PD-L2 Monoclonal Antibody

Code CSB-MA017667A0m
Size US$210
Order now
Image
  • Western Blot
    Positive WB detected in: HepG2 whole cell lysate, Hela whole cell lysate, PC-3 whole cell lysate, A549 whole cell lysate
    All lanes PD-L2 antibody at 1:2000
    Secondary
    Goat polyclonal to mouse IgG at 1/50000 dilution
    Predicted band size: 31,21 KDa
    Observed band size: 45-50 KDa
    Exposure time:5min

     

  • Western Blot
    Positive WB detected in: Hela whole cell lysate at 20μg, 10μg, 5μg, 2.5μg, 1.25μg
    All lanes: PD-L2 antibody at 1:2000
    Secondary
    Goat polyclonal to mouse IgG at 1/50000 dilution
    Predicted band size: 31,21 KDa
    Observed band size: 45-50 KDa
    Exposure time:5min

     

  • Western Blot
    Positive WB detected in: 15μg hela whole cell lysate PD-L2 antibody at 1:5000, 1:10000, 1:20000, 1:40000, 1:80000, 1:160000, 1:320000, 1:640000
    Secondary
    Goat polyclonal to mouse IgG at 1/50000 dilution
    Predicted band size: 31,21 KDa
    Observed band size: 45-50 KDa
    Exposure time:5min

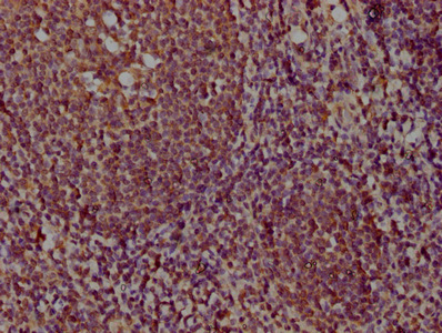
  • IHC image of CSB-MA017667A0m diluted at 1:100 and staining in paraffin-embedded human tonsil tissue performed on a Leica BondTM system. After dewaxing and hydration, antigen retrieval was mediated by high pressure in a citrate buffer (pH 6.0). Section was blocked with 10% normal goat serum 30min at RT. Then primary antibody (1% BSA) was incubated at 4°C overnight. The primary is detected by a biotinylated secondary antibody and visualized using an HRP conjugated SP system.

  • Immunofluorescence staining of HepG2 cells with CSB-MA017667A0m at 1:100, counter-stained with DAPI. The cells were incubated with the antibody overnight at 4°C. Nuclear DNA was labeled in blue with DAPI. The secondary antibody was FITC-conjugated AffiniPure Goat Anti-Mouse IgG (H+L).

  • Immunofluorescence staining of Hela cells with CSB-MA017667A0m at 1:100, counter-stained with DAPI. The cells were incubated with the antibody overnight at 4°C. Nuclear DNA was labeled in blue with DAPI. The secondary antibody was FITC-conjugated AffiniPure Goat Anti-Mouse IgG (H+L).

  • Immunofluorescence staining of Raji cells with CSB-MA017667A0m at 1:100, counter-stained with DAPI. The cells were incubated with the antibody overnight at 4°C. Nuclear DNA was labeled in blue with DAPI. The secondary antibody was FITC-conjugated AffiniPure Goat Anti-Mouse IgG (H+L).

  • Immunofluorescence staining of U251 cells with CSB-MA017667A0m at 1:100, counter-stained with DAPI. The cells were incubated with the antibody overnight at 4°C. Nuclear DNA was labeled in blue with DAPI. The secondary antibody was FITC-conjugated AffiniPure Goat Anti-Mouse IgG (H+L).

  • Overlay histogram showing 293 cells transfected with PD-L2 stained with CSB-MA017667A0m (red line). The cells were incubated in 10% normal goat serum to block non-specific protein-protein interactions followed by the antibody (2µg/1*106cells) for 1 h at 4°C. The secondary antibody used was R-PE-conjugated Goat Anti-Mouse IgG(H+L) at 1/100 dilution for 30min at 4°C. Isotype control antibody (green line) was mouse IgG2b (2µg/1*106cells) used under the same conditions. Acquisition of >10,000 events was performed.

