PDGFRB (rinucumab) Recombinant Monoclonal Antibody

Code CSB-RA017713MA1HU
Size US$210
Order now
Image
  • The Binding Activity of Human PDGFRB with Anti-PDGFRB Recombinant antibody
    Activity: Measured by its binding ability in a functional ELISA. Immobilized Human PDGFRB (CSB-MP017713HU1) at 2 μg/mL can bind Anti-PDGFRB recombinant antibody. The EC50 is 2.471-2.776 ng/mL.
  • IHC image of CSB-RA017713MA1HU diluted at 1:50 and staining in paraffin-embedded human placenta tissue performed on a Leica BondTM system. After dewaxing and hydration, antigen retrieval was mediated by high pressure in a citrate buffer (pH 6.0). Section was blocked with 10% normal goat serum 30min at RT. Then primary antibody (1% BSA) was incubated at 4°C overnight. The primary is detected by a Anti-Human lgG, Fcy Fragment Specific labeled by HRP and visualized using 0.05% DAB.
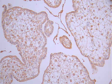
  • IHC image of CSB-RA017713MA1HU diluted at 1:50 and staining in paraffin-embedded human testis tissue performed on a Leica BondTM system. After dewaxing and hydration, antigen retrieval was mediated by high pressure in a citrate buffer (pH 6.0). Section was blocked with 10% normal goat serum 30min at RT. Then primary antibody (1% BSA) was incubated at 4°C overnight. The primary is detected by a Anti-Human lgG, Fcy Fragment Specific labeled by HRP and visualized using 0.05% DAB.
Have Questions? Leave a Message or Start an on-line Chat

Product Details

Uniprot No.
Target Names
Alternative Names
Beta platelet derived growth factor receptor antibody; Beta-type platelet-derived growth factor receptor antibody; CD 140B antibody; CD140 antigen-like family member B antibody; CD140b antibody; CD140b antigen antibody; IBGC4 antibody; IMF1 antibody; JTK12 antibody; OTTHUMP00000160528 antibody; PDGF R beta antibody; PDGF Receptor beta antibody; PDGF-R-beta antibody; PDGFR 1 antibody; PDGFR antibody; PDGFR beta antibody; PDGFR1 antibody; PDGFRB antibody; PGFRB_HUMAN antibody; Platelet derived growth factor receptor 1 antibody; Platelet derived growth factor receptor beta antibody; Platelet derived growth factor receptor beta polypeptide antibody
Species Reactivity
Human
Immunogen
Recombinant Human PDGFRB protein
Immunogen Species
Homo sapiens (Human)
Conjugate
Non-conjugated
Clonality
Monoclonal
Isotype
hIgG4
Clone No.
11H3
Purification Method
Affinity-chromatography
Concentration
It differs from different batches. Please contact us to confirm it.
Buffer
Preservative: 0.03% Proclin 300
Constituents: 50% Glycerol, 0.01M PBS, PH 7.4
Form
Liquid
Tested Applications
ELISA, IHC
Recommended Dilution
Application Recommended Dilution
ELISA 1:5000-1:50000
IHC 1:50-1:200
Troubleshooting and FAQs
Storage
Upon receipt, store at -20°C or -80°C. Avoid repeated freeze.
Lead Time
Basically, we can dispatch the products out in 1-3 working days after receiving your orders. Delivery time maybe differs from different purchasing way or location, please kindly consult your local distributors for specific delivery time.
Usage
For Research Use Only. Not for use in diagnostic or therapeutic procedures.

Customer Reviews and Q&A

 Customer Reviews

There are currently no reviews for this product.

