LGALS1 Recombinant Monoclonal Antibody

Code CSB-RA245846A0HU
Size US$210
Order now
Image
  • Flow cytometric analysis of Galectin 1 expression in C2C12 cells using Galectin 1 antibody. Green, isotype control; red, Galectin 1.
  • Immunocytochemical staining of C2C12 cells with Galectin 1 antibody. Nuclei were stained blue with DAPI; Galectin 1 was stained magenta with Alexa Fluor® 647. Images were taken using Leica stellaris 5. Protein abundance based on laser Intensity and smart gain: High. Scale bar, 20 μm.
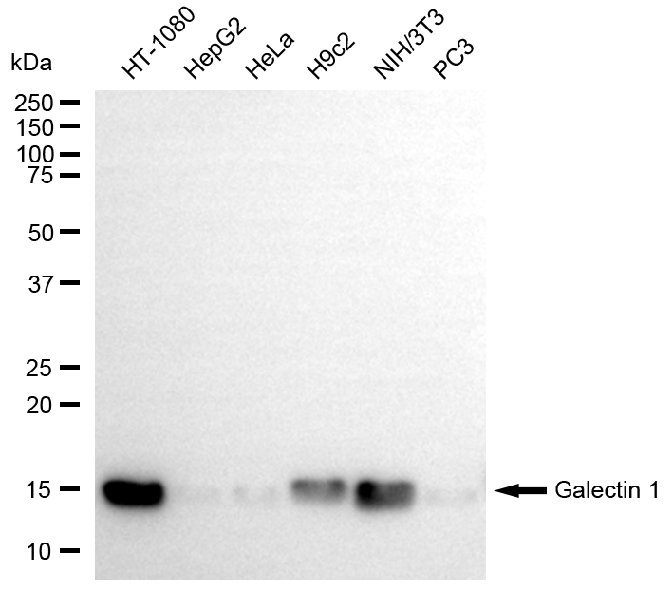
  • Western blotting analysis using galectin 1 antibody. Total cell lysates (30 μg) from various cell lines were loaded and separated by SDS-PAGE. The blot was incubated with galectin 1 antibody and HRP-conjugated goat anti-rabbit secondary antibody respectively.
Have Questions? Leave a Message or Start an on-line Chat

Product Details

Uniprot No.
Target Names
Alternative Names
LGALS1; Galectin 1; GBP; Lectin, Galactoside-Binding, Soluble, 1; Beta-Galactoside-Binding Lectin L-14-I; Putative MAPK-Activating Protein PM12; 14 KDa Laminin-Binding Protein; Lactose-Binding Lectin 1; S-Lac Lectin 1; 14 KDa Lectin; Galectin-1; Galaptin; HLBP14; Gal-1; HBL; HPL; Epididymis Secretory Sperm Binding Protein; Beta-Galactoside-Binding Protein 14kDa; Lectin Galactoside-Binding Soluble 1; GAL1
Species Reactivity
Human, Mouse, Rat
Immunogen
Recombinant Human LGALS1 protein
Immunogen Species
Homo sapiens (Human)
Conjugate
Non-conjugated
Clonality
Monoclonal
Isotype
Rabbit IgG
Clone No.
20G4
Purification Method
Affinity-chromatography
Concentration
It differs from different batches. Please contact us to confirm it.
Buffer
Rabbit IgG in PBS (pH 7.4) containing 50% glycerol, and 0.02% sodium azide.
Form
Liquid
Tested Applications
ELISA, WB, FC, ICC
Recommended Dilution
Application Recommended Dilution
WB 1:1000-1:5000
FC 1:200-1:2000
ICC 1:100-1:1000
Troubleshooting and FAQs
Storage
Upon receipt, store at -20°C or -80°C. Avoid repeated freeze.
Lead Time
Basically, we can dispatch the products out in 1-3 working days after receiving your orders. Delivery time maybe differs from different purchasing way or location, please kindly consult your local distributors for specific delivery time.
Usage
For Research Use Only. Not for use in diagnostic or therapeutic procedures.