  • Immunoprecipitating PD-L2 in Hela whole cell lysate
    Lane 1: Mouse control IgG instead of CSB-MA017667A0m in Hela whole cell lysate
    Lane 2: CSB-MA017667A0m (2µl) + Hela whole cell lysate (500µg)
    Lane 3: Hela whole cell lysate (20µg)
    For western blotting, the blot was detected with CSB-MA017667A0m at 1:2000, and a HRP-conjugated Protein G antibody was used as the secondary antibody at 1:2000

Have Questions? Leave a Message or Start an on-line Chat

Product Details

Full Product Name
Mouse anti-Human PD-L2 Monoclonal Antibody antibody
Uniprot No.
Target Names
PD-L2
Alternative Names
B7 dendritic cell molecule antibody; B7-DC antibody; B7DC antibody; bA574F11.2 antibody; Btdc antibody; Butyrophilin B7 DC antibody; Butyrophilin B7-DC antibody; Butyrophilin B7DC antibody; CD 273 antibody; CD273 antibody; CD273 antigen antibody; MGC142238 antibody; MGC142240 antibody; PD 1 ligand 2 antibody; PD L2 antibody; PD-1 ligand 2 antibody; PD-L2 antibody; PD1 ligand 2 antibody; PD1L2_HUMAN antibody; PDCD 1 ligand 2 antibody; PDCD1 ligand 2 antibody; PDCD1L2 antibody; Pdcd1lg2 antibody; PDL 2 antibody; PDL2 antibody; Programmed cell death 1 ligand 2 antibody; Programmed death ligand 2 antibody
Raised in
Mouse
Species Reactivity
Human
Immunogen
Recombinant Human Programmed cell death 1 ligand 2 protein (21-118AA)
Immunogen Species
Human
Conjugate
Non-conjugated
Clonality
Monoclonal Antibody
Isotype
IgG2b
Clone No.
7F11D11
Purification Method
>95%,Protein A purified
Concentration
It differs from different batches. Please contact us to confirm it.
Buffer
Preservative: 0.03% Proclin 300
Constituents: 50% Glycerol, 0.01M PBS, PH 7.4
Form
Liquid
Tested Applications
ELISA, WB, IHC, IF, FC, IP
Recommended Dilution
Application Recommended Dilution
WB 1:5000-1:640000
IHC 1:50-1:200
IF 1:50-1:200
FC 1:50-1:200
IP 2μl-5μl
Troubleshooting and FAQs
Storage
Upon receipt, store at -20°C or -80°C. Avoid repeated freeze.
Lead Time
Basically, we can dispatch the products out in 1-3 working days after receiving your orders. Delivery time maybe differs from different purchasing way or location, please kindly consult your local distributors for specific delivery time.
Description

The recombinant human PD-L2 protein (21-118aa) was used to immunze a mouse to stimulate its immune system. After that, PD-L2 antibody-secreting B cells were isolated from the immunized mouse and then fused with myeloma cells to get the hybridomas. Hybridomas secreting PD-L2 antibody were selected and injected into the abdominal cavity of mice. After a period of time, mice ascites were collected, which contained a large amount of PD-L2 monoclonal antibody. The PD-L2 monoclonal antibody underwent protein A purification and got a purity of above 95%. It can be used to detect human PD-L2 protein in ELISA, WB, IHC, IF, FC, and IP applications.

PD-L2 binds to its receptor PD-1 on the surface of T cells and regulates T cell activation and tolerance. PD-L2 functions as a negative regulator of T cell responses by inducing T cell apoptosis, suppressing T cell proliferation, and reducing cytokine production. It plays a key role in maintaining immune homeostasis and preventing autoimmunity by limiting the activation of self-reactive T cells. PD-L2 is also involved in the regulation of immune responses to tumors and infectious agents.

Usage
For Research Use Only. Not for use in diagnostic or therapeutic procedures.

Customer Reviews and Q&A

 Customer Reviews

There are currently no reviews for this product.

