ENO2 Monoclonal Antibody

Code CSB-MA554813
Size US$210
Order now
Image
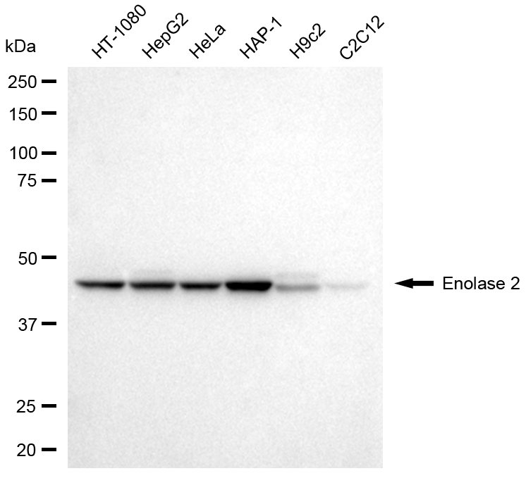
  • Western blotting analysis using enolase 2 antibody. Total cell lysates (30 μg) from various cell lines were loaded and separated by SDS-PAGE. The blot was incubated with enolase 2 antibody and HRP-conjugated goat anti-mouse secondary antibody respectively.
Have Questions? Leave a Message or Start an on-line Chat

Product Details

Full Product Name
Mouse anti-Homo sapiens (Human) ENO2 Monoclonal antibody
Uniprot No.
Target Names
Alternative Names
ENO2; Enolase 2; NSE; Gamma-Enolase; 2-Phospho-D-Glycerate Hydro-Lyase; Enolase 2 (Gamma, Neuronal); Neuronal Enriched Enolase; Neuron-Specific Enolase; Neural Enolase; EC 4.2.1.11; Epididymis Secretory Protein Li 279; 2-Phospho-D-Glycerate Hydrolyase; Neuron Specific Gamma Enolase; Neurone-Specific Enolase; Neuron Specific Enolase; HEL-S-279
Raised in
Mouse
Species Reactivity
Human, Mouse, Rat
Immunogen
Recombinant Human ENO2 protein
Immunogen Species
Homo sapiens (Human)
Conjugate
Non-conjugated
Clonality
Monoclonal
Isotype
Mouse IgG2b kappa
Clone No.
16H5
Purification Method
Affinity-chromatography
Concentration
It differs from different batches. Please contact us to confirm it.
Buffer
PBS (pH 7.4) containing 50% glycerol, and 0.02% sodium azide.
Form
Liquid
Tested Applications
ELISA, WB
Recommended Dilution
Application Recommended Dilution
WB 1:1000-1:2500
Troubleshooting and FAQs
Storage
Upon receipt, store at -20°C or -80°C. Avoid repeated freeze.
Lead Time
Basically, we can dispatch the products out in 1-3 working days after receiving your orders. Delivery time maybe differs from different purchasing way or location, please kindly consult your local distributors for specific delivery time.
Usage
For Research Use Only. Not for use in diagnostic or therapeutic procedures.

Customer Reviews and Q&A

 Customer Reviews

There are currently no reviews for this product.

