PTBP2 Recombinant Monoclonal Antibody

Code CSB-RA201933A0HU
Size US$210
Order now
Image
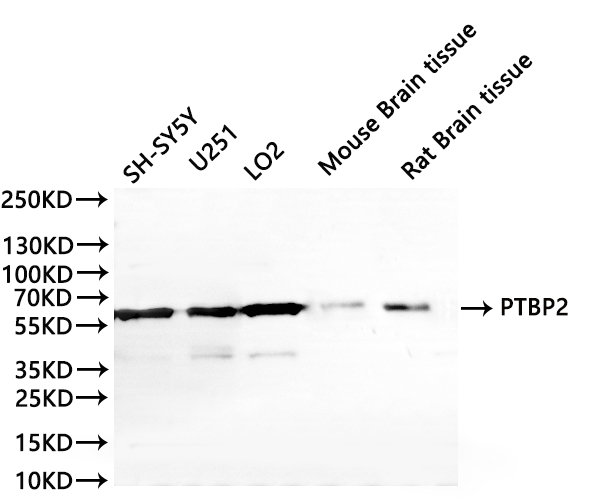
  • Western Blot
    , Positive WB detected in: SH-SY5Y whole cell lysate(30µg), U251 whole cell lysate(30µg), LO2 whole cell lysate(30µg), Mouse brain tissue lysate(30µg), Rat brain tissue lysate(30µg)
    All lanes: PTBP2 antibody at 1:1000
    Secondary
    Goat polyclonal to rabbit IgG at 1/40000 dilution
    Predicted band size: 57 kDa
    Observed band size: 57 kDa
    Exposure time:60s
  • IHC image of CSB-RA201933A0HU diluted at 1:100 and staining in paraffin-embedded human testis tissue performed on a Leica BondTM system. After dewaxing and hydration, antigen retrieval was mediated by high pressure in a citrate buffer (pH 6.0). Section was blocked with 10% normal goat serum 30min at RT. Then primary antibody (1% BSA) was incubated at 4°C overnight. The primary is detected by a Goat anti-rabbit polymer IgG labeled by HRP and visualized using 0.05% DAB.
  • IHC image of CSB-RA201933A0HU diluted at 1:100 and staining in paraffin-embedded human liver cancer performed on a Leica BondTM system. After dewaxing and hydration, antigen retrieval was mediated by high pressure in a citrate buffer (pH 6.0). Section was blocked with 10% normal goat serum 30min at RT. Then primary antibody (1% BSA) was incubated at 4°C overnight. The primary is detected by a Goat anti-rabbit polymer IgG labeled by HRP and visualized using 0.05% DAB.
  • Immunofluorescence staining of SH-SY5Y cell with CSB-RA201933A0HU at 1:50 , counter-stained with DAPI. The cells were fixed in 4% formaldehyde, permeabilized using 0.2% Triton X-100 and blocked in 10% normal Goat Serum. The cells were then incubated with the antibody overnight at 4°C. The secondary antibody was Alexa Fluor 488-congugated AffiniPure Goat Anti-Rabbit IgG(H+L).
  • Overlay Peak curve showing SH-SY5Y cells stained with CSB-RA201933A0HU (red line) at 1:100. The cells were fixed in 4% formaldehyde and permeated by 0.2% TritonX-100 for 10min. Then 10% normal goat serum to block non-specific protein-protein interactions followed by the antibody (1ug/1*106cells) for 45min at 4℃. The secondary antibody used was FITC-conjugated goat anti-rabbit IgG (H+L) at 1/200 dilution for 35min at 4℃.Control antibody (green line) was Rabbit IgG (1ug/1*106cells) used under the same conditions. Acquisition of >10, 000 events was performed.
Have Questions? Leave a Message or Start an on-line Chat