Submit a Review here

Target Background

Function
Tyrosine-protein kinase that acts as cell-surface receptor for homodimeric PDGFB and PDGFD and for heterodimers formed by PDGFA and PDGFB, and plays an essential role in the regulation of embryonic development, cell proliferation, survival, differentiation, chemotaxis and migration. Plays an essential role in blood vessel development by promoting proliferation, migration and recruitment of pericytes and smooth muscle cells to endothelial cells. Plays a role in the migration of vascular smooth muscle cells and the formation of neointima at vascular injury sites. Required for normal development of the cardiovascular system. Required for normal recruitment of pericytes (mesangial cells) in the kidney glomerulus, and for normal formation of a branched network of capillaries in kidney glomeruli. Promotes rearrangement of the actin cytoskeleton and the formation of membrane ruffles. Binding of its cognate ligands - homodimeric PDGFB, heterodimers formed by PDGFA and PDGFB or homodimeric PDGFD -leads to the activation of several signaling cascades; the response depends on the nature of the bound ligand and is modulated by the formation of heterodimers between PDGFRA and PDGFRB. Phosphorylates PLCG1, PIK3R1, PTPN11, RASA1/GAP, CBL, SHC1 and NCK1. Activation of PLCG1 leads to the production of the cellular signaling molecules diacylglycerol and inositol 1,4,5-trisphosphate, mobilization of cytosolic Ca(2+) and the activation of protein kinase C. Phosphorylation of PIK3R1, the regulatory subunit of phosphatidylinositol 3-kinase, leads to the activation of the AKT1 signaling pathway. Phosphorylation of SHC1, or of the C-terminus of PTPN11, creates a binding site for GRB2, resulting in the activation of HRAS, RAF1 and down-stream MAP kinases, including MAPK1/ERK2 and/or MAPK3/ERK1. Promotes phosphorylation and activation of SRC family kinases. Promotes phosphorylation of PDCD6IP/ALIX and STAM. Receptor signaling is down-regulated by protein phosphatases that dephosphorylate the receptor and its down-stream effectors, and by rapid internalization of the activated receptor.
Gene References into Functions
  1. EBF1-PDGFRB is sufficient to drive leukemogenesis. PMID: 28555080
  2. Study demonstrated that LRIG2 promoted the PDGFRBinduced proliferation of glioblastoma multiforme cells in vitro and in vivo through regulating the PDGFRB signalingmediated cell cycle progression. PMID: 30015847
  3. High expression of PDGFR-beta in prostate cancer stroma is independently associated with clinical and biochemical prostate cancer recurrence. PMID: 28233816
  4. Study investigated the more detailed mechanism for this cis-interaction of Necl-5 with the PDGF receptor beta. Necl-5 contains three Ig-like domains and the PDGF receptor beta contains five Ig-like domains at their extracellular regions; showed that the third Ig-like domain of Necl-5 cis-interacted with the fifth Ig-like domain of the PDGF receptor beta. PMID: 29431243
  5. Study revealed that high PDGFRbeta expression in cancer tissue was an independent marker of poor prognosis relating to recurrence in patients with colorectal cancer. PMID: 29498405
  6. Melatonin reinforces the anticancer activity of sorafenib by downregulation of PDGFR-beta/STAT3 signaling pathway and melatonin receptor (MT)-mediated STAT3. PMID: 29953970
  7. High GLI2 or PDGFRB expression is associated with unfavorable survival in GC patients. GLI2 can induce PDGFRB expression in GC cells via directly binding to its promoter. In addition, the GLI2-PDGFRB axis might be an important signaling pathway modulating CSC properties of GC cells. PMID: 28975979
  8. The cell surface PDGFRB is a major link between high glucose and its effectors Hif1a and TGFB for induction of diabetic mesangial cell hypertrophy. PMID: 28951244
  9. describes three unique PDGFRB fusions in childhood B- or T-ALL. All three PDGFRB fusion partners have previously been reported to be implicated in hematopoiesis and immune responses PMID: 28552906
  10. These findings indicated that miR-518b may function as a tumor suppressor by targeting PDGFRB in the occurrence and development of GBM. PMID: 28849154
  11. Data show that an equilibrium mixture of two unusual end-insertion G-quadruplexes forms in a native promoter sequence and appears to be the molecular recognition for platelet derived growth factor receptor beta (PDGFR-beta) downregulation. PMID: 29288770
  12. Case Report: heterozygous PDGFRB mutation in a family presenting with multicentric autosomal dominant infantile myofibromatosis. PMID: 28417142
  13. anlotinib inhibits the activation of VEGFR2, PDGFRbeta and FGFR1 as well their common downstream ERK signaling PMID: 29454091
  14. PDGFRB is not a major causative gene of primary familial brain calcification in Chinese population. PMID: 28298627
  15. These findings indicate that the levels of phosphorylated PDGFR-beta are decreased in endothelial progenitor cells with the in vitro expansion process, which impairs their angiogenic potential by inhibiting PI3K/Akt signaling. PMID: 28487975
  16. This review showed that PDGFRB was one of the common gene involved included with brain calcification PMID: 28162874
  17. Data indicate a positive association between LETM1 up-regulation, YAP1 nuclear localization and high PDGFB expression. PMID: 27556512
  18. This is the first report of a Korean family that carries a PDGFRB mutation potentially responsible for supernumerary premolars. Our results demonstrate the power of next-generation sequencing in rapidly determining the genetic aetiology of numerical tooth abnormalities. PMID: 28393601
  19. Genetic analyses indicated a platelet derived growth factor receptor beta (PDGFRB) gene missense heterozygous germline mutation in a newborn boy, and his sister suffered from skull base tumor with same genotype and histology. PMID: 28183292
