SPN Recombinant Monoclonal Antibody

Code CSB-RA022590MA1HU
Size US$210
Order now
Image
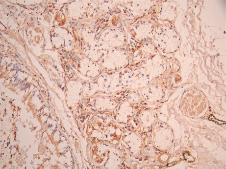
  • IHC image of CSB-RA022590MA1HU diluted at 1:50 and staining in paraffin-embedded human lung tissue performed on a Leica BondTM system. After dewaxing and hydration, antigen retrieval was mediated by high pressure in a citrate buffer (pH 6.0). Section was blocked with 10% normal goat serum 30min at RT. Then primary antibody (1% BSA) was incubated at 4°C overnight. The primary is detected by a Anti-Human lgG, Fcy Fragment Specific labeled by HRP and visualized using 0.05% DAB.
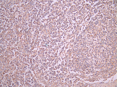
  • IHC image of CSB-RA022590MA1HU diluted at 1:50 and staining in paraffin-embedded human lymph node tissue performed on a Leica BondTM system. After dewaxing and hydration, antigen retrieval was mediated by high pressure in a citrate buffer (pH 6.0). Section was blocked with 10% normal goat serum 30min at RT. Then primary antibody (1% BSA) was incubated at 4°C overnight. The primary is detected by a Anti-Human lgG, Fcy Fragment Specific labeled by HRP and visualized using 0.05% DAB.
Have Questions? Leave a Message or Start an on-line Chat

Product Details

Uniprot No.
Target Names
Alternative Names
CD 43 antibody; CD43 antibody; CD43 antigen antibody; Galactoglycoprotein antibody; GALGP antibody; GPL 115 antibody; GPL115 antibody; Human gene for sialophorin antibody; Leucocyte sialoglycoprotein antibody; LEUK_HUMAN antibody; Leukocyte large sialoglycoprotein antibody; Leukocyte sialoglycoprotein antibody; Leukosialin antibody; LSN antibody; Ly-48 antibody; sialophorin (gpL115, leukosialin, CD43) antibody; Sialophorin antibody; Spn antibody
Species Reactivity
Human
Immunogen
Recombinant Human SPN protein
Immunogen Species
Homo sapiens (Human)
Conjugate
Non-conjugated
Clonality
Monoclonal
Isotype
hIgG1
Clone No.
8E3
Purification Method
Affinity-chromatography
Concentration
It differs from different batches. Please contact us to confirm it.
Buffer
Preservative: 0.03% Proclin 300
Constituents: 50% Glycerol, 0.01M PBS, PH 7.4
Form
Liquid
Tested Applications
ELISA, IHC
Recommended Dilution
Application Recommended Dilution
IHC 1:50-1:200
Troubleshooting and FAQs
Storage
Upon receipt, store at -20°C or -80°C. Avoid repeated freeze.
Lead Time
Basically, we can dispatch the products out in 1-3 working days after receiving your orders. Delivery time maybe differs from different purchasing way or location, please kindly consult your local distributors for specific delivery time.
Usage
For Research Use Only. Not for use in diagnostic or therapeutic procedures.

Customer Reviews and Q&A

 Customer Reviews

There are currently no reviews for this product.

