WASF2 Recombinant Monoclonal Antibody

Code CSB-RA832447A0HU
Size US$210
Order now
Image
  • Western Blot
    Positive WB detected in: MCF7 whole cell lysate(30µg), Jurkat whole cell lysate(30µg), A431 whole cell lysate(30µg)
    All lanes:WASF2 antibody at 1:1000
    Secondary
    Goat polyclonal to rabbit IgG at 1/40000 dilution
    Predicted band size: 54 kDa
    Observed band size: 90 kDa
    Exposure time:1min
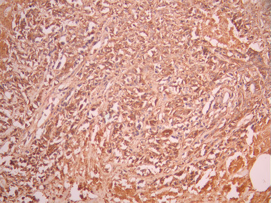
  • IHC image of CSB-RA832447A0HU diluted at 1:100 and staining in paraffin-embedded human breast cancer performed on a Leica BondTM system. After dewaxing and hydration, antigen retrieval was mediated by high pressure in a citrate buffer (pH 6.0). Section was blocked with 10% normal goat serum 30min at RT. Then primary antibody (1% BSA) was incubated at 4°C overnight. The primary is detected by a Goat anti-rabbit polymer IgG labeled by HRP and visualized using 0.05% DAB.
  • Overlay Peak curve showing Hela cells stained with CSB-RA832447A0HU (red line) at 1:100. The cells were fixed in 4% formaldehyde and permeated by 0.2% TritonX-100 for 10min. Then 10% normal goat serum to block non-specific protein-protein interactions followed by the antibody (1ug/1*106cells) for 45min at 4℃. The secondary antibody used was FITC-conjugated goat anti-rabbit IgG (H+L) at 1/200 dilution for 35min at 4℃.Control antibody (green line) was Rabbit IgG (1ug/1*106cells) used under the same conditions. Acquisition of >10, 000 events was performed.
Have Questions? Leave a Message or Start an on-line Chat

Product Details

Uniprot No.
Target Names
Alternative Names
DICTYOSTELIUM antibody; dJ393P12.2 antibody; IMD2 antibody; Protein WAVE-2 antibody; Putative Wiskott Aldrich syndrome protein family member 4 antibody; SCAR 2 antibody; SCAR antibody; SCAR2 antibody; Suppressor of cyclic-AMP receptor (WASP family) antibody; Verprolin homology domain-containing protein 2 antibody; WASF2 antibody; WASF2_HUMAN antibody; WASF4 antibody; WASP family protein member 2 antibody; WASP family protein member 4 antibody; WASP family Verprolin homologous protein 2 antibody; WASP-family protein member 2 antibody; WAVE 2 antibody; WAVE2 antibody; Wiskott-Aldrich syndrome protein family member 2 antibody; Wiskott-Aldrich syndrome protein family verprolin-homologous protein antibody
Species Reactivity
Human
Immunogen
A synthesized peptide from human WASF2 protein
Immunogen Species
Homo sapiens (Human)
Conjugate
Non-conjugated
Clonality
Monoclonal
Isotype
Rabbit IgG
Clone No.
1C6
Purification Method
Affinity-chromatography
Concentration
It differs from different batches. Please contact us to confirm it.
Buffer
Rabbit IgG in 10mM phosphate buffered saline , pH 7.4, 150mM sodium chloride, 0.05% BSA, 0.02% sodium azide and 50% glycerol.
Form
Liquid
Tested Applications
ELISA, WB, IHC, FC
Recommended Dilution
Application Recommended Dilution
WB 1:500-1:5000
IHC 1:50-1:200
FC 1:50-1:200
Troubleshooting and FAQs
Storage
Upon receipt, store at -20°C or -80°C. Avoid repeated freeze.
Lead Time
Basically, we can dispatch the products out in 1-3 working days after receiving your orders. Delivery time maybe differs from different purchasing way or location, please kindly consult your local distributors for specific delivery time.
Usage
For Research Use Only. Not for use in diagnostic or therapeutic procedures.

Customer Reviews and Q&A

 Customer Reviews

There are currently no reviews for this product.

