SOX9 Recombinant Monoclonal Antibody

Code CSB-RA103799A0HU
Size US$210
Order now
Image
  • Flow cytometric analysis of SOX9 expression in HT-1080 cells using SOX9 antibody. Green, isotype control; red, SOX9.
  • Immunocytochemical staining of HT-1080 cells with SOX9 antibody. Nuclei were stained blue with DAPI; SRY-Box Transcription Factor 9 was stained magenta with Alexa Fluor® 647. Images were taken using Leica stellaris 5. Protein abundance based on laser Intensity and smart gain: Medium. Scale bar, 20 μm.
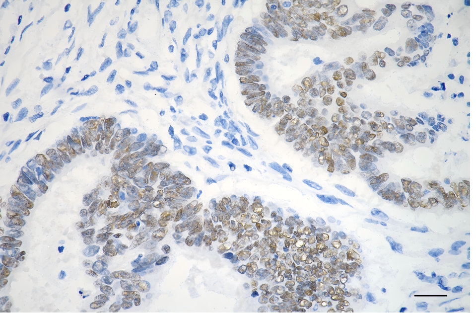
  • Immunohistochemistry was performed on paraffin-embedded human sigmoid colon carcinoma using SOX9 antibody. Antigen retrieval was done in sodium citrate buffer (pH 6.0). DAB was used for detection, with hematoxylin counterstaining. Images were acquired using a Nikon Ci-L Plus microscope (40× objective). Scale bar: 25 μm.
  • Immunohistochemistry was performed on paraffin-embedded mouse brain using SOX9 antibody. Antigen retrieval was done in sodium citrate buffer (pH 6.0). DAB was used for detection, with hematoxylin counterstaining. Images were acquired using a Nikon Ci-L Plus microscope (40× objective). Scale bar: 25 μm.
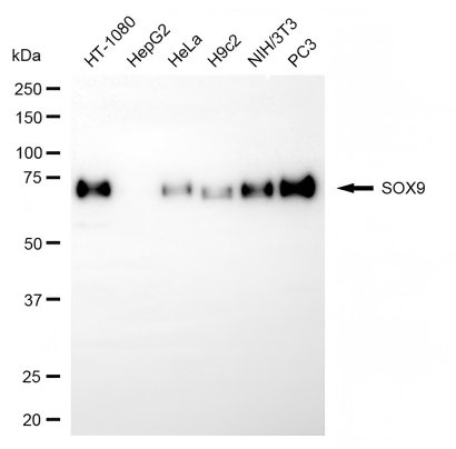
  • Western blotting analysis using SOX9 antibody. Total cell lysates (30 μg) from various cell lines were loaded and separated by SDS-PAGE. The blot was incubated with SOX9 antibody and HRP-conjugated goat anti-rabbit secondary antibody respectively.
Have Questions? Leave a Message or Start an on-line Chat

Product Details

Uniprot No.
Target Names
Alternative Names
SOX9; SRY-Box Transcription Factor 9; SRA1; Transcription Factor SOX-9; SRY-Box 9; CMPD1; CMD1; Campomelic Dysplasia, Autosomal Sex-Reversal; SRY (Sex-Determining Region Y)-Box 9 Protein; SRY (Sex Determining Region Y)-Box 9; SRY (Sex Determining Region Y)-Box9; SRY-Related HMG-Box, Gene 9; SRXY10; SRXX2
Species Reactivity
Human, Mouse, Rat
Immunogen
Recombinant Human SOX9 protein
Immunogen Species
Homo sapiens (Human)
Conjugate
Non-conjugated
Clonality
Monoclonal
Isotype
Rabbit IgG
Clone No.
21C7
Purification Method
Affinity-chromatography
Concentration
It differs from different batches. Please contact us to confirm it.
Buffer
Rabbit IgG in PBS (pH 7.4) containing 50% glycerol, and 0.02% sodium azide.
Form
Liquid
Tested Applications
ELISA, WB, FC, ICC, IHC
Recommended Dilution
Application Recommended Dilution
WB 1:1000-1:5000
FC 1:200-1:2000
ICC 1:100-1:1000
IHC 1:100-1:200
Troubleshooting and FAQs
Storage
Upon receipt, store at -20°C or -80°C. Avoid repeated freeze.
Lead Time
Basically, we can dispatch the products out in 1-3 working days after receiving your orders. Delivery time maybe differs from different purchasing way or location, please kindly consult your local distributors for specific delivery time.
Usage
For Research Use Only. Not for use in diagnostic or therapeutic procedures.