  20. Here we report on a special case of a Ph-like acute lymphoblastic leukemia patient who had a variant ATF7IP/PDGFRB fusion. In this case, a variant fusion was created between ATF7IP exon 9 (instead of exon 13) and PDGFRB exon 11, resulting in the loss of 411 nucleotides and 137 amino acids in the ATF7IP/PDGFRB fusion cDNA and its encoded chimeric protein, respectively. PMID: 29133777
  21. Data show that MLLT11/AF1q-induced PDGFR signaling enhanced STAT3 activity through Src kinase activation. PMID: 27259262
  22. In conclusion, a specific class of mutations in PDGFRB causes a clinically recognizable syndromic form of skeletal overgrowth. PMID: 28639748
  23. Suggest the association of activation of Akt-mTOR pathway proteins and PDGFR-beta in fibrosarcomatous transformation of dermatofibrosarcoma protuberans. PMID: 28711648
  24. High PDGFRB expression is associated with gastric cancer. PMID: 28423550
  25. Authors identified gain-of-function PDGFRB mutations in the majority of multifocal infantile myofibromatosis cases, shedding light on the mechanism of disease development, which is reminiscent of multifocal venous malformations induced by TIE2 mutations. PMID: 28334876
  26. findings not only confirm the important role of R853 in establishing the resistant phenotype of the mutant NDEL1-PDGFRB, but also underline the potential of protein modelling for prediction of sensitivity and resistance to TKI treatment. PMID: 27573554
  27. A novel mutation in PDGFRB [NM_002609.3:c.1699A > G, p.Lys567Glu] was identified in infantile myofibromatosis patients. PMID: 28286173
  28. Identify PDGFRbeta as a driver in activating Akt/mTORC1 nexus for high glucose-mediated expression of collagen I (alpha2) in proximal tubular epithelial cells, which contributes to tubulointerstitial fibrosis in diabetic nephropathy. PMID: 28424212
  29. Higher expression of PDGFR-Beta is related to more serious dural penetration of clival chordomas. PMID: 27506406
  30. Targeted next-generation DNA sequencing identified PDGFRB alterations in all cases of myopericytomatosis and conventional myopericytoma tested (5 cases each), including mutations in 4 cases of myopericytomatosis (N666K in 3; Y562-R565 deletion in 1 case) and 3 myopericytomas (Y562C, K653E, and splice acceptor deletion in 1 case each), as well as low-level PDGFRB amplification in 2 cases of myopericytomatosis and 4 myoperi PMID: 28505006
  31. Elevated PDGFRB expression was noted in 20.7% of patients with papillary renal cell carcinoma. PMID: 27989785
  32. Imatinib in myeloid/lymphoid neoplasms with eosinophilia and rearrangement of PDGFRB in chronic or blast phase PMID: 28725989
  33. inhibition of any internalization mechanism impaired activation of STAT3 but not of other downstream effectors of PDGFRbeta. PMID: 27980069
  34. this is the first study reporting apparently somatic recurrent PDGFRB mutations as molecular driver events in the majority of sporadic infantile and adult solitary myofibromas PMID: 27776010
  35. results demonstrate that miR-9 and miR-200 play opposite roles in the regulation of the vasculogenic ability of triple-negative breast cancer, acting as facilitator and suppressor of PDGFRbeta, respectively PMID: 27402080
  36. Among 15 childhood ALL patients with EBF1-PDGFRB fusion proteins, the fusion arose from interstitial deletion of 5q33 (n = 11), balanced rearrangement (n = 2), or complex rearrangement (n = 2). PMID: 26872634
  37. Previously unrecognised associations between renal cell carcinoma survival and the absolute levels, and variability, of perivascular PDGFR-beta. PMID: 27931046
  38. This study suggested that epithelial-mesenchymal transition process can be triggered by the PDGF-D/PDGFRb axis in tongue squamous cell carcinoma, and then involved in the tumor cell invasion via activation of p38/AKT/ERK/ epithelial-mesenchymal transition pathway. PMID: 27507215
  39. that a loss of KAI1/CD82 and an increase in PDGFR expression in gliomas relate to a progressive tumor growth PMID: 27764516
  40. identified PDGFRbeta as a novel marker of stromal activation in oral squamous cell carcinoma; PDGFRbeta was found to be the highest-ranking receptor protein genome-wide PMID: 27128408
  41. PDGFR-positive myeloid neoplasms are rare. Marked leukocytosis with marked eosinophilia has been rarely described in myeloid neoplasms associated with PDGFR rearrangement. PMID: 28209946
  42. Stromal expression of PDGFRbeta increased with increasing histologic grade of breast phyllodes tumor. PDGFR stromal positivity was associated with shorter overall survival. PMID: 27881889
  43. The expression level of PDGFRB in glioblastoma multiforme pericytes from the microvascular proliferation was significantly higher than that in GBM tumor cells. miRNAs targeting PDGFRB were downregulated in microvascular proliferation. PMID: 26857280
  44. PDGFRB gene rearrangement is associated with transformation from atypical chronic myeloid leukemia to chronic myelomonocytic leukemia. PMID: 26881541
  45. Results suggested that increased bFGF upregulates the expression of PDGFRbeta and may enhance PDGFRbeta-mediated pericyte functions after brain ischemia PMID: 26569132
  46. Data suggest that cross-talk between PDGFb-dependent beta-catenin activation and Wnt signaling increases pulmonary artery smooth muscle cell proliferation in idiopathic pulmonary arterial hypertension; proliferation is not increased in normal cells. PMID: 26787464
  47. The KIT and PDGFRB mutations were predicted to be pathogenic using in silico analysis, whereas the ERBB2 mutation was predicted to be benign.. the patient was treated with pazopanib and achieved a partial response that lasted for 7.5 months PMID: 26483058
  48. These molecular insights confirm that mutant PDGFRB is indeed the driver mutation in PDGFRB rearranged myeloid neoplasms, consistent with the robust treatment responses with imatinib. PMID: 26662677
  49. PDGFs could exert their mechanism of action through an autocrine/paracrine effect on granulosa and theca cells mediated by PDGFRs. PMID: 25937181
  50. Soluble platelet-derived growth factor receptor-beta is a biomarker of brain pericyte injury and blood-brain barrier dysfunction. PMID: 26407747