Submit a Review here

Target Background

Function
Has neurotrophic and neuroprotective properties on a broad spectrum of central nervous system (CNS) neurons. Binds, in a calcium-dependent manner, to cultured neocortical neurons and promotes cell survival.
Gene References into Functions
  1. CgA and NSE are clinically valuable tumor markers in neuroblastoma and they merit prospective clinical evaluations as such. PMID: 29737901
  2. the major result was that elevated serum NSE appears to correlate with prognosis in advanced prostate cancer (PCa), particularly in patients with progressive and metastatic castration-resistant PCa. Based on the existing literature, the role of serum NSE in PCa patients should be further evaluated. PMID: 28885659
  3. Identify a possible cross-reactive conformational B cell epitope, shared by Borrelia enolase and gamma enolase, but not by alpha enolase. We hypothesize that this autoantibody interferes with glycolysis in neuronal cells, as the physiological basis for chronic symptoms in at least some cases of post-treatment Lyme disease syndrome. PMID: 29317049
  4. We investigated the possible correlation between TCD results and S100B, NSE and LDH levels as well as between NSE-LDH and S100B-LDH levels by regression analysis. We found a statistically significant relationship for both NSE, S100B with LDH. PMID: 29244749
  5. ENO2 promoted cell growth, glycolysis, and glucocorticoid resistance, all of which were effectively inhibited when ENO2 was silenced with shRNAs and up-regulated various glycolysis-related genes and enhanced Akt activity with subsequent glycogen synthase kinase3beta (GSK-3beta) phosphorylation, inducing cell proliferation and glycolysis. PMID: 29689546
  6. High Neuron-Specific Enolase expression is associated with poor response to therapy in small cell lung cancer. PMID: 28127669
  7. In neonates, NSE and s100B levels increase after bypass surgery and return below preoperative baseline levels by postoperative day seven. PMID: 28571730
  8. elevated preoperative NSE serum level is adverse predictive and prognostic indicator in adenosquamous lung carcinoma PMID: 27623437
  9. There is a significant correlation between mortality in the critically ill patients in the intensive care unit and increased serum concentration of S100B and NSE. PMID: 29222857
  10. The detection of TK1 combined with that of cytokeratin-19 fragment (CYFRA21-1), CEA or NSE increased the diagnostic value of TK1 for lung squamous cell carcinoma, adenocarcinoma and small cell lung cancer, respectively. PMID: 29247745
  11. Serum levels of neuron-specific enolase (and S100B) are both significantly increased postoperatively and predict postoperative cognitive dysfunction. PMID: 27433840
  12. This study indicates that serum neuron-specific enolase is elevated in diabetic ketoacidosis and correlated with the severity of hyperglycemia, ketosis, and acidosis. PMID: 28056586
  13. serum level elevated in small cell lung cancer patients with shorter progression-free survival PMID: 29145241
  14. Levels of NSE and S100B are still elevated 1 year postpartum in women who have had preeclampsia in contrast to women with previous normal pregnancies. PMID: 27653032
  15. High NSE expression is associated with hypoxic-ischemic encephalopathy. PMID: 28931055
  16. we conducted a retrospective study to evaluate the correlation between clinical-pathological parameters, serum levels of neuron-specific enolase and CYFRA21-1, and bone metastases in lung cancer patients.Multivariate logistic regression analysis showed that patients' age concentrations of neuron-specific enolase and histopathological types were the independent risk factors for bone metastases in patients with lung cancer PMID: 28671048
  17. Suggest that NSE may be a practical parameter that can be used to monitor TB activity and treatment response. Elevated serum NSE level originates, at least in part, from macrophages in granulomatous lesions. PMID: 27271274
  18. HER2 and NSE serum levels were independent prognostic factors in patients with brain metastases in breast cancer. Serum HER2 and MMP-9 appear to be associated with BM in metastatic BC patients. Their predictive value for BM still needs to be evaluated in further prospective studies. PMID: 27464303
  19. this study shows that neuron-specific enolase level is both a predictive marker of epidermal growth factor receptor (EGFR) tyrosine kinase inhibitors treatment and a prognostic marker in non-small cell lung cancer harboring EGFR mutations patients PMID: 26719155
  20. The study aimed to identify a small set of genetic signatures that may reliably predict the individuals with a high genetic propensity to heroin addiction. A set of 4 genes (JUN, CEBPB, PRKCB, ENO2, or CEBPG) could predict the diagnosis of heroin addiction with the accuracy rate around 85% in our dataset. PMID: 27495086
  21. High neuron-specific enolase expression is associated with poor response to chemotherapy in small cell lung cancer. PMID: 26886220
  22. In pregnant women developing preeclampsia, the levels of NSE remained high throughout pregnancy, compared to healthy women where the levels decline. PMID: 26355117
  23. Serum neuron specific enolase was a useful marker in predicting subclinical brain damage following essential hypertension. PMID: 27000243
  24. BALF and serum NSE, CEA, and CYFRA21.1 elevated in lung cancer, which had prompt value for pathology, especially significant for BALF. PMID: 27072263
