PVRL2 Recombinant Monoclonal Antibody

Code CSB-RA582013A0HU
Size US$210
Order now
Image
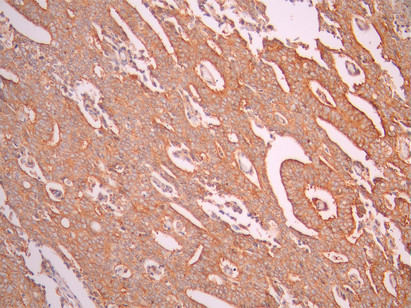
  • IHC image of CSB-RA582013A0HU diluted at 1:100 and staining in paraffin-embedded human testis tissue performed on a Leica BondTM system. After dewaxing and hydration, antigen retrieval was mediated by high pressure in a citrate buffer (pH 6.0). Section was blocked with 10% normal goat serum 30min at RT. Then primary antibody (1% BSA) was incubated at 4°C overnight. The primary is detected by a Goat anti-rabbit polymer IgG labeled by HRP and visualized using 0.05% DAB.
  • IHC image of CSB-RA582013A0HU diluted at 1:100 and staining in paraffin-embedded human prostate cancer performed on a Leica BondTM system. After dewaxing and hydration, antigen retrieval was mediated by high pressure in a citrate buffer (pH 6.0). Section was blocked with 10% normal goat serum 30min at RT. Then primary antibody (1% BSA) was incubated at 4°C overnight. The primary is detected by a Goat anti-rabbit polymer IgG labeled by HRP and visualized using 0.05% DAB.
Have Questions? Leave a Message or Start an on-line Chat

Product Details

Uniprot No.
Target Names
PVRL2
Alternative Names
CD 112 antibody; CD112 antibody; CD112 antigen antibody; Herpes virus entry mediator B antibody; Herpes virus entry protein B antibody; Herpesvirus entry mediator B antibody; Herpesvirus entry protein B antibody; Hve B antibody; HveB antibody; Nectin-2 antibody; Nectin2 antibody; Poliovirus receptor like 2 antibody; Poliovirus receptor related 2 (herpesvirus entry mediator B) antibody; Poliovirus receptor related 2 antibody; Poliovirus receptor related protein 2 antibody; Poliovirus receptor-related protein 2 antibody; PRR 2 antibody; PRR2 antibody; PVRL 2 antibody; PVRL2 antibody; PVRL2_HUMAN antibody; PVRR 2 antibody; PVRR2 antibody
Species Reactivity
Human
Immunogen
A synthesized peptide from human PVRL2 protein
Immunogen Species
Homo sapiens (Human)
Conjugate
Non-conjugated
Clonality
Monoclonal
Isotype
Rabbit IgG
Clone No.
16F10
Purification Method
Affinity-chromatography
Concentration
It differs from different batches. Please contact us to confirm it.
Buffer
Rabbit IgG in 10mM phosphate buffered saline , pH 7.4, 150mM sodium chloride, 0.05% BSA, 0.02% sodium azide and 50% glycerol.
Form
Liquid
Tested Applications
ELISA, IHC
Recommended Dilution
Application Recommended Dilution
IHC 1:50-1:200
Troubleshooting and FAQs
Storage
Upon receipt, store at -20°C or -80°C. Avoid repeated freeze.
Lead Time
Basically, we can dispatch the products out in 1-3 working days after receiving your orders. Delivery time maybe differs from different purchasing way or location, please kindly consult your local distributors for specific delivery time.
Usage
For Research Use Only. Not for use in diagnostic or therapeutic procedures.

Customer Reviews and Q&A

 Customer Reviews

There are currently no reviews for this product.