Customer Reviews and Q&A

 Customer Reviews

There are currently no reviews for this product.

Submit a Review here

Target Background

Function
Lectin that binds beta-galactoside and a wide array of complex carbohydrates. Plays a role in regulating apoptosis, cell proliferation and cell differentiation. Inhibits CD45 protein phosphatase activity and therefore the dephosphorylation of Lyn kinase. Strong inducer of T-cell apoptosis.
Gene References into Functions
  1. Silencing Gal-1 impaired invasiveness, and decreased S1PR1 expression and overexpression in gastric cancer can promote the expression of S1PR1and invasion of gastric cancer cells. PMID: 30453284
  2. Association of galectin-1 expression with eosinophilic infiltration of the tumor tissue in stomach and colorectal cancer was detected. PMID: 29926280
  3. Study shows that recombinant Galectin-1 (Gal-1) could promote the differentiation and invasion of Trophoblast stem cells (TSCs), suggesting that some of Ishikawa cells secretion increase the expression of Gal-1 in TSCs during implantation, which then induced trophoblast differentiation and invasion in vitro. PMID: 28826368
  4. In conclusion, these findings suggest that the serum levels of Gal-1, Gal-3, and Gal-9 may be associated with large artery atherosclerotic stroke. PMID: 28112232
  5. High LGALS1 expression is associated with fibrosis in chronic pancreatitis and pancreatic cancer. PMID: 29328490
  6. Pancreatic stellate cells promote cancer proliferation, migration, and invasion via Gal1-driven pathways. Gene-expression analyses of pancreatic tumor cells exposed to Gal1 reveal modulation of multiple regulatory pathways involved in tumor progression. PMID: 29615514
  7. Studies indicate tumor-derived galectin-1, galectin-3 and galectin-9 in various cancers and anticancer therapies that target these molecules [Review]. PMID: 29389859
  8. The expression level of galectin-1 affects survival in patients with glioblastoma multiforme treated with adjuvant radiotherapy PMID: 29378529
  9. Results show that Galectin-1 teams up with Galectin-3 to induce inflammatory/pro-degradative gene signature in human chondrocytes affecting the progression of osteoarthritis. Also, Galectin-3 was found to induce a pro-degradative-inflammatory gene signature in human chondrocytes, teaming up with Galectin-1 in the pathogenesis of osteoarthritis. PMID: 27982117
  10. We also found a subset of prostate cancer patient-derived xenografts and prostate cancer patient samples with mild HO-1 and low Gal-1 expression levels. These results highlight a novel function of a human-used drug as a means of boosting the antitumor response PMID: 28512172
  11. Gal-1, Gal-3 and Gal-9 galectin expression was higher in the myenteric plexus ganglia of chagasic patients PMID: 28554765
  12. Results have shown that Gal-1 in the farnesyl-bound form acquires the ability to form self-clusters, and the galactoside-binding pocket of Gal-1 in the FTS-bound form plays an important role in self-cluster formation. PMID: 27624845
  13. Our findings support the introduction of galectin-1 as a reliable diagnostic marker for thyroid carcinomas. Its involvement in cell proliferation, migration, invasion and tumor growth also intimate functional involvement of galectin-1 in the progression of thyroid carcinoma, suggesting its potential as a therapeutic target PMID: 28677745
  14. This study showed that obese children had significantly higher galectin-1 levels in proportion to fat mass in obese cases than those in healthy children, which may be interpreted as a compensatory increase in an attempt to improve glucose metabolism. PMID: 28728946
  15. We further demonstrated using the NMR-based hydrogen-deuterium exchange (HDX) that lactose binding increases the exchange rates of residues located on the opposite side of the ligand-binding pocket for hGal1 and hGal8(NTD), indicative of allostery. Additionally, lactose binding induces significant stabilisation of hGal8(CTD) across the entire domain PMID: 28813004
