MAPKAPK2 Recombinant Monoclonal Antibody

Code CSB-RA077085A0HU
Size US$210
Order now
Image
  • Flow cytometric analysis of MAPK activated protein kinase 2 expression in HepG2 cells using MAPK activated protein kinase 2 antibody. Green, isotype control; red, MAPK activated protein kinase 2.
  • Immunocytochemical staining of HepG2 cells with MAPK activated protein kinase 2 antibody. Nuclei were stained blue with DAPI; MAPK activated protein kinase 2 was stained magenta with Alexa Fluor® 647. Images were taken using Leica stellaris 5. Protein abundance based on laser Intensity and smart gain: Medium. Scale bar, 20 μm.
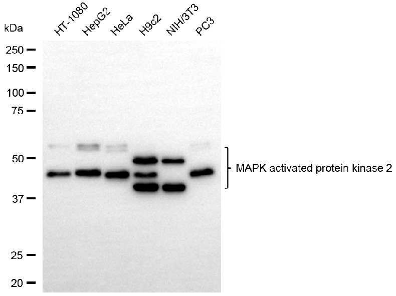
  • Western blotting analysis using MAPK activated protein kinase 2 antibody. Total cell lysates (30 μg) from various cell lines were loaded and separated by SDS-PAGE. The blot was incubated with MAPK activated protein kinase 2 antibody and HRP-conjugated goat anti-rabbit secondary antibody respectively.
Have Questions? Leave a Message or Start an on-line Chat

Product Details

Uniprot No.
Target Names
Alternative Names
MAPKAPK2; MAPK Activated Protein Kinase 2; MK2; Mitogen-Activated Protein Kinase-Activated Protein Kinase 2; MAP Kinase-Activated Protein Kinase 2; MAPKAP Kinase 2; EC 2.7.11.1; MAPKAP-K2; MK-2; MAPK-Activated Protein Kinase 2; MAPKAPK-2; EC 2.7.11
Species Reactivity
Human, Mouse, Rat
Immunogen
Recombinant Human MAPKAPK2 protein
Immunogen Species
Homo sapiens (Human)
Conjugate
Non-conjugated
Clonality
Monoclonal
Isotype
Rabbit IgG
Clone No.
1E3
Purification Method
Affinity-chromatography
Concentration
It differs from different batches. Please contact us to confirm it.
Buffer
Rabbit IgG in PBS (pH 7.4) containing 50% glycerol, and 0.02% sodium azide.
Form
Liquid
Tested Applications
ELISA, WB, FC, ICC
Recommended Dilution
Application Recommended Dilution
WB 1:1000-1:5000
FC 1:200-1:2000
ICC 1:100-1:1000
Troubleshooting and FAQs
Storage
Upon receipt, store at -20°C or -80°C. Avoid repeated freeze.
Lead Time
Basically, we can dispatch the products out in 1-3 working days after receiving your orders. Delivery time maybe differs from different purchasing way or location, please kindly consult your local distributors for specific delivery time.
Usage
For Research Use Only. Not for use in diagnostic or therapeutic procedures.

Customer Reviews and Q&A

 Customer Reviews

There are currently no reviews for this product.