Submit a Review here

Target Background

Function
Downstream effector molecule involved in the transmission of signals from tyrosine kinase receptors and small GTPases to the actin cytoskeleton. Promotes formation of actin filaments. Part of the WAVE complex that regulates lamellipodia formation. The WAVE complex regulates actin filament reorganization via its interaction with the Arp2/3 complex.
Gene References into Functions
  1. Results show that in cisplatin-resistant cervical cancer tissues, Rac1, and Wave2 mRNA expression was significantly up-regulated compared to that of the cisplatin-sensitive cervical cancer tissues. In HeLa and Caski cervical cancer cell lines, Rac1 activity and Wave2 protein expression was significantly promoted by SH3BP1 overexpression. PMID: 28786507
  2. Studied leucine rich repeat kinase 2 (LRRK2)-WAS protein family member 2 (WAVE2) pathway in modulation of phagocytosis in leukocytes, as well as its possible role for altered immune function in Parkinson's Disease. PMID: 29760073
  3. The level of WASF2 in gastric cancer tissues was negatively correlated with miR-146a expression and had inverse clinicopathologic features. The newly identified miR-146a/WASF2 axis may provide a novel therapeutic target for gastric cancer. PMID: 28387985
  4. SH3BP1 promoted VEGF secretion via Rac1-WAVE2 signaling, so as to exert an augmentation on cell invasion and microvessel formation. PMID: 26933917
  5. the MCP1-induced cortactin phosphorylation is dependent on PLCb3-mediated PKC activation, and siRNA-mediated down-regulation of either of these molecules prevents cortactin interaction with WAVE2 PMID: 26490115
  6. WASp and WAVE2 differ in their dynamics and their associated proteins PMID: 25342748
  7. Decreased expression of Wiskott-Aldrich syndrome protein family verprolin-homologous protein 2 may be involved in the development of pre-eclampsia. PMID: 24125947
  8. these results suggest that Arp2/3 and the upstream regulator, WAVE2, are essential co-factors hijacked by HIV for intracellular migration, and may serve as novel targets to prevent HIV transmission. PMID: 24415754
  9. WAVE2 is down-regulated in gastric cancer PMID: 24778020
  10. data reveal a critical role for WAVE2 complex in regulation of cellular signaling and epithelial morphogenesis PMID: 23691243
  11. Identification of an onco-suppressive role of miR-146a in gastric cancer cells by its reduction of WASF2 expression. PMID: 23435376
  12. results suggest that SKAP2 negatively regulates cell migration and tumor invasion in fibroblasts and glioblastoma cells by suppressing actin assembly induced by the WAVE2-cortactin complex PMID: 23161539
  13. results indicate that by mediating intensive F-actin accumulation at the sites of cell infiltration, WAVE2, N-WASP, and Mena are crucial for PI3K-dependent cell invasion induced by PDGF PMID: 21769917
  14. WAVE2 and WASp define parallel pathways to F-actin reorganization and function in NK cells; although WAVE2 was not required for NK cell innate function, it was accessible through adaptive immunity via IL-2. PMID: 21383498
  15. Data suggest that ERK coordinates adhesion disassembly with WAVE2 regulatory complex activation and actin polymerization to promote productive leading edge advancement during cell migration. PMID: 21419341
  16. WAVE2 works as an A-kinase-anchoring protein that recruits PKA at membrane protrusions and plays a role in the enlargement of membrane protrusions induced by PKA activation PMID: 21119216
  17. MYH9 is required for lamellipodia formation since it provides contractile forces and tension for the F-actin network to form convex arcs at the leading edge through constitutive binding to WAVE2 and colocalization with PIP(3) in response to IGF-I. PMID: 21184743
  18. WAVE2 complexs with insulin receptor substrate p53 and is crucial for membrane targeting followed by local accumulation of WAVE2 at the leading edge of cells. PMID: 20621182
  19. WAVE2-membrane targeting is directionally controlled by binding of the EB1-stathmin complex to WAVE2-bearing microtubules and by the interaction between WAVE2 and PIP3 produced near IGF-IR that is locally activated by IGF-I. PMID: 19925864
  20. The WAVE2-Abi1-Nap1-PIR121 complex is as active as the WAVE2-Abi1 sub-complex in stimulating Arp2/3, and after Rac activation it is re-localized to the leading edge of ruffles in vivo. PMID: 15048123