Submit a Review here

Target Background

Function
Modulator of T-cell signaling. Can be either a costimulator of T-cell function, or a coinhibitor, depending on the receptor it binds to. Upon binding to CD226, stimulates T-cell proliferation and cytokine production, including that of IL2, IL5, IL10, IL13, and IFNG. Upon interaction with PVRIG, inhibits T-cell proliferation. These interactions are competitive. Probable cell adhesion protein.; (Microbial infection) Acts as a receptor for herpes simplex virus 1 (HHV-1) mutant Rid1, herpes simplex virus 1 (HHV-2) and pseudorabies virus (PRV).
Gene References into Functions
  1. Nectin-2 mutation in men with severe teratospermia PMID: 28689229
  2. In the infection with 3 MLD50 (50 % mouse lethal dose), effective resistance was not observed in transgenic mice expressing nectin-2Ig. PMID: 28671524
  3. Our data provide important structural and biochemical determinants responsible for the recognition of nectin-2 by TIGIT. PMID: 27978489
  4. Chromosomal breakpoints involved the PVRR2 gene in 19q31 is associated with Diffuse Large B-Cell Lymphomas. PMID: 27356265
  5. energetic basis for the TIGIT/nectin-2 interaction and revealed that an "aromatic key" of nectin-2 is critical for this interaction, whereas variations in the lock were tolerated. PMID: 28515320
  6. PVRL2 is a plasma cholesterol-responsive gene acting at endothelial sites of vascular inflammation to regulate transendothelial migration of leukocytes. PMID: 28062492
  7. Serum levels of nectin-2 may have diagnostic roles for colorectal cancer patients. PMID: 26184725
  8. Soluble form of nectin-2 is required for exerting the resistance against HSV-2 infection. PMID: 26982466
  9. PVRL2, TOMM40 and APOE might be associated with human longevity. PMID: 24924924
  10. Nectin-3 trans-interacts with Nectin-2 to promote lymphocyte and monocyte extravasation. PMID: 24116228
  11. Chorionic gonadotropin induces vascular endothelial growth factor (VEGFA)-dependent downregulation of nectin 2, which increases the endothelial permeability in the coculture system. PMID: 23465821
  12. Structure of Nectin-2 reveals determinants of homophilic and heterophilic interactions that control cell-cell adhesion. PMID: 22927415
  13. a possible etiologic role of PRR2 in nonsyndromic cleft lip with or without cleft palate PMID: 20662561
  14. The CD112 is highly expressed in colon carcinoma tissues and cell lines. PMID: 20617580
  15. The authors now show that human cytomegalovirus targets CD112 for proteasome-mediated degradation by 48 h post-infection, thus removing both activating ligands for DNAM-1 from the cell surface during productive infection. PMID: 20410314
  16. differences in the N termini of herpes simplex virus type 1 and 2 gDs that influence functional interactions with the human entry receptor Nectin-2 PMID: 12915581
  17. There is an allelic association of sequence variation in PVRL2 and the severity of multiple sclerosis. PMID: 16738668
  18. CD226/CD112 (DNAM-1/Nectin-2) mast cell stimulation has a role in the allergic process PMID: 16831868
  19. identified PVRL2 as a new recurrent partner gene of the TRA@ locus in peripheral T-cell lymphoma PMID: 17696193
  20. Crystallization and preliminary X-ray analysis of the V domain of human nectin-2 are reported. PMID: 19478445
  21. Regions of nectin-2 protein important for herpesvirus entry activity and homotypic nectin-nectin interactions are overlapping but not identical. PMID: 12438620

Show More

Hide All

Subcellular Location
Cell membrane; Single-pass type I membrane protein.
Protein Families
Nectin family
Tissue Specificity
Ubiquitous.
Database Links

HGNC: 9707

OMIM: 600798

KEGG: hsa:5819

STRING: 9606.ENSP00000252483

UniGene: Hs.655455

icon of phone
Call us
301-363-4651 (Available 9 a.m. to 5 p.m. CST from Monday to Friday)
icon of address
Address
7505 Fannin St., Ste 610, Room 7 (CUBIO Innovation Center), Houston, TX 77054, USA
icon of social media
Join us with

Subscribe newsletter

Leave a message

* To protect against spam, please pass the CAPTCHA test below.
CAPTCHA verification
© 2007-2025 CUSABIO TECHNOLOGY LLC All rights reserved. 鄂ICP备15011166号-1
×
Place an order now

I. Product details

*
*
*
*

II. Contact details

*
*

III. Ship To

*
*
*
*
*
*
*

IV. Bill To

*
*
*
*
*
*
*
*