Submit a Review here

Target Background

Function
Stress-activated serine/threonine-protein kinase involved in cytokine production, endocytosis, reorganization of the cytoskeleton, cell migration, cell cycle control, chromatin remodeling, DNA damage response and transcriptional regulation. Following stress, it is phosphorylated and activated by MAP kinase p38-alpha/MAPK14, leading to phosphorylation of substrates. Phosphorylates serine in the peptide sequence, Hyd-X-R-X(2)-S, where Hyd is a large hydrophobic residue. Phosphorylates ALOX5, CDC25B, CDC25C, CEP131, ELAVL1, HNRNPA0, HSP27/HSPB1, KRT18, KRT20, LIMK1, LSP1, PABPC1, PARN, PDE4A, RCSD1, RPS6KA3, TAB3 and TTP/ZFP36. Phosphorylates HSF1; leading to the interaction with HSP90 proteins and inhibiting HSF1 homotrimerization, DNA-binding and transactivation activities. Mediates phosphorylation of HSP27/HSPB1 in response to stress, leading to the dissociation of HSP27/HSPB1 from large small heat-shock protein (sHsps) oligomers and impairment of their chaperone activities and ability to protect against oxidative stress effectively. Involved in inflammatory response by regulating tumor necrosis factor (TNF) and IL6 production post-transcriptionally: acts by phosphorylating AU-rich elements (AREs)-binding proteins ELAVL1, HNRNPA0, PABPC1 and TTP/ZFP36, leading to the regulation of the stability and translation of TNF and IL6 mRNAs. Phosphorylation of TTP/ZFP36, a major post-transcriptional regulator of TNF, promotes its binding to 14-3-3 proteins and reduces its ARE mRNA affinity, leading to inhibition of dependent degradation of ARE-containing transcripts. Phosphorylates CEP131 in response to cellular stress induced by ultraviolet irradiation which promotes binding of CEP131 to 14-3-3 proteins and inhibits formation of novel centriolar satellites. Also involved in late G2/M checkpoint following DNA damage through a process of post-transcriptional mRNA stabilization: following DNA damage, relocalizes from nucleus to cytoplasm and phosphorylates HNRNPA0 and PARN, leading to stabilization of GADD45A mRNA. Involved in toll-like receptor signaling pathway (TLR) in dendritic cells: required for acute TLR-induced macropinocytosis by phosphorylating and activating RPS6KA3.
Gene References into Functions
  1. Study found an elevated expression level of MK2 in serum specimens of patients with spinal cord injury. MiR-137 targets MK2 and inhibits its mediated inflammatory response and apoptosis after spinal cord injury. PMID: 29125882
  2. The novel MK2 substrates have emerged in the DNA damage response, autophagy, and obesity, making MK2 a multifunctional kinase at the crossroads of stress response and cell death. PMID: 29275999
  3. According to the information mentioned above, we now report the design and synthesis of some series of new urea derivatives that were then evaluated for their inhibitory activities against MAPKAPK2, TNF-a, and p38a PMID: 27223276
  4. MK2 post-transcriptionally regulates TNF-alpha-induced ICAM-1 expression by altering the cytoplasmic localization of HuR in human lung microvascular endothelial cells. PMID: 27215284
  5. MK2 overexpression is associated with primary liver tumors. PMID: 26169728
  6. mTOR controls the senescence-associated secretory phenotype by differentially regulating the translation of the MK2 (also known as MAPKAPK2). PMID: 26280535
  7. analysis of signaling cooperation between p38-MAPK/MAPKAP-2/Hsp27 and intracellular calcium release in AA-induced HBEC apoptosis PMID: 24802256
  8. Low pMK2 expression was found to correlate significantly with overall survival after induction plus chemoradiation therapy in head and neck squamous cell carcinoma patients. PMID: 25019640
  9. The protein expression of both HMGB1 and MAPKAPK2 were increased in KLM1-R cells. PMID: 26124331
  10. Data indicate the binding mode and molecular mechanism of action of MAPK-activated protein kinase-2 (MK2) and inhibitors. PMID: 25255283
  11. Treatment with MK2 or p38 inhibitors blocked human papillomavirus genome amplification, identifying the p38/MK2 pathway as a key regulator of the human papillomavirus life cycle. PMID: 25410865
  12. a key role of MK2 and FasR in the regulation and limitation of the immune response in the CNS PMID: 24964076
  13. IscU is a new substrate of MK2 both in Drosophila cells and in human cells PMID: 25204651
  14. MK2 mediates gemcitabine efficacy in pancreatic cancer cells that respond to the drug, suggesting that the p38/MK2 pathway represents a determinant of the efficacy by that gemcitabine counteracts pancreatic cancer. PMID: 24556918
  15. MK2 plays a critical role in the development of apoptosis. PMID: 24304496
  16. ATM and MAPKAP kinase 2 mediate radiation sensitivity in pancreatic cancer cells via phosphorylation of TRIM29. PMID: 24469230
  17. the functional copy number variation 30450 in the MAPKAPK2 promoter elevates the nasopharyngeal carcinoma risk with a modulation by EBV infection PMID: 24056810
  18. These data suggest that MK2 is a key downstream effector of p38 that can modulate pemphigus vulgaris autoantibody pathogenicity. PMID: 23657501
  19. MK2 activity was required for damage response, accumulation of ssDNA, and decreased survival when cells were treated with the nucleoside analogue gemcitabine or when the checkpoint kinase Chk1 was antagonized. PMID: 24082115
  20. MK2 gene rs45514798 polymorphisms may be associated with HDL-C in Uygur men younger than 50 years old from Hetian area of Xinjiang. PMID: 23744329
  21. Kaposin B significantly contributes to the chronic inflammatory environment by unique activation of the proto-oncogene STAT3, coupled with MK2-mediated inactivation of the STAT3 transcriptional repressor TRIM28. PMID: 23740979