Customer Reviews and Q&A

 Customer Reviews

There are currently no reviews for this product.

Submit a Review here

Target Background

Function
Transcription factor that plays a key role in chondrocytes differentiation and skeletal development. Specifically binds the 5'-ACAAAG-3' DNA motif present in enhancers and super-enhancers and promotes expression of genes important for chondrogenesis, including cartilage matrix protein-coding genes COL2A1, COL4A2, COL9A1, COL11A2 and ACAN, SOX5 and SOX6. Also binds to some promoter regions. Plays a central role in successive steps of chondrocyte differentiation. Absolutely required for precartilaginous condensation, the first step in chondrogenesis during which skeletal progenitors differentiate into prechondrocytes. Together with SOX5 and SOX6, required for overt chondrogenesis when condensed prechondrocytes differentiate into early stage chondrocytes, the second step in chondrogenesis. Later, required to direct hypertrophic maturation and block osteoblast differentiation of growth plate chondrocytes: maintains chondrocyte columnar proliferation, delays prehypertrophy and then prevents osteoblastic differentiation of chondrocytes by lowering beta-catenin (CTNNB1) signaling and RUNX2 expression. Also required for chondrocyte hypertrophy, both indirectly, by keeping the lineage fate of chondrocytes, and directly, by remaining present in upper hypertrophic cells and transactivating COL10A1 along with MEF2C. Low lipid levels are the main nutritional determinant for chondrogenic commitment of skeletal progenitor cells: when lipids levels are low, FOXO (FOXO1 and FOXO3) transcription factors promote expression of SOX9, which induces chondrogenic commitment and suppresses fatty acid oxidation. Mechanistically, helps, but is not required, to remove epigenetic signatures of transcriptional repression and deposit active promoter and enhancer marks at chondrocyte-specific genes. Acts in cooperation with the Hedgehog pathway-dependent GLI (GLI1 and GLI3) transcription factors. In addition to cartilage development, also acts as a regulator of proliferation and differentiation in epithelial stem/progenitor cells: involved in the lung epithelium during branching morphogenesis, by balancing proliferation and differentiation and regulating the extracellular matrix. Controls epithelial branching during kidney development.
Gene References into Functions
  1. Results find SOX9 highly expressed in non-small cell lung cancer (NSCLC) tissues, and positively correlates with that of MALAT1. Moreover, SOX9 protein expression was higher in NSCLC tissues expressing highly especially MALAT1 mRNA. PMID: 29896925
  2. results demonstrate that the inhibition of miR-30d attenuates the apoptosis and extracellular matrix degradation of degenerative human nucleus pulposus cells by up-regulating SOX9, suggesting a potential therapeutic target for intervertebral disc degeneration PMID: 30243741
  3. Our study demonstrated that Reg IV positively regulates the expression of SOX9 and is involved in tumor cell invasion and migration in gastric cancer. PMID: 29587675
  4. SOX9 may be involved in the tumorigenesis and progression of oral squamous cell carcinoma (OSCC). Furthermore, its cytoplasmic expression represents a potential predictive biomarker for tumor aggressiveness and OSCC prognosis. PMID: 30132562
  5. This is supported by the fact that ECG correlates with the expression of SOX9 indicating that this biomarker probably plays an important role in the pathogenesis of gastric cancer and ECG formation. PMID: 29703178
  6. role in regulation of extracellular matrix balance, the inflammatory process, and the immune response of inflamed dental pulp PMID: 29571909
  7. Study found a positive relationship between LINC00052 and miR-101-3p, and a negative relationship between miR-101-3p and SOX9 in hepatocellular carcinoma (HCC) tissues. Besides, miR-101-3p was involved in LINC00052 inhibiting HCC cells proliferation and metastasis. At the molecular level, LINC00052 downgulated SOX9 to inhibit HCC cells proliferation and metastasis by interacting with miR-101-3p. PMID: 30098428
