STAT5B Recombinant Monoclonal Antibody

Code CSB-RA074422A0HU
Size US$210
Order now
Image
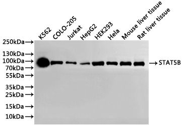
  • Western Blot
    Positive WB detected in: K562 whole cell lysate(30µg), COLO-205 whole cell lysate(30µg), Jurkat whole cell lysate(30µg), HepG2 whole cell lysate(30µg), HEK293 whole cell lysate(30µg), Hela whole cell lysate(30µg), Mouse liver tissue lysate(30µg), Rat liver tissue lysate(30µg)
    All lanes: STAT5B antibody at 1:1000
    Secondary
    Goat polyclonal to rabbit IgG at 1/40000 dilution
    Predicted band size: 90 kDa
    Observed band size: 100 kDa
    Exposure time:3min
  • IHC image of CSB-RA074422A0HU diluted at 1:100 and staining in paraffin-embedded human testis tissue performed on a Leica BondTM system. After dewaxing and hydration, antigen retrieval was mediated by high pressure in a citrate buffer (pH 6.0). Section was blocked with 10% normal goat serum 30min at RT. Then primary antibody (1% BSA) was incubated at 4°C overnight. The primary is detected by a Goat anti-rabbit polymer IgG labeled by HRP and visualized using 0.05% DAB.
  • Immunofluorescence staining of K562 cell with CSB-RA074422A0HU at 1:50, counter-stained with DAPI. The cells were fixed in 4% formaldehyde, permeabilized using 0.2% Triton X-100 and blocked in 10% normal Goat Serum. The cells were then incubated with the antibody overnight at 4°C. The secondary antibody was Alexa Fluor 488-congugated AffiniPure Goat Anti-Rabbit IgG(H+L).
Have Questions? Leave a Message or Start an on-line Chat

Product Details

Uniprot No.
Target Names
Alternative Names
Signal transducer and activator of transcription 5B, STAT5B
Species Reactivity
Human, Mouse, Rat
Immunogen
Recombinant Antibody
Immunogen Species
Homo sapiens (Human)
Conjugate
Non-conjugated
Clonality
Monoclonal
Isotype
Rabbit IgG
Clone No.
5A4
Purification Method
Affinity-chromatography
Concentration
It differs from different batches. Please contact us to confirm it.
Buffer
Rabbit IgG in 10mM phosphate buffered saline , pH 7.4, 150mM sodium chloride, 0.05% BSA, 0.02% sodium azide and 50% glycerol.
Form
Liquid
Tested Applications
ELISA, WB, IHC, IF
Recommended Dilution
Application Recommended Dilution
WB 1:500-1:5000
IHC 1:50-1:200
IF 1:50-1:200
Troubleshooting and FAQs
Storage
Upon receipt, store at -20°C or -80°C. Avoid repeated freeze.
Lead Time
Basically, we can dispatch the products out in 1-3 working days after receiving your orders. Delivery time maybe differs from different purchasing way or location, please kindly consult your local distributors for specific delivery time.
Usage
For Research Use Only. Not for use in diagnostic or therapeutic procedures.

Customer Reviews and Q&A

 Customer Reviews

There are currently no reviews for this product.