  16. our findings indicate that galectin-1 plays a pivotal role in the regulation of key processes in cancer cells, such as migration, invasion, and chemoresistance, by modulating FAK and ERK signaling and survivin level. PMID: 28415760
  17. Gal-3 staining in the nucleus could be a new positive prognosticator for ovarian cancer. PMID: 28594391
  18. Gal-1 may offer an additional therapeutic target linking anti-angiogenesis and immune checkpoint blockade. PMID: 28473314
  19. markedly increased brain Gal-1 and S-nitrosylated Gal-1 both in scrapie-infected rodents and human prion diseases. PMID: 27211330
  20. Gal-1 knockdown dramatically improved drug sensitivity of breast cancer by reducing P-glycoprotein (P-gp) expression via inhibiting the Raf-1/AP-1 pathway, providing a novel therapeutic target to overcome MDR in breast cancer. PMID: 28212576
  21. the immunosuppressive microenvironment promoted by hepatic stellate cell-derived galectin-1 in hepatocellular carcinoma can be inhibited by miR-22 PMID: 27494859
  22. Galectin-1 promotes invasion and epithelial mesenchymal transformation in gastric cancer cells via activation of the non-canonical Hh pathway in Gli-1 dependent manner. PMID: 27835885
  23. Gal-1 level retained independent predictive influence on the risk of developing cGvHD PMID: 27214079
  24. this study identified 131 Gal-3 and 15 Gal-1 interactors by galectin pulldown experiments combined with quantitative proteomics. PMID: 28576849
  25. we found that galectin-1 was a novel modulator of MDR1 by proteomic analysis of a model system of leukemia cell lines PMID: 27050374
  26. Data found Gal-1 to induce EMT and gastric cancer (GC) cell migration and invasion. Also, Gal-1 up-regulated Gli1 expression and beta1 integrin was responsible for Gal-1-induced Gli1 expression and EMT. PMID: 27836001
  27. Galectin-1-driven production of SDF-1 in pancreatic stellate cells through activation of NF-kappaB promotes metastasis in pancreatic ductal adenocarcinoma. PMID: 28336327
  28. Gal-1 expression by MM cells was upregulated in hypoxic conditions and stable knockdown of hypoxia inducible factor-1alpha significantly downregulated its expression PMID: 27311934
  29. Gal1 may be a useful marker for determining whether morphologic changes in oral cells are reactive or neoplastic PMID: 26980012
  30. The aim of this study was to analyze the syncytium formation abilities of BeWo cells that were gal-1 silenced. PMID: 26418280
  31. Studies provide evidence that galectin-1 belongs to the group of potential pathogenic molecules in systemic lupus erythematosus. [review] PMID: 28100106
  32. an intact dimer interface of Gal-1 is required for it to positively regulate H-rasG12V nanoclustering, but negatively K-rasG12V nanoclustering. PMID: 27087647
  33. Our results suggest that Gal-1 and ASPP2 functionally compete in nanocluster for active Ras on the plasma membrane. ASPP2 dominates the biological outcome, thus switching from a Gal-1 supported growth-promoting setting to a senescence inducing and stemness suppressive program in cancer cells. Our results support Ras nanocluster as major integrators of tumour fate decision events. PMID: 27437940
  34. Galectin-1 and Galectin-3 are novel-binding partners for human FVIII. Gal-1 binding can influence the procoagulant activity of FVIII. PMID: 27013611
  35. Proteomics of the interstitial fluid in subcutaneous adipose tissue in vivo identified a novel adipokine, galectin-1, with a potential role in the pathophysiology of type 2 diabetes. PMID: 27282870
  36. Suggest that galectin-1 is a protective factor against the development of digital vasculopathy in systemic sclerosis. PMID: 24517166