  21. reconstitution of the Wave-2 complex and a study of the molecular architecture PMID: 15070726
  22. Results suggest that phosphatidylinositol (3,4,5)-triphosphate recruits WAVE2 to the polarized membrane and that this recruitment is essential for lamellipodium formation at the leading edge. PMID: 15107862
  23. the 3 WAVE isoforms exhibit common and distinct features and may potentially be involved in the regulation of actin cytoskeleton in platelets PMID: 15280206
  24. WAVE-2 and WAVE-3 expression was not changed by the megakaryocytic differentiation; WAVE-1 and WAVE-2 moved from a detergent-soluble cytosolic fraction to insoluble cytoskeleton fraction after platelet aggregation PMID: 15670045
  25. WAVE2 is a key component of the actin regulatory machinery in T cells and that it also participates in linking intracellular calcium store depletion to calcium release-activated calcium (CRAC) channel activation. PMID: 16401421
  26. Therefore, IRSp53 optimizes the activity of the WAVE2 complex in the presence of activated Rac and PIP(3). PMID: 16702231
  27. WAVE2 expression is elevated in HCC tissues, which correlates with a poor prognosis, suggesting WAVE2 as a candidate prognostic marker of HCC. PMID: 17020969
  28. Colocalization of Arp2 and WAVE2 is an independent risk factor for liver metastasis of colorectal carcinoma. PMID: 17459058
  29. Results decribe a mechanism in which signals from the T cell receptor produce WAVE2-ARP2/3-mediated de novo actin polymerization, leading to integrin clustering and high-affinity binding through the recruitment of vinculin and talin. PMID: 17591693
  30. Over-expression of WAVE2 is seen in node-positive cases as well as in moderately and poorly differentiated breast cancers. PMID: 18509249
  31. Data suggest that the promotion of lamellipodia formation by HGF in MDA-MB-231 cells is Rac1-dependent and requires KIF5B-mediated transport of WAVE2 and IQGAP1 to the cell periphery along microtubules. PMID: 18514191
  32. results suggest that long protrusions formed in a WAVE2- and microtubule-dependent manner may identify the cells at the later stage of invasion, possibly after the formation of invadopodia in the 3-D cultures PMID: 18795939
  33. Results identify a mechanism by which the WAVE2 complex regulates T cell receptor signaling to Rap1 and integrin activation via Abl- and CrkL-C3G. PMID: 18809728
  34. Phosphorylation of all five sites on endogenous WAVE2 and their mutation to non-phosphorylatable alanine residues leads to inhibition of WAVE2 function in vivo, was demonstrated. PMID: 19012317
  35. Pak1 protein binds to WASF2 protein and is transported with WASF2 protein to the leading edge by stimulation with hepatocyte growth factor. PMID: 19162178
  36. betaPIX and GIT1 regulate the hepatocyte growth factor-induced and Rac1-dependent membrane transport of WAVE2 and consequently, lamellipodia formation. PMID: 19303398
  37. HSPC300 is associated with metastatic potential of lung squamous cell carcinoma through its interaction with WAVE2 PMID: 19576655
  38. Data show that activation of the WAVE2 complex requires simultaneous interactions with prenylated Rac-GTP and acidic phospholipids, as well as a specific state of phosphorylation. PMID: 19917258

Show More

Hide All

Subcellular Location
Cytoplasm, cytoskeleton. Cell projection, lamellipodium. Basolateral cell membrane.
Protein Families
SCAR/WAVE family
Tissue Specificity
Expressed in all tissues with strongest expression in placenta, lung, and peripheral blood leukocytes, but not in skeletal muscle.
Database Links

HGNC: 12733

OMIM: 605875

KEGG: hsa:10163

STRING: 9606.ENSP00000396211

UniGene: Hs.469244

icon of phone
Call us
301-363-4651 (Available 9 a.m. to 5 p.m. CST from Monday to Friday)
icon of address
Address
7505 Fannin St., Ste 610, Room 7 (CUBIO Innovation Center), Houston, TX 77054, USA
icon of social media
Join us with

Subscribe newsletter

Leave a message

* To protect against spam, please pass the CAPTCHA test below.
CAPTCHA verification
© 2007-2025 CUSABIO TECHNOLOGY LLC All rights reserved. 鄂ICP备15011166号-1
×
Place an order now

I. Product details

*
*
*
*

II. Contact details

*
*

III. Ship To

*
*
*
*
*
*
*

IV. Bill To

*
*
*
*
*
*
*
*