Submit a Review here

Target Background

Function
Carries out a dual signal transduction and activation of transcription. Mediates cellular responses to the cytokine KITLG/SCF and other growth factors. Binds to the GAS element and activates PRL-induced transcription. Positively regulates hematopoietic/erythroid differentiation.
Gene References into Functions
  1. STAT5B germline mutation variants exert dominant-negative effects through distinct pathomechanisms, manifesting in milder clinical growth hormone insensitivity syndrome with general sparing of the immune system. PMID: 29844444
  2. Study investigated whether RGS4 could participate in signalling pathways to regulate neurotropic events. These observations suggest that RGS4 is implicated in opioid dependent neuronal differentiation and neurite outgrowth via a "non-canonical" signaling pathway regulating STAT5B-directed responses. PMID: 28219718
  3. Somatic STAT5B N642H gain-of-function mutation in early onset nonclonal eosinophilia, urticaria, dermatitis, and diarrhea in two young patients. PMID: 27956386
  4. High incidence of activating STAT5B mutations in CD4-positive T-cell large granular lymphocyte leukemia. PMID: 27697773
  5. STAT5 signaling drives antigen restimulation-induced T cell death in effector memory T cells PMID: 29187589
  6. Data show that BACH2 and STAT5B are activated by viral insertions, generating chimeric mRNAs specifically enriched in T regulatory cells favoring their persistence. PMID: 28887441
  7. The findings, specifically frequent mutations of STAT5B, PIK3CD, and the histone methyltransferase SETD2, may help guide translational efforts to target hepatosplenic T-cell lymphoma PMID: 28373165
  8. this study shows that musculin inhibits human T-helper 17 cell response to interleukin 2 by controlling STAT5B activity PMID: 28612433
  9. Molecular interactions of EphA4, growth hormone receptor, Jak2, and STAT5B have been described. PMID: 28686668
  10. All merkel cell carcinoma (MCC) cases with a good outcome expressed pSTAT5B, whereas all MCC cases with a poor outcome did not express pSTAT5B; hence, pSTAT5B expression may be an indicator of positive prognosis in patients with MCC. PMID: 28476799
  11. STAT5b confers gemcitabine chemoresistance and promotes cell adherence and invasiveness in pancreatic cancer cells. PMID: 27035235
  12. STAT5 activation by EGF constitutes an important cascade for the regulation of cell proliferation and invasion in trophoblast cells. PMID: 25862676
  13. MSM decreased the ability of STAT5b to bind the promoter of the HER2 gene. PMID: 26648017
  14. Results confirm that STAT5B is mutated in T-PLL and underscore the potential therapeutical relevance of epigenetic regulator. PMID: 26917488
  15. ABL-N administration induced apoptosis of PC3 cells in a dose-dependent manner, along with the enhanced activity of caspases and increased Bax/Bcl-2 ratio. Expression of KLF5, Stat5b and ICAM-1 was significantly downregulated in PC3 cells. PMID: 26397390
  16. Interference of STAT 5b expression by siRNA targeting enhanced the chemo-sensitivity of gastric cancer cells to gefitinib by promoting mitochondrial pathway-mediated cell apoptosis. PMID: 25997700
  17. Our study also assessed the regulation of signaling molecules implicated in the growth, progression, differentiation, and migration of cancer cells, such as Jak2, STAT5b, insulin-like growth factor-1Rbeta, and their phosphorylation status PMID: 26084564
  18. Statistically significant positive correlation has been found between STAT5B and COX-2, and significant negative correlation between STAT5B and PIAS3. PMID: 25137041
  19. STAT5B mutations in the heterozygous state have a significant negative impact on height ( approximately 3.9 cm). This effect is milder than the effect seen in the homozygous state, with height usually within the normal range. PMID: 26034074
  20. Expression of STAT5B was significantly correlated with astrocytoma tumor grade and Karnofsky Performance Scale score. High expressions of NPM, p-JAK2, and STAT5B were associated with a short survival time. PMID: 25907517
  21. study showed that a common mutation of STAT5B results in constitutive STAT5B phosphorylation, growth factor-independent proliferation in cell-based assays, activation of downstream targets in leukemia cells of children with T-cell acute lymphoblastic leukemia and a higher risk of relapse PMID: 24972766
  22. STAT5b rs2293157 G/T genotype was at increased risk of glioma. Furthermore, rs2293157T allele was more significantly prognostic in patients suffering from glioblastoma compared to other subtypes of gliomas PMID: 24878107
  23. Data indicate no STAT5 transcription factor STAT5B mutation was identified in 65 adult T-cell acute lymphoblastic leukemia (T-ALL) patients, and only one STAT5B N642H mutation was detected in 28 pediatric patients. PMID: 25749351
  24. Results identify miR-134 as a novel RTK-regulated tumor-suppressive hub that mediates RTK and RTK-inhibitor effects on GBM malignancy by controlling KRAS and STAT5B. PMID: 24440911