  22. activation of PP2A or inactivation of the p38MAPK-MAPKAPK2-Hsp27 has a role in survival of cancer stem cells under hypoxia and serum depletion via decrease in PP2A activity PMID: 23185379
  23. This study showed that MK2 kinase is activated by TcdA and TcdB and regulates the expression of proinflammatory cytokines. PMID: 23264053
  24. Cigarette smoke and its component acrolein augment IL-8/CXCL8 mRNA stability via p38 MAPK/MK2 signaling in human pulmonary cells. PMID: 22983351
  25. A functional copy-number variation in MAPKAPK2 predicts risk and prognosis of lung cancer PMID: 22883146
  26. Data show that MAPKAP kinase 2 overexpression is associated with expression of p38 MAP kinase and ETV1 in gastrointestinal stromal tumors (GIST). PMID: 22351694
  27. analysis of inhibition of human MK2 PMID: 22119462
  28. TLR3 induces signaling mechanisms involving TRIF, p38 MAPK and MK2 to enhance stabilization of IFN-beta mRNA contributing to enhanced IFN-beta levels during pathogen infections. PMID: 22200507
  29. MK2 SUMOylation is a new mechanism for regulating actin filament dynamics in ECs. PMID: 21131586
  30. Demonstrate a critical role for the MK2 pathway in the posttranscriptional regulation of gene expression as part of the DNA damage response in cancer cells. PMID: 20932473
  31. MK2 phosphorylation reduces the ability of TTP to promote deadenylation by inhibiting the recruitment of CAF1 deadenylase in a mechanism that does not involve sequestration of TTP by 14-3-3. PMID: 20595389
  32. Tumor necrosis factor (TNF)-alpha protein, but not messenger RNA production, is markedly impaired by MK2 deficiency of transgenic mice. PMID: 20375303
  33. From a siRNA screen of the human kinome adapted to a high-throughput format, we found that knock-down of the MAPK-activated protein kinase 2 (MK2), a downstream target of the p38 MAPK, protected against Shiga toxicity. PMID: 19951368
  34. miR-34c is a critical regulator of c-Myc expression following DNA damage acting downstream of p38 MAPK/MK2, and miR-34c serves to remove c-Myc to prevent inappropriate replication which may otherwise lead to genomic instability. PMID: 20212154
  35. Data provide evidence that p38 Map kinase pathway is activated leading to increased upregulation of mixed lineage kinase 3, MKK3/6, MSK1, and Mapkapk2, upon treatment of BCR/ABL expressing cells with dasatinib PMID: 19672773
  36. Findings implicate p38 MAPK and MAPKAPK2 in mediating bladder cancer invasion via regulation of MMP-2 and MMP-9 at the level of mRNA stability. PMID: 20068172
  37. MK2 signaling has a minor role in skin inflammation [commentary] PMID: 20081887
  38. Examination of the kinetic mechanism PMID: 12147348
  39. structure suggests a bifunctional switch that couples kinase activation with nuclear export PMID: 12171911
  40. role in pathway that promotes urokinase plasminogen activator mRNA stability in invasive breast cancer cells PMID: 12377770
  41. MAPKAPK-2 and ERKs activate 5-lipoxygenase PMID: 12751751
  42. crystal structures of a catalytically active C-terminal deletion form of human MAP KAP kinase 2, residues 41-364, in complex with staurosporine at 2.7 A and with ADP at 3.2 A PMID: 12791252
  43. MK2 is activated with p66(ShcA) co-expression and p66(ShcA) is an in vitro substrate for MK2, further demonstrating their association and suggesting a biological role for p66(Shc) in MK2 activation PMID: 15094067
  44. BAG2 was directly phosphorylated at serine 20 in vitro by MAPKAPK2 and MAPKAP2 is also required for phosphorylation of BAG2 in vivo. PMID: 15271996
  45. The 30-amino acid docking domain peptide of MAPKAPK2 isoform a (MK2a) is required for the formation of a tight, functional p38alpha-MK2a signaling complex. PMID: 15287722
  46. MAPKAP kinase-2 is directly responsible for Cdc25B/C phosphorylation and 14-3-3 binding in vitro and in response to UV-induced DNA damage. PMID: 15629715
  47. Kaposin B reverses the instability of cytokine trnscripts by binding to and activating mitogen-activated protein kinase-associated protein kinase 2, a target of the p38 mitogen-activated protein kinase signaling pathway and inhibitor of ARE-mRNA decay PMID: 15692053
  48. HSF1 phosphorylation by MAPK-activated protein kinase 2 on serine 121, inhibits transcriptional activity and promotes HSP90 binding PMID: 16278218
  49. Both MAPKAPK2 and HSP27 are necessary for TGFbeta-mediated increases in MMP-2 and cell invasion in human prostate cancer. PMID: 16407830
  50. Increased activation of MAPKAP2 is responsible for elevated and posttranscriptionally regulated TNF-alpha protein expression in psoriatic skin. PMID: 16424170

Show More

Hide All

Subcellular Location
Cytoplasm. Nucleus. Note=Phosphorylation and subsequent activation releases the autoinhibitory helix, resulting in the export from the nucleus into the cytoplasm.
Protein Families
Protein kinase superfamily, CAMK Ser/Thr protein kinase family
Tissue Specificity
Expressed in all tissues examined.
Database Links

HGNC: 6887

OMIM: 602006

KEGG: hsa:9261

STRING: 9606.ENSP00000356070

UniGene: Hs.643566

icon of phone
Call us
301-363-4651 (Available 9 a.m. to 5 p.m. CST from Monday to Friday)
icon of address
Address
7505 Fannin St., Ste 610, Room 7 (CUBIO Innovation Center), Houston, TX 77054, USA
icon of social media
Join us with

Subscribe newsletter

Leave a message

* To protect against spam, please pass the CAPTCHA test below.
CAPTCHA verification
© 2007-2025 CUSABIO TECHNOLOGY LLC All rights reserved. 鄂ICP备15011166号-1
×
Place an order now

I. Product details

*
*
*
*

II. Contact details

*
*

III. Ship To

*
*
*
*
*
*
*

IV. Bill To

*
*
*
*
*
*
*
*