Submit a Review here

Target Background

Function
Involved in the costimulatory signal, essential for T-cell proliferation and IFNG production in a PDCD1-independent manner. Interaction with PDCD1 inhibits T-cell proliferation by blocking cell cycle progression and cytokine production.
Gene References into Functions
  1. Our results confirm and extend prior studies of PD-L1 and provide new data of PD-L2 expression in lymphomas PMID: 29122656
  2. High PD-L2 expression may be a target of immunotherapy in patients with PD-L1-negative Non-small Cell Lung Cancer. PMID: 30275216
  3. The high-affinity PD-1 mutant could compete with the binding of antibodies specific to PD-L1 or PD-L2 on cancer cells. PMID: 29890018
  4. the binding affinities of the PD-1-PD-L1/PD-L2 co-inhibitory receptor system, was characterized. PMID: 27447090
  5. Tumor PDCD1LG2 expression is inversely associated with Crohn-like lymphoid reaction to colorectal cancer, suggesting a possible role of PDCD1LG2-expressing tumor cells in inhibiting the development of tertiary lymphoid tissues during colorectal carcinogenesis. PMID: 29038297
  6. The biopsy tumor key protein measurements demonstrate substantial between-tumor variation in expression ratios of these proteins and suggest that programmed cell death 1 ligand 2 PD-L2 is present in some tumors at levels sufficient to contribute to programmed cell death-1 PD-1-dependent T-cell regulation and possibly to affect responses to PD-1- and programmed cell death 1 ligand 1 PD-L1-blocking drugs. PMID: 28546465
  7. the positive rate of PD-L2 did not show any differences between primary tumors and metastatic lymph nodes. In multivariate analysis, PD-L1 expression, PD-L2 expression, a low density of CD8(+) T cells in primary tumors, and PD-1 expression on CD8(+) T cells in primary tumors were associated with poor prognosis. PMID: 28754154
  8. in some tumor types, PD-L2 expression is more closely linked to Th1/IFNG expression and PD-1 and CD8 signaling than PD-L1 PMID: 27837027
  9. Clinical response to pembrolizumab in patients with head and neck squamous cell carcinoma (HNSCC)may be related partly to blockade of PD-1/PD-L2 interactions. Therapy targeting both PD-1 ligands may provide clinical benefit in these patients. PMID: 28619999
  10. PD-L2 is regulated by both interferon beta and gamma signaling. PMID: 28494868
  11. Overexpression of PD-L1 and PD-L2 Is Associated with Poor Prognosis in Patients with Hepatocellular Carcinoma PMID: 27456947
  12. Data suggest that hormonal 1,25-dihydroxyvitamin D is a direct transcriptional inducer of genes encoding PDL1 and PDL2 in myeloid cells/macrophages; this up-regulation of gene expression appears to be species- and cells-specific. PMID: 29061851
  13. PD-L2 copy number gains were not related to PD-L2 augmentation in non-small cell lung cancer. PMID: 27050074
  14. PD-L2 expression has been reported in 52% of esophageal adenocarcinomas but little is known about the expression of other immune checkpoints PMID: 28561677
  15. Low PD-L2 expression is associated with pediatric solid tumors. PMID: 28488345
  16. this study shows that higher PD-L2 expression on blood dendritic cells, from Plasmodium falciparum-infected individuals, correlates with lower parasitemia PMID: 27533014
  17. PD-L1/PD-L2 copy number alterations are a defining feature of classical Hodgkin lymphoma. PMID: 27069084
  18. PDL2 was overexpressed in Epstein Barr virus-associated gastric adenocarcinoma. PMID: 26980034
  19. higher expression of PD-L1 and PD-L2 on CD1a(+) cells than that on CD83(+) cells in cutaneous squamous cell carcinoma tumour tissues may contribute to negative regulation in anti-tumour immune responses PMID: 28052400
  20. stable ectopic expression of wild-type PDCD1LG2 and the PDCD1LG2-IGHV7-81 fusion showed, in coculture, significantly reduced T-cell activation. PMID: 27268263
  21. The expression levels of PD-1, PD-L1 and PD-L2 in CD3(+) T cells and CD19(+) B cells and serum IFN-gamma level in progressive hepatocellular carcinoma patients were significantly higher than controls. PMID: 27609582
  22. Downregulation of the immunosuppressive molecules, PD-1 and PD-L1, may imply that over-activation of immune cells in multiple sclerosis occurs through signaling dysfunction of these molecules and PD-L2 plays no important role in this context PMID: 27921410
  23. an IL-27/Stat3 axis induces expression of programmed cell death 1 ligands (PD-L1/2) on infiltrating macrophages in lymphoma PMID: 27564404
  24. High PD-L2 expression is associated with Renal Cell Carcinoma. PMID: 26464193
  25. knocking down in dendritic cells results in activation of inflammatory T cells PMID: 26599163
  26. We observed cogain or coamplification of CD274 and PDCD1LG2 in 32 of 48 cervical and 10 of 23 vulvar squamous cell carcinomas PMID: 26913631
  27. PD-L2 expression was neither associated with VEGF-TKI responsiveness nor patients' outcome PMID: 26424759
  28. PD-L1 and PD-L2 are useful new markers for identifying select histiocyte and dendritic cell disorders and reveal novel patient populations as rational candidates for immunotherapy PMID: 26752545
  29. Genomic amplification of 9p24.1 targeting JAK2, PD-L1, and PD-L2 is enriched in high-risk triple negative breast cancer. PMID: 26317899
  30. the inflammatory environment in Barrett's esophagus and esophageal adenocarcinoma may contribute to the expression of PD-L2. PMID: 26081225
  31. PDL2 could promote the ability of human placenta-derived mesenchymal stromal cells to augment the secretion of IL-10. PMID: 26432559
  32. We suggest that decreased expression of programmed death-ligand 1, 2 on psoriatic epidermis can contribute to its chronic unregulated inflammatory characteristics. PMID: 26133691
  33. Suggest role for PD-L2 in recurrence of hepatitis C infection post orthotopic liver transplantation. PMID: 25675203
  34. Report PD-L2 expression in breast neoplasms. PMID: 26541326
  35. Data indicate that pulmonary pleomorphic carcinoma (PC) very frequently express CD274 antigen (PD-L1) and CD273 antigen (PD-L2). PMID: 26329973
  36. PD-L1 and PD-L2 expression in pulmonary squamous cell carcinoma is associated with an increased number of CD8(+) tumor infiltrating lymphocytess and increased MET expression. PMID: 25662388
  37. Results show that human-derived chordoma cell lines demonstrate inducible expression of PD-L1 and PD-L2, and that primary chordoma tissue shows variable expression of PD-1 and PD-L1 in infiltrating immune cells PMID: 25349132
  38. conclude that PD-L2 protein is robustly expressed by the majority of primary mediastinal (thymic) large B-cell lymphomas PMID: 25025450
  39. PD-1/PD-Ls pathways on PMCs inhibited proliferation and adhesion activity of CD4+ T cells, suggesting that Mycobacterium tuberculosis might exploit PD-1/PD-Ls pathways to evade host cell immune response in human. PMID: 24406080
  40. High Expression of PD-L2 is associated with myelodysplastic syndromes. PMID: 24270737
  41. Data indicate that the bone morphogenetic proteins (BMPs) signaling pathway regulates PD-L1 and PD-L2 expression in monocyte-derived dendritic cells (MoDCs) during the maturation process. PMID: 24532425
  42. Recurrent genomic rearrangement events in CD274 and PDCD1LG2 underlie an immune privilege phenotype in a subset of B-cell lymphomas. PMID: 24497532
  43. PD-L1 and PD-L2 expressed on hPMSCs could inhibit the hPMSCs-mediated up-regulation on the expression of IL-17 secreted by peripheral blood T cells PMID: 23388330
  44. Macrophages from infected animals show increased expression of PDL2 and CD80 that was dependent from the sex of the host. PMID: 23533995
  45. expression of PD-1 and its ligands, PD-L1 and PD-L2, in liver biopsies from HBV-related acute-on-chronic liver failure (HBV-ACLF) and chronic hepatitis B (CHB) patients were analyzed; results showed all 3 molecules were observed in the HBV-ACLF samples and levels were significantly higher than in CHB PMID: 22895698
  46. Data show that PD-1, PD-L1, PD-L2, CCL17, and CCL22 mRNA was identified in papillomas. PMID: 22322668
  47. Data suggest that brain endothelial cells contribute to control T cell transmigration into the CNS and immune responses via PD-L2 but not PD-L1 expression. PMID: 22067141
  48. increased expression of PD-L2, as a costimulatory molecule, may have an important modulatory function on the local immune responses of OLP in vivo. PMID: 21457347
  49. Data suggest that PD-L1 may contribute to negative regulation of the immune response in chronic hepatitis B, and that PD-1 and PD-L1 and 2 may play a role in immune evasion of tumors. PMID: 21876620
  50. Our results suggest that PD-1 G-536A, PD-L1 A8923C and PD-L2 C47103T polymorphisms are associated with the presence of ankylosing spondylitis. PMID: 21791547