Submit a Review here

Target Background

Function
Predominant cell surface sialoprotein of leukocytes which regulates multiple T-cell functions, including T-cell activation, proliferation, differentiation, trafficking and migration. Positively regulates T-cell trafficking to lymph-nodes via its association with ERM proteins (EZR, RDX and MSN). Negatively regulates Th2 cell differentiation and predisposes the differentiation of T-cells towards a Th1 lineage commitment. Promotes the expression of IFN-gamma by T-cells during T-cell receptor (TCR) activation of naive cells and induces the expression of IFN-gamma by CD4(+) T-cells and to a lesser extent by CD8(+) T-cells. Plays a role in preparing T-cells for cytokine sensing and differentiation into effector cells by inducing the expression of cytokine receptors IFNGR and IL4R, promoting IFNGR and IL4R signaling and by mediating the clustering of IFNGR with TCR. Acts as a major E-selectin ligand responsible for Th17 cell rolling on activated vasculature and recruitment during inflammation. Mediates Th17 cells, but not Th1 cells, adhesion to E-selectin. Acts as a T-cell counter-receptor for SIGLEC1.; Protects cells from apoptotic signals, promoting cell survival.
Gene References into Functions
  1. CD43 expression was 95.7% in atypical chronic lymphocytic leukemia cases. PMID: 28713070
  2. most non-hematopoietic neoplasms are negative for CD43 expression PMID: 28807337
  3. this study identifies a new signaling pathway for CD43 through the regulation of alternative functions of pyruvate kinase isoform M2, favoring cell survival following activation PMID: 27606486
  4. Forty percent of adenoid cystic carcinomas showed staining for CD43, while no cases of basal cell carcinoma were positive PMID: 25551301
  5. CD43 expression is a novel adverse prognostic factor for patients with diffuse large B-cell lymphomas PMID: 25682152
  6. CD43 polymorphisms are associated with TB susceptibility. PMID: 25078322
  7. Host membrane protein PSGL-1, CD43, and CD44 association with assembling HIV-1 Gag is driven by polybasic sequences present in the cytoplasmic tails of the membrane proteins and in Gag. PMID: 25320329
  8. When used as vaccine in mice, the 2/165 phagotope raised antibodies against the UN1/CD43 antigen, indicating that the 2/165 phagotope mimicked the UN1 antigen structure, and could represent a novel immunogen for cancer immunotherapy PMID: 24356816
  9. CD43 promotes cells transformation by preventing merlin-mediated contact inhibition of growth. PMID: 24260485
  10. We conclude that CD43 is an adverse prognostic marker in DLBCL, and is preferentially expressed in the non-GCB subgroup. PMID: 23617469
  11. CD43 regulates the threshold for T cell activation by targeting Cbl functions. PMID: 21905200
  12. Taken together, these results show that elevated calcium levels induce CD43 capping, and macrophages remove the cells if their nucleolin receptors can bind to the poly-N-acetyllactosaminyl chains of capped CD43. PMID: 23400223
  13. Targeting CD43 in A549 lung cancer cells, increased homotypic adhesion, decreased heterotypic adhesion and transendothelial migration, increased susceptibility to apoptosis and increased vulnerability to lysis by NK cells PMID: 23015282
  14. results suggest that, despite the high CD43 expression in both tumorous and nontumorous Langerhans cells (LCs), the JL1 epitope of CD43 is exposed in immature and neoplastic LCs. PMID: 22790855
  15. Compared to healthy controls, both CD43 mRNA and protein expressions were reduced in T cells from patients with SLE, and were inversely correlated with IgG. PMID: 22613599
  16. CD43 localizes to the nucleus, where it binds chromatin, co-localizes and co-immunoprecipitates with beta-catenin, and enhances the reporter gene expression regulated by beta-catenin PMID: 22576689
  17. The capping of CD43 on the cell surface is a strong signal for phagocytosis that allows phagocytes to differentiate between healthy and apoptotic cells without any additional membrane changes PMID: 22466560
  18. The anti-adhesive function of CD43 in colon carcinoma cells plays a role in the tumorigenesis and metastasis of colorectal carcinoma cells. PMID: 22075155
  19. there exists a negative feedback loop between p53 and CD43: CD43-dependent signaling activates p53, which in turn downregulates the expression of CD43 PMID: 21947346
  20. O-glycosylated CD43 and CD45 molecules on T cells regulates cell adhesion and favors the transmission of HTLV-1 from cell to cell. PMID: 22171268
  21. Data show that Pic, a class 2 SPATE protein produced by Shigella flexneri 2a targets a broad range of human leukocyte glycoproteins including CD43, CD44, CD45, CD93, CD162 and the surface-attached chemokine fractalkine. PMID: 21768350
  22. identification of the tumor antigen UN1 as the transmembrane CD43 sialoglycoprotein PMID: 21372249