  37. This study demonstrated that TLR-mediated PI3K activation modulated the invasion and metastasis of ovarian cancer through the production of galectin-1. PMID: 28350104
  38. Gal-1-regulated carcinoma-associated fibroblast activation promotes breast cancer cell metastasis by upregulating MMP-9 expression. PMID: 27025601
  39. It is a beta-galactose-binding animal lectin and known to be distributed throughout the body. PMID: 27590897
  40. Our functional analyses of galectin-1 in urinary bladder urothelial carcinoma provided novel insights into the critical role of galectin-1 in tumor progression and invasion. These results revealed that silencing the galectin-1-mediated MAPK signaling pathway presented a novel strategy for bladder cancer therapy. PMID: 27440446
  41. the TLR4/Gal-1 signaling pathway regulates lactate-mediated EMT processes through the activation of ADAM10 and ADAM17 in colon cancer cells. PMID: 27837433
  42. These findings suggest that Gal-1 plays an important role in immune escape of gingival squamous cell carcinoma cells, and Gal-1 expression level may be a useful clinicopathological prognostic marker for this cancer. PMID: 28108653
  43. Galectin-1 gene silencing would improve the sensitivity of A549/DDP cells to cisplatin in vivo and in vitro. PMID: 27392028
  44. In this study, gal-1, -2, -3 and -13 were investigated systematically in the trophoblast and decidua compartment of intrauterine growth restriction (IUGR) placentas and normal third trimester control placentas and stratified by fetal gender and gestational age. Gal-1 Expression Shows No Significant Changes in IUGR Placentas in Villous Trophoblasts. PMID: 27070577
  45. Galectin-1 overexpression activates the FAK/PI3K/AKT pathway by upregulating expression of alphavbeta3 integrin, leading to enhanced hepatocellular carcinoma invasion via epithelial-mesenchymal transition and sorafenib resistance. PMID: 27100895
  46. results show that HELLP syndrome is associated with increased circulating levels of gal-1 PMID: 26956510
  47. The integrative analysis of galectins(Gal-1, -3, -4, -9) discriminated IBD from other intestinal inflammatory conditions and could be used as potential mucosal biomarker PMID: 26891020
  48. Galectin-1 was undetectable in normal and ulcerative colitis colonic epithelium, while galectin-2, galectin-3, and galectin-4 were strongly expressed. PMID: 26885508
  49. Tumor-driven, unremitting expression of Satb1 in activated Zbtb46+ inflammatory dendritic cells that infiltrate ovarian tumors results in an immunosuppressive phenotype characterized by increased secretion of tumor-promoting Galectin-1 and IL-6. PMID: 26876172
  50. Epithelial immunostaining for galectin-1 tended to be elevated in fallopian tubes from women with ectopic pregnancy. PMID: 26359845

Show More

Hide All

Subcellular Location
Secreted, extracellular space, extracellular matrix. Cytoplasm. Secreted.
Tissue Specificity
Expressed in placenta, maternal decidua and fetal membranes. Within placenta, expressed in trophoblasts, stromal cells, villous endothelium, syncytiotrophoblast apical membrane and villous stroma. Within fetal membranes, expressed in amnion, chorioamnioti
Database Links

HGNC: 6561

OMIM: 150570

KEGG: hsa:3956

STRING: 9606.ENSP00000215909

UniGene: Hs.445351

icon of phone
Call us
301-363-4651 (Available 9 a.m. to 5 p.m. CST from Monday to Friday)
icon of address
Address
7505 Fannin St., Ste 610, Room 7 (CUBIO Innovation Center), Houston, TX 77054, USA
icon of social media
Join us with

Subscribe newsletter

Leave a message

* To protect against spam, please pass the CAPTCHA test below.
CAPTCHA verification
© 2007-2025 CUSABIO TECHNOLOGY LLC All rights reserved. 鄂ICP备15011166号-1
×
Place an order now

I. Product details

*
*
*
*

II. Contact details

*
*

III. Ship To

*
*
*
*
*
*
*

IV. Bill To

*
*
*
*
*
*
*
*