Show More

Hide All

Subcellular Location
[Isoform 3]: Secreted.; [Isoform 2]: Endomembrane system; Single-pass type I membrane protein.; [Isoform 1]: Cell membrane; Single-pass type I membrane protein.
Protein Families
Immunoglobulin superfamily, BTN/MOG family
Tissue Specificity
Highly expressed in heart, placenta, pancreas, lung and liver and weakly expressed in spleen, lymph nodes and thymus.
Database Links

HGNC: 18731

OMIM: 605723

KEGG: hsa:80380

STRING: 9606.ENSP00000380855

UniGene: Hs.532279

icon of phone
Call us
301-363-4651 (Available 9 a.m. to 5 p.m. CST from Monday to Friday)
icon of address
Address
7505 Fannin St., Ste 610, Room 7 (CUBIO Innovation Center), Houston, TX 77054, USA
icon of social media
Join us with

Subscribe newsletter

Leave a message

* To protect against spam, please pass the CAPTCHA test below.
CAPTCHA verification
© 2007-2025 CUSABIO TECHNOLOGY LLC All rights reserved. 鄂ICP备15011166号-1
×
Place an order now

I. Product details

*
*
*
*

II. Contact details

*
*

III. Ship To

*
*
*
*
*
*
*

IV. Bill To

*
*
*
*
*
*
*
*