Product Details

Uniprot No.
Target Names
Alternative Names
brPTB antibody; FLJ34897 antibody; MIBP antibody; Neural polypyrimidine tract binding protein antibody; Neural polypyrimidine tract-binding protein antibody; Neurally enriched homolog of PTB antibody; Neurally-enriched homolog of PTB antibody; nPTB 5 antibody; nPTB 6 antibody; nPTB 7 antibody; nPTB 8 antibody; nPTB antibody; nPTB5 antibody; nPTB6 antibody; nPTB7 antibody; nPTB8 antibody; Polypyrimidine tract binding protein 2 antibody; Polypyrimidine tract-binding protein 2 antibody; PTB antibody; PTB like antibody; PTB like protein antibody; PTB-like protein antibody; PTBLP antibody; PTBP 2 antibody; Ptbp2 antibody; PTBP2_HUMAN antibody; Splicing regulator antibody
Species Reactivity
Human, Mouse, Rat
Immunogen
A synthesized peptide from human PTBP2 protein
Immunogen Species
Homo sapiens (Human)
Conjugate
Non-conjugated
Clonality
Monoclonal
Isotype
Rabbit IgG
Clone No.
3E1
Purification Method
Affinity-chromatography
Concentration
It differs from different batches. Please contact us to confirm it.
Buffer
Rabbit IgG in 10mM phosphate buffered saline , pH 7.4, 150mM sodium chloride, 0.05% BSA, 0.02% sodium azide and 50% glycerol.
Form
Liquid
Tested Applications
ELISA, WB, IHC, IF, FC
Recommended Dilution
Application Recommended Dilution
WB 1:500-1:5000
IHC 1:50-1:200
IF 1:50-1:200
FC 1:50-1:200
Troubleshooting and FAQs
Storage
Upon receipt, store at -20°C or -80°C. Avoid repeated freeze.
Lead Time
Basically, we can dispatch the products out in 1-3 working days after receiving your orders. Delivery time maybe differs from different purchasing way or location, please kindly consult your local distributors for specific delivery time.
Usage
For Research Use Only. Not for use in diagnostic or therapeutic procedures.

Customer Reviews and Q&A

 Customer Reviews

There are currently no reviews for this product.

Submit a Review here

Target Background

Function
RNA-binding protein which binds to intronic polypyrimidine tracts and mediates negative regulation of exons splicing. May antagonize in a tissue-specific manner the ability of NOVA1 to activate exon selection. In addition to its function in pre-mRNA splicing, plays also a role in the regulation of translation.; Reduced affinity for RNA.
Gene References into Functions
  1. It has been established that PTBP1 and PTBP2 are members of a family of cryptic exon repressors. PMID: 27681424
  2. PTBP1 and PTBP2 impaired autoregulation of SRSF3 in oral squamous cell carcinoma cancer cells. PMID: 26416554
  3. Data show that polypyrimidine tract-binding proteins nPTB and ROD1 interact with mitochondrial tRNA(Thr) in the cytoplasm outside of mitochondria. PMID: 26657638
  4. In T98G glioma cells, the level of sumoylated PTBP2 was reduced compared to that of normal brain cells. Overall, this study shows that PTBP2 is posttranslationally modified by SUMO1. PMID: 24286314
  5. MALAT1 binds to SFPQ releasing PTBP2 from the SFPQ/PTBP2 complex, the increased SFPQ-detached PTBP2 promotes cell proliferation and migration in colorectal cancer. PMID: 25025966
  6. Defining the multifunctional roles of PTB will contribute to the understanding of key regulatory events in gene expression. PMID: 24264039
  7. Changes in miR-223/PTBP2 pathway could contribute of abnormal splicing in chronic myeloid leukemia. PMID: 23174904
  8. Regulation of the mutually exclusive exons 8a and 8 in the CaV1.2 calcium channel transcript by polypyrimidine tract-binding protein. PMID: 21282112
  9. present fluorescence, NMR, and in vivo splicing data in support of a role of PTB in inducing RNA loops. We show that the RNA recognition motifs (RRMs) 3 and 4 of PTB can bind two distant pyrimidine tracts and bring their 5' and 3' ends in close proximity PMID: 20160105
  10. The nPTB proximal promoter, although rich in G+C content and presenting putative binding sites for the transcription factors Sp1, NF-1, NF-kB and Oct-1, lacks a typical TATA box. PMID: 16002244
  11. Study shows that PTB can function as an anti-repressor molecule to counteract the splicing inhibitory activity of SRp30c. PMID: 17548433

Show More

Hide All

Subcellular Location
Nucleus.
Tissue Specificity
Mainly expressed in brain although also detected in other tissues like heart and skeletal muscle. Isoform 1 and isoform 2 are specifically expressed in neuronal tissues. Isoform 3 and isoform 4 are expressed in non-neuronal tissues. Isoform 5 and isoform
Database Links

HGNC: 17662

OMIM: 608449

KEGG: hsa:58155

STRING: 9606.ENSP00000412788

UniGene: Hs.596061

icon of phone
Call us
301-363-4651 (Available 9 a.m. to 5 p.m. CST from Monday to Friday)
icon of address
Address
7505 Fannin St., Ste 610, Room 7 (CUBIO Innovation Center), Houston, TX 77054, USA
icon of social media
Join us with

Subscribe newsletter

Leave a message

* To protect against spam, please pass the CAPTCHA test below.
CAPTCHA verification
© 2007-2025 CUSABIO TECHNOLOGY LLC All rights reserved. 鄂ICP备15011166号-1
×
Place an order now

I. Product details

*
*
*
*

II. Contact details

*
*

III. Ship To

*
*
*
*
*
*
*

IV. Bill To

*
*
*
*
*
*
*
*