
  14. serum NGAL is an excellent marker for the early diagnosis of febrile UTI, with sensitivity and specificity higher than those of urine NGAL. PMID: 28980274
  15. In this study uNGAL failed to predict contrast induced acute kidney injury (CI-AKI)and was an inadequate triage tool to guide an early intervention strategy to prevent CI-AKI PMID: 28128223
  16. Study results suggest that stratum corneum neutrophil gelatinase-associated lipocalin may be useful as an objective biomarker of changes in acne vulgaris symptoms. PMID: 29473202
  17. Increased serum levels of NGAL were associated with loss of graft function in kidney transplant recipients. PMID: 29528011
  18. In Colombian systemic lupus erythematosus patients, urinary NGAL and MCP-1 in addition to anti-C1q antibodies were useful biomarkers for the identification of renal involvement and discrimination of active lupus nephritis. PMID: 29073812
  19. a mutant form (K3Cys) of endogenous lipocalin 2 (LCN2) is filtered by the kidney but can bypass sites of megalin-dependent recapture, resulting in urinary excretion PMID: 27796299
  20. predictive value of plasma neutrophil gelatinase-associated lipocalin (pNGAL) in patients with severe sepsis PMID: 29572184
  21. Results showed the expression levels of NGAL and NGALR significantly downregulated in clear cell renal cell carcinoma samples. PMID: 30138675
  22. The main finding of the present study was that serum NGAL levels paralleled increasing clinical activity of ulcerative colitis evaluated by Mayo score, and it also discriminated different stages of endoscopic severity of this disease. By contrast, only insignificant association of NGAL with endoscopic activity of Crohn's disease was found with no relationships with clinical activity scores. PMID: 29550798
  23. Upon screening of blood mediators in palmoplantar pustular psoriasis patients, LCN2 emerged as being significantly upregulated compared to healthy participants. PMID: 29395573
  24. Neutrophil gelatinase-associated lipocalin concentrations in the urine and serum on the second day of intensive care unit admission could be used to predict the development of acute kidney injury in the following three to seven days in the intensive care unit; however, the cystatin C concentration did not have predictive value PMID: 28142264
  25. In non-chronic kidney disease group, plasma NGAL was not associated with any baseline variables including iron indices PMID: 28389813
  26. We conclude that the underexpression of CRABP1 and the overexpression of LCN2 may be useful diagnostic biomarkers in thyroid tumours with questionable malignity, and the overexpression of LCN2 and C1QL1 may be useful for prognostic purposes. PMID: 29321030
  27. Blood lipocalin-2 is a biomarker for adipose tissue inflammation in HIV patients treated with antiretroviral therapy. PMID: 29304747
  28. This study illustrates the temporal regulation of NGAL in plasma and CSF, which potentially is a useful reference for studies measuring NGAL as biomarker in older individuals. PMID: 29082525
  29. Higher levels of NGAL in the acute kidney injury patients were associated with high-dose regimen of colistin. PMID: 29190605
  30. bile LCN2 level is a potential diagnostic marker for cholangiocarcinoma. PMID: 27782193
  31. Serum lipocalin-2 concentrations and mortality of severe traumatic brain injury PMID: 28943289
  32. Plasma NGAL is a useful marker of interstitial lesions in patients with chronic kidney disease (CKD) and a predictor of further kidney worsening in the early CKD stage. PMID: 28397074
  33. In STEMI patients, plasma post-percutaneous coronary intervention NGAL levels were decreased compared with pre-pPCI NGAL levels, even with the administration of potentially nephrotoxic contrast medium. Post-NGAL levels seemed to be superior to pre-NGAL levels for the prediction of 30-day mortality outcome. PMID: 28737526
  34. We found that MISP, KLF10, KLF15, PPP1R18, and RXRbeta proteins could strongly respond to TPA stimulation and activate LCN2 transcriptional expression. MEK, ERK, JNK, and P38 kinases were involved in the LCN2 transactivation. Furthermore, the MEK-ERK signal pathway plays a major role in this biological process but does not involve PKCalpha signaling. PMID: 29098164
  35. Nonrenal conditions and systemic severity should be considered for improved AKI prediction by NGAL and L-FABP as biomarkers. PMID: 27605390
  36. NGAL may have some value in non-proteinuric patients and increased values have been observed in persons at risk for Mesoamerican nephropathy--{REVIEW} PMID: 27771693
  37. Studied the role of urinary neutrophil gelatinase-associated lipocalin and albuminuria in the diagnosis of early stage diabetic nephropathy. PMID: 28845433
  38. LCN-2 protein overexpression was positively correlated with MMP-9. PMID: 27339395
  39. The measurement of NGAL appears to predict the occurrence of acute kidney injury after off-pump coronary artery bypass grafting surgery PMID: 28701593
  40. NGAL may have a role in early renal dysfunction even in nonalbuminuric T1D patients PMID: 28620620
  41. Elevated cord blood NGAL concentration seems to be a promising, novel marker, even in subclinical forms of acute kidney injury in asphyxiated neonates. PMID: 27590891
  42. Urinary NGAL levels increase soon after shock wave lithotripsy (SWL). Data suggest that NGAL could be used as an early biomarker of tissue injury after SWL. PMID: 27787615
  43. Results suggest that hippocampal LCN2 upregulation might be a potential pathogenic mechanism leading to further disruption of the hippocampus through neurotoxicity and neuroinflammation in vascular dementia (VaD). Astrocytes seem to be the major source of LCN2 in the hippocampus of rodent models and patients of VaD. Control of hippocampal astrocytic LCN2 expression or activity may be important for neuroprotection in VaD. PMID: 28581123
  44. AUC for day one uNGAL was greater for ICU (AUC=0.85) than in-hospital mortality (AUC=0.74). CONCLUSIONS: Day one uNGAL is a highly accurate predictor of ICU, but less so for in-hospital mortality PMID: 28674715
  45. The urine level of NGAL on the first day of amphotericin B administration was more accurate than serum creatinine in predicting acute kidney injury caused by this agent. PMID: 28575880
  46. Serum neutrophil gelatinase-associated lipocalin level was significantly higher among the total patient cohort and those with sepsis than among the controls, also in patients with systemic inflammatory response syndrome without sepsis and patients without systemic inflammatory response syndrome. Plasma level of neutrophil gelatinase-associated lipocalin was significantly elevated in nonsurvivors compared with survivors. PMID: 28445241
  47. On PICU day 1, interleukin-18 predicted acute kidney injury with area under the curve=0.82, but neutrophil gelatinase-associated lipocalin and liver fatty acid binding protein predicted acute kidney injury with area under the curve of less than or equal to 0.69; on PICU day 2, area under the curve was higher. Interleukin-18 and liver fatty acid binding protein on day 1 predicted prolonged acute kidney injury. PMID: 28430754
  48. Resistin and NGAL correlate with expression of endothelial cell adhesion molecules in sepsis. PMID: 28424824
  49. Direct effects of LCN2 on cardiomyocyte size and number and the consistent associations in experimental and human analyses reveal a central role for LCN2 in the ontogeny of cardiac hypertrophy and heart failure PMID: 28615213
  50. Our results suggest that associated serum levels of proMMP-9, NGAL, proMMP-9/NGAL and NE may reflect the state of systemic inflammation in chronic obstructive pulmonary disease related to cigarette smoking. PMID: 28004483