  25. Significant levels of CEA, CYFRA 21-1, NSE, and TSGF were detected in the serum. The amounts found were useful for diagnosing non-small cell lung cancer (NSCLC) patients who depended on the currently limited biomarker development. PMID: 27072222
  26. higher serum and nasal secretion levels were measured in patients with chronic rhinosinusitis compared with healthy controls PMID: 26867533
  27. CEA, NSE, CA125 and pro-GRP could serve as biomarkers for SCLC, and CEA and CYFRA21-1 could serve as biomarkers for NSCLC. Pro-GRP, CA125 and CEA were related to the clinical stages of lung cancer PMID: 26560853
  28. Serum neuron-specific enolase level is an independent predictor of overall survival in patients with gastroenteropancreatic neuroendocrine tumors PMID: 26712902
  29. Vimentin, Nestin and WT1. Sox2 was expressed by the stem/progenitor cells of the ventricular zone, whereas the postmitotic neurons of the cortical plate were immunostained by PAX2 and NSE. PMID: 26972711
  30. Elevation of neuron specific enolase and brain iron deposition is associated with beta-propeller protein-associated neurodegeneration. PMID: 26481852
  31. Data show that serum neuron-specific enolase, cytokeratin 19 fragment 21-1, pro-gastrin-releasing peptide, squamous cell carcinoma antigen, tissue inhibitor of metalloproteinase-1, and human epididymis protein 4 are not associated with brain metastases. PMID: 26730601
  32. Neuron specific enolase levels were not effective in predicting outcomes or detecting recurrences of Merkel cell carcinoma. PMID: 26299616
  33. This study inquires into the physiological concentrations of NSE and S100B proteins in CSF, carried out on a sufficiently large group of 601 patients. PMID: 26421286
  34. NSE values is the best predictors of poor 6-month outcome after out-of-hospital cardiac arrest PMID: 26324761
  35. Studied diagnostic Value of Serum Levels of GFAP, pNF-H, and NSE Compared With Clinical Findings in Severity Assessment of Human Traumatic Spinal Cord Injury. PMID: 25341992
  36. The association was studied of intracranial pressure (ICP) and cerebral perfusion pressure (CPP) on S-100B and neuron-specific enolase (NSE) in severe traumatic brain injury (sTBI). PMID: 25518864
  37. In this study, the appearance of NeuN-positive cells were observed in the basal plate as early as 5 month of gestation. PMID: 25904356
  38. the present findings emphasize that S100 and NSE-immunopositivity might be useful for detecting the cause and process of death due to traumatic brain injury. PMID: 25211554
  39. Report ontogenic development of nerve fibers in human fetal livers using immunohistochemical detection of NCAM1/neurone-specific enolase expression. PMID: 25326085
  40. The use of serum NSE as a diagnostic marker for disability progression in multiple sclerosis was not supported. PMID: 25686504
  41. Serum neuron specific enolase levels were found significantly increased in acute stroke cases as compared to controls. PMID: 24838548
  42. Neuron-specific enolase levels were able to diagnose sepsis-associated encephalopathy but with less sensitivity than S100Beta. PMID: 24760429
  43. results suggested the use of serum S-100beta and NSE levels as indicators for brain injury PMID: 26040109
  44. High levels of neuron-specific enolase (NSE), carbohydrate antigen 125 (CA125) and squamous cell carcinoma antigen (SCC) were detected in 306 (63.6%), 89 (18.5%) and 125 (26.0%) non-small cell lung cancer patients, respectively. PMID: 23712355
  45. The role of S100B protein, neuron-specific enolase, and glial fibrillary acidic protein in the evaluation of hypoxic brain injury in acute carbon monoxide poisoning PMID: 24505052
  46. NSE expression is a viable biomarker for MM and can be a useful reference for the design and adjustment of clinical MM treatment programs. PMID: 24796851
  47. Serial NSE analysis during the acute period of ischemic stroke is useful for monitoring hemorrhagic transformation and the blood-brain barrier disruption status PMID: 25183561
  48. Serum NSE levels are closely associated with peripheral neuropathy in patients with diabetes. PMID: 23846809
  49. This is the first study to suggest blood NFL mRNA as a surrogate marker for early prediction of prediabetic peripheral neuropathy, while NSE mRNA levels may be of no diagnostic value in prediabetic patients. PMID: 24733614
  50. In patients treated with mild hypothermia after out of hospital cardiac arrest changes in NSE are more suitable than its absolute serum levels for the prediction of poor neurologic outcome. PMID: 23836424

Show More

Hide All

Subcellular Location
Cytoplasm. Cell membrane.
Protein Families
Enolase family
Tissue Specificity
The alpha/alpha homodimer is expressed in embryo and in most adult tissues. The alpha/beta heterodimer and the beta/beta homodimer are found in striated muscle, and the alpha/gamma heterodimer and the gamma/gamma homodimer in neurons.
Database Links

HGNC: 3353

OMIM: 131360

KEGG: hsa:2026

STRING: 9606.ENSP00000229277

UniGene: Hs.511915

icon of phone
Call us
301-363-4651 (Available 9 a.m. to 5 p.m. CST from Monday to Friday)
icon of address
Address
7505 Fannin St., Ste 610, Room 7 (CUBIO Innovation Center), Houston, TX 77054, USA
icon of social media
Join us with

Subscribe newsletter

Leave a message

* To protect against spam, please pass the CAPTCHA test below.
CAPTCHA verification
© 2007-2025 CUSABIO TECHNOLOGY LLC All rights reserved. 鄂ICP备15011166号-1
×
Place an order now

I. Product details

*
*
*
*

II. Contact details

*
*

III. Ship To

*
*
*
*
*
*
*

IV. Bill To

*
*
*
*
*
*
*
*