  25. We report a high frequency of STAT5B and STAT5 mutations in gamma-delta hepatosplenic T-cell lymphoma. PMID: 24947020
  26. Macrophage migration inhibitory factor induced accumulation of mast cells in vivo is associated with activation of STAT5. PMID: 24091309
  27. STAT5B homozygous mutation is responsible for a new growth hormone insensitivity syndrome associated to immunological dysfunction. PMID: 23896798
  28. Data indicate that cyclooxygenase-2 (COX-2) expression is dependent on STAT5 phosphorylation. PMID: 23601296
  29. our data suggest that the CD82/STAT5/IL-10 signaling pathway is involved in the survival of CD34(+)/CD38(-)acute myelogenous leukemia cells PMID: 23797738
  30. SNP rs16967637 in the STAT5 gene was the only SNP associated with Crohn's disease without enteritis; homozygosity for the at-risk allele demonstrated the strongest association with this phenotype; results suggest a role for this SNP in development of inflammatory bowel disease of the large intestine PMID: 23929016
  31. aligned IL-2 regulated genes detected by Affymetrix gene expression microarrays with the STAT5 cistrome identified by chip-on-ChIP analysis in an IL-2-dependent human leukemia cell line, Kit225 PMID: 23451206
  32. STAT5B-RARA positive acute promyelocytic leukemia variant is unresponsive to both all trans retinoic acid and arsenic trioxide. PMID: 23271512
  33. This is the first time somatic STAT5 mutations are discovered in human cancer and further emphasizes the role of STAT family genes in the pathogenesis of large granular lymphocytic leukemia. PMID: 23596048
  34. Human STAT5b A630P mutation, like STAT5b F646S is prone to aggregation, as evidenced by its detection in the insoluble fraction, the presence of dimers and higher-order proto-aggregates. PMID: 23160480
  35. Protein level of the signal transducer and activator of transcription, STAT5b, is transiently decreased at temperatures above 37 degrees C. PMID: 23166650
  36. Data suggest that cross-talk occurs between cAMP/PKA and the IL-2R beta/Jak3/Stat5b cascade in T-cells. PMID: 23341462
  37. High STAT5b expression is associated with tumor growth, angiogenesis, and metastases in pancreatic cancer. PMID: 23097626
  38. No association has been found between the STAT5b rs6503691 (C>T) single nucleotide polymorphisms and myeloproliferative neoplasms. PMID: 23130760
  39. These data suggest that STAT5AB is required for the self-renewal of leukemic stem cells PMID: 23149921
  40. results delineate a novel association of nuclear DeltaEGFR with STAT5b, which promotes oncogenesis and treatment resistance in glioblastoma by direct regulation of anti-apoptotic gene, Bcl-XL PMID: 22729867
  41. results point out to a hitherto undescribed link between STAT5 and oxidative stress and provide new insights into STAT5 functions and their roles in leukemogenesis PMID: 22522791
  42. NR0B2 physically interacted with STAT5 and inhibited STAT5 recruitment on the PEPCK gene promoter. PMID: 22977252
  43. pSTAT5 expression was significantly associated with an increased risk of death and of relapse after achieving complete remission PMID: 22725130
  44. Heterozygous STAT5B mutations, with or without heterozygous IGFALS defects, may be associated with growth hormone insensitivity. PMID: 22678306
  45. STAT5b pathway regulates Hsp90alpha expression under hypoxic conditions PMID: 22552610
  46. Ser-193 phosphorylation is associated with Stat5b proto-oncogenic activity and therefore may serve as a novel therapeutic target for treating hematopoietic malignancies. PMID: 22442148
  47. STAT5 phosphorylation levels of EPO and TPO receptors are elevated in bone marrow cells of patients with paroxysmal nocturnal hemoglobinuria. PMID: 22093990
  48. a novel negative cross talk between the NFAT1- and Stat5-signaling cascades that may affect breast tumor formation, growth, and metastasis PMID: 21964595
  49. Stat5-dependent transcriptional regulation is displaced by strong cytosolic iron starvation status induced by mitochondrial ferritin. PMID: 21712541
  50. Genetic variants in STAT5B are associated with total cholesterol and low-density lipoprotein cholesterol levels among six populations. PMID: 21752895

Show More

Hide All

Involvement in disease
Growth hormone insensitivity with immunodeficiency (GHII)
Subcellular Location
Cytoplasm. Nucleus.
Protein Families
Transcription factor STAT family
Database Links

HGNC: 11367

OMIM: 245590

KEGG: hsa:6777

STRING: 9606.ENSP00000293328

UniGene: Hs.595276

icon of phone
Call us
301-363-4651 (Available 9 a.m. to 5 p.m. CST from Monday to Friday)
icon of address
Address
7505 Fannin St., Ste 610, Room 7 (CUBIO Innovation Center), Houston, TX 77054, USA
icon of social media
Join us with

Subscribe newsletter

Leave a message

* To protect against spam, please pass the CAPTCHA test below.
CAPTCHA verification
© 2007-2026 CUSABIO TECHNOLOGY LLC All rights reserved. 鄂ICP备15011166号-1
Place an order now

I. Product details

*
*
*
*

II. Contact details

*
*

III. Ship To

*
*
*
*
*
*
*

IV. Bill To

*
*
*
*
*
*
*
*