Show More

Hide All

Subcellular Location
Secreted. Cytoplasmic granule lumen. Cytoplasmic vesicle lumen.
Protein Families
Calycin superfamily, Lipocalin family
Tissue Specificity
Detected in neutrophils (at protein level). Expressed in bone marrow and in tissues that are prone to exposure to microorganism. High expression is found in bone marrow as well as in uterus, prostate, salivary gland, stomach, appendix, colon, trachea and
Database Links

HGNC: 6526

OMIM: 600181

KEGG: hsa:3934

STRING: 9606.ENSP00000277480

UniGene: Hs.204238

icon of phone
Call us
301-363-4651 (Available 9 a.m. to 5 p.m. CST from Monday to Friday)
icon of address
Address
7505 Fannin St., Ste 610, Room 7 (CUBIO Innovation Center), Houston, TX 77054, USA
icon of social media
Join us with

Subscribe newsletter

Leave a message

* To protect against spam, please pass the CAPTCHA test below.
CAPTCHA verification
© 2007-2025 CUSABIO TECHNOLOGY LLC All rights reserved. 鄂ICP备15011166号-1
×
Place an order now

I. Product details

*
*
*
*

II. Contact details

*
*

III. Ship To

*
*
*
*
*
*
*

IV. Bill To

*
*
*
*
*
*
*
*