  8. SOX9 expression is related to prognosis in patients with oesophageal squamous cell carcinoma, although it is not an independent prognostic factor. PMID: 29936467
  9. the findings of this study establish the SOX9/CA9-mediated oncogenic pathway in glioma, the inhibition of which enhances the sensitivity of glioma cells to Temozolomide (TMZ) treatment, and thus highlights the value of developing small molecules or antibodies against the SOX9/CA9 pathway, for combination therapy with TMZ, in the more efficient management of glioma PMID: 29749469
  10. Heterogeneous Expression of Embryonal Development Master Regulator SOX9 in Patients with Pancreatic Cancer PMID: 30168061
  11. Melatonin inhibits cancer stem cell by down-regulation of SOX9-mediated signaling pathway in osteosarcoma PMID: 29689273
  12. Our results demonstrate that the linc-ROR-miRNA-SOX9 regulatory network may represent a novel therapeutic target for esophageal squamous cell carcinoma PMID: 29237490
  13. These results indicate that THRAP3 negatively regulates SOX9 transcriptional activity as a cofactor of a SOX9 transcriptional complex during chondrogenesis. PMID: 28770354
  14. MiR-19a could promote cell viability and migration of chondrocyte via positively regulating SOX9 expression through NF-kappaB signaling pathway. PMID: 29306212
  15. miR-185 inversely regulates SOX9 expression in non-small cell lung cancer. PMID: 29138830
  16. Data suggest that the SOX9 transcription factor (SOX9)-fibroblast growth factor receptor 2 (FGFR2b) feed-forward loop has a lineage dependency role in pancreatic ductal adenocarcinoma (PDAC). PMID: 28796141
  17. Depletion of KDM6A inhibits the expression of SOX9, Col2a1, ACAN and results in increased H3K27me3 and decreased H3K4me3 levels. PMID: 29171124
  18. Our results demonstrate that SOX9 plays a crucial role in chordoma. Targeting SOX9 provides a new rationale for treatment of chordoma PMID: 28606919
  19. Odd-skipped related 1 (OSR1) downregulated the activity of the Wnt signaling pathway by suppressing the expression of sex-determining region Y-box 9 (SOX9) and beta-catenin. PMID: 29660200
  20. Sex determining region Y box 9 (Sox9) plays an important role in chemoresistance by the induction of stemness in pancreatic cancer cells. PMID: 28984791
  21. Knockdown of SOX9 expression by RNA interference reduces cell proliferation and induces apoptosis of lung cancer cells, which was consistent with the results obtained from silencing the expression of LASP-1 in NCIH1650 cells. PMID: 29138807
  22. This study provides evidence of a novel signaling pathway for TGF-beta in cartilage that involves post-translational stabilization of Sox9 protein through Smad2/3 and p38 signaling pathways. PMID: 27929080
  23. In conclusion, these results highlight the potential therapeutic effects of Andro in treatment of chondrosarcoma via targeting the TCF-1/SOX9 axis. PMID: 28485543
  24. These results identify a functional role for SOX9 in regulating colorectal cancer cell plasticity and metastasis, and provide a strong rationale for a rapamycin-based therapeutic strategy. PMID: 27571710
  25. Sox9 is induced by TGF-beta in the kidney fibroblast and acted as an important downstream mediator of TGF-beta signaling in promoting renal fibrosis PMID: 29158184
  26. Diagnostic tools such as whole-exome sequencing, targeted-gene sequencing and low-density CNV arrays, often miss CNVs within the SOX9 regulatory region. Yet, given the numerous reports, it is likely that CNVs in the SOX9 regulatory region may be a frequent genetic cause of 46,XX DSD. PMID: 28317102
  27. Studied the role upregulation of RUNX2 in endocrine resistance in breast cancer. PMID: 28507152
  28. OPN is a useful surrogate marker of SOX9 in hepatocellular carcinoma. PMID: 27457505
  29. MicroRNA-494 promotes extracellular matrix degradation and apoptosis of degenerative human nucleus pulposus cells by directly targeting SOX9. PMID: 28427186