Show More

Hide All

Involvement in disease
Myeloproliferative disorder chronic with eosinophilia (MPE); Leukemia, acute myelogenous (AML); Leukemia, juvenile myelomonocytic (JMML); Basal ganglia calcification, idiopathic, 4 (IBGC4); Myofibromatosis, infantile 1 (IMF1); Kosaki overgrowth syndrome (KOGS); Premature aging syndrome, Penttinen type (PENTT)
Subcellular Location
Cell membrane; Single-pass type I membrane protein. Cytoplasmic vesicle. Lysosome lumen. Note=After ligand binding, the autophosphorylated receptor is ubiquitinated and internalized, leading to its degradation.
Protein Families
Protein kinase superfamily, Tyr protein kinase family, CSF-1/PDGF receptor subfamily
Database Links

HGNC: 8804

OMIM: 131440

KEGG: hsa:5159

STRING: 9606.ENSP00000261799

UniGene: Hs.509067

CUSABIO guaranteed quality
icon of phone
Call us
301-363-4651 (Available 9 a.m. to 5 p.m. CST from Monday to Friday)
icon of address
Address
7505 Fannin St., Ste 610, Room 7 (CUBIO Innovation Center), Houston, TX 77054, USA
icon of social media
Join us with

Subscribe newsletter

Leave a message

* To protect against spam, please pass the CAPTCHA test below.
CAPTCHA verification
© 2007-2025 CUSABIO TECHNOLOGY LLC All rights reserved. 鄂ICP备15011166号-1
×
Place an order now

I. Product details

*
*
*
*

II. Contact details

*
*

III. Ship To

*
*
*
*
*
*
*

IV. Bill To

*
*
*
*
*
*
*
*