  23. Expression of CD43 induces cell rounding, inhibition of cell re-attachment, augmentation of microvilli, and phosphorylation of Ezrin/Radixin/Moesin (ERM)in HEK293T cells. PMID: 21045567
  24. engagement of CD43 may, presumably through the repressing transcription, initiate a Bad-dependent apoptotic pathway. PMID: 11773067
  25. CD43 can be seen as a co-stimulatory cell surface constituent that can modulate HIV-1 expression in T lymphocytes PMID: 12045189
  26. down-regulation of CD43 mRNA levels occurs during activation of the cellline K562. This repression coincides with repression of the transcriptional activity of the CD43 gene promoter. PMID: 12411317
  27. Examination of expression of CD43 in different human cell lines and tumor cell lines PMID: 12499775
  28. Although ezrin-associated CD43 protein is excluded from the inhibitory, i.e., noncytolytic, NK cell immune synapse (IS), it is homogeneously distributed across the IS of activating conjugates. PMID: 12626536
  29. It was also observed that the mucins from colon carcinoma patients had MUC1-type mucins that carried both sialyl-Lewis a and x epitopes and CD43-type sialyl-Lewis a mucins with only low levels of sialyl-Lewis x epitopes. PMID: 12820726
  30. CD43 engagement on normal human T lymphocytes as well as in Jurkat cells results in transient phosphorylation of the zeta-chain and enhanced association of ZAP-70 and Vav to the zeta-chain. PMID: 12902492
  31. Overexpression of SPN causes activation of the tumor suppressor proteins p53 and ARF 1. PMID: 14676827
  32. Four phage antibodies were isolated and used in a preliminary immunohistochemistry study of CD43 expression on frozen colorectal adenoma and carcinoma tissue. PMID: 14719063
  33. findings suggest that the CD43 molecules expressed on CD4+ memory T cells may be capable of enhancing the costimulatory signaling and hence providing accessory functions to TCR-mediated activation processes PMID: 15187099
  34. Microarray analysis of inflammatory genes shows 1 group of genes coregulated by both stimuli and 2 further groups of target genes affected solely by costimulation or primarily by CD43. PMID: 15280197
  35. CD43 is expressed by a variety of carcinoma cell lines, and plays a role in tumour cell-peritoneal adhesion probably via interactions with its putative ligand ICAM-1 PMID: 15449712
  36. Data suggest that PKCtheta plays a critical role in the co-stimulatory functions of CD43 in human T cells. PMID: 15522211
  37. CD43 is a T-cell E-selectin ligand distinct from PSGL-1 which expands the role of CD43 in the regulation of T-cell trafficking. PMID: 16269612
  38. CD43 induces a signaling cascade that prolongs the duration of T cell receptor signaling, thereby supporting the temporality with which certain molecules are engaged as a mechanism to fine tune T cell signal quality, and ultimately immune function. PMID: 16751378
  39. early progenitors committed to hematopoietic development could be identified by surface expression of leukosialin PMID: 16757688
  40. Promotes cell growth and is a potential contributor to tumor development. PMID: 17891181
  41. Lymphoepithelial lesions pattern, CD43 coexpression, and clonal plasma cell component in extranodal marginal zone B-cell lymphoma (EMZL) is site-dependent, and the differences may aid in the diagnosis of EMZLs at different anatomic sites. PMID: 17979485
  42. triggering CD43 and the underlying signaling pathways enhance LFA-1 adhesiveness while CD43 also negatively regulates LFA-1 induction via other receptors by dynamic interaction with either LFA-1 or CD147. PMID: 17996943
  43. CD43 seems to be selectively expressed in a subset of adenoid cystic carcinomas and its significance in salivary tumors is discussed. PMID: 18227725
  44. The cleavage of neutrophil leukosialin (CD43) by cathepsin G releases its extracellular domain and triggers its intramembrane proteolysis by presenilin/gamma-secretase PMID: 18586676
  45. Streptococcus gordonii DL1 surface protein Hsa binds to the host cell membrane glycoproteins CD11b, CD43, and CD50 PMID: 18678668

Show More

Hide All

Subcellular Location
Membrane; Single-pass type I membrane protein. Cell projection, microvillus. Cell projection, uropodium.; [CD43 cytoplasmic tail]: Nucleus. Nucleus, PML body.
Tissue Specificity
Cell surface of thymocytes, T-lymphocytes, neutrophils, plasma cells and myelomas.
Database Links

HGNC: 11249

OMIM: 182160

KEGG: hsa:6693

STRING: 9606.ENSP00000353238

UniGene: Hs.632188

icon of phone
Call us
301-363-4651 (Available 9 a.m. to 5 p.m. CST from Monday to Friday)
icon of address
Address
7505 Fannin St., Ste 610, Room 7 (CUBIO Innovation Center), Houston, TX 77054, USA
icon of social media
Join us with

Subscribe newsletter

Leave a message

* To protect against spam, please pass the CAPTCHA test below.
CAPTCHA verification
© 2007-2025 CUSABIO TECHNOLOGY LLC All rights reserved. 鄂ICP备15011166号-1
×
Place an order now

I. Product details

*
*
*
*

II. Contact details

*
*

III. Ship To

*
*
*
*
*
*
*

IV. Bill To

*
*
*
*
*
*
*
*