  30. Klotho suppresses Sox9 upregulation and intranuclear translocation. Klotho inhibits high phosphate-induced osteogenic activity in human aortic valve interstitial cells. PMID: 28332126
  31. Genetic variants of SOX9 are associated with susceptibility of gliomas. PMID: 27589569
  32. we identified SOX9 as a functional target protein of miR-524-5p and found that SOX9 overexpression could counteracts the chemosensitizing effects of miR-524-5p. PMID: 27880941
  33. Biomarker expression in pancreatic ductal adenocarcinoma (PDAC) of CXCR4, SMAD4, SOX9 and IFIT3 will be prospectively assessed by immunohistochemistry and verified by rt.-PCR from tumor and adjacent healthy pancreatic tissue of surgical specimen. PMID: 28356064
  34. A critical level of endogenous active SOX9 needed to maintain colorectal tumor cell growth. PMID: 27429045
  35. ERG and SOX9 are potential biomarkers for prediction of response to docetaxel treatment in metastatic castration-resistant prostate cancer patients. PMID: 27863438
  36. We have provided evidence that truncating mutations in SOX9 (particularly exon 3 truncating mutations) are recurrent in colorectal carcinoma PMID: 27248473
  37. This study suggested that G allele at rs12941170 was protective, which could decrease the risk for NSOCs from Western Han Chinese population. PMID: 28068523
  38. HSP60 regulation of SOX9 ubiquitination mitigates the development of knee osteoarthritis. PMID: 27118120
  39. Data show that SOX9 regulates CEACAM1 primarily via Sp1 and ETS1. PMID: 26885752
  40. Sox9 confers stemness properties of hepatocellular carcinoma through Frizzled-7 mediated Wnt/beta-catenin pathway. PMID: 27105493
  41. Data show that the gene encoding the transcription factor SOX9 was identified by a global transcriptomic approach as an HDAC9 target gene. PMID: 26930713
  42. SOX9 is a proliferation and stem cell factor in hepatocellular carcinoma and possess widespread prognostic significance in different cancer types PMID: 29121666
  43. Sox9 and Ngn3, key transcription factors associated with pancreatic development. PMID: 27836003
  44. Expression of bone morphogenetic protein (BMP) 4, an upstream stimulator of SOX9, was upregulated by CG. PMID: 27931264
  45. Xenogeneic implantation of Sox9-overexpressing hUCMSCs embedded in the BMG/fibrin scaffolds promotes the formation of cartilage-like tissue without inducing evident host immune response. Therefore, Sox9-overexpressing hUCMSCs represent a promising cell candidate for cartilage tissue engineering. PMID: 28028895
  46. KLF15 activates SOX9 expression directly. SOX9 is involved in KLF15 function during chondrogenic differentiation. PMID: 28923246
  47. Tomo-Seq Identifies SOX9 as a Key Regulator of Cardiac Fibrosis During Ischemic Injury PMID: 28724751
  48. High SOX9 expression is associated with glioblastoma. PMID: 27911279
  49. These findings suggest that SOX9 may play an important role in tumor progression of Renal Cell Carcinoma and Bladder Cancer and it may be used as a biomarker of this malignancy. PMID: 28118628
  50. Loss of DDRGK1 decreases SOX9 expression and causes a human skeletal dysplasia. PMID: 28263186

Show More

Hide All

Involvement in disease
Campomelic dysplasia (CMD1); 46,XX sex reversal 2 (SRXX2); 46,XY sex reversal 10 (SRXY10)
Subcellular Location
Nucleus.
Database Links

HGNC: 11204

OMIM: 114290

KEGG: hsa:6662

STRING: 9606.ENSP00000245479

UniGene: Hs.647409

icon of phone
Call us
301-363-4651 (Available 9 a.m. to 5 p.m. CST from Monday to Friday)
icon of address
Address
7505 Fannin St., Ste 610, Room 7 (CUBIO Innovation Center), Houston, TX 77054, USA
icon of social media
Join us with

Subscribe newsletter

Leave a message

* To protect against spam, please pass the CAPTCHA test below.
CAPTCHA verification
© 2007-2025 CUSABIO TECHNOLOGY LLC All rights reserved. 鄂ICP备15011166号-1
×
Place an order now

I. Product details

*
*
*
*

II. Contact details

*
*

III. Ship To

*
*
*
*
*
*
*

IV. Bill To

*
*
*
*
*
*
*
*